相关产品推荐更多 >

NTRK2/TrkB Mouse mAb(bsm-51294M)-50ul/100ul
¥1580
C19orf47 Rabbit pAb(bs-9683R)-50ul/100ul/200ul
¥1180
Estrogen Receptor alpha + beta Rabbit pAb, PE conjugated(bs-0174R-PE)-100ul
¥2980
CD200R Rabbit pAb, PerCP-Cy5.5 conjugated(bs-7351R-PerCP-Cy5.5)-100ul
¥2980
C2orf42 Rabbit pAb(bs-9815R)-50ul/100ul/200ul
¥1180
万千商家帮你免费找货
0 人在求购买到急需产品
- 详细信息
- 技术资料
- 应用范围:
产品信息以Bioss网站为准
- 规格:
50ul/100ul/200ul
| 规格: | 50ul | 产品价格: | ¥1180.0 |
|---|---|---|---|
| 规格: | 100ul | 产品价格: | ¥1980.0 |
| 规格: | 200ul | 产品价格: | ¥2800.0 |
| 产品编号 | bs-9219R |
| 英文名称 | C1orf149 Rabbit pAb |
| 中文名称 | 1号染色体开放阅读框149抗体 |
| 英文别名 | CDABP0189; Chromosome 1 open reading frame 149; Eaf6; FLJ11730; Hypothetical protein LOC64769; NY SAR 91; RP3 423B22.2; Sarcoma antigen NY SAR 91; EAF6_HUMAN. |
| 产品应用 | IHC-P=1:100-500, IHC-F=1:100-500, IF=1:50-200 Not yet tested in other applications. |
| 交叉反应 | Mouse, 肾 (Human, Rat, Dog, Cow, Rabbit, Sheep) |
| 抗体来源 | Rabbit |
| 免疫原 | KLH conjugated synthetic peptide derived from human C1orf149 |
| 亚型 | IgG |
| 性状 | Liquid |
| 纯化方法 | affinity purified by Protein A |
| 克隆类型 | Polyclonal |
| 理论分子量 | 22 kDa |
| 浓度 | 1mg/ml |
| 储存液 | 0.01M TBS (pH7.4) with 1% BSA, 0.02% Proclin300 and 50% Glycerol. |
| 亚基 | Component of the NuA4 histone acetyltransferase complex which contains the catalytic subunit KAT5 and the subunits EP400, TRRAP, BRD8, EPC1, DMAP1, RUVBL1, RUVBL2, ING3, actin, ACTL6A, MORF4L1, MORF4L2, MRGBP, YEATS4, VPS72 and MEAF6. Component of the HBO1 complex composed at least of ING4 or ING5, KAT7/HBO1, MEAF6, and one of PHF15, PHF16 and PHF17. Component of the MOZ/MORF complex composed at least of ING5, KAT6A, KAT6B, MEAF6 and one of BRPF1, BRD1/BRPF2 and BRPF3. |
| 亚细胞定位 | Nucleus, nucleolus. |
| 相似性 | Belongs to the EAF6 family. |
| 功能 | Component of the NuA4 histone acetyltransferase complex which is involved in transcriptional activation of select genes principally by acetylation of nucleosomal histone H4 and H2A. This modification may both alter nucleosome - DNA interactions and promote interaction of the modified histones with other proteins which positively regulate transcription. Component of the HBO1 complex which has a histone H4-specific acetyltransferase activity, a reduced activity toward histone H3 and is responsible for the bulk of histone H4 acetylation in vivo. Component of the MOZ/MORF complex which has a histone H3 acetyltransferase activity. |
| 保存条件 | Shipped at 4℃. Store at -20℃ for one year. Avoid repeated freeze/thaw cycles. |
| 注意事项 | This product as supplied is intended for research use only, not for use in human, therapeutic or diagnostic applications. |
| 应用 | 推荐稀释比例 |
| {IHC-P} | {1:100-500} |
| {IHC-F} | {1:100-500} |
| {IF} | {1:50-200} |

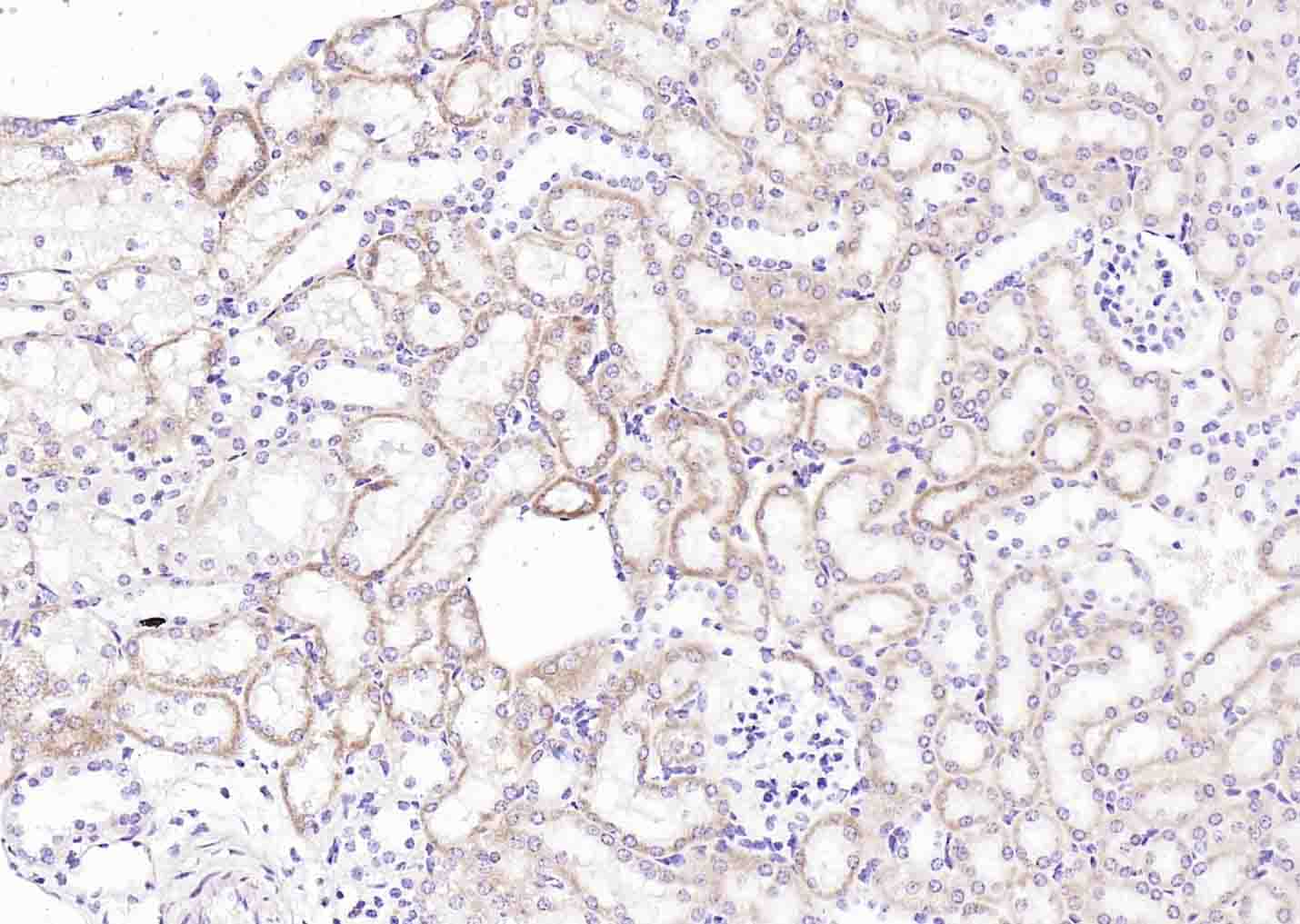
Paraformaldehyde-fixed, paraffin embedded (mouse kidney); Antigen retrieval by boiling in sodium citrate buffer (pH6.0) for 15min; Block endogenous peroxidase by 3% hydrogen peroxide for 20 minutes; Blocking buffer (normal goat serum) at 37°C for 30min; Incubation with (C1orf149) Polyclonal Antibody, Unconjugated (bs-9219R) at 1:200 overnight at 4°C, followed by operating according to SP Kit(Rabbit) (sp-0023) instructionsand DAB staining.
风险提示:丁香通仅作为第三方平台,为商家信息发布提供平台空间。用户咨询产品时请注意保护个人信息及财产安全,合理判断,谨慎选购商品,商家和用户对交易行为负责。对于医疗器械类产品,请先查证核实企业经营资质和医疗器械产品注册证情况。
技术资料暂无技术资料 索取技术资料
C1orf149 Rabbit pAb(bs-9219R)-50ul/100ul/200ul
¥1180 - 2800





