相关产品推荐更多 >
万千商家帮你免费找货
0 人在求购买到急需产品
- 详细信息
- 文献和实验
- 技术资料
- 应用范围:
产品信息以Bioss网站为准
- 规格:
50ul/100ul/200ul
| 规格: | 50ul | 产品价格: | ¥1180.0 |
|---|---|---|---|
| 规格: | 100ul | 产品价格: | ¥1980.0 |
| 规格: | 200ul | 产品价格: | ¥2800.0 |
| 产品编号 | bs-8458R |
| 英文名称 | PTRF Rabbit pAb |
| 中文名称 | RNA聚合酶1和转录释放因子抗体 |
| 英文别名 | Cavin; MGC118550; FKSG13; OTTMUSP00000002049; polymerase I and transcript release factor; RNA polymerase I and transcript release factor; RP23-279L23.6; TTF I interacting peptide 12; 2310075E07Rik; AW546441; PTRF_HUMAN. |
| 产品应用 | IHC-P=1:100-500, IHC-F=1:100-500, IF=1:100-500 Not yet tested in other applications. |
| 交叉反应 | Mouse (Human, Rat, Dog, Cow, Horse) |
| 抗体来源 | Rabbit |
| 免疫原 | KLH conjugated synthetic peptide derived from human PTRF/RNA polymerase I and transcript release factor |
| 亚型 | IgG |
| 性状 | Liquid |
| 纯化方法 | affinity purified by Protein A |
| 克隆类型 | Polyclonal |
| 理论分子量 | 43 kDa |
| 浓度 | 1mg/ml |
| 储存液 | 0.01M TBS (pH7.4) with 1% BSA, 0.02% Proclin300 and 50% Glycerol. |
| 亚基 | Interacts with RNA polymerase I and TTF1. Binds the 3' end of pre-rRNA. Interacts with transcription factor ZNF148 (By similarity). Interacts with LIPE in the adipocyte cytoplasm. |
| 亚细胞定位 | Cell membrane; caveola (surface). Cell membrane. Microsome. Cytoplasm; cytosol. Mitochondrion. Nucleus. Also found in the plasma membrane, microsomal and cytosolic fractions and at a low level in the mitochondrial and nuclear fractions. |
| 翻译后修饰 | Phosphorylated. Present in active and inactive forms. Changes in phosphorylation pattern may alter activity (By similarity). Five truncated forms are found in the caveolae. These are thought to be the result of proteolysis and may be phosphorylation-dependent. |
| 相似性 | Belongs to the PTRF/SDPR family. |
| 功能 | Plays an important role in caveolae formation and organization. Required for the sequestration of mobile caveolin into immobile caveolae. Termination of transcription by RNA polymerase I involves pausing of transcription by TTF1, and the dissociation of the transcription complex, releasing pre-rRNA and RNA polymerase I from the template. PTRF is required for dissociation of the ternary transcription complex. |
| 保存条件 | Shipped at 4℃. Store at -20℃ for one year. Avoid repeated freeze/thaw cycles. |
| 注意事项 | This product as supplied is intended for research use only, not for use in human, therapeutic or diagnostic applications. |
| 背景资料 | Pausing of elongation complexes is mediated by the transcription termination factor TTF-I bound to the 'Sal box' terminator downstream of the rDNA transcription unit. PTRF is a Pol I and transcript release factor for dissociation of paused ternary complexes. |
| 应用 | 推荐稀释比例 |
| {IHC-P} | {1:100-500} |
| {IHC-F} | {1:100-500} |
| {IF} | {1:100-500} |

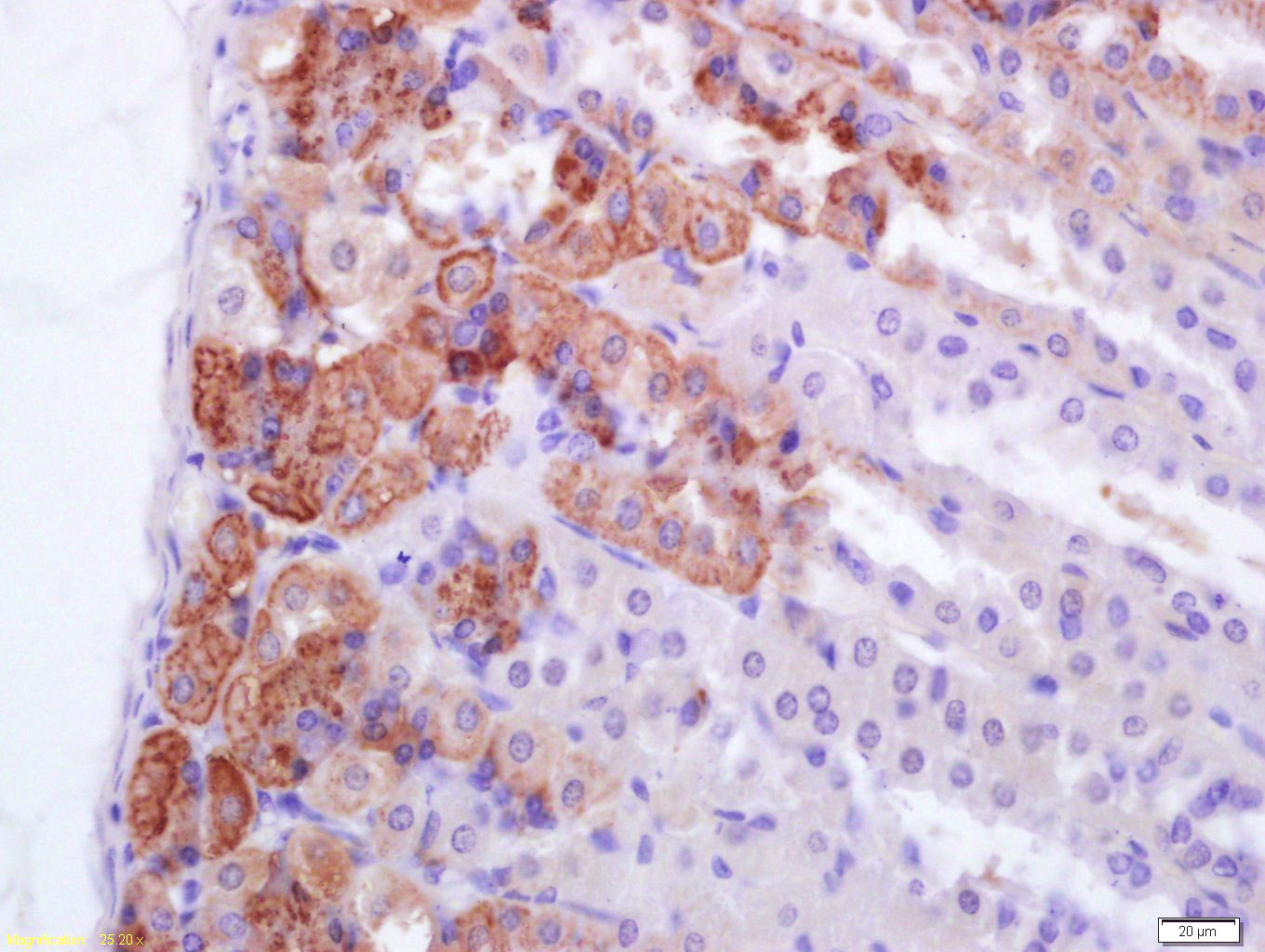
Antigen retrieval: citrate buffer ( 0.01M, pH 6.0 ), Boiling bathing for 15min; Block endogenous peroxidase by 3% Hydrogen peroxide for 30min; Blocking buffer (normal goat serum,C-0005) at 37℃ for 20 min;
Incubation: Anti-PTRF Polyclonal Antibody, Unconjugated(bs-8458R) 1:200, overnight at 4°C, followed by conjugation to the secondary antibody(SP-0023) and DAB(C-0010) staining
风险提示:丁香通仅作为第三方平台,为商家信息发布提供平台空间。用户咨询产品时请注意保护个人信息及财产安全,合理判断,谨慎选购商品,商家和用户对交易行为负责。对于医疗器械类产品,请先查证核实企业经营资质和医疗器械产品注册证情况。
文献和实验= NAL), appears to form upon oxidative cyclization of the nonfluorescent 2:1 lysine-HNE Michael adduct-Schiff base cross-link (Scheme 1). Polyclonal antibody (PAb) to the NAL-HNE fluorophore was raised in rabbit and found to be highly specific
GE Healthcare Benzamidine Sepharose™ 6B is p-aminobenzamidine covalently attached to Sepharose 6B by the epoxy coupling method. p-Aminobenzamidine (PAB), is a synthetic inhibitor of trypsin-like serine protease. Trypsin and trypsin
Nucleic Acid Programmable Protein Arrays: Versatile Tools for Array‐Based Functional Protein Studies
.g., Sigma) 50 mg/ml bis‐sulfosuccinimdylsuberate (BS3 ;Pierce, cat. no. PI 21580) in dimethylsulfoxide (DMSO) 5 mg/ml
技术资料暂无技术资料 索取技术资料








