相关产品推荐更多 >

AQP1 Rabbit pAb(bs-1506R)-50ul/100ul/200ul
¥1180
Hepatitis C virus subtype 1b E1 Rabbit pAb(bs-16474R)-50ul/100ul/200ul
¥1180
CXCL13 Rabbit pAb, APC-Cy5.5 conjugated(bs-2553R-APC-Cy5.5)-100ul
¥2980
FGF2 Rabbit pAb, FITC conjugated(bs-2235R-FITC)-100ul
¥2980
phospho-IRS1 (Tyr1179) Rabbit pAb, APC conjugated(bs-8709R-APC)-100ul
¥2980
万千商家帮你免费找货
0 人在求购买到急需产品
- 详细信息
- 技术资料
- 应用范围:
产品信息以Bioss网站为准
- 规格:
50ul/100ul/200ul
| 规格: | 50ul | 产品价格: | ¥1180.0 |
|---|---|---|---|
| 规格: | 100ul | 产品价格: | ¥1980.0 |
| 规格: | 200ul | 产品价格: | ¥2800.0 |
| 产品编号 | bs-7828R |
| 英文名称 | RINT1 Rabbit pAb |
| 中文名称 | 胞膜间内质网调节蛋白1抗体 |
| 英文别名 | HsRINT 1; HsRINT1; RAD50 interacting protein 1; RINT 1; RINT1_HUMAN. |
| 产品应用 | IHC-P=1:100-500, IHC-F=1:100-500, IF=1:100-500 Not yet tested in other applications. |
| 交叉反应 | Rat (Human, Mouse, Dog, Pig, Horse, Rabbit, Sheep) |
| 抗体来源 | Rabbit |
| 免疫原 | KLH conjugated synthetic peptide derived from human RINT1 |
| 亚型 | IgG |
| 性状 | Liquid |
| 纯化方法 | affinity purified by Protein A |
| 克隆类型 | Polyclonal |
| 理论分子量 | 91 kDa |
| 浓度 | 1mg/ml |
| 储存液 | 0.01M TBS (pH7.4) with 1% BSA, 0.02% Proclin300 and 50% Glycerol. |
| 研究领域 | Cancer > Oncoproteins/suppressors > Tumor suppressors Cell Biology > Cell Cycle > Cell Division > Other cell division antibodies Epigenetics and Nuclear Signaling > Chromosome Structure > Telomeres Signal Transduction > Protein Trafficking > Vesicle Transport > Regulation |
| 亚基 | Associated with a SNARE complex consisting of STX18,USE1L, BNIP1/SEC20L, and SEC22B. Interacts directly withBNIP1/SEC20L and ZW10. Interacts with RAD50 during late S and G2/Mphases. Interacts with RBL2, preferentially with the active,hypophosphorylated form. |
| 亚细胞定位 | Cytoplasm. Endoplasmic reticulum membrane;Peripheral membrane protein. |
| 相似性 | Belongs to the RINT1 family. Contains 1 RINT1/TIP20 domain. |
| 功能 | Involved in regulation of membrane traffic between theGolgi and the endoplasmic reticulum. May play a role in cell cyclecheckpoint control. Essential for telomere length control. |
| 保存条件 | Shipped at 4℃. Store at -20℃ for one year. Avoid repeated freeze/thaw cycles. |
| 注意事项 | This product as supplied is intended for research use only, not for use in human, therapeutic or diagnostic applications. |
| 背景资料 | RINT1 is involved in the regulation of membrane traffic between the golgi and the endoplasmic reticulum. It may play a role in cell cycle checkpoint control and is essential for telomere length control. |
| 应用 | 推荐稀释比例 |
| {IHC-P} | {1:100-500} |
| {IHC-F} | {1:100-500} |
| {IF} | {1:100-500} |

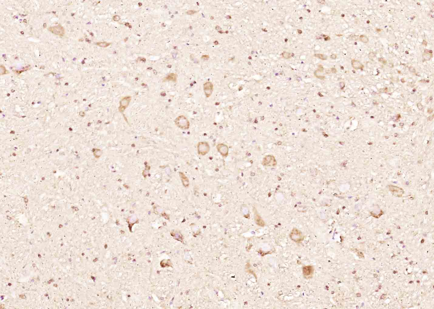
Paraformaldehyde-fixed, paraffin embedded (rat cerebellum); Antigen retrieval by boiling in sodium citrate buffer (pH6.0) for 15min; Block endogenous peroxidase by 3% hydrogen peroxide for 20 minutes; Blocking buffer (normal goat serum) at 37°C for 30min; Antibody incubation with (RCL) Polyclonal Antibody, Unconjugated (bs-7828R) at 1:200 overnight at 4°C, followed by operating according to SP Kit(Rabbit) (sp-0023) instructionsand DAB staining.
风险提示:丁香通仅作为第三方平台,为商家信息发布提供平台空间。用户咨询产品时请注意保护个人信息及财产安全,合理判断,谨慎选购商品,商家和用户对交易行为负责。对于医疗器械类产品,请先查证核实企业经营资质和医疗器械产品注册证情况。
技术资料暂无技术资料 索取技术资料
RINT1 Rabbit pAb(bs-7828R)-50ul/100ul/200ul
¥1180 - 2800





