Sample:
Lane 1: Mouse Cerebrum tissue lysates
Lane 2: Mouse Adrenal gland tissue lysates
Lane 3: Mouse Kidney tissue lysates
Lane 4: Rat Cerebrum tissue lysates
Lane 5: Rat Spleen tissue lysates
Lane 6: Rat Adrenal gland tissue lysates
Lane 7: Rat Kidney tissue lysates
Primary: Anti-TNFAIP3 interacting protein 3 (bs-7551R) at 1/1000 dilution
Secondary: IRDye800CW Goat Anti-Rabbit IgG at 1/20000 dilution
Predicted band size: 39 kDa
Observed band size: 40 kDa
相关产品推荐更多 >

phospho-HSP70 (Tyr41) Rabbit pAb, APC conjugated(bs-10451R-APC)-100ul
¥2980
MAGIX Rabbit pAb, HRP conjugated(bs-18630R-HRP)-100ul
¥2980
LLPH/C12orf31 Rabbit pAb(bs-18303R)-50ul/100ul/200ul
¥1180
PAK6 Rabbit pAb(bs-4153R)-50ul/100ul/200ul
¥1180
phospho-Bcl2 (Ser87) Rabbit pAb, PerCP conjugated(bs-12577R-PerCP)-100ul
¥2980
万千商家帮你免费找货
0 人在求购买到急需产品
- 详细信息
- 技术资料
- 应用范围:
产品信息以Bioss网站为准
- 规格:
50ul/100ul/200ul
| 规格: | 50ul | 产品价格: | ¥1180.0 |
|---|---|---|---|
| 规格: | 100ul | 产品价格: | ¥1980.0 |
| 规格: | 200ul | 产品价格: | ¥2800.0 |
| 产品编号 | bs-7551R |
| 英文名称 | TNFAIP3 interacting protein 3 Rabbit pAb |
| 中文名称 | 肿瘤坏死因子α诱导相互作用蛋白3抗体 |
| 英文别名 | Listeria induced; A20-binding inhibitor of NF-kappa-B activation 3; ABIN-3; ABIN-3 beta; FLJ21162; LIND; Listeria induced gene protein; TNFAIP3 interacting protein 3; TNFAIP3-interacting protein 3 beta; TNIP3; TNIP3 beta; TNIP3_HUMAN. |
| 产品应用 | WB=1:500-2000, IHC-P=1:100-500, IHC-F=1:100-500, IF=1:100-500 Not yet tested in other applications. |
| 交叉反应 | Mouse, Rat (Human, Cow, Sheep) |
| 抗体来源 | Rabbit |
| 免疫原 | KLH conjugated synthetic peptide derived from human TNFAIP3 interacting protein 3/ABIN3 |
| 亚型 | IgG |
| 性状 | Liquid |
| 纯化方法 | affinity purified by Protein A |
| 克隆类型 | Polyclonal |
| 理论分子量 | 39 kDa |
| 浓度 | 1mg/ml |
| 储存液 | 0.01M TBS (pH7.4) with 1% BSA, 0.02% Proclin300 and 50% Glycerol. |
| 研究领域 | Cardiovascular > Atherosclerosis > Vascular Inflammation > Inflammatory mediators Cardiovascular > Vasculature > Endothelium Signal Transduction > Signaling Pathway > Nuclear Signaling > NFkB Pathway |
| 亚基 | Interacts with TNFAIP3. Interacts with polyubiquitin. |
| 组织特异性 | Highly expressed in lung, lymph node, thymus and fetal liver. Expressed at lower levels in bone marrow, brain, kidney, spleen, leukocytes and tonsils. Could be detected in heart, salivary gland, adrenal gland, pancreas, ovary and fetal brain. High levels detected in liver, colon, small intestine, muscle, stomach, testis, placenta, thyroid, uterus, prostate, skin and PBL. |
| 功能 | Binds to zinc finger protein TNFAIP3 and inhibits NF-kappa-B activation induced by tumor necrosis factor, Toll-like receptor 4 (TLR4), interleukin-1 and 12-O-tetradecanoylphorbol-13-acetate. Overexpression inhibits NF-kappa-B-dependent gene expression in response to lipopolysaccharide at a level downstream of TRAF6 and upstream of IKBKB. NF-kappa-B inhibition is independent of TNFAIP3 binding. |
| 保存条件 | Shipped at 4℃. Store at -20℃ for one year. Avoid repeated freeze/thaw cycles. |
| 注意事项 | This product as supplied is intended for research use only, not for use in human, therapeutic or diagnostic applications. |
| 背景资料 | ABIN-3 is a member of the A20-binding inhibitor of NF-kappaB activation (ABIN) protein family. Similar to the previously characterized human ABINs (ABIN-1 and ABIN-2), ABIN-3 can bind to A20 and inhibit NF-kappaB activation. In contrast, mouse ABIN-3 is incapable of inhibiting NF-kappaB activation by proinflammatory stimuli because the protein lacks a complete ABIN homology domain, which is required for the funcitonal activity of human ABIN-3. |
| 应用 | 推荐稀释比例 |
| {WB} | {1:500-2000} |
| {IHC-P} | {1:100-500} |
| {IHC-F} | {1:100-500} |
| {IF} | {1:100-500} |


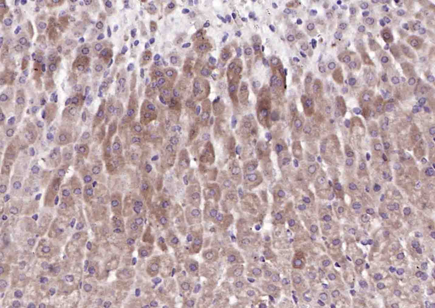
Paraformaldehyde-fixed, paraffin embedded (mouse adrenal gland); Antigen retrieval by boiling in sodium citrate buffer (pH6.0) for 15min; Block endogenous peroxidase by 3% hydrogen peroxide for 20 minutes; Blocking buffer (normal goat serum) at 37°C for 30min; Incubation with (TNFAIP3 interacting protein 3) Polyclonal Antibody, Unconjugated (bs-7551R) at 1:200 overnight at 4°C, followed by operating according to SP Kit(Rabbit) (sp-0023) instructionsand DAB staining.
风险提示:丁香通仅作为第三方平台,为商家信息发布提供平台空间。用户咨询产品时请注意保护个人信息及财产安全,合理判断,谨慎选购商品,商家和用户对交易行为负责。对于医疗器械类产品,请先查证核实企业经营资质和医疗器械产品注册证情况。
技术资料暂无技术资料 索取技术资料
TNFAIP3 interacting protein 3 Rabbit pAb(bs-7551R)-50ul/100ul/200ul
¥1180 - 2800






