相关产品推荐更多 >

phospho-ERK1/ERK2(phospho-T183/Y185) Rabbit pAb, PE-Cy5 conjugated(bs-1522R-PE-Cy5)-100ul
¥2980
KCNV2 Rabbit pAb(bs-16921R)-50ul/100ul/200ul
¥1180
SIRT6 Rabbit pAb(bs-4174R)-50ul/100ul/200ul
¥1180
LRRC34 Rabbit pAb(bs-18380R)-50ul/100ul/200ul
¥1180
NFKBIL1 Rabbit pAb, HRP conjugated(bs-19224R-HRP)-100ul
¥2980
万千商家帮你免费找货
0 人在求购买到急需产品
- 详细信息
- 文献和实验
- 技术资料
- 应用范围:
产品信息以Bioss网站为准
- 规格:
50ul/100ul/200ul
| 规格: | 50ul | 产品价格: | ¥1180.0 |
|---|---|---|---|
| 规格: | 100ul | 产品价格: | ¥1980.0 |
| 规格: | 200ul | 产品价格: | ¥2800.0 |
| 产品编号 | bs-5638R |
| 英文名称 | phospho-PTPN11 (Tyr81) Rabbit pAb |
| 中文名称 | 磷酸化蛋白酪氨酸磷酸酶2抗体 |
| 英文别名 | PTN11_HUMAN; Tyrosine-protein phosphatase non-receptor type 11; PTP2C; SHPTP2; EC:3.1.3.48; Protein-tyrosine phosphatase 1D(PTP-1D); Protein-tyrosine phosphatase 2C(PTP-2C); SH-PTP2(SHP-2; Shp2); SH-PTP3; protein tyrosine phosphatase non-receptor type 11; CFC; NS1; JMML; BPTP3; PTP2C; METCDS; |
| 产品应用 | IHC-P=1:100-500, IHC-F=1:100-500, IF=1:100-500, Flow-Cyt=2ug/Test Not yet tested in other applications. |
| 交叉反应 | Human, Mouse, Rat (Chicken, Dog, Pig, Cow, Rabbit, Sheep) |
| 抗体来源 | Rabbit |
| 免疫原 | KLH conjugated Synthesised phosphopeptide derived from human PTPN11/SHP2 around the phosphorylation site of Tyr81 |
| 亚型 | IgG |
| 性状 | Liquid |
| 纯化方法 | affinity purified by Protein A |
| 克隆类型 | Polyclonal |
| 理论分子量 | 68 kDa |
| 浓度 | 1mg/ml |
| 储存液 | 0.01M TBS (pH7.4) with 1% BSA, 0.02% Proclin300 and 50% Glycerol. |
| 研究领域 | Neuroscience > Sensory System > Auditory system Signal Transduction > Protein Phosphorylation > Tyrosine Phosphatases |
| 亚基 | Interacts with phosphorylated LIME1 and BCAR3. Interacts with SHB and INPP5D/SHIP1. Interacts with MILR1 (tyrosine-phosphorylated). Interacts with FLT1 (tyrosine-phosphorylated), FLT3 (tyrosine-phosphorylated), FLT4 (tyrosine-phosphorylated), KIT and GRB2. Interacts with PDGFRA (tyrosine phosphorylated). Interacts (via SH2 domain) with TEK/TIE2 (tyrosine phosphorylated) (By similarity). Interacts with PTPNS1 and CD84. Interacts with phosphorylated SIT1 and MPZL1. Interacts with FCRL3, FCRL4, FCRL6 and ANKHD1. Interacts with KIR2DL1; the interaction is enhanced by ARRB2. Interacts with GAB2. Interacts with TERT; the interaction retains TERT in the nucleus. Interacts with PECAM1 and FER. Interacts with EPHA2 (activated); participates in PTK2/FAK1 dephosphorylation in EPHA2 downstream signaling. Interacts with ROS1; mediates PTPN11 phosphorylation. Interacts with PDGFRB (tyrosine phosphorylated); this interaction increases the PTPN11 phosphatase activity. |
| 亚细胞定位 | Cytoplasm. |
| 组织特异性 | Widely expressed, with highest levels in heart, brain, and skeletal muscle. |
| 翻译后修饰 | Phosphorylated on Tyr-546 and Tyr-584 upon receptor protein tyrosine kinase activation; which creates a binding site for GRB2 and other SH2-containing proteins. Phosphorylated upon activation of the receptor-type kinase FLT3. Phosphorylated upon activation of the receptor-type kinase PDGFRA (By similarity). Phosphorylated by activated PDGFRB. |
| 相似性 | Belongs to the protein-tyrosine phosphatase family. Non-receptor class 2 subfamily.
Contains 2 SH2 domains. Contains 1 tyrosine-protein phosphatase domain. |
| 功能 | Acts downstream of various receptor and cytoplasmic protein tyrosine kinases to participate in the signal transduction from the cell surface to the nucleus. Dephosphorylates ROCK2 at Tyr-722 resulting in stimulatation of its RhoA binding activity. |
| 保存条件 | Shipped at 4℃. Store at -20℃ for one year. Avoid repeated freeze/thaw cycles. |
| 注意事项 | This product as supplied is intended for research use only, not for use in human, therapeutic or diagnostic applications. |
| 背景资料 | The steady state of protein tyrosyl phosphorylation in cells is regulated by the opposing action of tyrosine kinases and protein tyrosine phosphatases (PTPs). Several groups have independently identified a non transmembrane PTP, designated SHPTP1 (also known as PTP1C, HCP and SHP), which is primarily expressed in hematopoietic cells and characterized by the presence of two SH2 domains N terminal to the PTP domain. A second and much more widely expressed PTP with SH2 domains, SHPTP2 (also designated PTP1D and Syp), has been identified. SHP2 is a protein tyrosine phosphatase that is widely expressed and plays a regulatory role in various cell |
| 应用 | 推荐稀释比例 |
| {IHC-P} | {1:100-500} |
| {IHC-F} | {1:100-500} |
| {IF} | {1:100-500} |
| {Flow-Cyt} | {2ug/Test} |

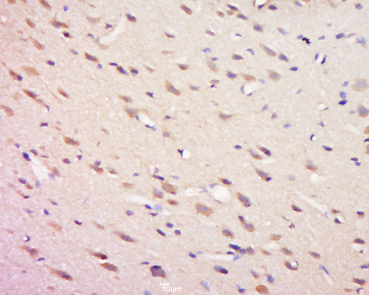
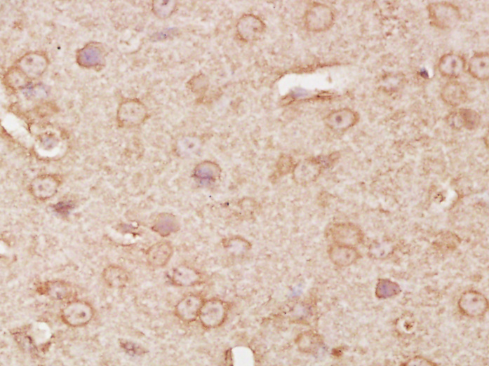
Antigen retrieval: citrate buffer ( 0.01M, pH 6.0 ), Boiling bathing for 15min; Block endogenous peroxidase by 3% Hydrogen peroxide for 30min; Blocking buffer (normal goat serum,C-0005) at 37℃ for 20 min;
Incubation: Anti-Phospho-SHP2(Tyr81)Polyclonal Antibody, Unconjugated(bs-5638R) 1:500, overnight at 4°C, followed by conjugation to the secondary antibody(SP-0023) and DAB(C-0010) staining


Primary Antibody (green line): Rabbit Anti-Phospho-PTPN11 (Tyr81) antibody (bs-5638R)
Dilution:2ug/Test;
Secondary Antibody(white blue line): Goat anti-rabbit IgG-FITC
Dilution: 0.5ug/Test.
Isotype control(orange line): Normal Rabbit IgG
Protocol
The cells were fixed with 4% PFA (10min at room temperature)and then permeabilized with 90% ice-cold methanol for 20 min at -20℃, The cells were then incubated in 5%BSA to block non-specific protein-protein interactions for 30 min at room temperature .Cells stained with Primary Antibody for 30 min at room temperature. The secondary antibody used for 40 min at room temperature. Acquisition of 20,000 events was performed.
风险提示:丁香通仅作为第三方平台,为商家信息发布提供平台空间。用户咨询产品时请注意保护个人信息及财产安全,合理判断,谨慎选购商品,商家和用户对交易行为负责。对于医疗器械类产品,请先查证核实企业经营资质和医疗器械产品注册证情况。
文献和实验。所以,我们建议使用微波炉或高压锅加热煮沸以达到最佳抗原修复效果。抗体:Phospho–Stat3 (Tyr705)(D3A7) XP. Rabbit mAb #9145样本:石蜡包埋人类肺部肿瘤样本煮沸设备:浴锅 (左),微波炉 (中),高压锅 (右)免疫染色—封闭在 IHC–P 中,我们建议在室温下在含有 Tween20 的 TBST 缓冲液和 5% 正常山羊血清 (NGS) 中封闭样品,时长 1 小时,以防止非特异性背景染色。在进行 IHC–F 时,在含有 0.3% Triton. X–100 的 1X
used in accordance withmanufacturer recommendationsSignalStain?DAB Substrate Kit #8059:IHC analysis of paraffin-embedded human breastcarcinoma using Phospho-Stat3 (Tyr705) (D3A7) XP? Rabbit mAb #9145. Chromogenicdetection was performed using #8059 (left
v468. chapter 4 WNT 细胞通路 检测细胞GSK3活性与表达水平
. Immunoblot using antibodies to phospho-Tyr279/216 can assess alterations in activity independent ofthe N-terminal phosphorylation, although phosphorylation atthis site is most likely to be constitutive (14) . 3. Immunoblot using antibodies to known
技术资料暂无技术资料 索取技术资料






