相关产品推荐更多 >

Anti-human FOLR1 / FRA (Farletuzumab Biosimilar)(BIO0033SM)-1mg/5mg/20mg
¥1550
Parvalbumin Rabbit pAb, APC-Cy7 conjugated(bs-1299R-APC-Cy7)-100ul
¥2980
CD112 Rabbit pAb(bs-2679R)-50ul/100ul/200ul
¥1180
CSNK1G2 Recombinant Rabbit mAb(bsm-60668R)-50ul/100ul/25ul
¥800
KLF10 Rabbit pAb(bs-1838R)-50ul/100ul/200ul
¥1180
万千商家帮你免费找货
0 人在求购买到急需产品
- 详细信息
- 技术资料
- 应用范围:
产品信息以Bioss网站为准
- 规格:
50ul/100ul/200ul
| 规格: | 50ul | 产品价格: | ¥1180.0 |
|---|---|---|---|
| 规格: | 100ul | 产品价格: | ¥1980.0 |
| 规格: | 200ul | 产品价格: | ¥2800.0 |
| 产品编号 | bs-5300R |
| 英文名称 | phospho-DDX58 (Thr170) Rabbit pAb |
| 中文名称 | 磷酸化DDX58抗体 |
| 英文别名 | p-DDX58(Thr170); DEAD/H(Asp-Glu-Ala-Asp/His) box polypeptide RIG-I; DKFZp434J1111; DKFZp686N19181; FLJ13599; C330021E21; OTTHUMP00000045225; DEAD(Asp-Glu-Ala-Asp) box polypeptide 58; DEAD(Asp Glu Ala Asp/His) box polypeptide; DEAD box protein 58; Probable ATP dependent RNA helicase DDX58; Retinoic acid inducible gene 1 protein; RIG I; rig-I; RIG1; rigi; RNA helicase. |
| 产品应用 | WB=1:500-2000, IHC-P=1:100-500, IHC-F=1:100-500, IF=1:100-500 Not yet tested in other applications. |
| 交叉反应 | Human, Mouse (Dog, Pig, Cow, Horse, Rabbit, Sheep) |
| 抗体来源 | Rabbit |
| 免疫原 | KLH conjugated Synthesised phosphopeptide derived from human DDX58 around the phosphorylation site of Thr170 |
| 亚型 | IgG |
| 性状 | Liquid |
| 纯化方法 | affinity purified by Protein A |
| 克隆类型 | Polyclonal |
| 理论分子量 | 106 kDa |
| 浓度 | 1mg/ml |
| 储存液 | 0.01M TBS (pH7.4) with 1% BSA, 0.02% Proclin300 and 50% Glycerol. |
| 研究领域 | Epigenetics and Nuclear Signaling > Chromatin Binding Proteins > DNA / RNA binding Epigenetics and Nuclear Signaling > DNA / RNA > RNA Processing Immunology > Immune System Diseases > Antiviral Signaling |
| 亚基 | Monomer; maintained as a monomer in an autoinhibited state. Upon viral dsRNA binding and conformation shift, homomultimerizes and interacts with MAVS. Interacts with DHX58/LGP2, IKBKE, TBK1 and TMEM173/STING. Interacts (via CARD domain) with TRIM25 (via SPRY domain). Interacts with RNF135. Interacts with CYLD. Interacts with NLRC5; blocks the interaction of MAVS to DDX58. Interacts with SRC. |
| 亚细胞定位 | Cytoplasm. Note=Colocalized with TRIM25 at cytoplasmic perinuclear bodies. |
| 组织特异性 | Present in vascular smooth cells (at protein level). |
| 翻译后修饰 | Phosphorylated in resting cells and dephosphorylated in RNA virus-infected cells. Phosphorylation at Thr-770, Ser-854 and Ser-855 results in inhibition of its activity while dephosphorylation at these sites results in its activation.
Isgylated. Conjugated to ubiquitin-like protein ISG15 upon IFN-beta stimulation. Ubiquitinated. Undergoes 'Lys-48'- and 'Lys-63'-linked ubiquitination. Lys-172 is the critical site for TRIM25-mediated ubiquitination, for MAVS/IPS1 binding and to induce anti-viral signal transduction. Lys-154, Lys-164 and Lys-172 are critical sites for RNF135-mediated ubiquitination. Deubiquitinated by CYLD, a protease that selectively cleaves 'Lys-63'-linked ubiquitin chains. Also probably deubiquitinated by USP17L2/USP17 that cleaves 'Lys-48'-and 'Lys-63'-linked ubiquitin chains and positively regulates the receptor. |
| 相似性 | Belongs to the helicase family. Contains 2 CARD domains. Contains 1 helicase ATP-binding domain. Contains 1 helicase C-terminal domain. |
| 功能 | Involved in innate immune defense against viruses. Upon interaction with intracellular dsRNA produced during viral replication, triggers a transduction cascade involving MAVS/IPS1, which results in the activation of NF-kappa-B, IRF3 and IRF7 and the induction of the expression of antiviral cytokines such as IFN-beta and RANTES (CCL5). Detects dsRNA produced from non-self dsDNA by RNA polymerase III, such as Epstein-Barr virus-encoded RNAs (EBERs). Essential for the production of interferons in response to RNA viruses including paramyxoviruses, influenza viruses, Japanese encephalitis virus and HCV. |
| 保存条件 | Shipped at 4℃. Store at -20℃ for one year. Avoid repeated freeze/thaw cycles. |
| 注意事项 | This product as supplied is intended for research use only, not for use in human, therapeutic or diagnostic applications. |
| 背景资料 | The innate immune system detects viral infection by recognizing various viral components and triggers antiviral responses. Like the toll-like receptor 3 (TLR3), the cytoplasmic helicase retinoic acid inducible gene protein 1 (RIG1/DDX58) recognizes double-stranded (ds) RNA, a molecular pattern associated with viral infection. Unlike TLR3 however, RIG1/DDX58 activates the kinases TBK1 and IKKe through the adaptor protein IPS1. These kinases then phosphorylate the transcription factors IRF3 and IRF7 which are essential for the expression of type-I interferons. RIG1/DDX58 is required for the production of interferons in response to RNA viruses including paramyxoviruses, influenza virus, and Japanese encephalitis virus. |
| 应用 | 推荐稀释比例 |
| {WB} | {1:500-2000} |
| {IHC-P} | {1:100-500} |
| {IHC-F} | {1:100-500} |
| {IF} | {1:100-500} |

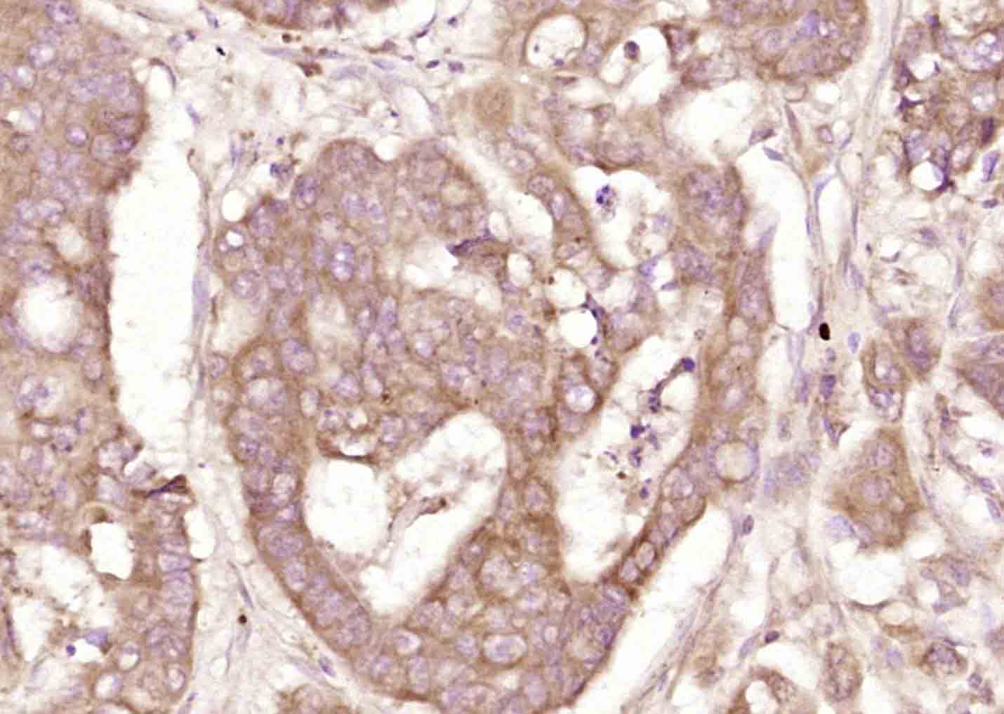
Paraformaldehyde-fixed, paraffin embedded (human cervical carcinoma); Antigen retrieval by boiling in sodium citrate buffer (pH6.0) for 15min; Block endogenous peroxidase by 3% hydrogen peroxide for 20 minutes; Blocking buffer (normal goat serum) at 37°C for 30min; Antibody incubation with (phospho-DDX58 (Thr170)) Polyclonal Antibody, Unconjugated (bs-5300R) at 1:200 overnight at 4°C, followed by operating according to SP Kit(Rabbit) (sp-0023) instructionsand DAB staining.

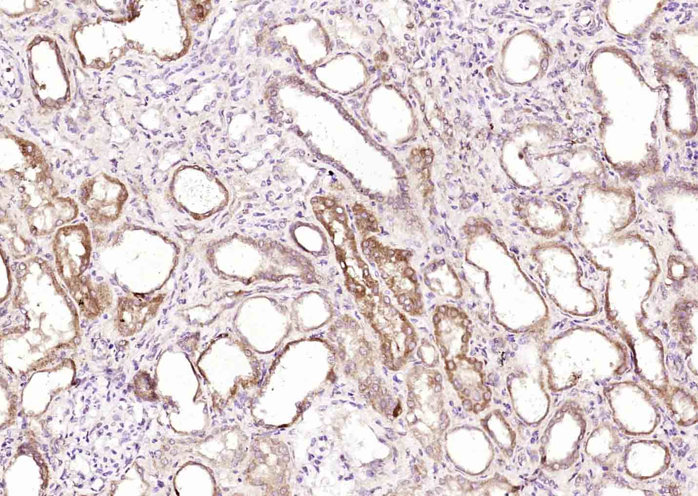
Paraformaldehyde-fixed, paraffin embedded (Human kidney); Antigen retrieval by boiling in sodium citrate buffer (pH6.0) for 15min; Block endogenous peroxidase by 3% hydrogen peroxide for 20 minutes; Blocking buffer (normal goat serum) at 37°C for 30min; Antibody incubation with (phospho-DDX58 (Thr170)) Polyclonal Antibody, Unconjugated (bs-5300R) at 1:200 overnight at 4°C, followed by operating according to SP Kit(Rabbit) (sp-0023) instructionsand DAB staining.

Sample:
Lane 1: Mouse NIH/3T3 cell lysates
Lane 2: Human Jurkat cell lysates
Lane 3: Human MOLT4 cell lysates
Lane 4: Human MCF-7 cell lysates
Primary: Anti-phospho-DDX58 (Thr170) (bs-5300R) at 1/1000 dilution
Secondary: IRDye800CW Goat Anti-Rabbit IgG at 1/20000 dilution
Predicted band size: 106 kDa
Observed band size: 110 kDa
Lane 1: Mouse NIH/3T3 cell lysates
Lane 2: Human Jurkat cell lysates
Lane 3: Human MOLT4 cell lysates
Lane 4: Human MCF-7 cell lysates
Primary: Anti-phospho-DDX58 (Thr170) (bs-5300R) at 1/1000 dilution
Secondary: IRDye800CW Goat Anti-Rabbit IgG at 1/20000 dilution
Predicted band size: 106 kDa
Observed band size: 110 kDa
风险提示:丁香通仅作为第三方平台,为商家信息发布提供平台空间。用户咨询产品时请注意保护个人信息及财产安全,合理判断,谨慎选购商品,商家和用户对交易行为负责。对于医疗器械类产品,请先查证核实企业经营资质和医疗器械产品注册证情况。
技术资料暂无技术资料 索取技术资料
phospho-DDX58 (Thr170) Rabbit pAb(bs-5300R)-50ul/100ul/200ul
¥1180 - 2800





