相关产品推荐更多 >

phospho-c-Jun (Thr91+Thr93) Rabbit pAb, Cy5 conjugated(bs-1735R-Cy5)-100ul
¥2980
PLCG 2 Rabbit pAb, PerCP-Cy7 conjugated(bs-3532R-PerCP-Cy7)-100ul
¥2980
S100A7 Rabbit pAb, Cy7 conjugated(bs-6238R-Cy7)-100ul
¥2980
FRMPD2 Rabbit pAb(bs-9038R)-50ul/100ul/200ul
¥1180
phospho-Fos B (Ser27) Rabbit pAb, Cy7 conjugated(bs-13198R-Cy7)-100ul
¥2980
万千商家帮你免费找货
0 人在求购买到急需产品
- 详细信息
- 技术资料
- 应用范围:
产品信息以Bioss网站为准
- 规格:
50ul/100ul/200ul
| 规格: | 50ul | 产品价格: | ¥1180.0 |
|---|---|---|---|
| 规格: | 100ul | 产品价格: | ¥1980.0 |
| 规格: | 200ul | 产品价格: | ¥2800.0 |
| 产品编号 | bs-5166R |
| 英文名称 | phospho-APBB1 (Ser347) Rabbit pAb |
| 中文名称 | 磷酸化铁蛋白Fe65抗体 |
| 英文别名 | Adaptor protein FE65a2; Amyloid beta(A4) precursor protein binding family B member 1; Amyloid beta A4 precursor protein binding family B; Amyloid beta A4 precursor protein binding family B member 1; Amyloid beta precursor protein binding family B member 1; APBB 1; APBB1; FE 65; Fe65 protein; MGC 9072; MGC9072; Protein Fe65; RIR; Stat like protein; Fe-65 Protein; APBB1_HUMAN. |
| 产品应用 | WB=1:500-2000, IHC-P=1:100-500, IHC-F=1:100-500, IF=1:100-500 Not yet tested in other applications. |
| 交叉反应 | Human, Mouse, Rat (Dog, Pig, Cow, Horse, Rabbit) |
| 抗体来源 | Rabbit |
| 免疫原 | KLH conjugated Synthesised phosphopeptide derived from human APBB1 around the phosphorylation site of Ser347 |
| 亚型 | IgG |
| 性状 | Liquid |
| 纯化方法 | affinity purified by Protein A |
| 克隆类型 | Polyclonal |
| 理论分子量 | 77 kDa |
| 浓度 | 1mg/ml |
| 储存液 | 0.01M TBS (pH7.4) with 1% BSA, 0.02% Proclin300 and 50% Glycerol. |
| 研究领域 | Neuroscience > Neurology process > Neurodegenerative disease > Alzheimer's disease > Amyloid Signal Transduction > Adapters > Cytoplasmic |
| 亚基 | Component of a complex, at least composed of APBB1,RASD1/DEXRAS1 and APP. Interacts (via PID domain 2) with APP (withthe intracellular domain of the beta-amyloid precursor protein).Interacts (via PID domain 2) with RASD1/DEXRAS1; impairs thetrancription activation activity. Interacts (via PID domain 1) withKAT5/TIP60. Interacts (via the WW domain) with the proline-richregion of APBB1IP. Interacts with TSHZ1 and TSHZ2 (By similarity).Interacts (via the WW domain) with histone H2AX (whenphosphorylated on 'Tyr-142') and the proline-rich region of ENAH.Interacts with MAPK8. Interacts (via PID domain 1) with TSHZ3 (viahomeobox domain). Interacts with SET. Found in a trimeric complexwith HDAC1 and TSHZ3; the interaction between HDAC1 and APBB1 ismediated by TSHZ3. Interacts (via WWW domain) with NEK6. Interacts(via WWW domain) with ABL1. |
| 亚细胞定位 | Cell membrane. Cytoplasm. Nucleus. Cellprojection, growth cone (By similarity). Nucleus speckle.Note=Colocalizes with TSHZ3 in axonal growth cone (By similarity).In normal conditions, it mainly localizes to the cytoplasm, while asmall fraction is tethered to the cell membrane via its interactionwith APP. Following exposure to DNA damaging agents, it is releasedfrom cell membrane and translocates to the nucleus. Nucleartranslocation is under the regulation of APP. Colocalizes withTSHZ3 in the nucleus. Co-localizes with NEK6 at the nuclearspeckles. Phosphorylation at Ser-610 by SGK1 promotes itslocalization to the nucleus |
| 组织特异性 | Highly expressed in brain; strongly reduced inpost-mortem elderly subjects with Alzheimer disease. |
| 翻译后修饰 | Phosphorylation at Ser-610 by SGK1 promotes its localizationto the nucleus (By similarity). Phosphorylated following nucleartranslocation. Phosphorylation at Tyr-547 by ABL1 enhancestranscriptional activation activity and reduces the affinity forRASD1/DEXRAS1. |
| 相似性 | Contains 2 PID domains. Contains 1 WW domain. |
| 功能 | Transcription coregulator that can have both coactivatorand corepressor functions. Adapter protein that forms atranscriptionally active complex with the gamma-secretase-derivedamyloid precursor protein (APP) intracellular domain. Plays acentral role in the response to DNA damage by translocating to thenucleus and inducing apoptosis. May act by specifically recognizingand binding histone H2AX phosphorylated on 'Tyr-142' (H2AXY142ph)at double-strand breaks (DSBs), recruiting other pro-apoptosisfactors such as MAPK8/JNK1. Required for histone H4 acetylation atdouble-strand breaks (DSBs). Its ability to specifically bindmodified histones and chromatin modifying enzymes such asKAT5/TIP60, probably explains its trancription activation activity.Function in association with TSHZ3, SET and HDAC factors as atranscriptional repressor, that inhibits the expression of CASP4.Associates with chromatin in a region surrounding the CASP4transcriptional start site(s). |
| 保存条件 | Shipped at 4℃. Store at -20℃ for one year. Avoid repeated freeze/thaw cycles. |
| 注意事项 | This product as supplied is intended for research use only, not for use in human, therapeutic or diagnostic applications. |
| 背景资料 | The protein encoded by this gene is a member of the Fe65 protein family. It is an adaptor protein localized in the nucleus. It interacts with the Alzheimer's disease amyloid precursor protein (APP), transcription factor CP2/LSF/LBP1 and the low-density lipoprotein receptor-related protein. APP functions as a cytosolic anchoring site that can prevent the gene product's nuclear translocation. This encoded protein could play an important role in the pathogenesis of Alzheimer's disease. It is thought to regulate transcription. Also it is observed to block cell cycle progression by downregulating thymidylate synthase expression. Multiple alternatively spliced transcript variants encoding different isoforms have been described for this gene. |
| 应用 | 推荐稀释比例 |
| {WB} | {1:500-2000} |
| {IHC-P} | {1:100-500} |
| {IHC-F} | {1:100-500} |
| {IF} | {1:100-500} |

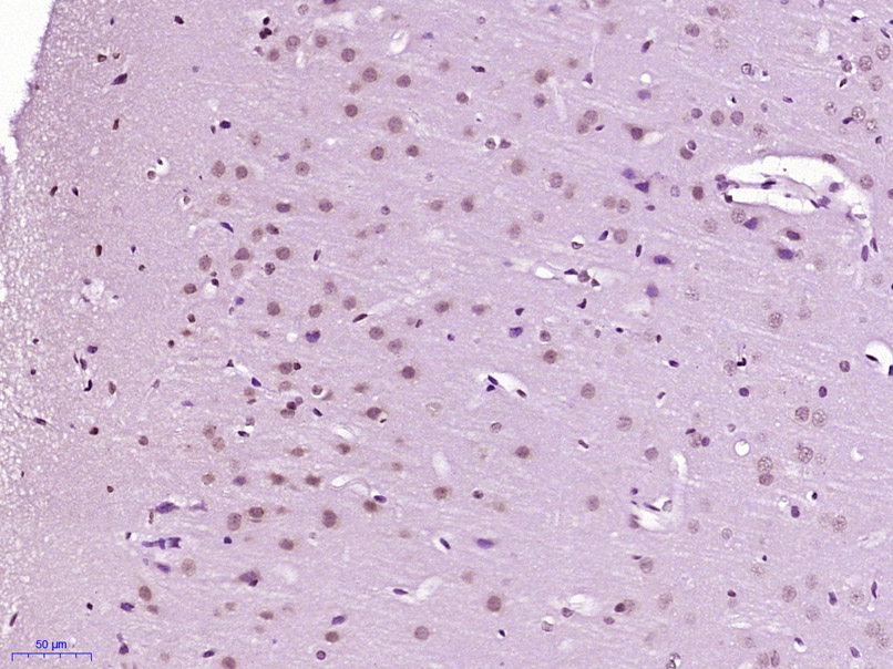
Paraformaldehyde-fixed, paraffin embedded (Rat brain); Antigen retrieval by boiling in sodium citrate buffer (pH6.0) for 15min; Block endogenous peroxidase by 3% hydrogen peroxide for 20 minutes; Blocking buffer (normal goat serum) at 37°C for 30min; Antibody incubation with (phospho-APBB1 (Ser347)) Polyclonal Antibody, Unconjugated (bs-5166R) at 1:400 overnight at 4°C, followed by operating according to SP Kit(Rabbit) (sp-0023) instructionsand DAB staining.

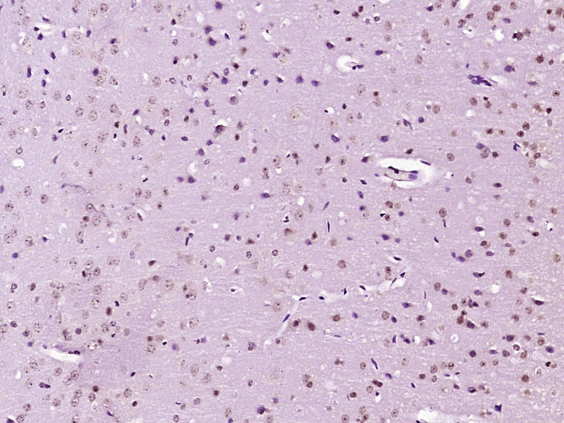
Paraformaldehyde-fixed, paraffin embedded (Mouse brain); Antigen retrieval by boiling in sodium citrate buffer (pH6.0) for 15min; Block endogenous peroxidase by 3% hydrogen peroxide for 20 minutes; Blocking buffer (normal goat serum) at 37°C for 30min; Antibody incubation with (phospho-APBB1 (Ser347)) Polyclonal Antibody, Unconjugated (bs-5166R) at 1:400 overnight at 4°C, followed by operating according to SP Kit(Rabbit) (sp-0023) instructionsand DAB staining.

Sample:
U251(Human) Cell Lysate at 30 ug
Primary: Anti-phospho-APBB1 (Ser347) (bs-5166R) at 1/1000 dilution
Secondary: IRDye800CW Goat Anti-Rabbit IgG at 1/20000 dilution
Predicted band size: 77 kD
Observed band size: 77 kD
U251(Human) Cell Lysate at 30 ug
Primary: Anti-phospho-APBB1 (Ser347) (bs-5166R) at 1/1000 dilution
Secondary: IRDye800CW Goat Anti-Rabbit IgG at 1/20000 dilution
Predicted band size: 77 kD
Observed band size: 77 kD
风险提示:丁香通仅作为第三方平台,为商家信息发布提供平台空间。用户咨询产品时请注意保护个人信息及财产安全,合理判断,谨慎选购商品,商家和用户对交易行为负责。对于医疗器械类产品,请先查证核实企业经营资质和医疗器械产品注册证情况。
技术资料暂无技术资料 索取技术资料
phospho-APBB1 (Ser347) Rabbit pAb(bs-5166R)-50ul/100ul/200ul
¥1180 - 2800





