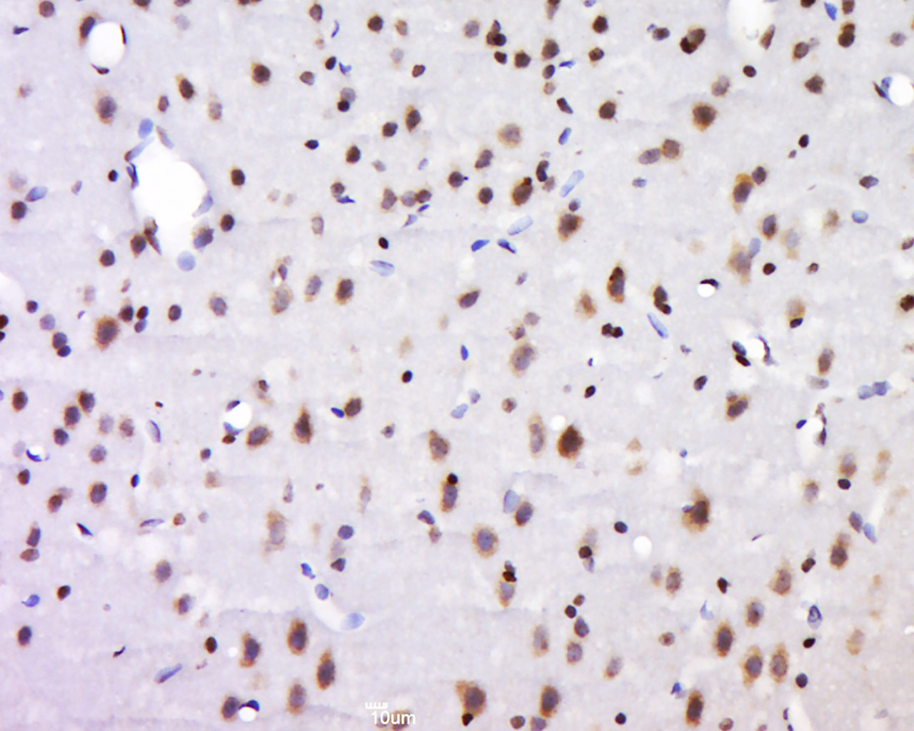
Tissue/cell: Rat brain tissue; 4% Paraformaldehyde-fixed and paraffin-embedded;
Antigen retrieval: citrate buffer ( 0.01M, pH 6.0 ), Boiling bathing for 15min; Block endogenous peroxidase by 3% Hydrogen peroxide for 30min; Blocking buffer (normal goat serum,C-0005) at 37℃ for 20 min;
Incubation: Anti-NECAB1 Polyclonal Antibody, Unconjugated(bs-11978R) 1:500, overnight at 4°C, followed by conjugation to the secondary antibody(SP-0023) and DAB(C-0010) staining
相关产品推荐更多 >
万千商家帮你免费找货
0 人在求购买到急需产品
- 详细信息
- 技术资料
- 应用范围:
产品信息以Bioss网站为准
- 规格:
50ul/100ul/200ul
| 规格: | 50ul | 产品价格: | ¥1180.0 |
|---|---|---|---|
| 规格: | 100ul | 产品价格: | ¥1980.0 |
| 规格: | 200ul | 产品价格: | ¥2800.0 |
| 产品编号 | bs-11978R |
| 英文名称 | NECAB1 Rabbit pAb |
| 中文名称 | 神经元钙结合相关蛋白EFCBP1抗体 |
| 英文别名 | EF-CBP1; EF-hand calcium-binding protein 1; EFCBP1; N-terminal EF-hand calcium-binding protein 1; NECA1_HUMAN; Necab1; Neuronal calcium-binding protein 1; STIP-1. |
| 产品应用 | IHC-P=1:100-500, IHC-F=1:100-500, IF=1:100-500 Not yet tested in other applications. |
| 交叉反应 | Rat (Human, Mouse, Dog, Pig, Horse, Rabbit) |
| 抗体来源 | Rabbit |
| 免疫原 | KLH conjugated synthetic peptide derived from human NECAB1/EF-CBP1 |
| 亚型 | IgG |
| 性状 | Liquid |
| 纯化方法 | affinity purified by Protein A |
| 克隆类型 | Polyclonal |
| 理论分子量 | 41 kDa |
| 浓度 | 1mg/ml |
| 储存液 | 0.01M TBS (pH7.4) with 1% BSA, 0.02% Proclin300 and 50% Glycerol. |
| 研究领域 | Neuroscience > Neurotransmission > Calcium Signaling > Calcium Binding Proteins Signal Transduction > Signaling Pathway > Calcium Signaling > Calcium Binding Proteins |
| 亚细胞定位 | Cytoplasm. |
| 组织特异性 | Expressed in brain |
| 相似性 | Contains 1 ABM domain. Contains 2 EF-hand domains. |
| 功能 | Expressed in brain (at protein level). |
| 保存条件 | Shipped at 4℃. Store at -20℃ for one year. Avoid repeated freeze/thaw cycles. |
| 注意事项 | This product as supplied is intended for research use only, not for use in human, therapeutic or diagnostic applications. |
| 背景资料 | Members of the EF-CBP (N-terminal EF-hand calcium binding protein)/NECAB (neuronal calcium-binding protein) family participate in neuronal calcium signaling. EF-CBP1 (N-terminal EF-hand calcium binding protein 1), also known as STIP-1 or neuronal calcium-binding protein 1 (NECAB1), is a 351 amino acid cytoplasmic protein that contains one antibiotic biosynthesis monooxygenase (ABM) domain and two EF-hand domains. Expressed in brain, EF-CBP1 interacts with copine 6 and Syntaxin, and exists as two alternatively spliced isoforms. The gene encoding EF-CBP1 maps to human chromosome 8, which consists of nearly 146 million base pairs, encodes over 800 genes and is associated with a variety of diseases and malignancies. Schizophrenia, bipolar disorder, Trisomy 8, Pfeiffer syndrome, congenital hypothyroidism, Waardenburg syndrome and some leukemias and lymphomas are thought to occur as a result of defects in specific genes that map to chromosome 8. |
| 应用 | 推荐稀释比例 |
| {IHC-P} | {1:100-500} |
| {IHC-F} | {1:100-500} |
| {IF} | {1:100-500} |

风险提示:丁香通仅作为第三方平台,为商家信息发布提供平台空间。用户咨询产品时请注意保护个人信息及财产安全,合理判断,谨慎选购商品,商家和用户对交易行为负责。对于医疗器械类产品,请先查证核实企业经营资质和医疗器械产品注册证情况。
技术资料暂无技术资料 索取技术资料
NECAB1 Rabbit pAb(bs-11978R)-50ul/100ul/200ul
¥1180 - 2800








