相关产品推荐更多 >

SPAG7 Rabbit pAb(bs-17619R)-50ul/100ul/200ul
¥1180
Anti-human PDCD1 / PD-1 / CD279 (Nofazinlimab Biosimilar)(BIO0646SM)-1mg/5mg/20mg
¥3200
Porimin Rabbit pAb, PerCP-Cy5.5 conjugated(bs-7674R-PerCP-Cy5.5)-100ul
¥2980
FLJ10357 Rabbit pAb(bs-16101R)-50ul/100ul/200ul
¥1180
ANP32C Rabbit pAb(bs-5927R)-50ul/100ul/200ul
¥1180
万千商家帮你免费找货
0 人在求购买到急需产品
- 详细信息
- 文献和实验
- 技术资料
- 应用范围:
产品信息以Bioss网站为准
- 规格:
50ul/100ul/200ul
| 规格: | 50ul | 产品价格: | ¥1180.0 |
|---|---|---|---|
| 规格: | 100ul | 产品价格: | ¥1980.0 |
| 规格: | 200ul | 产品价格: | ¥2800.0 |
| 产品编号 | bs-11798R |
| 英文名称 | RTN1 Rabbit pAb |
| 中文名称 | 神经内分泌特异性蛋白抗体 |
| 英文别名 | Neuroendocrine specific protein; NSP; Reticulon 1; Reticulon1; Reticulon1A; RTN 1; RTN1 protein; RTN1_HUMAN. |
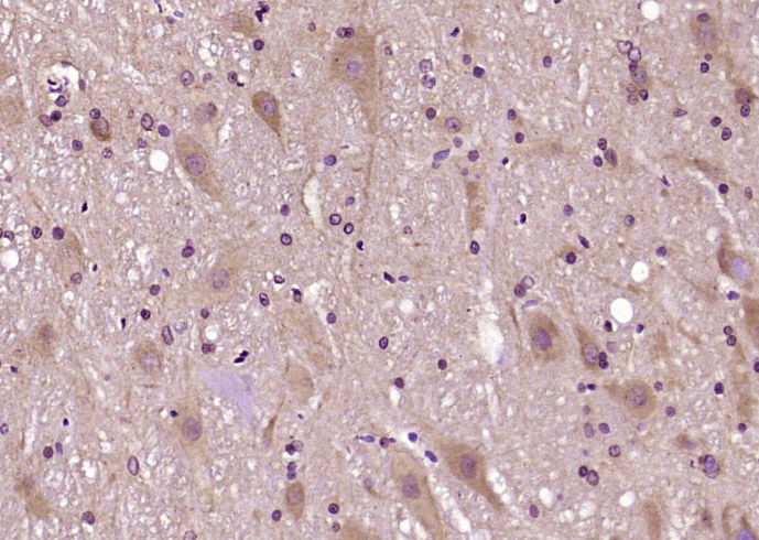
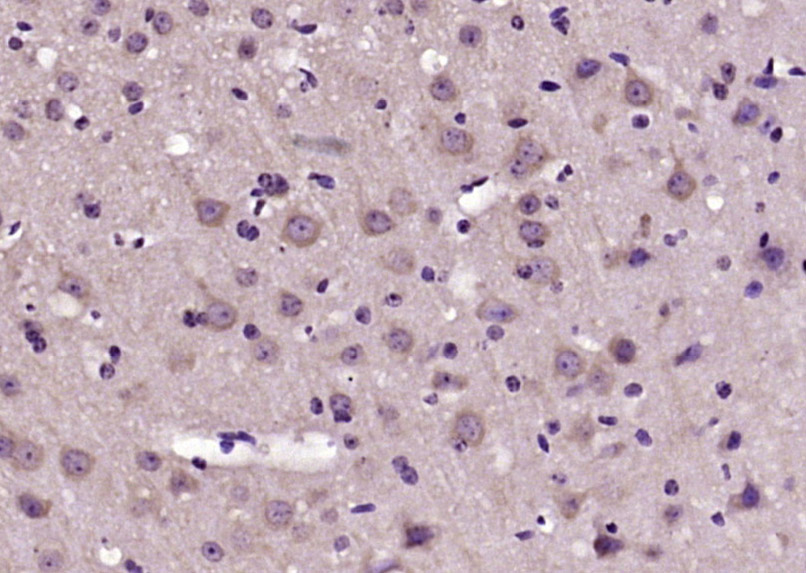
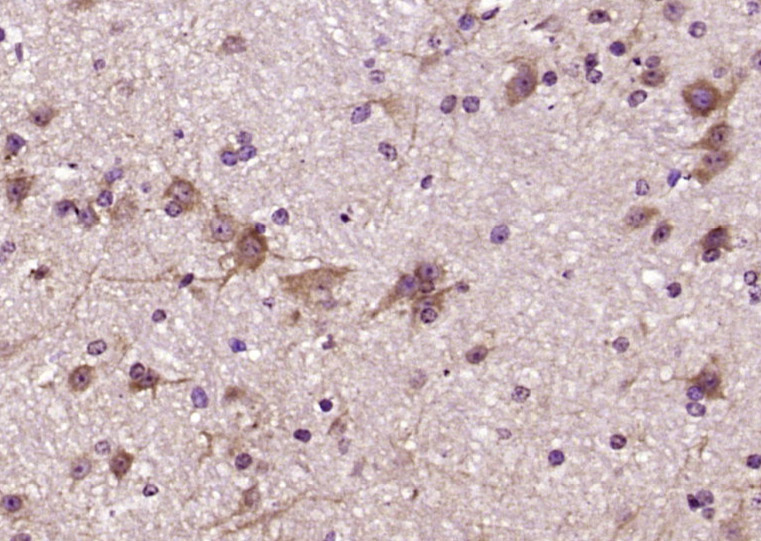
| 产品应用 | IHC-P=1:100-500, IHC-F=1:100-500, IF=1:100-500 Not yet tested in other applications. |
| 交叉反应 | Mouse, Rat (Human, Pig) |
| 抗体来源 | Rabbit |
| 免疫原 | KLH conjugated synthetic peptide derived from human Reticulon 1 |
| 亚型 | IgG |
| 性状 | Liquid |
| 纯化方法 | affinity purified by Protein A |
| 克隆类型 | Polyclonal |
| 理论分子量 | 84 kDa |
| 浓度 | 1mg/ml |
| 储存液 | 0.01M TBS (pH7.4) with 1% BSA, 0.02% Proclin300 and 50% Glycerol. |
| 研究领域 | Neuroscience > Neurology process > Neuroendocrinology > General neuroendocrinology |
| 亚基 | Interacts with NDRG1. |
| 亚细胞定位 | Endoplasmic reticulum membrane; Multi-pass membrane protein. |
| 组织特异性 | Expressed in neural and neuroendocrine tissues and cell cultures derived therefrom. Expression of isoform RTN1-C is strongly correlated with neuronal differentiation. |
| 翻译后修饰 | Isoforms RTN1-A and RTN1-B are phosphorylated. |
| 相似性 | Contains 1 reticulon domain. |
| 功能 | May be involved in neuroendocrine secretion or in membrane trafficking in neuroendocrine cells. |
| 保存条件 | Shipped at 4℃. Store at -20℃ for one year. Avoid repeated freeze/thaw cycles. |
| 注意事项 | This product as supplied is intended for research use only, not for use in human, therapeutic or diagnostic applications. |
| 背景资料 | This gene belongs to the family of reticulon encoding genes. Reticulons are associated with the endoplasmic reticulum, and are involved in neuroendocrine secretion or in membrane trafficking in neuroendocrine cells. This gene is considered to be a specific marker for neurological diseases and cancer, and is a potential molecular target for therapy. Alternative splicing results in multiple transcript variants. [provided by RefSeq, Jul 2011] |
| 应用 | 推荐稀释比例 |
| {IHC-P} | {1:100-500} |
| {IHC-F} | {1:100-500} |
| {IF} | {1:100-500} |



风险提示:丁香通仅作为第三方平台,为商家信息发布提供平台空间。用户咨询产品时请注意保护个人信息及财产安全,合理判断,谨慎选购商品,商家和用户对交易行为负责。对于医疗器械类产品,请先查证核实企业经营资质和医疗器械产品注册证情况。
文献和实验= NAL), appears to form upon oxidative cyclization of the nonfluorescent 2:1 lysine-HNE Michael adduct-Schiff base cross-link (Scheme 1). Polyclonal antibody (PAb) to the NAL-HNE fluorophore was raised in rabbit and found to be highly specific
GE Healthcare Benzamidine Sepharose™ 6B is p-aminobenzamidine covalently attached to Sepharose 6B by the epoxy coupling method. p-Aminobenzamidine (PAB), is a synthetic inhibitor of trypsin-like serine protease. Trypsin and trypsin
Nucleic Acid Programmable Protein Arrays: Versatile Tools for Array‐Based Functional Protein Studies
.g., Sigma) 50 mg/ml bis‐sulfosuccinimdylsuberate (BS3 ;Pierce, cat. no. PI 21580) in dimethylsulfoxide (DMSO) 5 mg/ml
技术资料暂无技术资料 索取技术资料






