相关产品推荐更多 >
万千商家帮你免费找货
0 人在求购买到急需产品
- 详细信息
- 文献和实验
- 技术资料
- 应用范围:
产品信息以Bioss网站为准
- 规格:
50ul/100ul/200ul
| 规格: | 50ul | 产品价格: | ¥1180.0 |
|---|---|---|---|
| 规格: | 100ul | 产品价格: | ¥1980.0 |
| 规格: | 200ul | 产品价格: | ¥2800.0 |
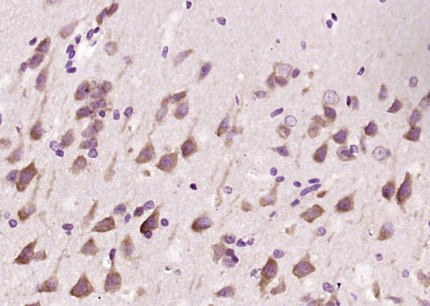
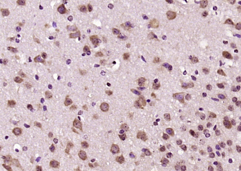
| 产品编号 | bs-11786R |
| 英文名称 | phospho-LRRK2 (Thr1410) Rabbit pAb |
| 中文名称 | 磷酸化富亮氨酸重复激酶2抗体 |
| 英文别名 | LRRK2(phospho T1410); LRRK2(phospho Thr1410); p-LRRK2(Thr1410); Dardarin; Leucine rich repeat kinase 2; LRRK 2; LRRK-2; PARK 8; PARK8; ROCO 2; ROCO-2; ROCO2; Leucine-rich repeat serine/threonine-protein kinase 2; Dardarin; LRRK2_HUMAN; augmented in rheumatoid arthritis 17; AURA17; Leucine rich repeat kinase 2; RIPK7. |
| 产品应用 | IHC-P=1:100-500, IHC-F=1:100-500, IF=1:100-500 Not yet tested in other applications. |
| 交叉反应 | Mouse, Rat (Human, Dog, Pig, Cow, Horse, Rabbit) |
| 抗体来源 | Rabbit |
| 免疫原 | KLH conjugated synthesised phosphopeptide derived from human LRRK2 around the phosphorylation site of Thr1410 |
| 亚型 | IgG |
| 性状 | Liquid |
| 纯化方法 | affinity purified by Protein A |
| 克隆类型 | Polyclonal |
| 理论分子量 | 286 kDa |
| 浓度 | 1mg/ml |
| 储存液 | 0.01M TBS (pH7.4) with 1% BSA, 0.02% Proclin300 and 50% Glycerol. |
| 研究领域 | Neuroscience > Neurology process > Neurodegenerative disease > Parkinson's disease > Synuclein |
| 亚基 | Interacts with PARK2. Interacts with PRDX3. Interacts with TPCN2. |
| 亚细胞定位 | Cytoplasm. Membrane. Mitochondrion. Localized in the cytoplasm and associated with cellular membrane structures. Associates with the mitochondrial outer membrane. |
| 组织特异性 | Expressed throughout the adult brain, but at a lower level than in heart and liver. Also expressed in placenta, lung, skeletal muscle, kidney and pancreas. In the brain, expressed in the cerebellum, cerebral cortex, medulla, spinal cord occipital pole, frontal lobe, temporal lobe and putamen. Expression is particularly high in brain dopaminoceptive areas. |
| 相似性 | Belongs to the protein kinase superfamily. TKL Ser/Thr protein kinase family. Contains 12 LRR (leucine-rich) repeats. Contains 1 protein kinase domain. Contains 1 Roc domain. |
| 功能 | May play a role in the phosphorylation of proteins central to Parkinson disease. Phosphorylates PRDX3. May also have GTPase activity. |
| 保存条件 | Shipped at 4℃. Store at -20℃ for one year. Avoid repeated freeze/thaw cycles. |
| 注意事项 | This product as supplied is intended for research use only, not for use in human, therapeutic or diagnostic applications. |
| 背景资料 | LRRK2 (Dardarin) is encoded by the gene LRRK2. Genetic mutations of LRRK2 have been linked to Parkinsonism and synucleinopathies. LRRK2 belongs to the ROCO protein family and includes a protein kinase domain of the MAPKKK class and several other major functional domains. |
| 应用 | 推荐稀释比例 |
| {IHC-P} | {1:100-500} |
| {IHC-F} | {1:100-500} |
| {IF} | {1:100-500} |


风险提示:丁香通仅作为第三方平台,为商家信息发布提供平台空间。用户咨询产品时请注意保护个人信息及财产安全,合理判断,谨慎选购商品,商家和用户对交易行为负责。对于医疗器械类产品,请先查证核实企业经营资质和医疗器械产品注册证情况。
文献和实验(Ser473)(193H12)Rabbit mAb,1:300,稀释,二抗是驴抗兔,1:2000,我是实验室的新手,刚呆俩月,受 此挫折,一头雾水,请过来人或者有经验的同学帮忙解答怎样解决,非常感谢! 碧峤 pAkt有两个位点,Ser473和Thr308,其中Ser473相对容易显色。如果显色失败,可能的原因:1 上样量过少,我们一般都是30μg;2 一抗孵育时间过短,我们一般24h~48h;3 一抗是否工作有待排除 米宝
antibody dilution buffer: TBS-T supplemented with2% (w/v) BSA. 6. Antibodies: Phospho-b-catenin Ser33/Ser37/Thr41, phospho-glycogen synthase Ser641, and glycogen synthase (CellSignaling Technologies, Beverly, MA); b-catenin and GSK-3b(BD PharMingen, San
v468. chapter 4 WNT 细胞通路 检测细胞GSK3活性与表达水平
4 ). 2. Other antibodies used were b-catenin (phospho-Thr41/Ser37/Ser33) (#9561; Cell Signaling Technology), b-catenin (#9562;Cell Signaling Technology), CRMP2 (pT514/509) (#PB-043; Kinasource, Dundee, Scotland) and CRMP2 (#AB-042;Kinasource). 3. Blocking buffer
技术资料暂无技术资料 索取技术资料









