相关产品推荐更多 >
万千商家帮你免费找货
0 人在求购买到急需产品
- 详细信息
- 文献和实验
- 技术资料
- 应用范围:
产品信息以Bioss网站为准
- 规格:
50ul/100ul/200ul
| 规格: | 50ul | 产品价格: | ¥1180.0 |
|---|---|---|---|
| 规格: | 100ul | 产品价格: | ¥1980.0 |
| 规格: | 200ul | 产品价格: | ¥2800.0 |
| 产品编号 | bs-11763R |
| 英文名称 | SULT4A1 Rabbit pAb |
| 中文名称 | 脑磺基转移酶样蛋白4A1抗体 |
| 英文别名 | BR STL 1; Brain sulfotransferase like protein; Brain sulphotransferase like; BRSTL1; hBR STL 1; hBR STL; Nervous system cytosolic sulfotransferase; Nervous system sulfotransferase; NST; Sulfotransferase 4A1; Sulfotransferase family 4A member 1; Sulfotransferase related protein; SULTX3; ST4A1_HUMAN. |
| 产品应用 | IHC-P=1:100-500, IHC-F=1:100-500, IF=1:100-500 Not yet tested in other applications. |
| 交叉反应 | Rat (Human, Mouse, Dog, Pig, Cow, Horse, Rabbit, Sheep) |
| 抗体来源 | Rabbit |
| 免疫原 | KLH conjugated synthetic peptide derived from human SULT4A1 |
| 亚型 | IgG |
| 性状 | Liquid |
| 纯化方法 | affinity purified by Protein A |
| 克隆类型 | Polyclonal |
| 理论分子量 | 33 kDa |
| 浓度 | 1mg/ml |
| 储存液 | 0.01M TBS (pH7.4) with 1% BSA, 0.02% Proclin300 and 50% Glycerol. |
| 亚细胞定位 | Cytoplasmic |
| 组织特异性 | Highly expressed in the cerebral cortex andfrontal lobe, slightly less in the cerebellum, occipital andtemporal lobes, relatively low in the medulla and putamen, andlowest in the spinal cord. No expression detected in the pancreas(PubMed:10698717). Highly expressed in fetal brain and occipitallobe, slightly less in the whole brain, frontal lobe, hippocampus,and lung, very low expression in cerebellum, medulla oblongata,temporal lobe, testis, kidney and appendix (PubMed:12039030). |
| 相似性 | Belongs to the sulfotransferase 1 family. |
| 功能 | SULT4A1 is a member of the sulfotransferase family. It is a brain-specific sulfotransferase believed to be involved in the metabolism of neurotransmitters. It may catalyze the sulfate conjugation of many drugs, xenobiotic compounds, hormones, and neurotransmitters. Polymorphisms in this gene may be associated with susceptibility to schizophrenia. There are two named isoforms. |
| 保存条件 | Shipped at 4℃. Store at -20℃ for one year. Avoid repeated freeze/thaw cycles. |
| 注意事项 | This product as supplied is intended for research use only, not for use in human, therapeutic or diagnostic applications. |
| 背景资料 | Sulfation is an essential conjugation reaction that increases the water solubility of many compounds, thereby influencing their renal excretion and also resulting in the formation of active metabolites. SULT4A1 (sulfotransferase family 4A, member 1), whose alternative names include brain sulfotransferase-like protein, nervous system sulfotransferase, NST, SULTX3, hBR-STL-1, BRSTL1, BR-STL-1, MGC40032 and DJ388M5.3, is a 284 amino acid protein showing cytoplasmic localization. As a member of the sulfotransferase 1 family, SULT4A1 plays a role in elimination of xenobiotics, activation of procarcinogens and regulation of hormones. SULT4A1 is highly expressed in cerebral cortex and frontal lobe, with lower expression in cerebellum, temporal and occipital lobes. Two SULT4A1 isoforms exist to alternative splicing events. The gene encoding SULT4A1 maps to human chromosome 22q13.2, a region which has been implicated in predisposition to schizophrenia. |
| 应用 | 推荐稀释比例 |
| {IHC-P} | {1:100-500} |
| {IHC-F} | {1:100-500} |
| {IF} | {1:100-500} |

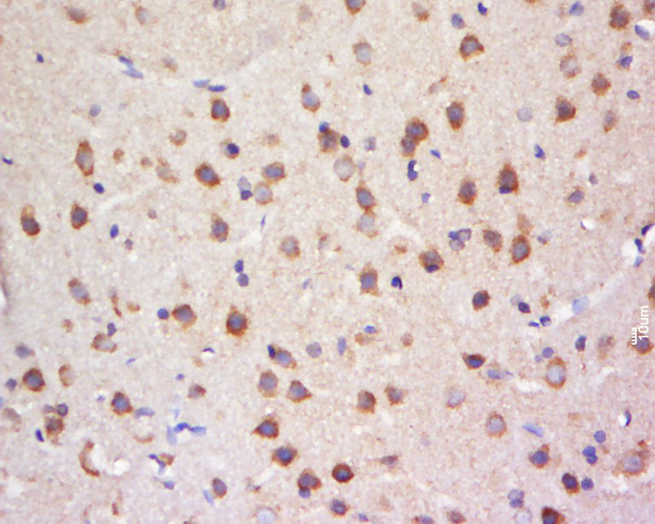
Antigen retrieval: citrate buffer ( 0.01M, pH 6.0 ), Boiling bathing for 15min; Block endogenous peroxidase by 3% Hydrogen peroxide for 30min; Blocking buffer (normal goat serum,C-0005) at 37℃ for 20 min;
Incubation: Anti-SULT4A1 Polyclonal Antibody, Unconjugated(bs-11763R) 1:500, overnight at 4°C, followed by conjugation to the secondary antibody(SP-0023) and DAB(C-0010) staining
风险提示:丁香通仅作为第三方平台,为商家信息发布提供平台空间。用户咨询产品时请注意保护个人信息及财产安全,合理判断,谨慎选购商品,商家和用户对交易行为负责。对于医疗器械类产品,请先查证核实企业经营资质和医疗器械产品注册证情况。
文献和实验= NAL), appears to form upon oxidative cyclization of the nonfluorescent 2:1 lysine-HNE Michael adduct-Schiff base cross-link (Scheme 1). Polyclonal antibody (PAb) to the NAL-HNE fluorophore was raised in rabbit and found to be highly specific
GE Healthcare Benzamidine Sepharose™ 6B is p-aminobenzamidine covalently attached to Sepharose 6B by the epoxy coupling method. p-Aminobenzamidine (PAB), is a synthetic inhibitor of trypsin-like serine protease. Trypsin and trypsin
Nucleic Acid Programmable Protein Arrays: Versatile Tools for Array‐Based Functional Protein Studies
.g., Sigma) 50 mg/ml bis‐sulfosuccinimdylsuberate (BS3 ;Pierce, cat. no. PI 21580) in dimethylsulfoxide (DMSO) 5 mg/ml
技术资料暂无技术资料 索取技术资料








