相关产品推荐更多 >
万千商家帮你免费找货
0 人在求购买到急需产品
- 详细信息
- 文献和实验
- 技术资料
- 应用范围:
产品信息以Bioss网站为准
- 规格:
50ul/100ul/200ul
| 规格: | 50ul | 产品价格: | ¥1180.0 |
|---|---|---|---|
| 规格: | 100ul | 产品价格: | ¥1980.0 |
| 规格: | 200ul | 产品价格: | ¥2800.0 |
| 产品编号 | bs-11294R |
| 英文名称 | HOXA6 Rabbit pAb |
| 中文名称 | 同源盒基因HOXA6蛋白抗体 |
| 英文别名 | HOX1B; Homeo box 1B; Homeo box A6; Homeobox 1B; Homeobox A6; Homeobox protein Hox A6; Homeobox protein Hox-1B; Homeobox protein Hox-A6 antibody Homeobox protein HoxA6; HOX 1; Hox 1B; HOX1; HOX1.2; Hox1B; HOXA6; HX A6; HXA6; HXA6_HUMAN. |
| 产品应用 | WB=1:500-2000, IHC-P=1:100-500, IHC-F=1:100-500, IF=1:100-500 Not yet tested in other applications. |
| 交叉反应 | Human, Mouse, Rat (Dog, Pig, Horse, Sheep) |
| 抗体来源 | Rabbit |
| 免疫原 | KLH conjugated synthetic peptide derived from human HOXA6/HOX1B |
| 亚型 | IgG |
| 性状 | Liquid |
| 纯化方法 | affinity purified by Protein A |
| 克隆类型 | Polyclonal |
| 理论分子量 | 23 kDa |
| 浓度 | 1mg/ml |
| 储存液 | 0.01M TBS (pH7.4) with 1% BSA, 0.02% Proclin300 and 50% Glycerol. |
| 研究领域 | Developmental Biology > Embryogenesis > Morphogens Epigenetics and Nuclear Signaling > Transcription > Domain Families > Developmental Families > HOX Epigenetics and Nuclear Signaling > Transcription > Transcription Factors |
| 组织特异性 | Nucleus. |
| 相似性 | Belongs to the Antp homeobox family. Contains 1 homeobox DNA-binding domain. |
| 功能 | Sequence-specific transcription factor which is part of a developmental regulatory system that provides cells with specific positional identities on the anterior-posterior axis. |
| 保存条件 | Shipped at 4℃. Store at -20℃ for one year. Avoid repeated freeze/thaw cycles. |
| 注意事项 | This product as supplied is intended for research use only, not for use in human, therapeutic or diagnostic applications. |
| 背景资料 | The Hox homeobox genes encode proteins that are transcriptional regulators with an established role in embryonic development. HoxA6 (homeobox A6), also known as HOX1B, is a 233 amino acid protein that localizes to the nucleus. Expressed during embryonic development, HoxA6 functions as a sequence-specific DNA-binding transcription factor that is part of a regulatory mechanism that provides cells with positional identities during development. Via its ability to bind DNA, HoxA6 plays an important role in the regulation of gene expression, as well as morphogenesis and differentiation. The gene encoding HoxA6 maps to human chromosome 7, which houses over 1,000 genes and comprises nearly 5% of the human genome. Defects in some of the genes localized to chromosome 7 have been linked to Osteogenesis imperfecta, Williams-Beuren syndrome, Pendred syndrome, Lissencephaly, Citrullinemia and Shwachman-Diamond syndrome. |
| 应用 | 推荐稀释比例 |
| {WB} | {1:500-2000} |
| {IHC-P} | {1:100-500} |
| {IHC-F} | {1:100-500} |
| {IF} | {1:100-500} |






K562(Human) Cell Lysate at 30 ug
Primary: Anti-HOXA6 (bs-11294R) at 1/500 dilution
Secondary: IRDye800CW Goat Anti-Rabbit IgG at 1/20000 dilution
Predicted band size: 23 kD
Observed band size: 26 kD
风险提示:丁香通仅作为第三方平台,为商家信息发布提供平台空间。用户咨询产品时请注意保护个人信息及财产安全,合理判断,谨慎选购商品,商家和用户对交易行为负责。对于医疗器械类产品,请先查证核实企业经营资质和医疗器械产品注册证情况。
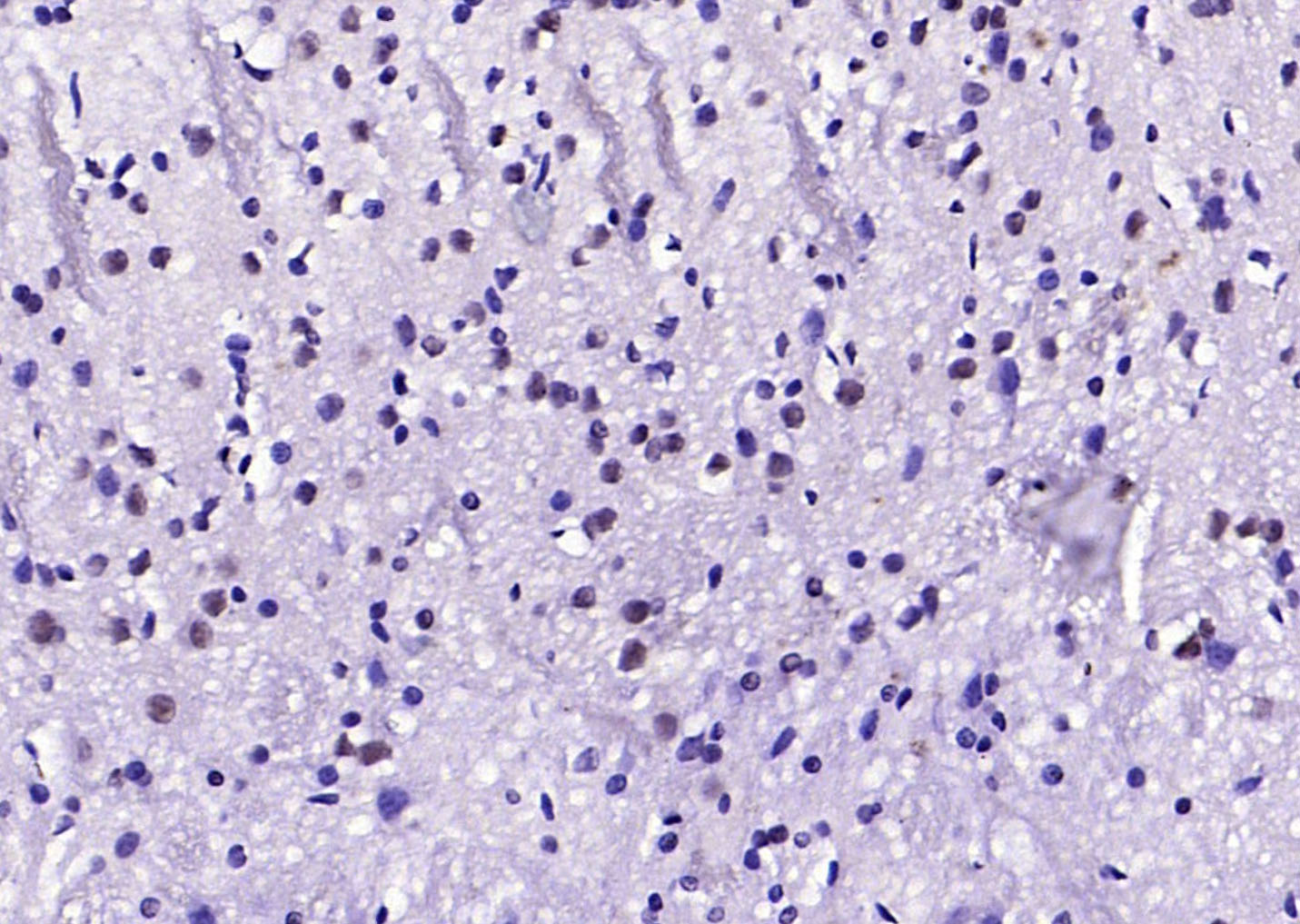
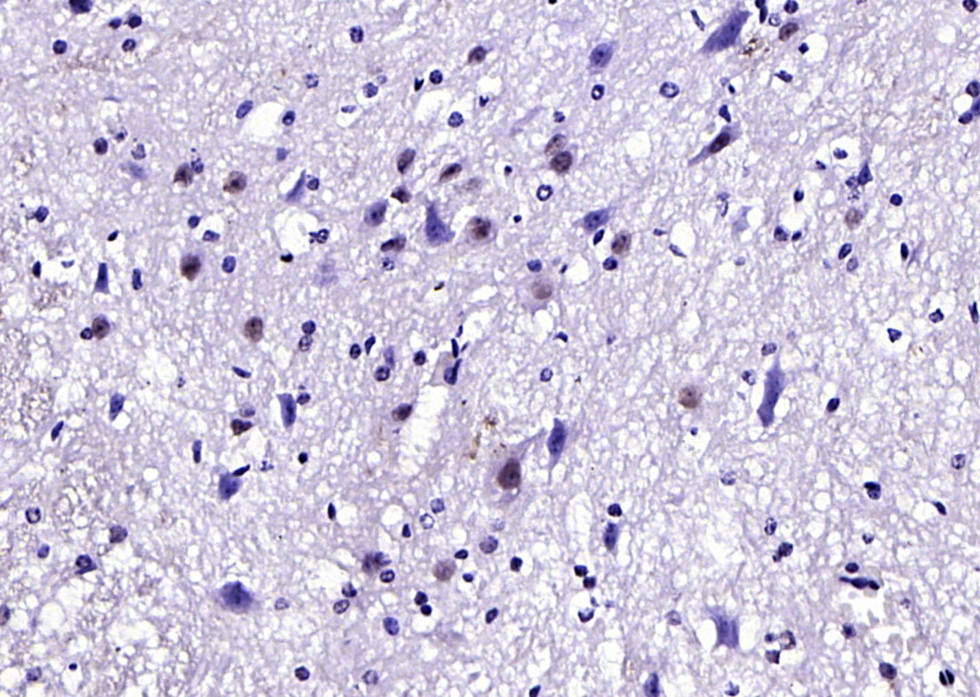
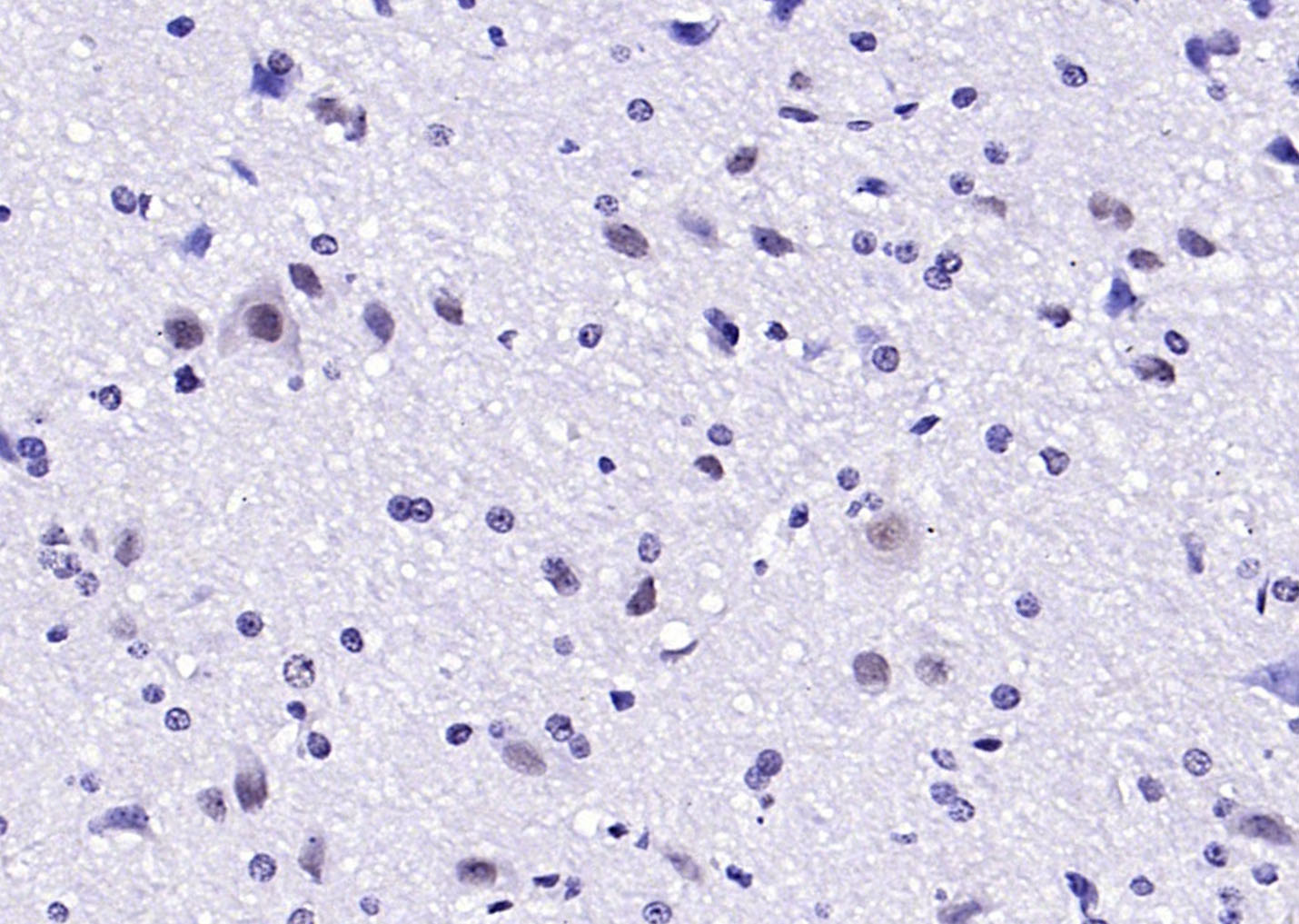
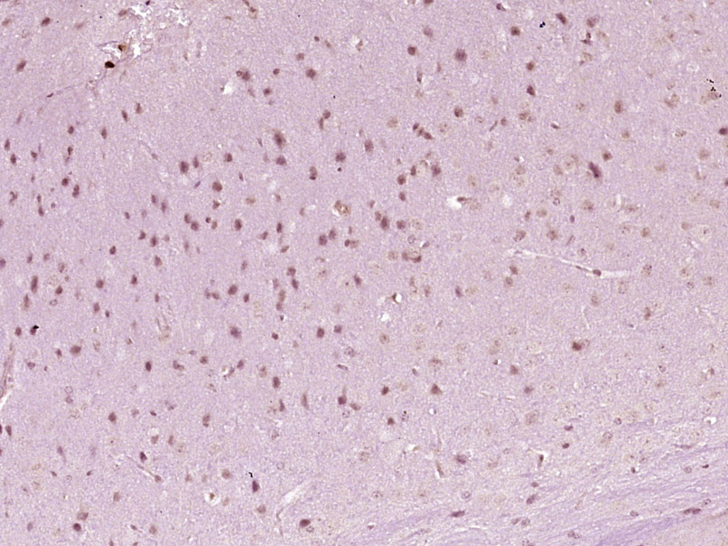
文献和实验[IF={{ 5.145 }}] {Deng J et al. Oxaliplatin‐induced neuropathic pain involves HOXA6 via a TET1‐dependent demethylation of the SOX10 promoter. Int J Cancer. 2020 Nov 1;147(9):2503-2514.} {IHC} {Rat}
[IF={{ 3.269 }}] {Weifeng Wang. et al. Down-regulated long non-coding RNA LHFPL3 antisense RNA 1 inhibits the radiotherapy resistance of nasopharyngeal carcinoma via modulating microRNA-143-5p/homeobox A6 axis. Bioengineered. 2022;13(3):5421-5433} {WB} {Human}
技术资料暂无技术资料 索取技术资料







