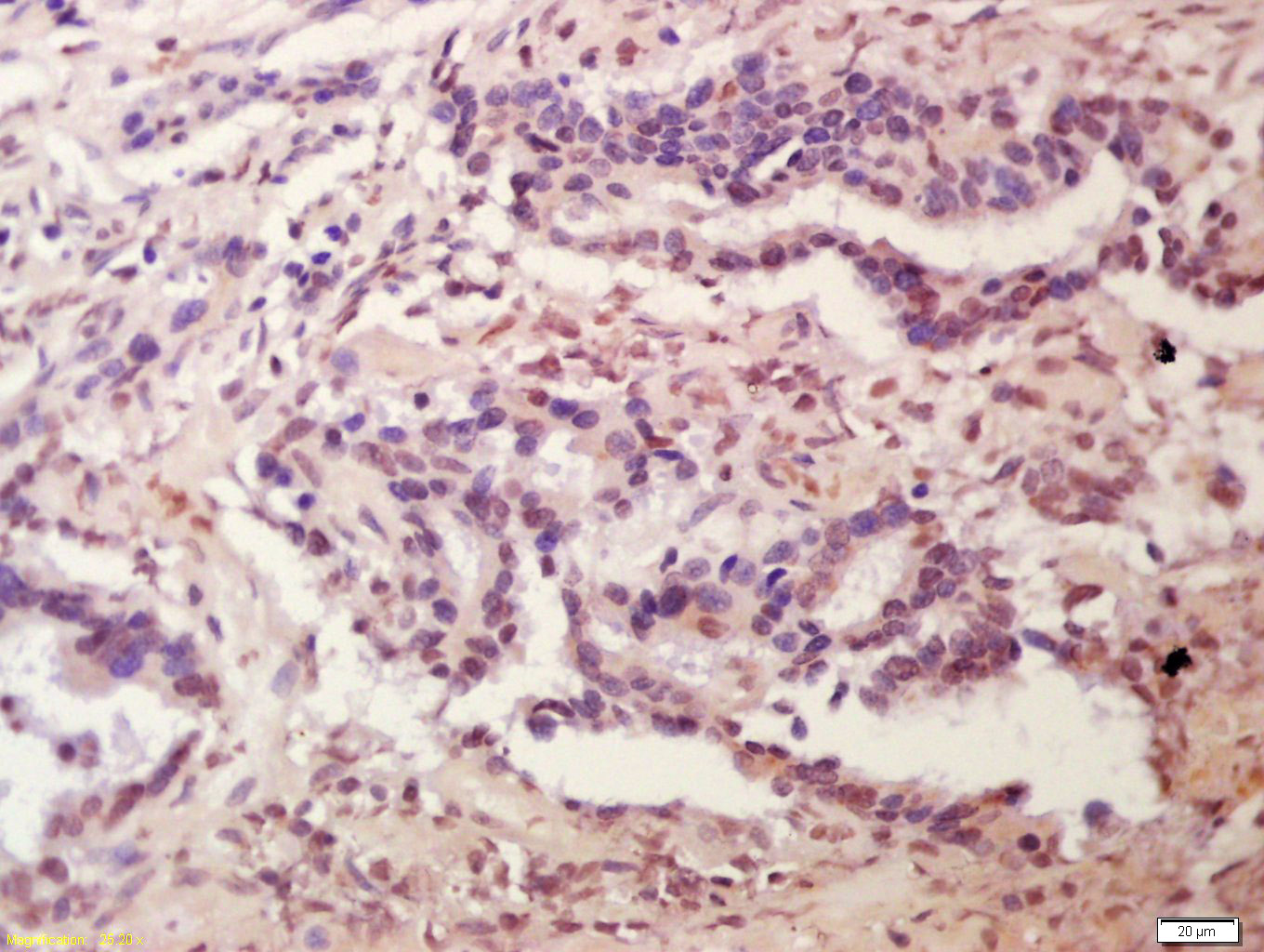
Tissue/cell: human colon carcinoma; 4% Paraformaldehyde-fixed and paraffin-embedded;
Antigen retrieval: citrate buffer ( 0.01M, pH 6.0 ), Boiling bathing for 15min; Block endogenous peroxidase by 3% Hydrogen peroxide for 30min; Blocking buffer (normal goat serum,C-0005) at 37℃ for 20 min;
Incubation: Anti-Plakophilin 2 Polyclonal Antibody, Unconjugated(bs-11063R) 1:200, overnight at 4°C, followed by conjugation to the secondary antibody(SP-0023) and DAB(C-0010) staining
相关产品推荐更多 >

OAS2 Rabbit pAb, Biotin conjugated(bs-15588R-Bio)-100ul
¥2980
SULF1 Rabbit pAb, PE-Cy7 conjugated(bs-5818R-PE-Cy7)-100ul
¥2980
E cadherin Rabbit pAb, APC conjugated(bs-1519R-APC)-100ul
¥2980
PCSK1/NEC1 Rabbit pAb(bs-24307R)-50ul/100ul/200ul
¥1180
SIRT5 Rabbit pAb, BF680 conjugated(bs-9456R-BF680)-100ul
¥2980
万千商家帮你免费找货
0 人在求购买到急需产品
- 详细信息
- 文献和实验
- 技术资料
- 应用范围:
产品信息以Bioss网站为准
- 规格:
50ul/100ul/200ul
| 规格: | 50ul | 产品价格: | ¥1180.0 |
|---|---|---|---|
| 规格: | 100ul | 产品价格: | ¥1980.0 |
| 规格: | 200ul | 产品价格: | ¥2800.0 |
| 产品编号 | bs-11063R |
| 英文名称 | Plakophilin 2 Rabbit pAb |
| 中文名称 | 桥粒斑菲素蛋白2抗体 |
| 英文别名 | ARVD 9; ARVD-9; ARVD9; PKP 2; PKP2; PKP-2; Plakophilin-2. Plakophilin2; PKP2_HUMAN. |
| 产品应用 | IHC-P=1:100-500, IHC-F=1:100-500, IF=1:100-500 Not yet tested in other applications. |
| 交叉反应 | Human (Mouse, Rat, Dog, Pig, Cow, Horse, Rabbit, Sheep) |
| 抗体来源 | Rabbit |
| 免疫原 | KLH conjugated synthetic peptide derived from human Plakophilin 2 |
| 亚型 | IgG |
| 性状 | Liquid |
| 纯化方法 | affinity purified by Protein A |
| 克隆类型 | Polyclonal |
| 理论分子量 | 97 kDa |
| 浓度 | 1mg/ml |
| 储存液 | 0.01M TBS (pH7.4) with 1% BSA, 0.02% Proclin300 and 50% Glycerol. |
| 研究领域 | Cardiovascular > Angiogenesis > Adhesion / ECM > Extracellular Matrix Neuroscience > Cell Adhesion Proteins > ECM Proteins Signal Transduction > Cytoskeleton / ECM > Extracellular Matrix > Structures > Desmosomes |
| 亚基 | Interacts with DSC2. |
| 亚细胞定位 | Nucleus. Cell junction, desmosome.Note=Nuclear and associated with desmosomes. |
| 组织特异性 | Widely expressed. Found at desmosomal plaques in simple and stratified epithelia and in non-epithelial tissues such as myocardium and lymph node follicles. In most stratified epithelia found in the desmosomes of the basal cell layer and seems to be absent from suprabasal strata. |
| 翻译后修饰 | Phosphorylated upon DNA damage, probably by ATM or ATR. |
| 相似性 | Belongs to the beta-catenin family. Contains 8 ARM repeats. |
| 功能 | May play a role in junctional plaques. |
| 保存条件 | Shipped at 4℃. Store at -20℃ for one year. Avoid repeated freeze/thaw cycles. |
| 注意事项 | This product as supplied is intended for research use only, not for use in human, therapeutic or diagnostic applications. |
| 背景资料 | Plakophilins 1, 2, 3 and 4 (PKP1-4) influence development and participate in linking cadherins to cytoskeletal intermediate filaments. Plakophilins 1-4 contain arm-repeat (armadillo) domains, and localize to nuclei and cell desmosomes (cell-cell junctions found in suprabasal layers of stratifying epithelia that undergo mechanical stress). Plakophilin-1 mediates increases in desmosomal protein content, desmosome assembly, and regulation of cell migration. Plakophilin-2 is important for desmosome assembly and is an essential morphogenic factor and architectural component of the heart. Plakophilin-3 plays a role in both desmosome-dependent adhesion and signaling pathways. Plakophilin-4 is a component of desmosomal adhesion plaques that regulates junctional plaque organization and cadherin function. |
| 应用 | 推荐稀释比例 |
| {IHC-P} | {1:100-500} |
| {IHC-F} | {1:100-500} |
| {IF} | {1:100-500} |

风险提示:丁香通仅作为第三方平台,为商家信息发布提供平台空间。用户咨询产品时请注意保护个人信息及财产安全,合理判断,谨慎选购商品,商家和用户对交易行为负责。对于医疗器械类产品,请先查证核实企业经营资质和医疗器械产品注册证情况。
文献和实验该产品被引用文献
[IF={{ 5.08 }}] {Akdis, Deniz, et al. "Myocardial Expression Profiles of Candidate Molecules in Arrhythmogenic Right Ventricular Cardiomyopathy/Dysplasia compared to Dilated Cardiomyopathy and Healthy Controls." Heart Rhythm (2015).} {IHC} {="Human"}
技术资料暂无技术资料 索取技术资料
文献支持
Plakophilin 2 Rabbit pAb(bs-11063R)-50ul/100ul/200ul
¥1180 - 2800






