相关产品推荐更多 >

phospho-cardiac Troponin I (Thr143) Rabbit pAb(bs-9860R)-50ul/100ul/200ul
¥1180
phospho-ALOX5 (Ser524) Rabbit pAb(bs-13777R)-50ul/100ul/200ul
¥1180
NCOA5 Rabbit pAb, Biotin conjugated(bs-19052R-Bio)-100ul
¥2980
DHRS13 Rabbit pAb, HRP conjugated(bs-8261R-HRP)-100ul
¥2980
CXorf57 Rabbit pAb, HRP conjugated(bs-14119R-HRP)-100ul
¥2980
万千商家帮你免费找货
0 人在求购买到急需产品
- 详细信息
- 文献和实验
- 技术资料
- 应用范围:
产品信息以Bioss网站为准
- 规格:
50ul/100ul/200ul
| 规格: | 50ul | 产品价格: | ¥1180.0 |
|---|---|---|---|
| 规格: | 100ul | 产品价格: | ¥1980.0 |
| 规格: | 200ul | 产品价格: | ¥2800.0 |
| 产品编号 | bs-11027R |
| 英文名称 | KIF5A/NKHC1 Rabbit pAb |
| 中文名称 | 驱动蛋白KIF5A抗体 |
| 英文别名 | Kinesin 5A; Kinesin5A; Kinesin-5A; KIF 5A; KIF5A; KIF5A_HUMAN; Kinesin family member 5A; Kinesin heavy chain isoform 5A; Kinesin Heavy Chain Neuron Specific; Kinesin heavy chain neuron-specific 1; neuronal kinesin heavy chain 1; MY050; Neuronal kinesin heavy chain; NKHC 1; NKHC1; NKHC-1; NKHC; SPG 10. |
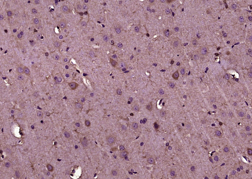
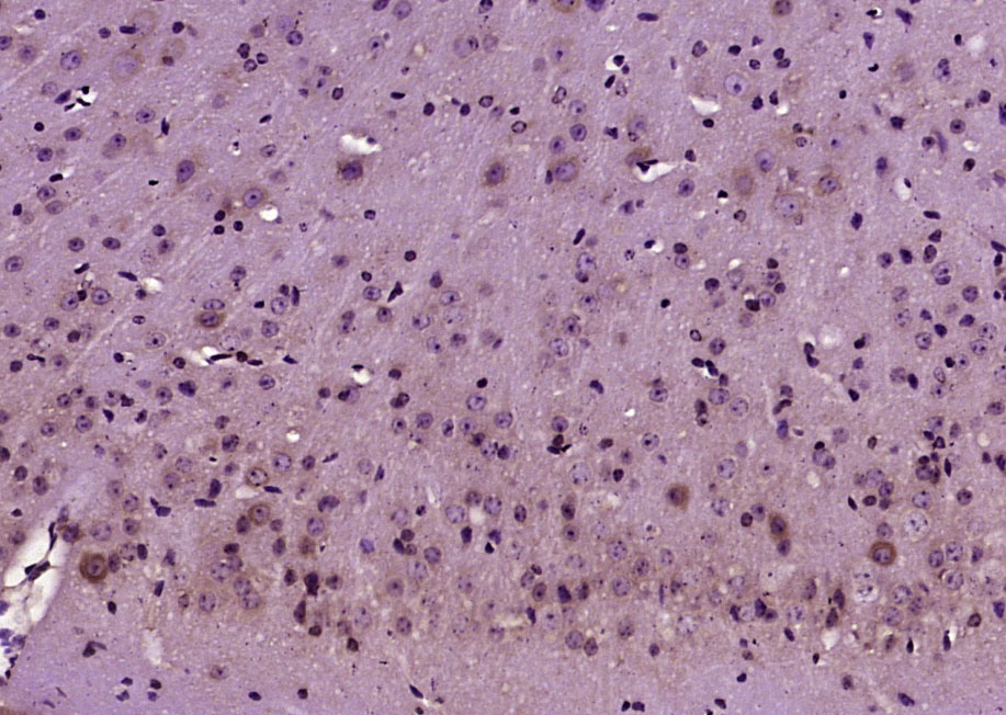
| 产品应用 | IHC-P=1:100-500, IHC-F=1:100-500, IF=1:100-500 Not yet tested in other applications. |
| 交叉反应 | Mouse, Rat (Human, Chicken, Dog, Pig, Cow, Horse, Rabbit, Sheep) |
| 抗体来源 | Rabbit |
| 免疫原 | KLH conjugated synthetic peptide derived from human KIF5A/NKHC1 |
| 亚型 | IgG |
| 性状 | Liquid |
| 纯化方法 | affinity purified by Protein A |
| 克隆类型 | Polyclonal |
| 理论分子量 | 113 kDa |
| 浓度 | 1mg/ml |
| 储存液 | 0.01M TBS (pH7.4) with 1% BSA, 0.02% Proclin300 and 50% Glycerol. |
| 研究领域 | Neuroscience > Cell Adhesion Proteins > Cytoskeletal Proteins > Microtubules Neuroscience > Cell Type Marker > Neuron marker > Axon marker Signal Transduction > Cytoskeleton / ECM > Cytoskeleton > Motor Proteins > Kinesin |
| 亚基 | Oligomer composed of two heavy chains and two light chains. Interacts with GRIP1. |
| 亚细胞定位 | Cytoplasm, perinuclear region. Cytoplasm, cytoskeleton. Note=Concentrated in the cell body of the neurons, particularly in the perinuclear region. |
| 组织特异性 | Distributed throughout the CNS but is highly enriched in subsets of neurons. |
| 相似性 | Belongs to the kinesin-like protein family. Kinesin subfamily.
Contains 1 kinesin-motor domain. |
| 功能 | Microtubule-dependent motor required for slow axonal transport of neurofilament proteins (NFH, NFM and NFL). |
| 保存条件 | Shipped at 4℃. Store at -20℃ for one year. Avoid repeated freeze/thaw cycles. |
| 注意事项 | This product as supplied is intended for research use only, not for use in human, therapeutic or diagnostic applications. |
| 背景资料 | NKHC1 is a neuronal-specific component of a multi-subunit “molecular motor” complex that mediates intracellular organelle transport. Mutations in the gene encoding NKHC1 cause autosomal dominant spastic paraplegia 10. NKHC1 has a pan-neuronal distribution in the nervous system. Rat tissue extracts by immunoblot of NKHC1 can produce a doublet only in brain and sciatic nerve tissue. NKHC1 is distributed throughout the central nervous system and is enriched in subsets of neurons. Within cultured hippocampal neurons, NKHC1 is concentrated in the perinuclear region of the cell body. Kinesin superfamily proteins like NKHC1 are the molecular motors conveying cargos along microtubules. |
| 应用 | 推荐稀释比例 |
| {IHC-P} | {1:100-500} |
| {IHC-F} | {1:100-500} |
| {IF} | {1:100-500} |


风险提示:丁香通仅作为第三方平台,为商家信息发布提供平台空间。用户咨询产品时请注意保护个人信息及财产安全,合理判断,谨慎选购商品,商家和用户对交易行为负责。对于医疗器械类产品,请先查证核实企业经营资质和医疗器械产品注册证情况。
文献和实验= NAL), appears to form upon oxidative cyclization of the nonfluorescent 2:1 lysine-HNE Michael adduct-Schiff base cross-link (Scheme 1). Polyclonal antibody (PAb) to the NAL-HNE fluorophore was raised in rabbit and found to be highly specific
. Retrieved 2010-11-29. ^ Nielsen BS, Jørgensen S, Fog JU, Søkilde R, Christensen IJ, Hansen U, Brünner N, Baker A, Møller S, Nielsen HJ (October 2010). "High levels of microRNA-21 in the stroma of colorectal cancers predict short disease-free survival
+oieSKeKcgxGinlRPl7uja5iYeDdc+K3eZhXhIOHOy+p9cxrGU9WCTkVcT5iRR/BsR+N0IDPSu3x0pXo0IRAQiAhGBiEBE4ABCwPnwbu0wGmW8ULj7NRb20DLRYqFW1Up6ODBube+wknwaZ5w/y92bXLbV5K3CJ+hhzKwdSHCmVrada2Qy0eyxvi0r7Lkl99ukcaOkRe60Sj82E8qgnmxNtzHGRRyZQtf1g41GIMau5W7ITlqbiDRR0CA3tPhIsEdmP5hZ
技术资料暂无技术资料 索取技术资料






