相关产品推荐更多 >
万千商家帮你免费找货
0 人在求购买到急需产品
- 详细信息
- 文献和实验
- 技术资料
- 应用范围:
产品信息以Bioss网站为准
- 规格:
50ul/100ul/200ul
| 规格: | 50ul | 产品价格: | ¥1180.0 |
|---|---|---|---|
| 规格: | 100ul | 产品价格: | ¥1980.0 |
| 规格: | 200ul | 产品价格: | ¥2800.0 |
| 产品编号 | bs-8583R |
| 英文名称 | phospho-IKKi (Ser172) Rabbit pAb |
| 中文名称 | 磷酸化核因子NFκB抑制蛋白激酶i抗体 |
| 英文别名 | IKKi/IKKe(phospho Ser172); p-IKKi(Ser172); p-IKKe(Ser172); IKKi/IKKe; I kappa B kinase epsilon; IkBKE; IKBKE protein; IKK E; IKK i; IKK-i; IKK related kinase epsilon; IKKE; IKK-E; IKKepsilon; IKKI; Inducible I kappa B kinase; inducible IkappaB kinase; Inhibitor of kappa light polypeptide gene enhancer in B cells kinase epsilon; Inhibitor of nuclear factor kappa B kinase subunit epsilon; KIAA0151; MGC125294; MGC125295; MGC125297; IKKE_HUMAN; I-kappa-B kinase epsilon; IKK-epsilon; Inducible I kappa-B kinase. |
| 产品应用 | WB=1:500-2000, IHC-P=1:100-500, IHC-F=1:100-500, IF=1:100-500 Not yet tested in other applications. |
| 交叉反应 | Mouse, Rat (Human, Dog, Pig, Cow, Rabbit) |
| 抗体来源 | Rabbit |
| 免疫原 | KLH conjugated synthesised phosphopeptide derived from human IKKi/IKKE around the phosphorylation site of Ser172 |
| 亚型 | IgG |
| 性状 | Liquid |
| 纯化方法 | affinity purified by Protein A |
| 克隆类型 | Polyclonal |
| 理论分子量 | 80 kDa |
| 浓度 | 1mg/ml |
| 储存液 | 0.01M TBS (pH7.4) with 1% BSA, 0.02% Proclin300 and 50% Glycerol. |
| 研究领域 | Cancer > Oncoproteins/suppressors > Oncoproteins > Signal transducers Cancer > Signal transduction > Protein phosphorylation > Serine/threonine kinases Epigenetics and Nuclear Signaling > Cell cycle > Kinases/Phosphatases Immunology > Innate Immunity > TLR Signaling Signal Transduction > Protein Phosphorylation > Ser / Thr Kinases > Other Kinases |
| 亚基 | May interact with MAVS/IPS1. Interacts with AZI2. Interacts with SIKE1. Interacts with TICAM1/TRIF, IRF3 and DDX58/RIG-I, interactions are disrupted by the interaction between IKBKE and SIKE1. Interacts with TOPORS; induced by DNA damage. Interacts with CYLD. |
| 亚细胞定位 | Cytoplasm. Nucleus. Nucleus, PML body. |
| 组织特异性 | Highly expressed in spleen followed by thymus, peripheral blood leukocytes, pancreas, placenta. Weakly expressed in lung, kidney, prostate, ovary and colon. |
| 翻译后修饰 | Autophosphorylated and phosphorylated by IKBKB/IKKB.
Sumoylation by TOPORS upon DNA damage is required for protection of cells against DNA damage-induced cell death. Desumoylated by SENP1. |
| 相似性 | Belongs to the protein kinase superfamily. Ser/Thr protein kinase family. I-kappa-B kinase subfamily.
Contains 1 protein kinase domain. |
| 功能 | Phosphorylates inhibitors of NF-kappa-B thus leading to the dissociation of the inhibitor/NF-kappa-B complex and ultimately the degradation of the inhibitor. May play a special role in the immune response. Protects cells against DNA damage-induced cell death. |
| 保存条件 | Shipped at 4℃. Store at -20℃ for one year. Avoid repeated freeze/thaw cycles. |
| 注意事项 | This product as supplied is intended for research use only, not for use in human, therapeutic or diagnostic applications. |
| 背景资料 | This member of the Ser/Thr protein kinase family (IkappaB kinase subfamily) phosphorylates inhibitors of NF-kappa-B thus leading to the dissociation of the inhibitor/NF-kappa-B complex and ultimately the degradation of the inhibitor. It is highly expressed in spleen followed by thymus, peripheral blood leukocytes, pancreas, placenta, and may play a special role in the immune response; it is weakly expressed in lung, kidney, prostate, ovary and colon. IKKi/IKKe is also overexpressed in breast cancers. |
| 应用 | 推荐稀释比例 |
| {WB} | {1:500-2000} |
| {IHC-P} | {1:100-500} |
| {IHC-F} | {1:100-500} |
| {IF} | {1:100-500} |

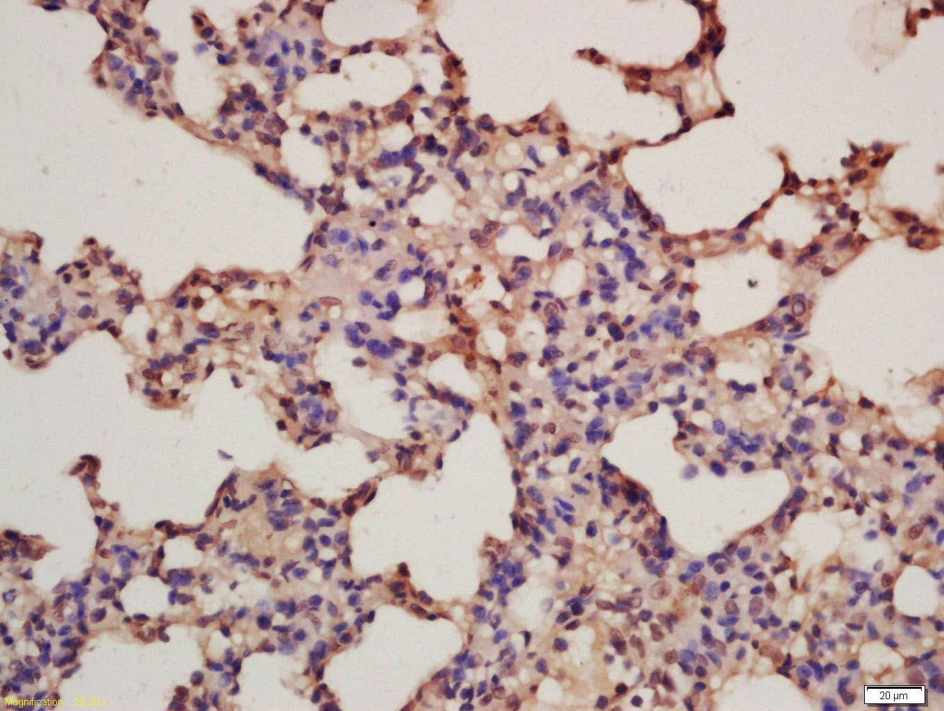
Antigen retrieval: citrate buffer ( 0.01M, pH 6.0 ), Boiling bathing for 15min; Block endogenous peroxidase by 3% Hydrogen peroxide for 30min; Blocking buffer (normal goat serum,C-0005) at 37℃ for 20 min;
Incubation: Anti-phospho-IKKi(Ser172) Polyclonal Antibody, Unconjugated(bs-8583R) 1:200, overnight at 4°C, followed by conjugation to the secondary antibody(SP-0023) and DAB(C-0010) staining

Spleen (Mouse) Lysate at 40 ug
Thymus (Mouse) Lysate at 40 ug
Primary: Anti- phospho-IKKi (Ser172) (bs-8583R) at 1/1000 dilution
Secondary: IRDye800CW Goat Anti-Rabbit IgG at 1/20000 dilution
Predicted band size: 80 kD
Observed band size: 71 kD
风险提示:丁香通仅作为第三方平台,为商家信息发布提供平台空间。用户咨询产品时请注意保护个人信息及财产安全,合理判断,谨慎选购商品,商家和用户对交易行为负责。对于医疗器械类产品,请先查证核实企业经营资质和医疗器械产品注册证情况。
文献和实验[IF={{ 6.1 }}] {Dongxue Song. et al. Purple Sweet Potato Polysaccharide Exerting an Anti-inflammatory Effect via a TLR-Mediated Pathway by Regulating Polarization and Inhibiting the Inflammasome Activation. J AGR FOOD CHEM. 2024;XXXX(XXX):XXX-XXX} {WB} {Mouse}
[IF={{ 5.1 }}] {Lv Yifei. et al. Low-Shear Stress Promotes Atherosclerosis via Inducing Endothelial Cell Pyroptosis Mediated by IKKε/STAT1/NLRP3 Pathway. INFLAMMATION. 2024 Feb;:1-14} {IF} {Mouse}
:使用 Anti-phospho-Akt (Ser473) Rabbit mAb 对石蜡包埋的人乳腺癌组织进行免疫组织化学分析。(图 A)使用免疫组化试剂盒M&R HRP/DAB Detection IHC Kit,抗体 1:100 稀释;(图 B) 采用普通免疫组化试剂盒,抗体 1:25 稀释。 图 6 免疫组化实验检测 Erk1/2 表达 注:使用 Anti-Erk1/2 Mouse mAb与p44/42 MAPK (Erk1/2)Rabbit mAb 对正常小鼠心脏组织进行免疫
at 10, 25, and 50 μM). At 24 h post-treatment, celllysates were obtained; SDS-PAGE and Western blotting were performed as described in Section 3, Methods. AR-A014418dose-dependent decreases of phospho-β-catenin (Ser33/37) and phospho-glycogen synthase
(Ser473)(193H12)Rabbit mAb,1:300,稀释,二抗是驴抗兔,1:2000,我是实验室的新手,刚呆俩月,受 此挫折,一头雾水,请过来人或者有经验的同学帮忙解答怎样解决,非常感谢! 碧峤 pAkt有两个位点,Ser473和Thr308,其中Ser473相对容易显色。如果显色失败,可能的原因:1 上样量过少,我们一般都是30μg;2 一抗孵育时间过短,我们一般24h~48h;3 一抗是否工作有待排除 米宝
技术资料暂无技术资料 索取技术资料










