相关产品推荐更多 >

CD45 Mouse mAb, APC conjugated(bsm-33052M-APC)-100ul
¥2980
human CD8 Mouse mAb, PE-Cy5 conjugated(bsm-30094M-PE-Cy5)-25T/50T/100T
¥1080
ZNF649 Rabbit pAb, AP conjugated(bs-16103R-AP)-100ul
¥2980
MTOR Recombinant Mouse mAb(bsm-60841M)-50ul/100ul/25ul
¥800
NOXA2 Rabbit pAb, HRP conjugated(bs-21423R-HRP)-100ul
¥2980
万千商家帮你免费找货
0 人在求购买到急需产品
- 详细信息
- 文献和实验
- 技术资料
- 应用范围:
产品信息以Bioss网站为准
- 规格:
50ul/100ul/200ul
| 规格: | 50ul | 产品价格: | ¥1180.0 |
|---|---|---|---|
| 规格: | 100ul | 产品价格: | ¥1980.0 |
| 规格: | 200ul | 产品价格: | ¥2800.0 |
| 产品编号 | bs-8683R |
| 英文名称 | IGF2BP1 Rabbit pAb |
| 中文名称 | 胰岛素样生长因子ⅡmRNA结合蛋白1抗体 |
| 英文别名 | CRD BP; Coding region determinant-binding protein; CRD-BP; CRDBP; IF2B1; IF2B1_HUMAN; IGF II mRNA binding protein 1; IGF-II mRNA-binding protein 1; IGF2 mRNA binding protein 1; IGF2 mRNA-binding protein 1; IGF2BP1; IMP 1; IMP-1; IMP1; Insulin like growth factor 2 mRNA binding protein 1; Insulin-like growth factor 2 mRNA-binding protein 1; VICKZ family member 1; VICKZ1; ZBP 1; ZBP-1; ZBP1; Zip code binding protein 1; Zip code-binding protein 1; Zipcode binding protein 1; Zipcode-binding protein 1. |
| 产品应用 | IHC-P=1:100-500, IHC-F=1:100-500, IF=1:100-500 Not yet tested in other applications. |
| 交叉反应 | Human, Mouse, Rat, human tonsil, human tonsil, human tonsil, human tonsil (Chicken, Dog, Pig, Cow, Horse, Rabbit, Zebrafish, Sheep) |
| 抗体来源 | Rabbit |
| 免疫原 | KLH conjugated synthetic peptide derived from human IGF2BP1/IMP1 |
| 亚型 | IgG |
| 性状 | Liquid |
| 纯化方法 | affinity purified by Protein A |
| 克隆类型 | Polyclonal |
| 理论分子量 | 63 kDa |
| 浓度 | 1mg/ml |
| 储存液 | 0.01M TBS (pH7.4) with 1% BSA, 0.02% Proclin300 and 50% Glycerol. |
| 研究领域 | Epigenetics and Nuclear Signaling > Nuclear Signaling Pathways > Nuclear Receptors > Nuclear Pore Complex |
| 亚基 | Can form homodimers and heterodimers with IGF2BP1 or IGF2BP3. Component of the coding region determinant (CRD)-mediated complex, composed of DHX9, HNRNPU, IGF2BP1, SYNCRIP and YBX1. Identified in a HCV IRES-mediated translation complex, at least composed of EIF3C, IGF2BP1, RPS3 and HCV RNA-replicon. Interacts (via the KH domains) with HIV-1 GAG (via the second zinc finger motif of NC). Associates (via the RRM domains and KH domains) with HIV-1 particles. Identified in a mRNP complex, at least composed of DHX9, DDX3X, ELAVL1, HNRNPU, IGF2BP1, ILF3, PABPC1, PCBP2, PTBP2, STAU1, STAU2, SYNCRIP and YBX1. Identified in a mRNP granule complex, at least composed of ACTB, ACTN4, DHX9, ERG, HNRNPA1, HNRNPA2B1, HNRNPAB, HNRNPD, HNRNPL, HNRNPR, HNRNPU, HSPA1, HSPA8, IGF2BP1, ILF2, ILF3, NCBP1, NCL, PABPC1, PABPC4, PABPN1, RPLP0, RPS3, RPS3A, RPS4X, RPS8, RPS9, SYNCRIP, TROVE2, YBX1 and untranslated mRNAs. Interacts with DHX9, ELAVL2, HNRNPA2B1, HNRNPC, HNRNPH1, HNRNPU, IGF2BP2, IGF2BP3, ILF2, PABPC1 and YBX1. Found in a RNP granule complex with FMR1. Interacts with FMR1. Component of a multi subunit autoregulatory ribonucleoprotein complex (ARC), at least composed of IGF2BP1, PABPC1 and CSDE1. Interacts through the third and fourth KH domains with PABPC1 in a RNA-independent manner. Component of a TAU mRNP complex, at least composed of IGF2BP1, ELAVL4 and G3BP (By similarity). Interacts with ELAVL4 in a RNA-dependent manner (By similarity). Associates with microtubules and polysomes (By similarity). Interacts with EIF2C1 and EIF2C2. |
| 亚细胞定位 | Nucleus. Cytoplasm. Cell projection, lamellipodium. Cell projection, dendrite (By similarity). Cell projection, dendritic spine (By similarity). Note=Localized in cytoplasmic mRNP granules containing untranslated mRNAs. Targeted to stress granules (SGs), but not processing bodies (PBs), during cellular stress. Colocalizes with G3BP1 and TIAL1 in SGs. Colocalizes with HIV-1 GAG at the cell edges. Found in lamellipodia of the leading edge, in the perinuclear region, and beneath the plasma membrane. The subcytoplasmic localization is cell specific and regulated by cell contact and growth. Colocalized with H19 RNA at lamellipodia. Colocalized with CD44 mRNA in RNP granules. Nuclear export is mediated by XPO1/CRM1. In motile cells, is transported towards the leading edge into the cortical region of the lamellipodia where it is connected to microfilaments (By similarity). Present in the form of granules and into F-actin-rich protrusion of dendrites, spines and subsynaptic sites (By similarity). Colocalizes with beta-actin mRNA in dendrites and spines (By similarity). Exhibited rapid, bidirectional movements in dendrites and spines (By similarity). Neuronal depolarization by KCl induces its rapid efflux from the cell body into dendrites (By similarity). |
| 组织特异性 | Expressed in fetal liver, fetal lung, fetal kidney, fetal thymus, fetal placenta, fetal follicles of ovary, gonocytes of testis, oocytes, spermatogonia and semen (at protein level). Expressed in testicular and lung cancer (at protein level). Expressed in kidney, prostate, trachea, testis and lung cancer. |
| 相似性 | Belongs to the RRM IMP/VICKZ family.
Contains 4 KH domains. Contains 2 RRM (RNA recognition motif) domains. |
| 功能 | RNA-binding factor that affects mRNA nuclear export, localization, stability and translation. Component of the CRD-mediated complex that promotes MYC mRNA stabilization. Regulates mRNA stability during the integrated cellular stress response (ISR) in stress granules (SGs). Stabilizes the BTRC/FBW1A mRNA from degradation by disrupting miRNA-dependent interaction with AGO2. Identified in a HCV IRES-mediated translation complex, that enhances translation at the Hepatitis C virus (HCV) RNA-replicon via the internal ribosome entry site (IRES), but does not affect 5'cap-dependent translation. Acts as a HIV-1 retrovirus restriction factor that reduces HIV-1 assembly by inhibiting viral RNA packaging, assembly and processing of HIV-1 GAG protein on cellular membranes. Binds to mRNAs in stress granules (SGs). Binds to the stem-loop IV of the 5'-UTR and to the variable region and the poly(U-C) motif of the 3'-UTR of the HCV RNA-replicon. Binds to the 5'-UTR of the insulin-like growth factor 2 (IGF2) mRNA and regulates its subcellular localization and translation. Binds both to the coding region mRNA stability determinant (CRD) and to AU-rich sequences in the 3'-UTR of the MYC and CD44 mRNAs and stabilizes these mRNAs. Binds to the fourth and fifth exons of the oncofetal H19 and neuron-specific TAU mRNAs and regulates their localizations. Binds to the adenine-rich autoregulatory sequence (ARS) 5'-UTR of the PABPC1 mRNA and is involved in its translational repression. The RNA-binding activity to ARS is stimulated by PABPC1. Binds to the coding sequence region of BTRC/FBW1A mRNA and mediates stabilization of BTRC/FBW1A and MYC mRNAs in response to beta-catenin signaling. Binding to RNA employs a cooperative, sequential mechanism of homo- or heterodimerisation. Also involved in growth or survival of lung-cancer cells. Protects the MYC and MDR-1 mRNAs from cleavage by a endoribonuclease, thus prolonging their stabilities (By similarity). Binds to the 3'-UTR axonal localization signal (ALS) of TAU mRNA (By similarity). Binds to a conserved 54-nucleotide element in the 3'-UTR of the beta actin mRNA known as the 'zipcode' (By similarity). Promotes translocation of the beta-actin mRNA to dendrites (By similarity). May act as a regulator of mRNA transport to activated synapses in response to synaptic activity (By similarity). |
| 保存条件 | Shipped at 4℃. Store at -20℃ for one year. Avoid repeated freeze/thaw cycles. |
| 注意事项 | This product as supplied is intended for research use only, not for use in human, therapeutic or diagnostic applications. |
| 背景资料 | IGF-II mRNA-binding proteins (IMP) bind RNA and influence RNA synthesis and metabolism. IMPs, IMP-1 (coding region determinant-binding protein/insulin-like growth factor II mRNA-binding protein, CRD-BP, VICKZ1), IMP-2 (IMP2, VICKZ2, p62) and IMP-3 (KOC1, VICKZ3), contain a unique combination of RNA recognition motifs and four hnRNP K homology domains. IMP-1 is abundant in embryonal tissues and in 81% of colon cancers, 58.5% of breast cancers and 73% of sarcomas. IMP-1 recognizes c-Myc, IGF-II and tau mRNAs, and H19 RNA and plays a major role in proliferation of K-562 cells by an IGF-II-dependent mechanism. IMP-2 binds the 5' UTR of IGF-II mRNA and influences tumor cell growth, in which IMP-2 is associated with apoptosis induced by tretinoin. IMP-3 knock down by RNA interference decreases levels of IGF-II protein without affecting IGF-II, c-Myc, or b Actin mRNA and H19 RNA levels. IMP-3 is a marker for carcinomas and high-grade dysplastic lesions of pancreatic ductal epithelium. |
| 应用 | 推荐稀释比例 |
| {IHC-P} | {1:100-500} |
| {IHC-F} | {1:100-500} |
| {IF} | {1:100-500} |

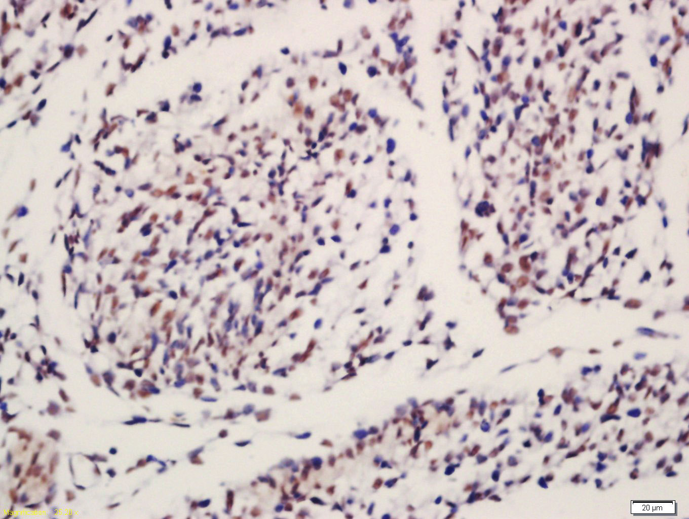
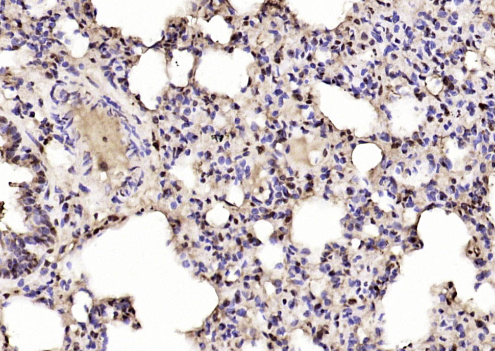
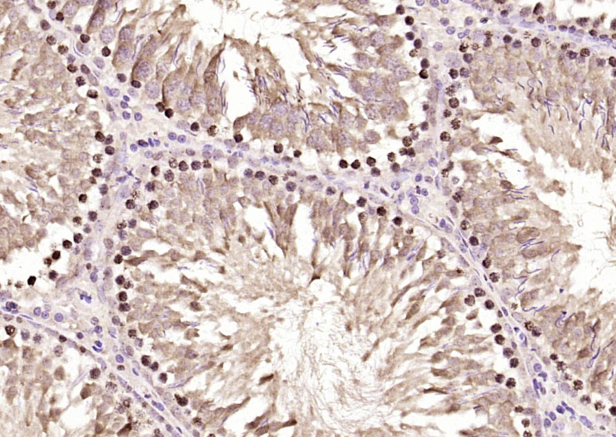
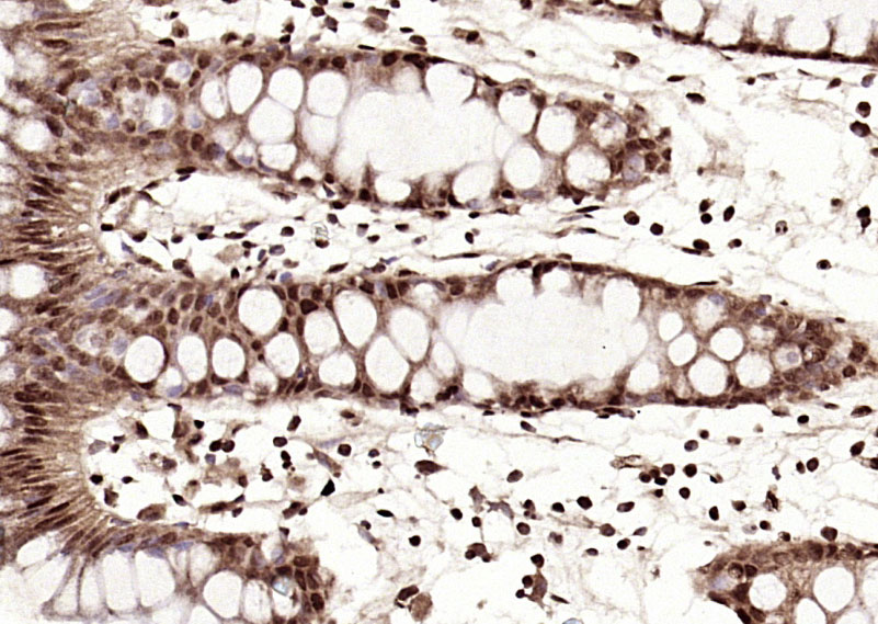
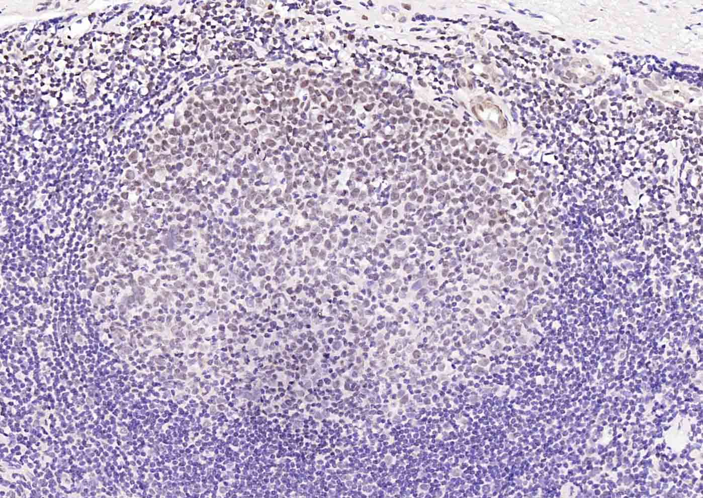
Antigen retrieval: citrate buffer ( 0.01M, pH 6.0 ), Boiling bathing for 15min; Block endogenous peroxidase by 3% Hydrogen peroxide for 30min; Blocking buffer (normal goat serum,C-0005) at 37℃ for 20 min;
Incubation: Anti-IGF2BP1 Polyclonal Antibody, Unconjugated(bs-8683R) 1:200, overnight at 4°C, followed by conjugation to the secondary antibody(SP-0023) and DAB(C-0010) staining




风险提示:丁香通仅作为第三方平台,为商家信息发布提供平台空间。用户咨询产品时请注意保护个人信息及财产安全,合理判断,谨慎选购商品,商家和用户对交易行为负责。对于医疗器械类产品,请先查证核实企业经营资质和医疗器械产品注册证情况。
文献和实验[IF={{ 5.6 }}] {Jiabin Zhan. et al. CircMIRLET7BHG, upregulated in an m6A-dependent manner, induces the nasal epithelial barrier dysfunction in allergic rhinitis pathogenesis. INT IMMUNOPHARMACOL. 2023 Dec;125:111162} {IF} {Human}
= NAL), appears to form upon oxidative cyclization of the nonfluorescent 2:1 lysine-HNE Michael adduct-Schiff base cross-link (Scheme 1). Polyclonal antibody (PAb) to the NAL-HNE fluorophore was raised in rabbit and found to be highly specific
GE Healthcare Benzamidine Sepharose™ 6B is p-aminobenzamidine covalently attached to Sepharose 6B by the epoxy coupling method. p-Aminobenzamidine (PAB), is a synthetic inhibitor of trypsin-like serine protease. Trypsin and trypsin
GE Healthcare Benzamidine Sepharose™ 6B is p-aminobenzamidine covalently attached to Sepharose 6B by the epoxy coupling method. p-Aminobenzamidine (PAB), is a synthetic inhibitor of trypsin-like serine protease. Trypsin and trypsin
技术资料暂无技术资料 索取技术资料





