相关产品推荐更多 >

DNASE1L1 Rabbit pAb, PE conjugated(bs-12995R-PE)-100ul
¥2980
MAP3K14/NFkB Inducing Kinase Rabbit pAb, PE-Cy5 conjugated(bs-0074R-PE-Cy5)-100ul
¥2980
LPHN3 Rabbit pAb(bs-18350R)-50ul/100ul/200ul
¥1180
CEA Rabbit pAb, FITC conjugated(bs-0719R-FITC)-100ul
¥2980
human Fibrinogen Rabbit pAb, HRP conjugated(bs-1240R-HRP)-100ul
¥2980
万千商家帮你免费找货
0 人在求购买到急需产品
- 详细信息
- 文献和实验
- 技术资料
- 应用范围:
产品信息以Bioss网站为准
- 规格:
50ul/100ul/200ul
| 规格: | 50ul | 产品价格: | ¥1180.0 |
|---|---|---|---|
| 规格: | 100ul | 产品价格: | ¥1980.0 |
| 规格: | 200ul | 产品价格: | ¥2800.0 |
| 产品编号 | bs-9468R |
| 英文名称 | Nebulette Rabbit pAb |
| 中文名称 | 肌动蛋白结合蛋白Z盘状蛋白抗体 |
| 英文别名 | Actin binding Z disk protein; bA56H7.1; LIM nebulette; LNEBL; NEBL; NEBL_HUMAN. |
| 产品应用 | WB=1:500-2000, IHC-P=1:100-500, IHC-F=1:100-500, IF=1:100-500 Not yet tested in other applications. |
| 交叉反应 | Mouse (Human, Rat) |
| 抗体来源 | Rabbit |
| 免疫原 | KLH conjugated synthetic peptide derived from human Nebulette |
| 亚型 | IgG |
| 性状 | Liquid |
| 纯化方法 | affinity purified by Protein A |
| 克隆类型 | Polyclonal |
| 理论分子量 | 116 kDa |
| 浓度 | 1mg/ml |
| 储存液 | 0.01M TBS (pH7.4) with 1% BSA, 0.02% Proclin300 and 50% Glycerol. |
| 研究领域 | Cardiovascular > Heart > Cardiogenesis > Myocardial regeneration Cardiovascular > Heart > Contractility > Contractile Proteins > Actins Signal Transduction > Cytoskeleton / ECM > Cytoskeleton > Microfilaments > Actin etc > Actin Binding Proteins |
| 亚基 | Isoform 2 interacts with ZYX (Zyxin). |
| 亚细胞定位 | Cytoplasmic. |
| 组织特异性 | Abundantly expressed in cardiac muscle, but not in skeletal or smooth muscle. Localized to Z-lines in cardiac cells and to dense bodies in nonmuscle cells. Isoform 2 is expressed in non-muscle cells such as in fibroblasts. |
| 相似性 | Contains 23 nebulin repeats. Contains 1 SH3 domain. |
| 功能 | Binds to actin and plays an important role in the assembly of the Z-disk. Isoform 2 might play a role in the assembly of focal adhesion. |
| 保存条件 | Shipped at 4℃. Store at -20℃ for one year. Avoid repeated freeze/thaw cycles. |
| 注意事项 | This product as supplied is intended for research use only, not for use in human, therapeutic or diagnostic applications. |
| 背景资料 | Nebulette binds to actin and plays an important role in Z-disk assembly. It is a cardiac homolog of nebulin and its expression is abundant in cardiac muscle. Nebulette defects are assocated with non-familial idiopathic cardiacmyopathy.Nebulin and nebulette are homologous thin-filament associated proteins expressed in skeletal and cardiac muscles, respectively. Nebulette, unlike nebulin, is confined to the Z-disc region of the sarcomere and does not span the whole thin filament length. Nebulette colocalizes with α-actinin in the pre-, nascent, and mature myofibrils. A polymorphism in the actin-binding motif of nebulette is a genetic marker of susceptibility to nonfamilial idiopathic dilated cardiomyopathy (IDC), characterized by a thin-walled heart and systolic dysfunction. |
| 应用 | 推荐稀释比例 |
| {WB} | {1:500-2000} |
| {IHC-P} | {1:100-500} |
| {IHC-F} | {1:100-500} |
| {IF} | {1:100-500} |

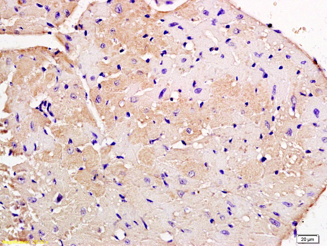
Antigen retrieval: citrate buffer ( 0.01M, pH 6.0 ), Boiling bathing for 15min; Block endogenous peroxidase by 3% Hydrogen peroxide for 30min; Blocking buffer (normal goat serum,C-0005) at 37℃ for 20 min;
Incubation: Anti-Nebulette Polyclonal Antibody, Unconjugated(bs-9468R) 1:200, overnight at 4°C, followed by conjugation to the secondary antibody(SP-0023) and DAB(C-0010) staining

Pancreas (Mouse) Lysate at 40 ug
Primary: Anti- Nebulette (bs-9468R) at 1/1000 dilution
Secondary: IRDye800CW Goat Anti-Rabbit IgG at 1/20000 dilution
Predicted band size: 116 kD
Observed band size: 116 kD
风险提示:丁香通仅作为第三方平台,为商家信息发布提供平台空间。用户咨询产品时请注意保护个人信息及财产安全,合理判断,谨慎选购商品,商家和用户对交易行为负责。对于医疗器械类产品,请先查证核实企业经营资质和医疗器械产品注册证情况。
文献和实验[IF={{ 3.386 }}] {Ying He. et al. Bioinformatics Profiling and Experimental Validation of 4 Differentially-Expressed LIM Genes in the Course of Colorectal-Adenoma-Carcinoma. MED SCI MONITOR. 2022; 28: e937081-1–e937081-17} {IHC} {Human}
= NAL), appears to form upon oxidative cyclization of the nonfluorescent 2:1 lysine-HNE Michael adduct-Schiff base cross-link (Scheme 1). Polyclonal antibody (PAb) to the NAL-HNE fluorophore was raised in rabbit and found to be highly specific
GE Healthcare Benzamidine Sepharose™ 6B is p-aminobenzamidine covalently attached to Sepharose 6B by the epoxy coupling method. p-Aminobenzamidine (PAB), is a synthetic inhibitor of trypsin-like serine protease. Trypsin and trypsin
Nucleic Acid Programmable Protein Arrays: Versatile Tools for Array‐Based Functional Protein Studies
.g., Sigma) 50 mg/ml bis‐sulfosuccinimdylsuberate (BS3 ;Pierce, cat. no. PI 21580) in dimethylsulfoxide (DMSO) 5 mg/ml
技术资料暂无技术资料 索取技术资料






