相关产品推荐更多 >
万千商家帮你免费找货
0 人在求购买到急需产品
- 详细信息
- 文献和实验
- 技术资料
- 应用范围:
产品信息以Bioss网站为准
- 规格:
50ul/100ul/200ul
| 规格: | 50ul | 产品价格: | ¥1180.0 |
|---|---|---|---|
| 规格: | 100ul | 产品价格: | ¥1980.0 |
| 规格: | 200ul | 产品价格: | ¥2800.0 |
| 产品编号 | bs-9458R |
| 英文名称 | TNNI3K Rabbit pAb |
| 中文名称 | 丝氨酸/苏氨酸蛋白激酶TNN13K抗体 |
| 英文别名 | Cardiac ankyrin repeat kinase; CARK; MGC142099; MGC33828; Serine/threonine protein kinase TNN13K; Serine/threonine-protein kinase TNNI3K; TNI3K_HUMAN; TNNI3 interacting kinase; TNNI3-interacting kinase; Tnni3k. |
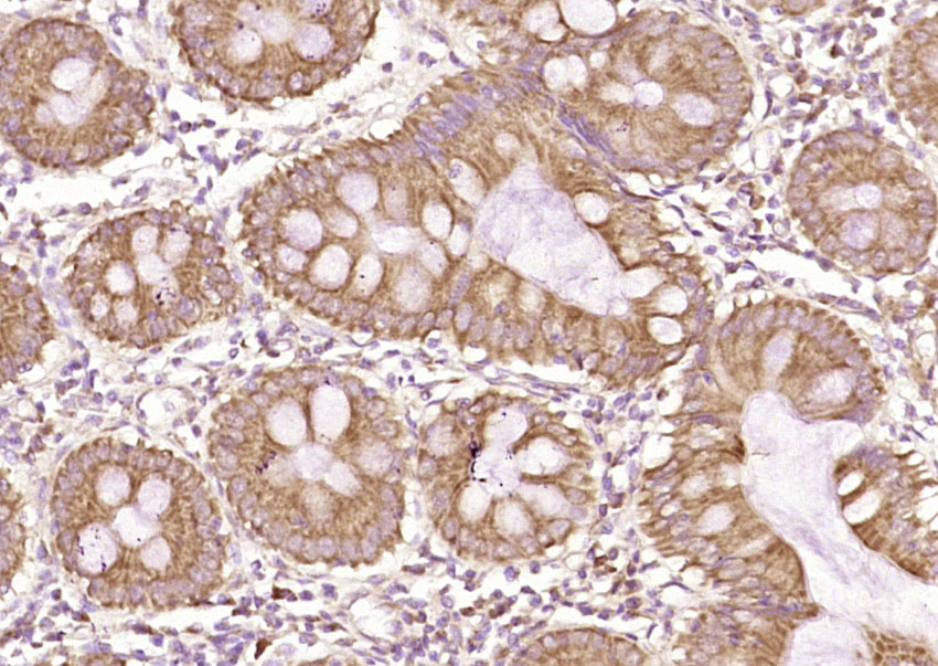
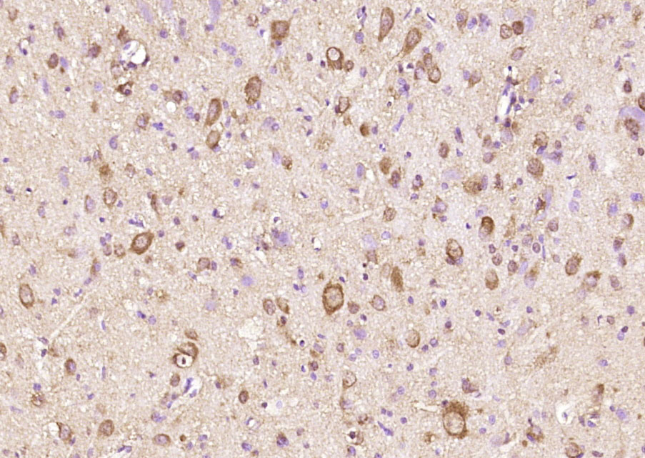
| 产品应用 | IHC-P=1:100-500, IHC-F=1:100-500, IF=1:100-500 Not yet tested in other applications. |
| 交叉反应 | Human, Rat (Mouse, Chicken, Cow, Horse, Rabbit, Sheep) |
| 抗体来源 | Rabbit |
| 免疫原 | KLH conjugated synthetic peptide derived from human TNNI3K |
| 亚型 | IgG |
| 性状 | Liquid |
| 纯化方法 | affinity purified by Protein A |
| 克隆类型 | Polyclonal |
| 理论分子量 | 93 kDa |
| 浓度 | 1mg/ml |
| 储存液 | 0.01M TBS (pH7.4) with 1% BSA, 0.02% Proclin300 and 50% Glycerol. |
| 研究领域 | Cardiovascular > Heart > Cardiac metabolism Metabolism > Types of disease > Cancer |
| 亚基 | Interacts with TNNI3, ACTC, ACTA1, MYBPC3, AIP, BABP3 and HADHB. |
| 亚细胞定位 | Nucleus. Cytoplasm. Expressed at lower levels in the cytoplasm. |
| 组织特异性 | Highly expressed in both adult and fetal heart. |
| 翻译后修饰 | Autophosphorylated. |
| 相似性 | Belongs to the protein kinase superfamily. TKL Ser/Thr protein kinase family. MAP kinase kinase kinase subfamily. Contains 10 ANK repeats. Contains 1 protein kinase domain. |
| 功能 | May play a role in cardiac physiology. |
| 保存条件 | Shipped at 4℃. Store at -20℃ for one year. Avoid repeated freeze/thaw cycles. |
| 注意事项 | This product as supplied is intended for research use only, not for use in human, therapeutic or diagnostic applications. |
| 背景资料 | TNNI3K, also known as CARK, is a 936 amino acid serine/threonine-protein kinase that is highly expressed in heart. Overexpression of TNNI3K leads to improved cardiac function by enhancing beating frequency and increasing contractile force and epinephrine response. TNNI3K suppresses phosphorylation of cardiac troponin I and p38/JNK-mediated apoptosis, therefore protecting the myocardium from ischemic injury. Administration of TNNI3K to mice with myocardial infarction improves cardiac performance and attentuates ventricular remodeling, suggesting that TNNI3K could be a promising target in the treatment of cardiac diseases. There are four isoforms of TNNI3K that are produced as a result of alternative splicing events. |
| 应用 | 推荐稀释比例 |
| {IHC-P} | {1:100-500} |
| {IHC-F} | {1:100-500} |
| {IF} | {1:100-500} |



风险提示:丁香通仅作为第三方平台,为商家信息发布提供平台空间。用户咨询产品时请注意保护个人信息及财产安全,合理判断,谨慎选购商品,商家和用户对交易行为负责。对于医疗器械类产品,请先查证核实企业经营资质和医疗器械产品注册证情况。
文献和实验= NAL), appears to form upon oxidative cyclization of the nonfluorescent 2:1 lysine-HNE Michael adduct-Schiff base cross-link (Scheme 1). Polyclonal antibody (PAb) to the NAL-HNE fluorophore was raised in rabbit and found to be highly specific
GE Healthcare Benzamidine Sepharose™ 6B is p-aminobenzamidine covalently attached to Sepharose 6B by the epoxy coupling method. p-Aminobenzamidine (PAB), is a synthetic inhibitor of trypsin-like serine protease. Trypsin and trypsin
Nucleic Acid Programmable Protein Arrays: Versatile Tools for Array‐Based Functional Protein Studies
.g., Sigma) 50 mg/ml bis‐sulfosuccinimdylsuberate (BS3 ;Pierce, cat. no. PI 21580) in dimethylsulfoxide (DMSO) 5 mg/ml
技术资料暂无技术资料 索取技术资料









