Sample:
K562(Human) Cell Lysate at 30 ug
Primary: Anti-Phospholipase C beta 2 (bs-6472R) at 1/300 dilution
Secondary: IRDye800CW Goat Anti-Rabbit IgG at 1/20000 dilution
Predicted band size: 130 kD
Observed band size: 130 kD
相关产品推荐更多 >

phospho-CHEK2 (Thr383) Rabbit pAb, FITC conjugated(bs-13910R-FITC)-100ul
¥2980
OMA1 Rabbit pAb(bs-19641R)-50ul/100ul/200ul
¥1180
phospho-CDKN1B (Ser10) Rabbit pAb, BF488 conjugated(bs-20074R-BF488)-100ul
¥2980
HECA Rabbit pAb, BF750 conjugated(bs-9702R-BF750)-100ul
¥2980
CD6 Rabbit pAb(bs-2488R)-50ul/100ul/200ul
¥1180
万千商家帮你免费找货
0 人在求购买到急需产品
- 详细信息
- 技术资料
- 应用范围:
产品信息以Bioss网站为准
- 规格:
50ul/100ul/200ul
| 规格: | 50ul | 产品价格: | ¥1180.0 |
|---|---|---|---|
| 规格: | 100ul | 产品价格: | ¥1980.0 |
| 规格: | 200ul | 产品价格: | ¥2800.0 |
| 产品编号 | bs-6472R |
| 英文名称 | Phospholipase C beta 2 Rabbit pAb |
| 中文名称 | 磷酯酶Cβ2抗体 |
| 英文别名 | PLCβ2; 1-phosphatidylinositol-4, 5-bisphosphate phosphodiesterase beta-2; 1-phosphatidylinositol-4; 5-bisphosphate phosphodiesterase beta-2; FLJ38135; phosphoinositide phospholipase C-beta-2; phospholipase C-beta-2; PLC-beta-2; Plcb2; PLCB2_HUMAN. |
| 产品应用 | WB=1:500-2000, IHC-P=1:100-500, IHC-F=1:100-500, IF=1:100-500, Flow-Cyt=1μg/Test Not yet tested in other applications. |
| 交叉反应 | Human, Mouse (Rat, Dog, Pig, Cow, Horse, Rabbit) |
| 抗体来源 | Rabbit |
| 免疫原 | KLH conjugated synthetic peptide derived from human Phospholipase C beta 2 |
| 亚型 | IgG |
| 性状 | Liquid |
| 纯化方法 | affinity purified by Protein A |
| 克隆类型 | Polyclonal |
| 理论分子量 | 130 kDa |
| 浓度 | 1mg/ml |
| 储存液 | 0.01M TBS (pH7.4) with 1% BSA, 0.02% Proclin300 and 50% Glycerol. |
| 研究领域 | Signal Transduction > Metabolism > Lipid metabolism Signal Transduction > Signaling Pathway > Lipid Signaling > PLC |
| 亚基 | Interacts with RAC1. |
| 相似性 | Contains 1 C2 domain. Contains 1 PI-PLC X-box domain. Contains 1 PI-PLC Y-box domain. |
| 功能 | The production of the second messenger molecules diacylglycerol (DAG) and inositol 1,4,5-trisphosphate (IP3) is mediated by activated phosphatidylinositol-specific phospholipase C enzymes. |
| 保存条件 | Shipped at 4℃. Store at -20℃ for one year. Avoid repeated freeze/thaw cycles. |
| 注意事项 | This product as supplied is intended for research use only, not for use in human, therapeutic or diagnostic applications. |
| 背景资料 | The production of the second messenger molecules diacylglycerol (DAG) and inositol 1,4,5-trisphosphate (IP3) is mediated by activated phosphatidylinositol-specific phospholipase C enzymes. |
| 应用 | 推荐稀释比例 |
| {WB} | {1:500-2000} |
| {IHC-P} | {1:100-500} |
| {IHC-F} | {1:100-500} |
| {IF} | {1:100-500} |
| {Flow-Cyt} | {1μg/Test} |


Blank control: Hela Cells(fixed with 2% Paraformaldehyde (10 min) and then permeabilized with ice-cold 90% methanol for 30 min on ice).
Primary Antibody: Rabbit Anti-Phospholipase C beta 2/AF647 Conjugated antibody (bs-6472R-AF647), Dilution: 1μg in 100 μL 1X PBS containing 0.5% BSA;
Isotype Control Antibody: Rabbit IgG/AF647(orange) ,used under the same conditions.
Primary Antibody: Rabbit Anti-Phospholipase C beta 2/AF647 Conjugated antibody (bs-6472R-AF647), Dilution: 1μg in 100 μL 1X PBS containing 0.5% BSA;
Isotype Control Antibody: Rabbit IgG/AF647(orange) ,used under the same conditions.

Sample:
HL-60(Human) Cell Lysate at 30 ug
Primary: Anti- Phospholipase C beta 2 (bs-6472R) at 1/1000 dilution
Secondary: IRDye800CW Goat Anti-Rabbit IgG at 1/20000 dilution
Predicted band size: 130 kD
Observed band size: 130 kD
HL-60(Human) Cell Lysate at 30 ug
Primary: Anti- Phospholipase C beta 2 (bs-6472R) at 1/1000 dilution
Secondary: IRDye800CW Goat Anti-Rabbit IgG at 1/20000 dilution
Predicted band size: 130 kD
Observed band size: 130 kD

Paraformaldehyde-fixed, paraffin embedded (Mouse lung); Antigen retrieval by boiling in sodium citrate buffer (pH6.0) for 15min; Block endogenous peroxidase by 3% hydrogen peroxide for 20 minutes; Blocking buffer (normal goat serum) at 37°C for 30min; Antibody incubation with (Phospholipase C beta 2) Polyclonal Antibody, Unconjugated (bs-6472R) at 1:400 overnight at 4°C, followed by a conjugated Goat Anti-Rabbit IgG antibody (bs-0295G-FITC) for 90 minutes, and DAPI for nuclei staining.

Paraformaldehyde-fixed, paraffin embedded (Mouse brain); Antigen retrieval by boiling in sodium citrate buffer (pH6.0) for 15min; Block endogenous peroxidase by 3% hydrogen peroxide for 20 minutes; Blocking buffer (normal goat serum) at 37°C for 30min; Antibody incubation with (Phospholipase C beta 2) Polyclonal Antibody, Unconjugated (bs-6472R) at 1:400 overnight at 4°C, followed by a conjugated Goat Anti-Rabbit IgG antibody (bs-0295G-FITC) for 90 minutes, and DAPI for nuclei staining.

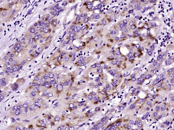
Paraformaldehyde-fixed, paraffin embedded (human liver carcinoma); Antigen retrieval by boiling in sodium citrate buffer (pH6.0) for 15min; Block endogenous peroxidase by 3% hydrogen peroxide for 20 minutes; Blocking buffer (normal goat serum) at 37°C for 30min; Antibody incubation with (PLCB2) Polyclonal Antibody, Unconjugated (bs-6472R) at 1:400 overnight at 4°C, followed by operating according to SP Kit(Rabbit) (sp-0023) instructionsand DAB staining.

Paraformaldehyde-fixed, paraffin embedded (human brain glioma); Antigen retrieval by boiling in sodium citrate buffer (pH6.0) for 15min; Block endogenous peroxidase by 3% hydrogen peroxide for 20 minutes; Blocking buffer (normal goat serum) at 37°C for 30min; Antibody incubation with (PLCB2) Polyclonal Antibody, Unconjugated (bs-6472R) at 1:400 overnight at 4°C, followed by operating according to SP Kit(Rabbit) (sp-0023) instructionsand DAB staining.

Paraformaldehyde-fixed, paraffin embedded (mouse brain tissue); Antigen retrieval by boiling in sodium citrate buffer (pH6.0) for 15min; Block endogenous peroxidase by 3% hydrogen peroxide for 20 minutes; Blocking buffer (normal goat serum) at 37°C for 30min; Antibody incubation with (PLCB2) Polyclonal Antibody, Unconjugated (bs-6472R) at 1:400 overnight at 4°C, followed by operating according to SP Kit(Rabbit) (sp-0023) instructionsand DAB staining.
风险提示:丁香通仅作为第三方平台,为商家信息发布提供平台空间。用户咨询产品时请注意保护个人信息及财产安全,合理判断,谨慎选购商品,商家和用户对交易行为负责。对于医疗器械类产品,请先查证核实企业经营资质和医疗器械产品注册证情况。
技术资料暂无技术资料 索取技术资料
Phospholipase C beta 2 Rabbit pAb(bs-6472R)-50ul/100ul/200ul
¥1180 - 2800





