相关产品推荐更多 >

MFSD8 Rabbit pAb(bs-18906R)-50ul/100ul/200ul
¥1180
MANEA Rabbit pAb, Biotin conjugated(bs-18652R-Bio)-100ul
¥2980
SMAD8/SMAD9 Rabbit pAb(bs-8844R)-50ul/100ul/200ul
¥1180
Neuronal thread protein AD7c-NTP Rabbit pAb, Cy5 conjugated(bs-0046R-Cy5)-100ul
¥2980
Anti-human ERBB1 / EGFR / HER1 (Necitumumab Biosimilar)(BIO0573SM)-1mg/5mg/20mg
¥3200
万千商家帮你免费找货
0 人在求购买到急需产品
- 详细信息
- 技术资料
- 应用范围:
产品信息以Bioss网站为准
- 规格:
50ul/100ul/200ul
| 规格: | 50ul | 产品价格: | ¥1180.0 |
|---|---|---|---|
| 规格: | 100ul | 产品价格: | ¥1980.0 |
| 规格: | 200ul | 产品价格: | ¥2800.0 |
| 产品编号 | bs-9125R |
| 英文名称 | COPS2 Rabbit pAb |
| 中文名称 | 甲状腺受体相互作用蛋白15抗体 |
| 英文别名 | ALIEN; Alien homolog; COP 9; COP9; COP9 constitutive photomorphogenic homolog subunit 2; COP9 signalosome complex subunit 2; COPS 2; Cops2; CSN2; CSN2_HUMAN; JAB1 containing signalosome subunit 2; JAB1-containing signalosome subunit 2; SGN 2; SGN2; Signalosome subunit 2; Thyroid Hormone Receptor Interactor15; Thyroid Hormone Receptor Interactor 15; Thyroid receptor-interacting protein 15; TR-interacting protein 15; TRIP 15; TRIP-15. |
| 产品应用 | IHC-P=1:100-500, IHC-F=1:100-500, IF=1:100-500 Not yet tested in other applications. |
| 交叉反应 | Mouse, Rat (Human, Dog, Pig, Cow) |
| 抗体来源 | Rabbit |
| 免疫原 | KLH conjugated synthetic peptide derived from human COPS2/TRIP15 |
| 亚型 | IgG |
| 性状 | Liquid |
| 纯化方法 | affinity purified by Protein A |
| 克隆类型 | Polyclonal |
| 理论分子量 | 51 kDa |
| 浓度 | 1mg/ml |
| 储存液 | 0.01M TBS (pH7.4) with 1% BSA, 0.02% Proclin300 and 50% Glycerol. |
| 研究领域 | Epigenetics and Nuclear Signaling > Transcription > Polymerase associated factors > Pol II Transcription Epigenetics and Nuclear Signaling > Transcription > Transcription Factors Signal Transduction > Protein Trafficking > Vesicle Transport > Coat Proteins |
| 亚基 | Interacts with NIF3L1 (By similarity). Component of the CSN complex, composed of COPS1/GPS1, COPS2, COPS3, COPS4, COPS5, COP6, COPS7 (COPS7A or COPS7B) and COPS8. In the complex, it probably interacts directly with COPS1, COPS4, COPS5 COPS6 and COPS7 (COPS7A or COPS7B). Interacts with CUL1 and CUL2.Specifically interacts with the ligand binding domain of the thyroid receptor (TR). Does not require the presence of thyroid hormone for its interaction. Interacts with IRF8/ICSBP1 and with nuclear receptors NR2F1 and NR0B1. |
| 亚细胞定位 | Cytoplasm. Nucleus. |
| 翻译后修饰 | Phosphorylated by CK2 and PKD kinases. |
| 相似性 | Belongs to the CSN2 family. Contains 1 PCI domain. |
| 功能 | Essential component of the COP9 signalosome complex (CSN), a complex involved in various cellular and developmental processes. The CSN complex is an essential regulator of the ubiquitin (Ubl) conjugation pathway by mediating the deneddylation of the cullin subunits of SCF-type E3 ligase complexes, leading to decrease the Ubl ligase activity of SCF-type complexes such as SCF, CSA or DDB2. The complex is also involved in phosphorylation of p53/TP53, c-jun/JUN, IkappaBalpha/NFKBIA, ITPK1 and IRF8/ICSBP, possibly via its association with CK2 and PKD kinases. CSN-dependent phosphorylation of TP53 and JUN promotes and protects degradation by the Ubl system, respectively. Involved in early stage of neuronal differentiation via its interaction with NIF3L1. |
| 保存条件 | Shipped at 4℃. Store at -20℃ for one year. Avoid repeated freeze/thaw cycles. |
| 注意事项 | This product as supplied is intended for research use only, not for use in human, therapeutic or diagnostic applications. |
| 背景资料 | TRIP1-TRIP15 genes encode thyroid hormone receptor β (TR β)-binding proteins. TRIP15, along with Cops2 and Alien comprise the second subunit (CSN2) of the COP9 signalosome (CSN), an eight-subunit complex with a variety of functions. CSN regulates Skp1-cullin-F-box protein (SCF) ubiquiting ligases by deconjugating Nedd8 from the Cul1 component of the SCF, and also associates with protein kinase activities targetting p53, c-Jun, and IκB. Consequently, inhibition of SCF ubiquitin ligase activity occurs, and cell cycle progression halts at the transition from G1 to S phase. TRIP15 contains an acidic region in the N terminus, a putative zinc finger in the C terminus, and a central hydrophobic core region flanked by 2 putative α-helical structures and a nuclear localization signal. |
| 应用 | 推荐稀释比例 |
| {IHC-P} | {1:100-500} |
| {IHC-F} | {1:100-500} |
| {IF} | {1:100-500} |

Paraformaldehyde-fixed, paraffin embedded (rat testis); Antigen retrieval by boiling in sodium citrate buffer (pH6.0) for 15min; Block endogenous peroxidase by 3% hydrogen peroxide for 20 minutes; Blocking buffer (normal goat serum) at 37°C for 30min; Antibody incubation with (COPS2) Polyclonal Antibody, Unconjugated (bs-9125R) at 1:200 overnight at 4°C, followed by operating according to SP Kit(Rabbit) (sp-0023) instructionsand DAB staining.

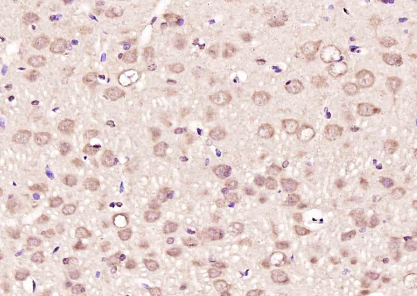
Paraformaldehyde-fixed, paraffin embedded (rat brain); Antigen retrieval by boiling in sodium citrate buffer (pH6.0) for 15min; Block endogenous peroxidase by 3% hydrogen peroxide for 20 minutes; Blocking buffer (normal goat serum) at 37°C for 30min; Antibody incubation with (COPS2) Polyclonal Antibody, Unconjugated (bs-9125R) at 1:200 overnight at 4°C, followed by operating according to SP Kit(Rabbit) (sp-0023) instructionsand DAB staining.

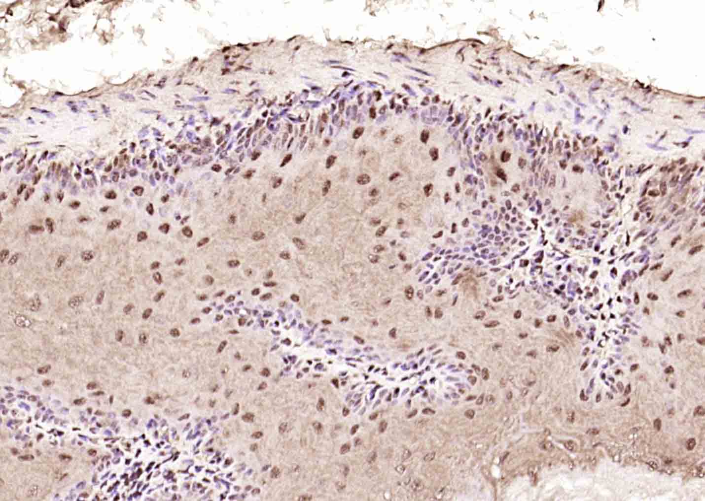
Paraformaldehyde-fixed, paraffin embedded (mouse stomach); Antigen retrieval by boiling in sodium citrate buffer (pH6.0) for 15min; Block endogenous peroxidase by 3% hydrogen peroxide for 20 minutes; Blocking buffer (normal goat serum) at 37°C for 30min; Antibody incubation with (COPS2) Polyclonal Antibody, Unconjugated (bs-9125R) at 1:200 overnight at 4°C, followed by operating according to SP Kit(Rabbit) (sp-0023) instructionsand DAB staining.
风险提示:丁香通仅作为第三方平台,为商家信息发布提供平台空间。用户咨询产品时请注意保护个人信息及财产安全,合理判断,谨慎选购商品,商家和用户对交易行为负责。对于医疗器械类产品,请先查证核实企业经营资质和医疗器械产品注册证情况。
技术资料暂无技术资料 索取技术资料
COPS2 Rabbit pAb(bs-9125R)-50ul/100ul/200ul
¥1180 - 2800





