相关产品推荐更多 >
万千商家帮你免费找货
0 人在求购买到急需产品
- 详细信息
- 文献和实验
- 技术资料
- 应用范围:
产品信息以Bioss网站为准
- 规格:
50ul/100ul/200ul
| 规格: | 50ul | 产品价格: | ¥1180.0 |
|---|---|---|---|
| 规格: | 100ul | 产品价格: | ¥1980.0 |
| 规格: | 200ul | 产品价格: | ¥2800.0 |
| 产品编号 | bs-8086R |
| 英文名称 | CCDC68 Rabbit pAb |
| 中文名称 | 卷曲螺旋结构域蛋白68抗体 |
| 英文别名 | CCD68_HUMAN; se57-1; CCDC 68; CCDC68; Coiled coil domain containing 68; Coiled coil domain containing protein 68; Coiled-coil domain-containing protein 68; CTCL associated antigen se57 1; CTCL tumor antigen se57 1; CTCL-associated antigen se57-1; Cutaneous T cell lymphoma associated antigen; Cutaneous T cell lymphoma associated antigen se57 1; Cutaneous T-cell lymphoma-associated antigen se57-1; FLJ25368; SE57 1. |
| 产品应用 | WB=1:500-2000, IHC-P=1:100-500, IHC-F=1:100-500, IF=1:100-500 Not yet tested in other applications. |
| 交叉反应 | Human, Mouse (Rat, Dog) |
| 抗体来源 | Rabbit |
| 免疫原 | KLH conjugated synthetic peptide derived from Human CCDC68/se57-1 |
| 亚型 | IgG |
| 性状 | Liquid |
| 纯化方法 | affinity purified by Protein A |
| 克隆类型 | Polyclonal |
| 理论分子量 | 39 kDa |
| 浓度 | 1mg/ml |
| 储存液 | 0.01M TBS (pH7.4) with 1% BSA, 0.02% Proclin300 and 50% Glycerol. |
| 研究领域 | Cell Biology > Other Antibodies > Other Antibodies |
| 组织特异性 | Expressed in bone marrow, colon, small intestine, spleen, testis, trachea and cutaneous T-cell lymphoma (CTCL). |
| 保存条件 | Shipped at 4℃. Store at -20℃ for one year. Avoid repeated freeze/thaw cycles. |
| 注意事项 | This product as supplied is intended for research use only, not for use in human, therapeutic or diagnostic applications. |
| 背景资料 | CCDC68, also known as CTCL tumor antigen se57-1, is a 335 amino acid protein expressed in cutaneous T-cell lymphoma (CTCL), bone marrow, colon, small intestine, spleen, testis and trachea tissues. CTCL is a cancer of the immune system associated with mutation of the T cells. Malignant T cells form lesions on the surface of the skin. se57-1 contains 1 coiled coil domain and is encoded by the CCDC68 gene mapping to human chromosome 18. Chromosome 18 houses over 300 protein-coding genes and contains nearly 76 million bases. There are a variety of diseases associated with defects in chromosome 18-localized genes, some of which include Trisomy 18 (also known as Edwards syndrome), Niemann-Pick disease, hereditary hemorrhagic telangiectasia, erythropoietic protoporphyria and follicular lymphomas. |
| 应用 | 推荐稀释比例 |
| {WB} | {1:500-2000} |
| {IHC-P} | {1:100-500} |
| {IHC-F} | {1:100-500} |
| {IF} | {1:100-500} |

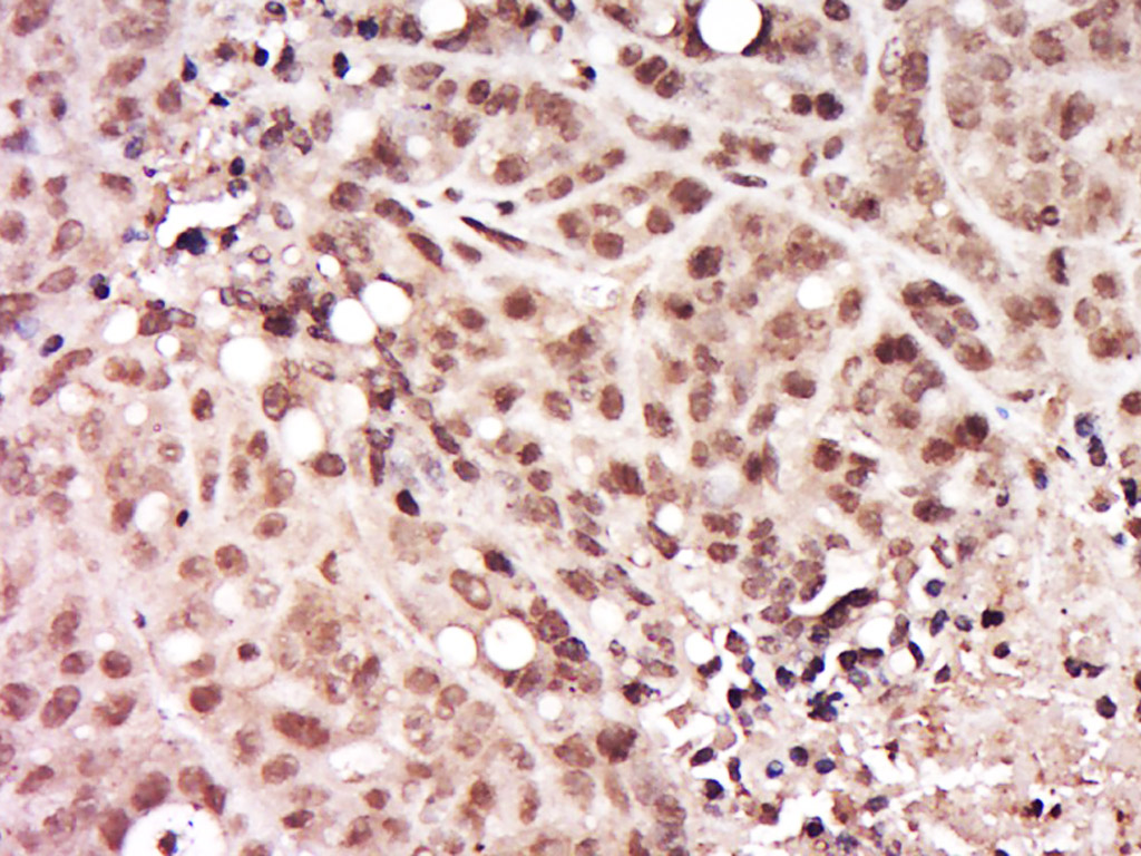
Antigen retrieval: citrate buffer ( 0.01M, pH 6.0 ), Boiling bathing for 15min; Block endogenous peroxidase by 3% Hydrogen peroxide for 30min; Blocking buffer (normal goat serum,C-0005) at 37℃ for 20 min;
Incubation: Anti-CCDC68 Polyclonal Antibody, Unconjugated(bs-8086R) 1:500, overnight at 4°C, followed by conjugation to the secondary antibody(SP-0023) and DAB(C-0010) staining

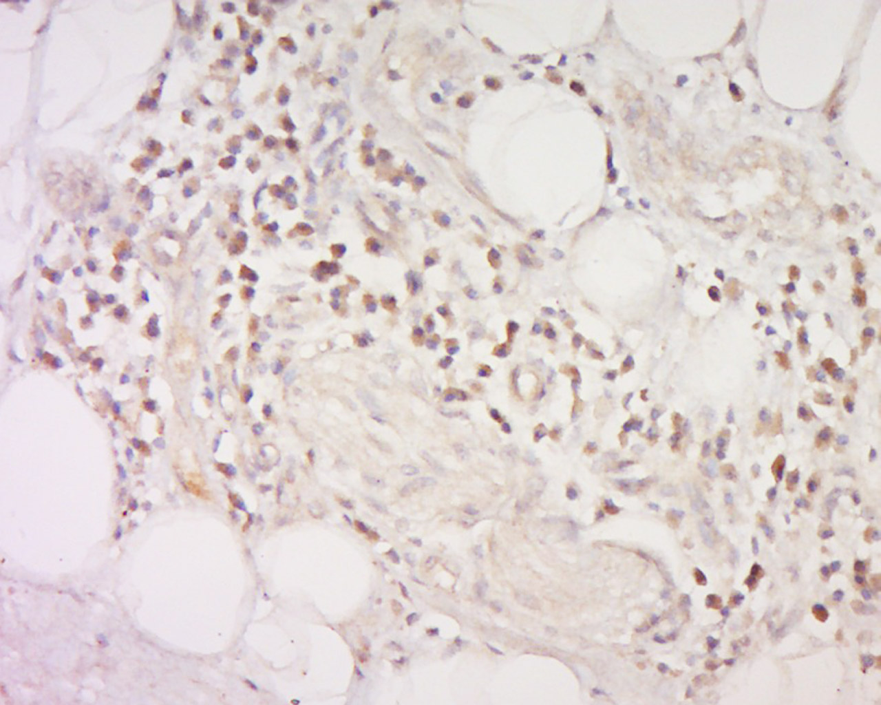
Antigen retrieval: citrate buffer ( 0.01M, pH 6.0 ), Boiling bathing for 15min; Block endogenous peroxidase by 3% Hydrogen peroxide for 30min; Blocking buffer (normal goat serum,C-0005) at 37℃ for 20 min;
Incubation: Anti-CCDC68 Polyclonal Antibody, Unconjugated(bs-8086R) 1:500, overnight at 4°C, followed by conjugation to the secondary antibody(SP-0023) and DAB(C-0010) staining

Primary: Anti-CCDC68 (bs-8086R) at 1/300 dilution
Secondary: IRDye800CW Goat Anti-Rabbit IgG at 1/20000 dilution
Predicted band size: 39 kD
Observed band size: 39 kD
风险提示:丁香通仅作为第三方平台,为商家信息发布提供平台空间。用户咨询产品时请注意保护个人信息及财产安全,合理判断,谨慎选购商品,商家和用户对交易行为负责。对于医疗器械类产品,请先查证核实企业经营资质和医疗器械产品注册证情况。
文献和实验= NAL), appears to form upon oxidative cyclization of the nonfluorescent 2:1 lysine-HNE Michael adduct-Schiff base cross-link (Scheme 1). Polyclonal antibody (PAb) to the NAL-HNE fluorophore was raised in rabbit and found to be highly specific
GE Healthcare Benzamidine Sepharose™ 6B is p-aminobenzamidine covalently attached to Sepharose 6B by the epoxy coupling method. p-Aminobenzamidine (PAB), is a synthetic inhibitor of trypsin-like serine protease. Trypsin and trypsin
Nucleic Acid Programmable Protein Arrays: Versatile Tools for Array‐Based Functional Protein Studies
.g., Sigma) 50 mg/ml bis‐sulfosuccinimdylsuberate (BS3 ;Pierce, cat. no. PI 21580) in dimethylsulfoxide (DMSO) 5 mg/ml
技术资料暂无技术资料 索取技术资料








