相关产品推荐更多 >

phospho-IRS1 (Tyr632) Rabbit pAb, APC-Cy5.5 conjugated(bs-8707R-APC-Cy5.5)-100ul
¥2980
SNRK Rabbit pAb(bs-12656R)-50ul/100ul/200ul
¥1180
ZNF763 Rabbit pAb(bs-16490R)-50ul/100ul/200ul
¥1180
phospho-MAP3K7IP1 (Thr431) Rabbit pAb(bs-5496R)-50ul/100ul/200ul
¥1180
RASGRF1 Rabbit pAb(bs-3560R)-50ul/100ul/200ul
¥1180
万千商家帮你免费找货
0 人在求购买到急需产品
- 详细信息
- 文献和实验
- 技术资料
- 应用范围:
产品信息以Bioss网站为准
- 规格:
50ul/100ul/200ul
| 规格: | 50ul | 产品价格: | ¥1180.0 |
|---|---|---|---|
| 规格: | 100ul | 产品价格: | ¥1980.0 |
| 规格: | 200ul | 产品价格: | ¥2800.0 |
| 产品编号 | bs-7883R |
| 英文名称 | VHL Rabbit pAb |
| 中文名称 | VHL抗体 |
| 英文别名 | VHL_HUMAN; von Hippel-Lindau disease tumor suppressor; Protein G7; pVHL; RCA1; VHL1; HRCA1; |
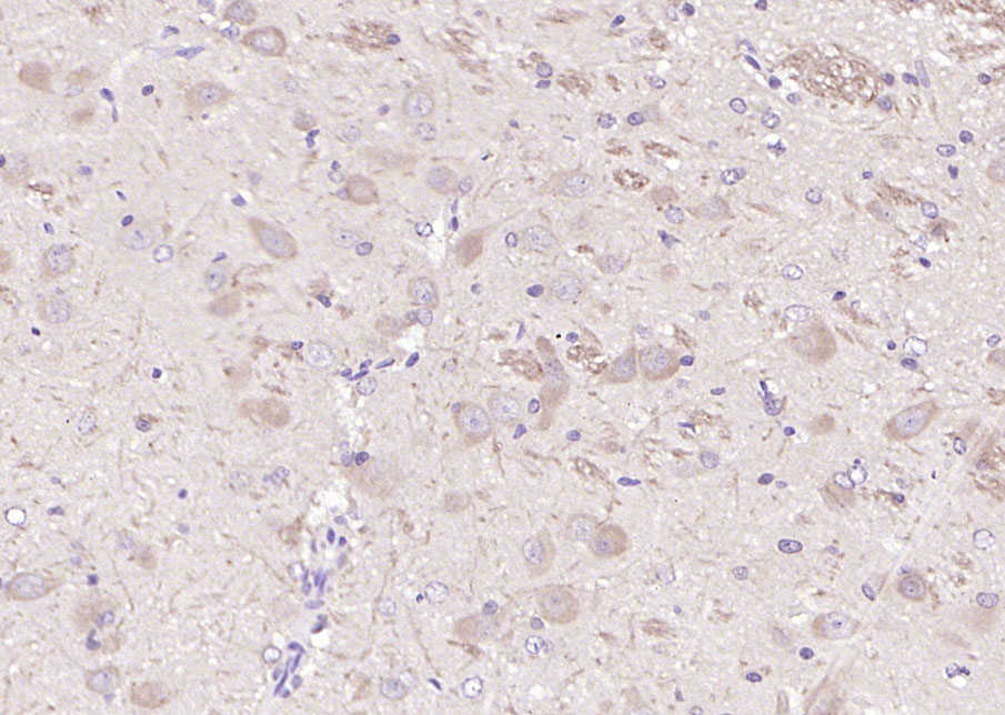
| 产品应用 | WB=1:500-2000, IHC-P=1:100-500, IHC-F=1:100-500, IF=1:100-500 Not yet tested in other applications. |
| 交叉反应 | Mouse, Rat (Human, Dog, Pig, Cow, Rabbit, Sheep, Orangutan) |
| 抗体来源 | Rabbit |
| 免疫原 | KLH conjugated synthetic peptide derived from human VHL |
| 亚型 | IgG |
| 性状 | Liquid |
| 纯化方法 | affinity purified by Protein A |
| 克隆类型 | Polyclonal |
| 理论分子量 | 24 kDa |
| 浓度 | 1mg/ml |
| 储存液 | 0.01M TBS (pH7.4) with 1% BSA, 0.02% Proclin300 and 50% Glycerol. |
| 研究领域 | Cancer > Cancer Metabolism > Response to hypoxia Cancer > Cell cycle > Cell differentiation Cancer > Oncoproteins/suppressors > Tumor suppressors Cell Biology > Cell Cycle > Cell Cycle Inhibitors Cell Biology > Cell Cycle > Cell differentiation Cell Biology > Proteolysis / Ubiquitin > Proteasome / Ubiquitin > Proteasome Cell Biology > Proteolysis / Ubiquitin > Proteasome / Ubiquitin > Ubiquitin Epigenetics and Nuclear Signaling > Transcription > Co-factors Epigenetics and Nuclear Signaling > Transcription > Polymerase associated factors > Pol II Transcription Metabolism > Pathways and Processes > Cofactors, Vitamins / minerals > Co-factors Metabolism > Pathways and Processes > Metabolism processes > Hypoxia |
| 亚基 | Component of the VCB (VHL-Elongin BC-CUL2) complex; this complex acts as a ubiquitin-ligase E3 and directs proteasome-dependent degradation of targeted proteins. Interacts with CUL2; this interaction is dependent on the integrity of the trimeric VBC complex. Interacts (via the beta domain) with HIF1A (via the NTAD domain); this interaction mediates degradation of HIF1A in normoxia and, in hypoxia, prevents ubiqitination and degradation of HIF1A by mediating hypoxia-induced translocation to the nucleus, a process which requires a hypoxia-dependent regulatory signal. Interacts with ADRB2; the interaction, in normoxia, is dependent on hydroxylation of ADRB2 and the subsequent VCB-mediated ubiquitination and degradation of ADRB2. Under hypoxia, hydroxylation, interaction with VHL, ubiquitination and subsequent degradation of ADRB2 are dramatically decreased. Interacts with RNF139, USP33 and PHF17. Found in a complex composed of LIMD1, VHL, EGLN1/PHD2, TCEB2 AND CUL2. Isoform 1 and isoform 3 interact with LIMD1 (via LIM zinc-binding 2), AJUBA (via LIM domains) and WTIP (via LIM domains). Interacts with EPAS1 |
| 亚细胞定位 | Isoform 1: Cytoplasm. Membrane; Peripheral membrane protein. Nucleus. Note=Found predominantly in the cytoplasm and with less amounts nuclear or membrane-associated. Colocalizes with ADRB2 at the cell membrane.
Isoform 3: Cytoplasm. Nucleus. Note=Equally distributed between the nucleus and the cytoplasm but not membrane-associated. |
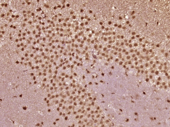
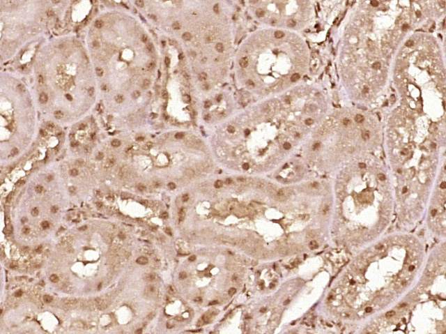
| 组织特异性 | Expressed in the adult and fetal brain and kidney |
| 功能 | Involved in the ubiquitination and subsequent proteasomal degradation via the von Hippel-Lindau ubiquitination complex. Seems to act as target recruitment subunit in the E3 ubiquitin ligase complex and recruits hydroxylated hypoxia-inducible factor (HIF) under normoxic conditions. Involved in transcriptional repression through interaction with HIF1A, HIF1AN and histone deacetylases. Ubiquitinates, in an oxygen-responsive manner, ADRB2. |
| 保存条件 | Shipped at 4℃. Store at -20℃ for one year. Avoid repeated freeze/thaw cycles. |
| 注意事项 | This product as supplied is intended for research use only, not for use in human, therapeutic or diagnostic applications. |
| 背景资料 | This gene encodes a component of a ubiquitination complex. The encoded protein is involved in the ubiquitination and degradation of hypoxia-inducible-factor (HIF), which is a transcription factor that plays a central role in the regulation of gene expression by oxygen. In addition to oxygen-related gene expression, this protein plays a role in many other cellular processes including cilia formation, cytokine signaling, regulation of senescence, and formation of the extracellular matrix. Variants of this gene are associated with von Hippel-Lindau syndrome, pheochromocytoma, erythrocytosis, renal cell carcinoma, and cerebellar hemangioblastoma. [provided by RefSeq, Jun 2022] |
| 应用 | 推荐稀释比例 |
| {WB} | {1:500-2000} |
| {IHC-P} | {1:100-500} |
| {IHC-F} | {1:100-500} |
| {IF} | {1:100-500} |






Lane 1: Mouse Kidney tissue lysates
Lane 2: Rat Kidney tissue lysates
Primary: Anti-VHL (bs-7883R) at 1/1000 dilution
Secondary: IRDye800CW Goat Anti-Rabbit IgG at 1/20000 dilution
Predicted band size: 24 kDa
Observed band size: 30 kDa
风险提示:丁香通仅作为第三方平台,为商家信息发布提供平台空间。用户咨询产品时请注意保护个人信息及财产安全,合理判断,谨慎选购商品,商家和用户对交易行为负责。对于医疗器械类产品,请先查证核实企业经营资质和医疗器械产品注册证情况。
文献和实验= NAL), appears to form upon oxidative cyclization of the nonfluorescent 2:1 lysine-HNE Michael adduct-Schiff base cross-link (Scheme 1). Polyclonal antibody (PAb) to the NAL-HNE fluorophore was raised in rabbit and found to be highly specific
GE Healthcare Benzamidine Sepharose™ 6B is p-aminobenzamidine covalently attached to Sepharose 6B by the epoxy coupling method. p-Aminobenzamidine (PAB), is a synthetic inhibitor of trypsin-like serine protease. Trypsin and trypsin
Studies of the Ubiquitin Proteasome System
Assays of E1 and E2 Activity Basic Protocol 1: Thiolester Formation Between Rabbit E1 and Ubiquitin Basic Protocol 2: Thiolester Formation Between E2 and Ubiquitin Binding of Ubiquitin‐Proteasome Proteins Basic Protocol 3: Binding of E2s to E3s Alternate
技术资料暂无技术资料 索取技术资料






