相关产品推荐更多 >

Glycophorin A Rabbit pAb, FITC conjugated(bs-20580R-FITC)-100ul
¥2980
ERBB2/HER2 Rabbit pAb, PE-Cy5.5 conjugated(bs-0125R-PE-Cy5.5)-100ul
¥2980
PAN3 Rabbit pAb(bs-21013R)-50ul/100ul/200ul
¥1180
Glucose 6 phosphatase 2 Rabbit pAb, AP conjugated(bs-22837R-AP)-100ul
¥2980
HPV16 E7 Rabbit pAb, PE-Cy5 conjugated(bs-0992R-PE-Cy5)-100ul
¥2980
万千商家帮你免费找货
0 人在求购买到急需产品
- 详细信息
- 文献和实验
- 技术资料
- 应用范围:
产品信息以Bioss网站为准
- 规格:
50ul/100ul/200ul
| 规格: | 50ul | 产品价格: | ¥1180.0 |
|---|---|---|---|
| 规格: | 100ul | 产品价格: | ¥1980.0 |
| 规格: | 200ul | 产品价格: | ¥2800.0 |
| 产品编号 | bs-7824R |
| 英文名称 | PSF2 Rabbit pAb |
| 中文名称 | PSF2蛋白抗体 |
| 英文别名 | GINS complex subunit 2; GINS2; HSPC037; PSF2_HUMAN. |
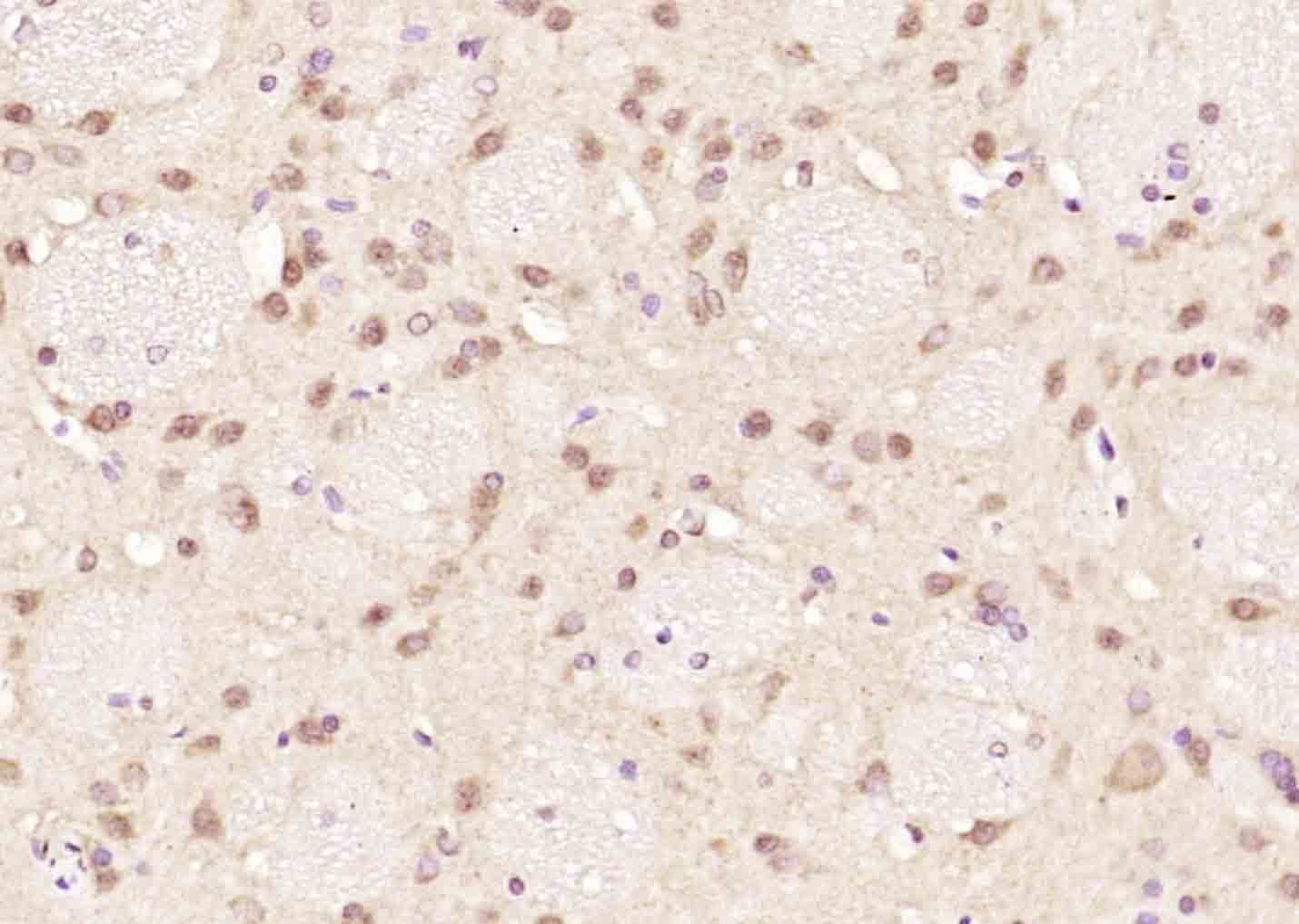
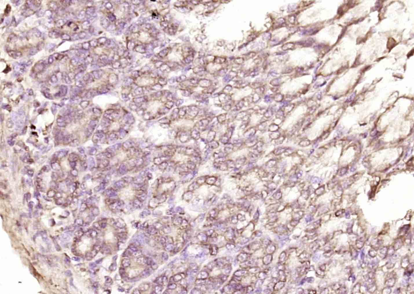
| 产品应用 | IHC-P=1:100-500, IHC-F=1:100-500, IF=1:100-500 Not yet tested in other applications. |
| 交叉反应 | Rat (Human, Mouse, Dog, Pig) |
| 抗体来源 | Rabbit |
| 免疫原 | KLH conjugated synthetic peptide derived from human PSF2 |
| 亚型 | IgG |
| 性状 | Liquid |
| 纯化方法 | affinity purified by Protein A |
| 克隆类型 | Polyclonal |
| 理论分子量 | 21 kDa |
| 浓度 | 1mg/ml |
| 储存液 | 0.01M TBS (pH7.4) with 1% BSA, 0.02% Proclin300 and 50% Glycerol. |
| 研究领域 | Cell Biology > Cell Cycle > Cell Division > Other cell division antibodies |
| 亚基 | Component of the GINS complex which is a heterotetramerof GINS1, GINS2, GINS3 and GINS4. Forms a stable subcomplex withGINS3. GINS complex interacts with DNA primase in vitro. |
| 亚细胞定位 | Nucleus. |
| 翻译后修饰 | Phosphorylated upon DNA damage, probably by ATM or ATR. |
| 相似性 | Belongs to the GINS2/PSF2 family. |
| 功能 | The GINS complex plays an essential role in theinitiation of DNA replication, and progression of DNA replicationforks. GINS complex seems to bind preferentially to single-strandedDNA. |
| 保存条件 | Shipped at 4℃. Store at -20℃ for one year. Avoid repeated freeze/thaw cycles. |
| 注意事项 | This product as supplied is intended for research use only, not for use in human, therapeutic or diagnostic applications. |
| 背景资料 | The GINS complex is composed of four subunits, encoded by SLD5, PSF1, PSF2, and PSF3. In S. cerevisiae, it was first identified by genetic and biochemical methods to determine factors interacting with Sld5p. Genetic interactions between these four genes also suggest that they act together. The GINS complex was independently isolated in a large scale screen for cell cycle defects. A similar complex is found in Xenopus and has a ring-like structure. In yeast, all four genes are essential and cells defective in SLD5, PSF1, or PSF2 are impaired in their ability to replicate DNA. The complex localizes to origins of DNA replication and Sld5p was previously implicated as functioning in DNA replication due to its genetic interaction with DPB11. Additional genetic and biochemical interactions of the GINS complex with Dpb11p, Dpb2p, and Sld3p suggest that it functions in some way at the replication fork during DNA synthesis. |
| 应用 | 推荐稀释比例 |
| {IHC-P} | {1:100-500} |
| {IHC-F} | {1:100-500} |
| {IF} | {1:100-500} |


风险提示:丁香通仅作为第三方平台,为商家信息发布提供平台空间。用户咨询产品时请注意保护个人信息及财产安全,合理判断,谨慎选购商品,商家和用户对交易行为负责。对于医疗器械类产品,请先查证核实企业经营资质和医疗器械产品注册证情况。
文献和实验= NAL), appears to form upon oxidative cyclization of the nonfluorescent 2:1 lysine-HNE Michael adduct-Schiff base cross-link (Scheme 1). Polyclonal antibody (PAb) to the NAL-HNE fluorophore was raised in rabbit and found to be highly specific
ELISPOT (Enzyme-linked ImmunoSPOT)
Mouse Cytokine ELISPOT Set Catalog No. Capture mAb Detection mAb IFN-γ 88-7384 AN-18 R4-6A2 IL-1α 88-7813 ALF-161 Rabbit
GE Healthcare Benzamidine Sepharose™ 6B is p-aminobenzamidine covalently attached to Sepharose 6B by the epoxy coupling method. p-Aminobenzamidine (PAB), is a synthetic inhibitor of trypsin-like serine protease. Trypsin and trypsin
技术资料暂无技术资料 索取技术资料






