Sample:
Jurkat(Human) Cell Lysate at 30 ug
Primary: Anti- SMC2 (bs-7727R) at 1/1000 dilution
Secondary: IRDye800CW Goat Anti-Rabbit IgG at 1/20000 dilution
Predicted band size: 136 kD
Observed band size: 136 kD
相关产品推荐更多 >

VEGFR3 Rabbit pAb, BF405 conjugated(bs-2202R-BF405)-100ul
¥2980
TMEM158 Rabbit pAb, PE-Cy5 conjugated(bs-11770R-PE-Cy5)-100ul
¥2980
phospho-Smad2 (Ser467) Rabbit pAb, FITC conjugated(bs-19438R-FITC)-100ul
¥2980
PTH2R Rabbit pAb, Biotin conjugated(bs-24129R-Bio)-100ul
¥2980
NARG2 Rabbit pAb(bs-5968R)-50ul/100ul/200ul
¥1180
万千商家帮你免费找货
0 人在求购买到急需产品
- 详细信息
- 技术资料
- 应用范围:
产品信息以Bioss网站为准
- 规格:
50ul/100ul/200ul
| 规格: | 50ul | 产品价格: | ¥1180.0 |
|---|---|---|---|
| 规格: | 100ul | 产品价格: | ¥1980.0 |
| 规格: | 200ul | 产品价格: | ¥2800.0 |
| 产品编号 | bs-7727R |
| 英文名称 | SMC2 Rabbit pAb |
| 中文名称 | 染色体结构维持蛋白2抗体 |
| 英文别名 | CAP E; CAPE; Chromosome associated protein E; Chromosome-associated protein E; FLJ10093; hCAP E; hCAP-E; hCAPE; PRO0324; SMC 2; SMC protein 2; SMC-2; SMC2; SMC2 L1; SMC2_HUMAN; SMC2L1; Structural maintenance of chromosomes(SMC) family member chromosome associated protein E; Structural maintenance of chromosomes 2; Structural maintenance of chromosomes 2 like 1; Structural maintenance of chromosomes 2 yeast like 1; Structural maintenance of chromosomes protein 2; XCAP E homolog; XCAP-E homolog; XCAPE homolog. |
| 产品应用 | WB=1:500-2000, IHC-P=1:100-500, IHC-F=1:100-500, IF=1:100-500 Not yet tested in other applications. |
| 交叉反应 | Human, Mouse, Rat (Horse) |
| 抗体来源 | Rabbit |
| 免疫原 | KLH conjugated synthetic peptide derived from human SMC2 |
| 亚型 | IgG |
| 性状 | Liquid |
| 纯化方法 | affinity purified by Protein A |
| 克隆类型 | Polyclonal |
| 理论分子量 | 136 kDa |
| 浓度 | 1mg/ml |
| 储存液 | 0.01M TBS (pH7.4) with 1% BSA, 0.02% Proclin300 and 50% Glycerol. |
| 研究领域 | Cell Biology > Cell Cycle > Cell Division > Chromatid Cohesion Epigenetics and Nuclear Signaling > Cell cycle > Chromosome Structure > Chromatid Cohesion Epigenetics and Nuclear Signaling > Chromosome Structure > Cohesins |
| 亚基 | Forms a heterodimer with SMC4. Component of the condensin complex, which contains the SMC2 and SMC4 heterodimer, and three non SMC subunits that probably regulate the complex: BRRN1/CAPH, CNAP1/CAPD2 and CAPG. |
| 亚细胞定位 | Nucleus. Cytoplasm. Chromosome. Note=In interphase cells, the majority of the condensin complex is found in the cytoplasm, while a minority of the complex is associated with chromatin. A subpopulation of the complex however remains associated with chromosome foci in interphase cells. During mitosis, most of the condensin complex is associated with the chromatin. At the onset of prophase, the regulatory subunits of the complex are phosphorylated by CDC2, leading to condensin's association with chromosome arms and to chromosome condensation. Dissociation from chromosomes is observed in late telophase. |
| 相似性 | Belongs to the SMC family. SMC2 subfamily. |
| 功能 | Central component of the condensin complex, a complex required for conversion of interphase chromatin into mitotic-like condense chromosomes. The condensin complex probably introduces positive supercoils into relaxed DNA in the presence of type I topoisomerases and converts nicked DNA into positive knotted forms in the presence of type II topoisomerases. |
| 保存条件 | Shipped at 4℃. Store at -20℃ for one year. Avoid repeated freeze/thaw cycles. |
| 注意事项 | This product as supplied is intended for research use only, not for use in human, therapeutic or diagnostic applications. |
| 背景资料 | Central component of the condensin complex, a complex required for conversion of interphase chromatin into mitotic-like condense chromosomes. The condensin complex probably introduces positive supercoils into relaxed DNA in the presence of type I topoisomerases and converts nicked DNA into positive knotted forms in the presence of type II topoisomerases. |
| 应用 | 推荐稀释比例 |
| {WB} | {1:500-2000} |
| {IHC-P} | {1:100-500} |
| {IHC-F} | {1:100-500} |
| {IF} | {1:100-500} |


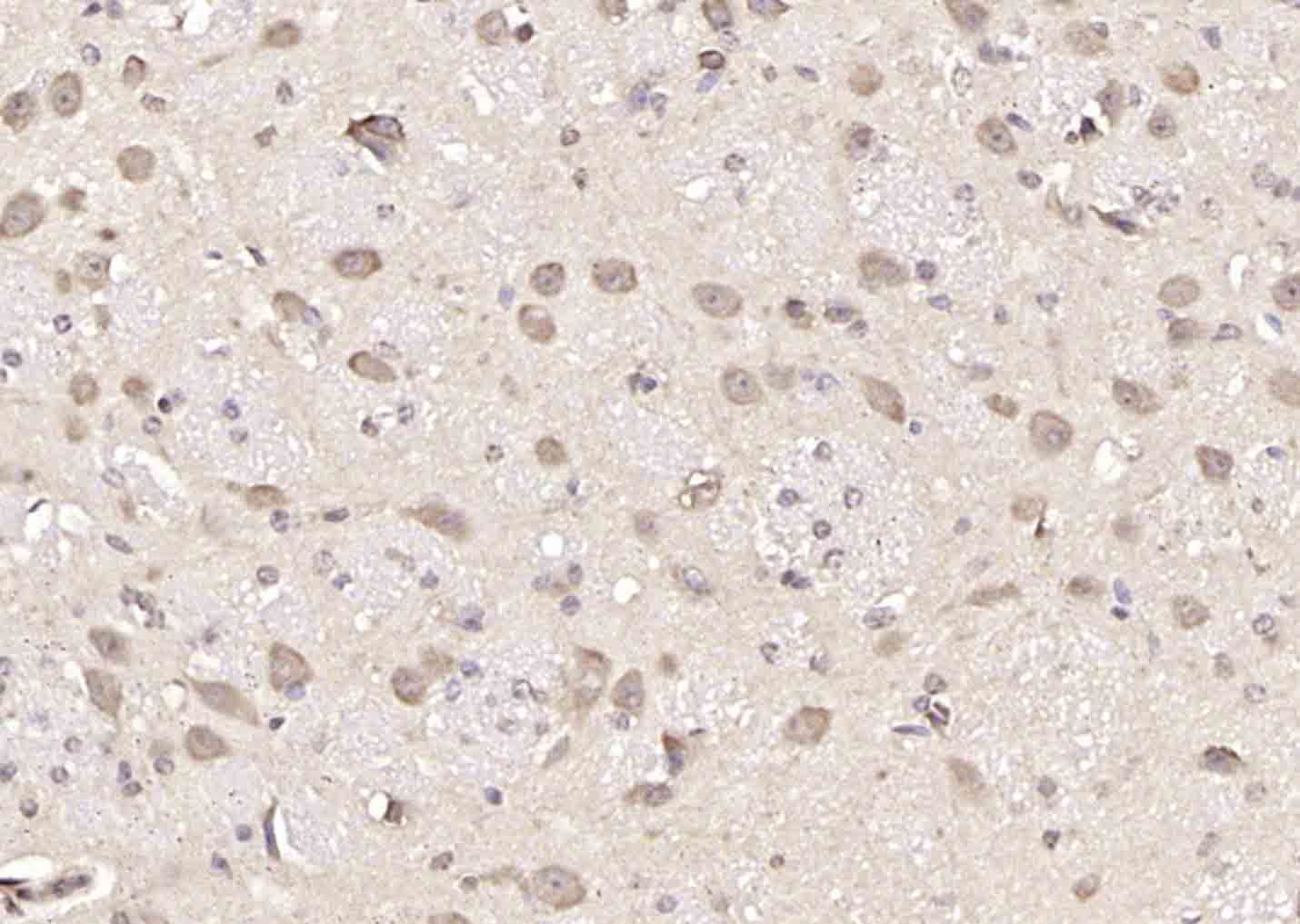
Paraformaldehyde-fixed, paraffin embedded (mouse brain); Antigen retrieval by boiling in sodium citrate buffer (pH6.0) for 15min; Block endogenous peroxidase by 3% hydrogen peroxide for 20 minutes; Blocking buffer (normal goat serum) at 37°C for 30min; Antibody incubation with (GDNF) Polyclonal Antibody, Unconjugated (bs-1024R) at 1:200 overnight at 4°C, followed by operating according to SP Kit(Rabbit) (sp-0023) instructionsand DAB staining.

Paraformaldehyde-fixed, paraffin embedded (rat brain); Antigen retrieval by boiling in sodium citrate buffer (pH6.0) for 15min; Block endogenous peroxidase by 3% hydrogen peroxide for 20 minutes; Blocking buffer (normal goat serum) at 37°C for 30min; Antibody incubation with (GDNF) Polyclonal Antibody, Unconjugated (bs-1024R) at 1:200 overnight at 4°C, followed by operating according to SP Kit(Rabbit) (sp-0023) instructionsand DAB staining.

Sample:
MOLT-4(Human) Cell Lysate at 30 ug
Siha(Human) Cell Lysate at 30 ug
Primary: Anti-SMC2 (bs-7727R) at 1/1000 dilution
Secondary: IRDye800CW Goat Anti-Rabbit IgG at 1/20000 dilution
Predicted band size: 136 kD
Observed band size: 136 kD
MOLT-4(Human) Cell Lysate at 30 ug
Siha(Human) Cell Lysate at 30 ug
Primary: Anti-SMC2 (bs-7727R) at 1/1000 dilution
Secondary: IRDye800CW Goat Anti-Rabbit IgG at 1/20000 dilution
Predicted band size: 136 kD
Observed band size: 136 kD
风险提示:丁香通仅作为第三方平台,为商家信息发布提供平台空间。用户咨询产品时请注意保护个人信息及财产安全,合理判断,谨慎选购商品,商家和用户对交易行为负责。对于医疗器械类产品,请先查证核实企业经营资质和医疗器械产品注册证情况。
技术资料暂无技术资料 索取技术资料
SMC2 Rabbit pAb(bs-7727R)-50ul/100ul/200ul
¥1180 - 2800





