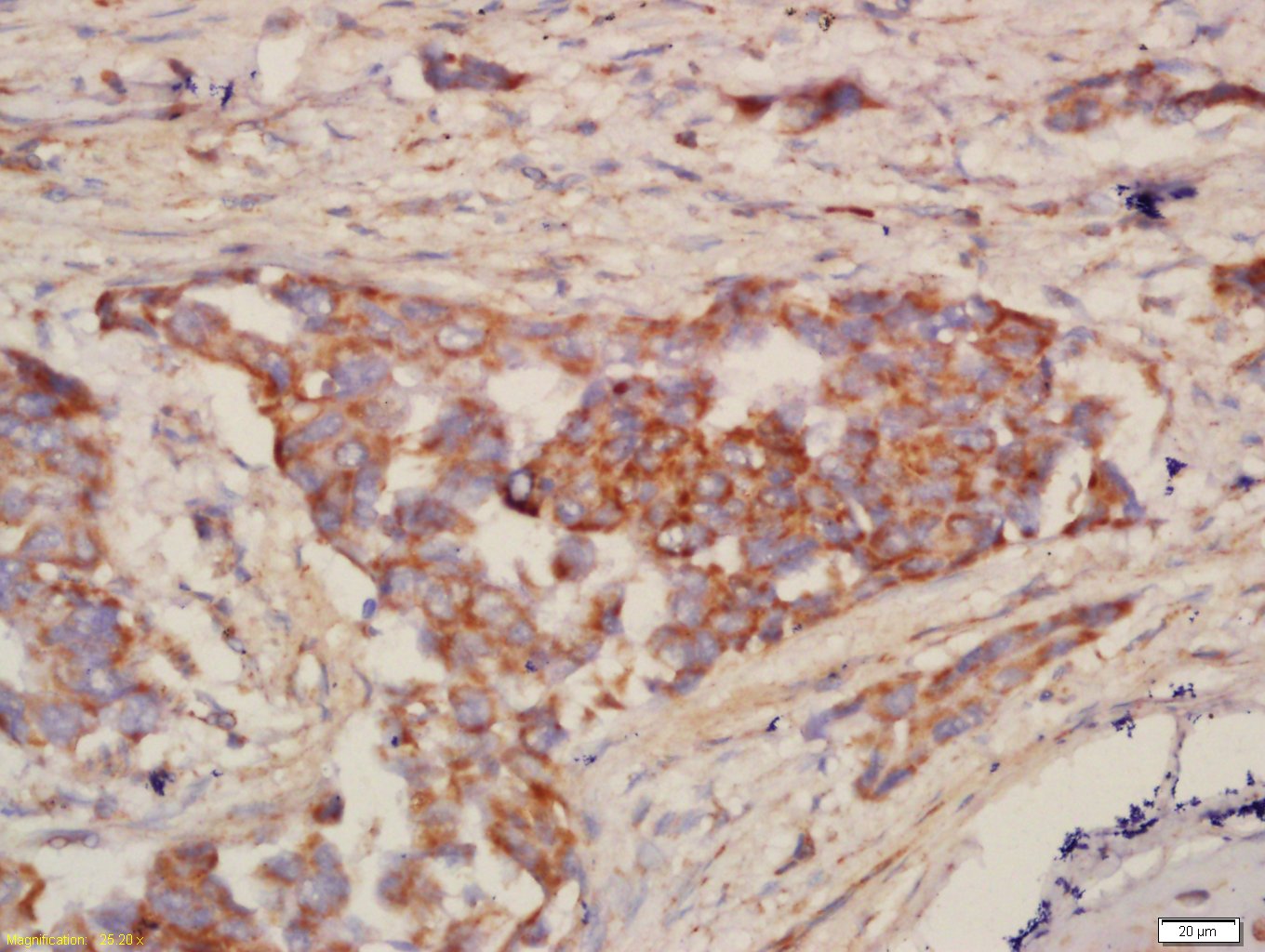
Tissue/cell: Human lung cancer issue; 4% Paraformaldehyde-fixed and paraffin-embedded;
Antigen retrieval: citrate buffer ( 0.01M, pH 6.0 ), Boiling bathing for 15min; Block endogenous peroxidase by 3% Hydrogen peroxide for 30min; Blocking buffer (normal goat serum,C-0005) at 37℃ for 20 min;
Incubation: Anti-NALP12 Polyclonal Antibody, Unconjugated(bs-6864R) 1:200, overnight at 4°C, followed by conjugation to the secondary antibody(SP-0023) and DAB(C-0010) staining
相关产品推荐更多 >
万千商家帮你免费找货
0 人在求购买到急需产品
- 详细信息
- 文献和实验
- 技术资料
- 应用范围:
产品信息以Bioss网站为准
- 规格:
50ul/100ul/200ul
| 规格: | 50ul | 产品价格: | ¥1180.0 |
|---|---|---|---|
| 规格: | 100ul | 产品价格: | ¥1980.0 |
| 规格: | 200ul | 产品价格: | ¥2800.0 |
| 产品编号 | bs-6864R |
| 英文名称 | NALP12 Rabbit pAb |
| 中文名称 | NALP12抗体 |
| 英文别名 | CLR19.3; FCAS2; Monarch 1; Monarch-1; NACHT, leucine rich repeat and PYD containing 12; NACHT, LRR and PYD containing protein 12; NACHT, LRR and PYD domains-containing protein 12; NAL12_HUMAN; NLR family, pyrin domain containing 12; NLRP12; Nucleotide-binding oligomerization domain, leucine rich repeat and pyrin domain containing 12; PAN6; PYPAF7; PYRIN containing APAF1 like protein 7; PYRIN-containing APAF1-like protein 7; Regulated by nitric oxide; RNO; RNO2. |
| 产品应用 | IHC-P=1:100-500, IHC-F=1:100-500, IF=1:100-500 Not yet tested in other applications. |
| 交叉反应 | Human, Rat (Mouse, Dog, Pig, Cow, Horse, Rabbit, Sheep) |
| 抗体来源 | Rabbit |
| 免疫原 | KLH conjugated synthetic peptide derived from human NALP12 |
| 亚型 | IgG |
| 性状 | Liquid |
| 纯化方法 | affinity purified by Protein A |
| 克隆类型 | Polyclonal |
| 理论分子量 | 117 kDa |
| 浓度 | 1mg/ml |
| 储存液 | 0.01M TBS (pH7.4) with 1% BSA, 0.02% Proclin300 and 50% Glycerol. |
| 亚基 | Binds to ASC with its DAPIN domain. Interacts with FAF1 UBA domain via its DAPIN domain. |
| 亚细胞定位 | Cytoplasm. |
| 组织特异性 | Detected only in peripheral blood leukocytes, predominantly in eosinophils and granulocytes, and at lower levels in monocytes. |
| 相似性 | Belongs to the NLRP family.
Contains 1 DAPIN domain. Contains 8 LRR (leucine-rich) repeats. Contains 1 NACHT domain. |
| 功能 | May mediate activation of CASP1 via ASC and promote activation of NF-kappa-B via IKK. |
| 保存条件 | Shipped at 4℃. Store at -20℃ for one year. Avoid repeated freeze/thaw cycles. |
| 注意事项 | This product as supplied is intended for research use only, not for use in human, therapeutic or diagnostic applications. |
| 背景资料 | May mediate activation of CASP1 via ASC and promote activation of NF-kappa-B via IKK.NALP proteins are cytoplasmic proteins that form a subfamily within the larger CATERPILLER family and are thought to play a crucial role in cell proliferation and reproduction. Like all other NALP family members, NALP12, also known as Monarch-1, has a C-terminal leucine-rich repeat (LRR) region, an N-terminal Pyrin domain (PYD) followed by a NACHT domain, and a NACHT-associated domain. NALP12 is thought to act as an attenuating factor of inflammation by suppressing inflammatory responses such as NF-kB activation by TLR-signaling molecules MyD88, IRAK-1, TRAF6 and RIPK1 in activated monocytes. Recent evidence suggests that mutations in NALP12 result in hereditary periodic fever syndromes. |
| 应用 | 推荐稀释比例 |
| {IHC-P} | {1:100-500} |
| {IHC-F} | {1:100-500} |
| {IF} | {1:100-500} |


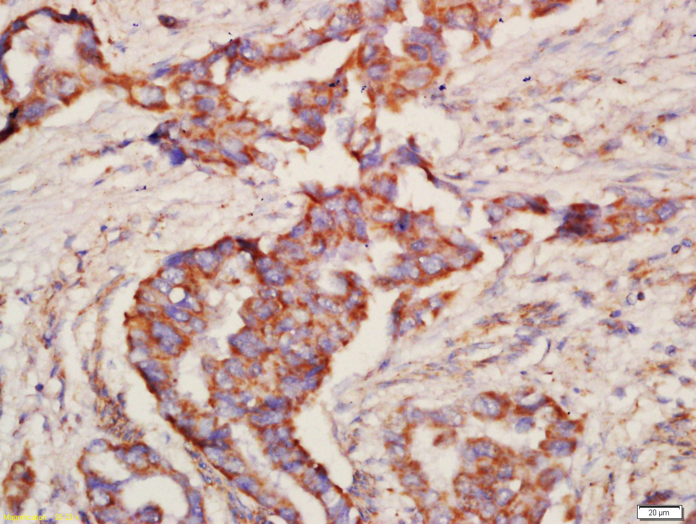
Tissue/cell: human lung carcinoma; 4% Paraformaldehyde-fixed and paraffin-embedded;
Antigen retrieval: citrate buffer ( 0.01M, pH 6.0 ), Boiling bathing for 15min; Block endogenous peroxidase by 3% Hydrogen peroxide for 30min; Blocking buffer (normal goat serum,C-0005) at 37℃ for 20 min;
Incubation: Anti-NALP12 Polyclonal Antibody, Unconjugated(bs-6864R) 1:200, overnight at 4°C, followed by conjugation to the secondary antibody(SP-0023) and DAB(C-0010) staining
Antigen retrieval: citrate buffer ( 0.01M, pH 6.0 ), Boiling bathing for 15min; Block endogenous peroxidase by 3% Hydrogen peroxide for 30min; Blocking buffer (normal goat serum,C-0005) at 37℃ for 20 min;
Incubation: Anti-NALP12 Polyclonal Antibody, Unconjugated(bs-6864R) 1:200, overnight at 4°C, followed by conjugation to the secondary antibody(SP-0023) and DAB(C-0010) staining

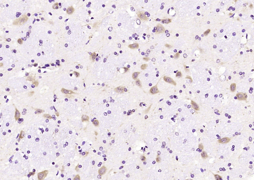
Paraformaldehyde-fixed, paraffin embedded (rat brain); Antigen retrieval by boiling in sodium citrate buffer (pH6.0) for 15min; Block endogenous peroxidase by 3% hydrogen peroxide for 20 minutes; Blocking buffer (normal goat serum) at 37°C for 30min; Antibody incubation with (NALP12) Polyclonal Antibody, Unconjugated (bs-6864R) at 1:200 overnight at 4°C, followed by operating according to SP Kit(Rabbit) (sp-0023) instructionsand DAB staining.
风险提示:丁香通仅作为第三方平台,为商家信息发布提供平台空间。用户咨询产品时请注意保护个人信息及财产安全,合理判断,谨慎选购商品,商家和用户对交易行为负责。对于医疗器械类产品,请先查证核实企业经营资质和医疗器械产品注册证情况。
文献和实验该产品被引用文献
[IF={{ 6.8 }}] {Mengyuan Li. et al. NLRP12 attenuates ozone-induced pulmonary inflammation by regulating canonical NF-κB Pathway. ECOTOX ENVIRON SAFE. 2023 Sep;262:115275} {IHC} {Mouse}
[IF={{ 5.714 }}] {Xue-ni Niu. et al. 7-O-(2- (Propylamino)-2-oxoethyl) hesperetin attenuates inflammation and protects against alcoholic liver injury by NLRP12. INT IMMUNOPHARMACOL. 2022 Sep;110:109006} {IF,WB} {Mouse}
技术资料暂无技术资料 索取技术资料
文献支持
NALP12 Rabbit pAb(bs-6864R)-50ul/100ul/200ul
¥1180 - 2800








