相关产品推荐更多 >

Anti-human MRC2 / CD280 (Quark Patent Anti-Endo180 Biosimilar)(BIO0919SM)-1mg/5mg/20mg
¥3200
FAM64A Rabbit pAb(bs-11005R)-50ul/100ul/200ul
¥1180
phospho-TIRAP (Tyr86) Rabbit pAb, Cy5 conjugated(bs-7562R-Cy5)-100ul
¥2980
phospho-mTOR (Thr2446) Rabbit pAb(bs-5331R)-50ul/100ul/200ul
¥1180
Egr1 Rabbit pAb, PE-Cy5.5 conjugated(bs-1076R-PE-Cy5.5)-100ul
¥2980
万千商家帮你免费找货
0 人在求购买到急需产品
- 详细信息
- 文献和实验
- 技术资料
- 应用范围:
产品信息以Bioss网站为准
- 规格:
50ul/100ul/200ul
| 规格: | 50ul | 产品价格: | ¥1180.0 |
|---|---|---|---|
| 规格: | 100ul | 产品价格: | ¥1980.0 |
| 规格: | 200ul | 产品价格: | ¥2800.0 |
| 产品编号 | bs-6257R |
| 英文名称 | STK38 Rabbit pAb |
| 中文名称 | 丝氨酸/苏氨酸蛋白激酶38抗体 |
| 英文别名 | NDR 1; NDR1; NDR1 protein kinase; Nuclear Dbf2 related kinase 1; Serine/threonine protein kinase 38; STK 38; STK-38; STK38_HUMAN. |
| 产品应用 | WB=1:500-2000, IHC-P=1:100-500, IHC-F=1:100-500, IF=1:100-500 Not yet tested in other applications. |
| 交叉反应 | Human, Mouse (Rat, Chicken, Dog, Pig, Cow, Horse, GuineaPig) |
| 抗体来源 | Rabbit |
| 免疫原 | KLH conjugated synthetic peptide derived from human STK38 |
| 亚型 | IgG |
| 性状 | Liquid |
| 纯化方法 | affinity purified by Protein A |
| 克隆类型 | Polyclonal |
| 理论分子量 | 51 kDa |
| 浓度 | 1mg/ml |
| 储存液 | 0.01M TBS (pH7.4) with 1% BSA, 0.02% Proclin300 and 50% Glycerol. |
| 研究领域 | Cancer > Signal transduction > Protein phosphorylation > Serine/threonine kinases Cancer > Signal transduction > Protein phosphorylation > Serine/threonine kinases > MAPK pathway Signal Transduction > Protein Phosphorylation > Ser / Thr Kinases > MAPK Pathway Signal Transduction > Protein Phosphorylation > Ser / Thr Kinases > Other Kinases |
| 亚基 | Homodimeric S100B binds two molecules of STK38. |
| 亚细胞定位 | Nucleus. Cytoplasm. |
| 组织特异性 | Ubiquitously expressed with highest levels observed in peripheral blood leukocytes. |
| 翻译后修饰 | ISGylated (Probable). Phosphorylated by STK3/MST2 and this is enhanced by MOBKL1B. |
| 相似性 | Belongs to the protein kinase superfamily. AGC Ser/Thr protein kinase family. Contains 1 AGC-kinase C-terminal domain. Contains 1 protein kinase domain. |
| 功能 | Negative regulator of MAP3K1/2 signaling. Converts MAP3K2 from its phosphorylated form to its nonphosphorylated form and inhibits autophosphorylation of MAP3K2. |
| 保存条件 | Shipped at 4℃. Store at -20℃ for one year. Avoid repeated freeze/thaw cycles. |
| 注意事项 | This product as supplied is intended for research use only, not for use in human, therapeutic or diagnostic applications. |
| 背景资料 | STK38 belongs to the NDR family of serine/threonine protein kinases. NDR kinases require the phosphorylation of conserved Ser/Thr residues for activation. NDR family members have two unique stretches of primary sequence: an N-terminal regulatory (NTR) domain and an insert of several residues between subdomains VII and VIII of the kinase domain. The kinase domain insert functions as an auto-inhibitory sequence (AIS), while binding of the co-activator MOB (Mps-one binder) proteins to the NTR domain releases NDR kinases from inhibition of autophosphorylation. STK38 negatively regulates the activation of MEKK1/2 by direct interaction with the catalytic domain of MEKK1/2. The negative regulation of MEKK1/2 is not due to its phosphorylation by STK38. |
| 应用 | 推荐稀释比例 |
| {WB} | {1:500-2000} |
| {IHC-P} | {1:100-500} |
| {IHC-F} | {1:100-500} |
| {IF} | {1:100-500} |

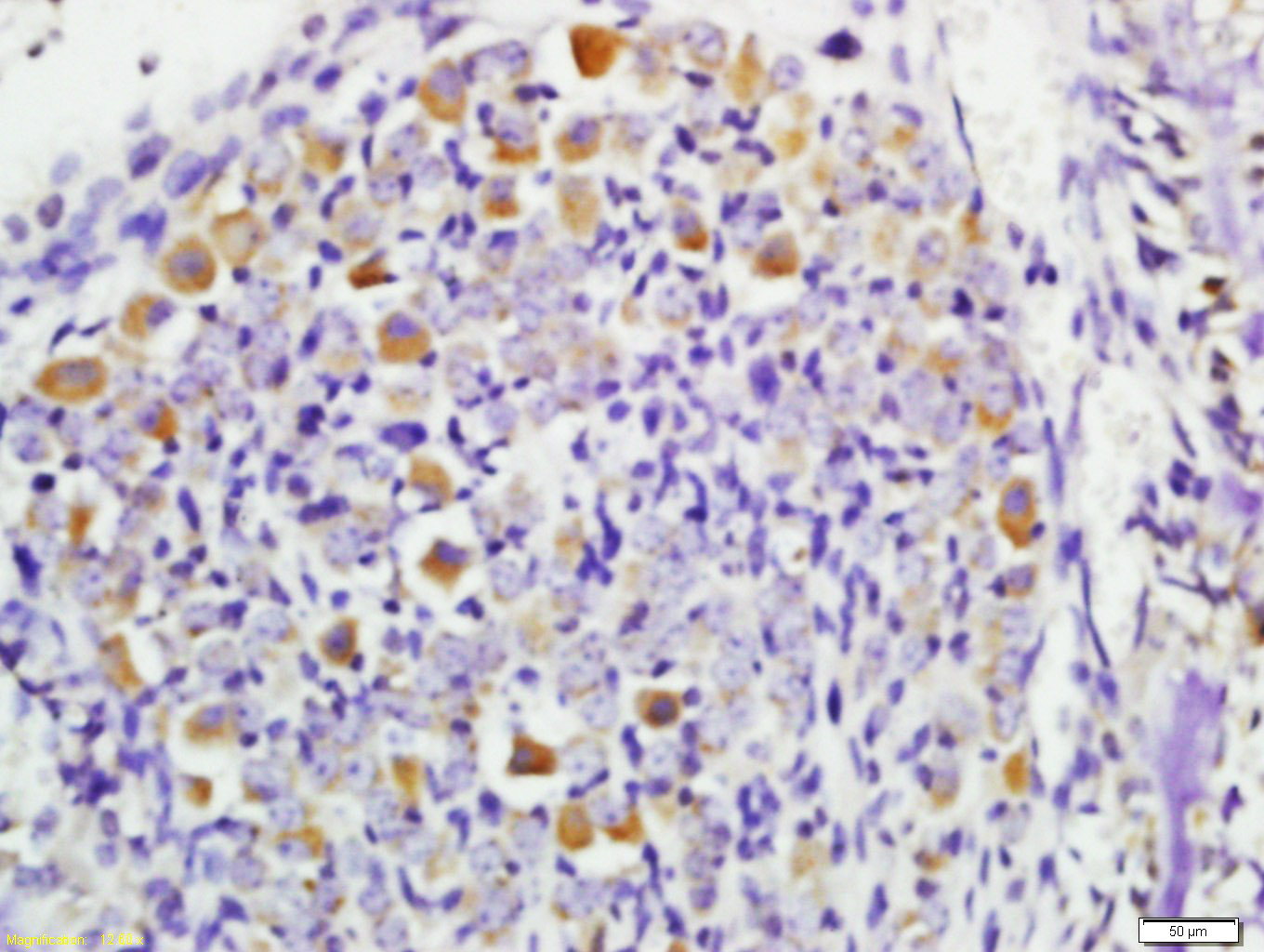
Antigen retrieval: citrate buffer ( 0.01M, pH 6.0 ), Boiling bathing for 15min; Block endogenous peroxidase by 3% Hydrogen peroxide for 30min; Blocking buffer (normal goat serum,C-0005) at 37℃ for 20 min;
Incubation: Anti-STK38 Polyclonal Antibody, Unconjugated(bs-6257R) 1:200, overnight at 4°C, followed by conjugation to the secondary antibody(SP-0023) and DAB(C-0010) staining

Spleen (Mouse) Lysate at 40 ug
Lung (Mouse) Lysate at 40 ug
Thymus (Mouse) Lysate at 40 ug
Testis (Mouse) Lysate at 40 ug
A431(Human) Cell Lysate at 30 ug
Primary: Anti-STK38 (bs-6257R) at 1/1000 dilution
Secondary: IRDye800CW Goat Anti-Rabbit IgG at 1/20000 dilution
Predicted band size: 51 kD
Observed band size: 51 kD
风险提示:丁香通仅作为第三方平台,为商家信息发布提供平台空间。用户咨询产品时请注意保护个人信息及财产安全,合理判断,谨慎选购商品,商家和用户对交易行为负责。对于医疗器械类产品,请先查证核实企业经营资质和医疗器械产品注册证情况。
文献和实验= NAL), appears to form upon oxidative cyclization of the nonfluorescent 2:1 lysine-HNE Michael adduct-Schiff base cross-link (Scheme 1). Polyclonal antibody (PAb) to the NAL-HNE fluorophore was raised in rabbit and found to be highly specific
GE Healthcare Benzamidine Sepharose™ 6B is p-aminobenzamidine covalently attached to Sepharose 6B by the epoxy coupling method. p-Aminobenzamidine (PAB), is a synthetic inhibitor of trypsin-like serine protease. Trypsin and trypsin
Nucleic Acid Programmable Protein Arrays: Versatile Tools for Array‐Based Functional Protein Studies
.g., Sigma) 50 mg/ml bis‐sulfosuccinimdylsuberate (BS3 ;Pierce, cat. no. PI 21580) in dimethylsulfoxide (DMSO) 5 mg/ml
技术资料暂无技术资料 索取技术资料






