相关产品推荐更多 >

phospho-14-3-3 theta (Ser232) Rabbit pAb, BF680 conjugated(bs-13774R-BF680)-100ul
¥2980
p75 NGF Receptor Rabbit pAb, PE conjugated(bs-7122R-PE)-100ul
¥2980
PPP2R2B/PP2A-B55 Rabbit pAb(bs-11749R)-50ul/100ul/200ul
¥1180
phospho-YAP1 (Ser127) Rabbit pAb(bs-3475R)-50ul/100ul/200ul
¥1180
GM-CSFR alpha Rabbit pAb, HRP conjugated(bs-10078R-HRP)-100ul
¥2980
万千商家帮你免费找货
0 人在求购买到急需产品
- 详细信息
- 文献和实验
- 技术资料
- 应用范围:
产品信息以Bioss网站为准
- 规格:
50ul/100ul/200ul
| 规格: | 50ul | 产品价格: | ¥1180.0 |
|---|---|---|---|
| 规格: | 100ul | 产品价格: | ¥1980.0 |
| 规格: | 200ul | 产品价格: | ¥2800.0 |
| 产品编号 | bs-6224R |
| 英文名称 | phospho-BCAR1 (Tyr410) Rabbit pAb |
| 中文名称 | 磷酸化乳腺癌抗雌激素耐药蛋白1抗体 |
| 英文别名 | BCAR1(phospho Y410); BCAR1(phospho Y410); p-BCAR1(p-Tyr410); Breast cancer anti estrogen resistance 1 protein; BCAR 1; Bcar1; BCAR1_HUMAN; Breast cancer anti estrogen resistance 1; Breast cancer anti-estrogen resistance protein 1; CAS; Cas scaffolding protein family member 1; Crk associated substrate; Crk associated substrate p130Cas; CRK-associated substrate; CRKAS; P130CAS. |
| 产品应用 | IHC-P=1:100-500, IHC-F=1:100-500, IF=1:100-500 Not yet tested in other applications. |
| 交叉反应 | Rat (Human, Mouse, Horse) |
| 抗体来源 | Rabbit |
| 免疫原 | KLH conjugated Synthesised phosphopeptide derived from human BCAR1 around the phosphorylation site of Tyr410 |
| 亚型 | IgG |
| 性状 | Liquid |
| 纯化方法 | affinity purified by Protein A |
| 克隆类型 | Polyclonal |
| 理论分子量 | 93 kDa |
| 浓度 | 1mg/ml |
| 储存液 | 0.01M TBS (pH7.4) with 1% BSA, 0.02% Proclin300 and 50% Glycerol. |
| 研究领域 | Cancer > Signal transduction Signal Transduction > Protein Phosphorylation > Tyrosine Kinases |
| 亚基 | Forms complexes in vivo with PTK2/FAK1, adapter protein CRKL and LYN kinase. Can heterodimerize with NEDD9. Interacts with BCAR3, NPHP1 and SH2D3C (By similarity). Interacts with activated CSPG4. Interacts with BMX, INPPL1/SHIP2 and PEAK1. Part of a collagen-stimulated complex involved in cell migration made of CDC42, CRK, TNK2 and BCAR1/p130cas. Interacts with TNK2 via SH3 domains. Interacts with PTK2B/PYK2. |
| 亚细胞定位 | Cell junction, focal adhesion. Cytoplasm. Note=Unphosphorylated form localizes in the cytoplasm and can move to the membrane upon tyrosine phosphorylation |
| 组织特异性 | Widely expressed with an abundant expression in the testis. Low level of expression seen in the liver, thymus, and peripheral blood leukocytes. The protein has been detected in a B-cell line. |
| 翻译后修饰 | PTK2/FAK1 activation mediates phosphorylation at the YDYVHL motif; phosphorylation is most likely catalyzed by SRC family members. SRC-family kinases are recruited to the phosphorylated sites and can phosphorylate other tyrosine residues. Tyrosine phosphorylation is triggered by integrin-mediated adhesion of cells to the extracellular matrix. |
| 相似性 | Belongs to the CAS family.
Contains 1 SH3 domain. |
| 功能 | Docking protein which plays a central coordinating role for tyrosine kinase-based signaling related to cell adhesion. Implicated in induction of cell migration. Overexpression confers antiestrogen resistance on breast cancer cells. |
| 保存条件 | Shipped at 4℃. Store at -20℃ for one year. Avoid repeated freeze/thaw cycles. |
| 注意事项 | This product as supplied is intended for research use only, not for use in human, therapeutic or diagnostic applications. |
| 背景资料 | p130 represents one of several known substrates for v-Crk encoded p47. p130 Cas (for Crk-associated substrate) exhibits a high level of tyrosine phosphorylation and is tightly associated with v-Crk, suggesting a role in v-Crk-mediated cell signaling. The molecular cloning of p130 Cas has shown it to represent a novel SH3 containing signaling molecule with a cluster of multiple putative SH2-binding motifs for v-Crk. By immunoprecipitation analysis, p130 Cas has been shown to be highly phosphorylated at tyrosine residues subsequent to either v-Src p60 or v-Crk-mediated transformation and to form stable complexes with both of these transforming proteins. p130 Cas behaves as an extremely potent substrate for protein tyrosine kinases and has been reported to relocate from the cytoplasm to cell membrane upon tyrosine phosphorylation. One proposed model is that the SH2 domain of v-Crk functions to activate c-Src kinase, which in turn phosphorylates p130 Cas. |
| 应用 | 推荐稀释比例 |
| {IHC-P} | {1:100-500} |
| {IHC-F} | {1:100-500} |
| {IF} | {1:100-500} |

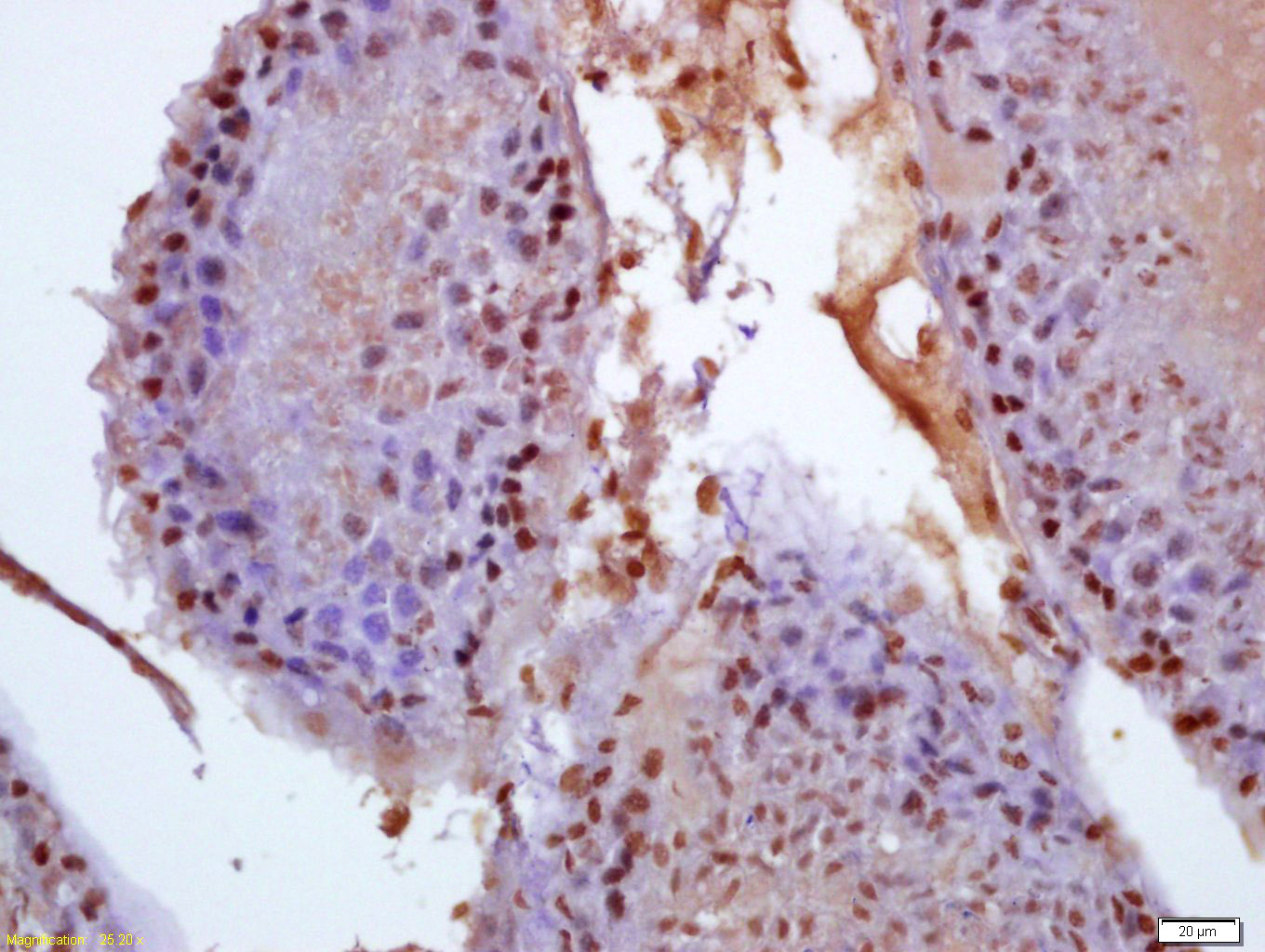
Antigen retrieval: citrate buffer ( 0.01M, pH 6.0 ), Boiling bathing for 15min; Block endogenous peroxidase by 3% Hydrogen peroxide for 30min; Blocking buffer (normal goat serum,C-0005) at 37℃ for 20 min;
Incubation: Anti-phospho-BCAR1(Tyr410) Polyclonal Antibody, Unconjugated(bs-6224R) 1:200, overnight at 4°C, followed by conjugation to the secondary antibody(SP-0023) and DAB(C-0010) staining
风险提示:丁香通仅作为第三方平台,为商家信息发布提供平台空间。用户咨询产品时请注意保护个人信息及财产安全,合理判断,谨慎选购商品,商家和用户对交易行为负责。对于医疗器械类产品,请先查证核实企业经营资质和医疗器械产品注册证情况。
文献和实验。所以,我们建议使用微波炉或高压锅加热煮沸以达到最佳抗原修复效果。抗体:Phospho–Stat3 (Tyr705)(D3A7) XP. Rabbit mAb #9145样本:石蜡包埋人类肺部肿瘤样本煮沸设备:浴锅 (左),微波炉 (中),高压锅 (右)免疫染色—封闭在 IHC–P 中,我们建议在室温下在含有 Tween20 的 TBST 缓冲液和 5% 正常山羊血清 (NGS) 中封闭样品,时长 1 小时,以防止非特异性背景染色。在进行 IHC–F 时,在含有 0.3% Triton. X–100 的 1X
used in accordance withmanufacturer recommendationsSignalStain?DAB Substrate Kit #8059:IHC analysis of paraffin-embedded human breastcarcinoma using Phospho-Stat3 (Tyr705) (D3A7) XP? Rabbit mAb #9145. Chromogenicdetection was performed using #8059 (left
v468. chapter 4 WNT 细胞通路 检测细胞GSK3活性与表达水平
. Immunoblot using antibodies to phospho-Tyr279/216 can assess alterations in activity independent ofthe N-terminal phosphorylation, although phosphorylation atthis site is most likely to be constitutive (14) . 3. Immunoblot using antibodies to known
技术资料暂无技术资料 索取技术资料






