相关产品推荐更多 >

MMP19 Rabbit pAb, HRP conjugated(bs-10058R-HRP)-100ul
¥2980
phospho-Smad3 (Ser423 + Ser425) Rabbit pAb, PE-Cy7 conjugated(bs-3425R-PE-Cy7)-100ul
¥2980
Vinculin Rabbit pAb, HRP conjugated(bs-6640R-HRP)-100ul
¥2980
NR5A2 Rabbit pAb(bs-10444R)-50ul/100ul/200ul
¥1180
TrkB Rabbit pAb, FITC conjugated(bs-0175R-FITC)-100ul
¥2980
万千商家帮你免费找货
0 人在求购买到急需产品
- 详细信息
- 文献和实验
- 技术资料
- 应用范围:
产品信息以Bioss网站为准
- 规格:
50ul/100ul/200ul
| 规格: | 50ul | 产品价格: | ¥1180.0 |
|---|---|---|---|
| 规格: | 100ul | 产品价格: | ¥1980.0 |
| 规格: | 200ul | 产品价格: | ¥2800.0 |
| 产品编号 | bs-6135R |
| 英文名称 | Wnt6 Rabbit pAb |
| 中文名称 | 信号通路Wnt6抗体 |
| 英文别名 | Protein Wnt-6 precursor; WINGLESS-TYPE MMTV INTEGRATION SITE FAMILY, MEMBER 6; wnt 6; WNT6_HUMAN. |
| 产品应用 | WB=1:500-2000, IHC-P=1:100-500, IHC-F=1:100-500, IF=1:100-500 Not yet tested in other applications. |
| 交叉反应 | Human, Mouse (Rat) |
| 抗体来源 | Rabbit |
| 免疫原 | KLH conjugated synthetic peptide derived from human Wnt6 |
| 亚型 | IgG |
| 性状 | Liquid |
| 纯化方法 | affinity purified by Protein A |
| 克隆类型 | Polyclonal |
| 理论分子量 | 38 kDa |
| 浓度 | 1mg/ml |
| 储存液 | 0.01M TBS (pH7.4) with 1% BSA, 0.02% Proclin300 and 50% Glycerol. |
| 研究领域 | Cancer > Oncoproteins/suppressors > Tumor suppressors > PTC & Wnt pathway Developmental Biology > Organogenesis > Excretory system development > Kidney development Neuroscience > Neurology process > Neural Signal Transduction Stem Cells > Signaling Pathways > Wnt > Secreted |
| 亚基 | Interacts with PORCN. |
| 亚细胞定位 | Secreted, extracellular space, extracellular matrix. |
| 相似性 | Belongs to the Wnt family. |
| 保存条件 | Shipped at 4℃. Store at -20℃ for one year. Avoid repeated freeze/thaw cycles. |
| 注意事项 | This product as supplied is intended for research use only, not for use in human, therapeutic or diagnostic applications. |
| 背景资料 | Wnt6 is a member of the WNT protein family. These proteins have been implicated in oncogenesis and in several developmental processes, including regulation of cell fate and patterning during embryogenesis. Wnt6 is overexpressed in cervical and breast cell carcinomas and is co-expressed with Wnt10a in colorectal cancer cell lines. |
| 应用 | 推荐稀释比例 |
| {WB} | {1:500-2000} |
| {IHC-P} | {1:100-500} |
| {IHC-F} | {1:100-500} |
| {IF} | {1:100-500} |

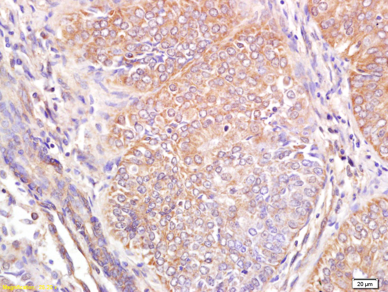
Antigen retrieval: citrate buffer ( 0.01M, pH 6.0 ), Boiling bathing for 15min; Block endogenous peroxidase by 3% Hydrogen peroxide for 30min; Blocking buffer (normal goat serum,C-0005) at 37℃ for 20 min;
Incubation: Anti-Wnt6 Polyclonal Antibody, Unconjugated(bs-6135R) 1:200, overnight at 4°C, followed by conjugation to the secondary antibody(SP-0023) and DAB(C-0010) staining

MKN45(Human) Cell Lysate at 30 ug
Primary: Anti-Wnt6 (bs-6135R) at 1/1000 dilution
Secondary: IRDye800CW Goat Anti-Rabbit IgG at 1/20000 dilution
Predicted band size: 38 kD
Observed band size: 42 kD

NIH/3T3(Mouse) Cell Lysate at 30 ug
Primary: Anti-Wnt6 (bs-6135R) at 1/1000 dilution
Secondary: IRDye800CW Goat Anti-Rabbit IgG at 1/20000 dilution
Predicted band size: 38 kD
Observed band size: 48 kD
风险提示:丁香通仅作为第三方平台,为商家信息发布提供平台空间。用户咨询产品时请注意保护个人信息及财产安全,合理判断,谨慎选购商品,商家和用户对交易行为负责。对于医疗器械类产品,请先查证核实企业经营资质和医疗器械产品注册证情况。
文献和实验[IF={{ 5.2 }}] {Liu Fangqi. et al. Dental pulp stem cells-derived cannabidiol-treated organoid-like microspheroids show robust osteogenic potential via upregulation of WNT6. COMMUN BIOL. 2024 Aug;7(1):1-14} {WB} {Human}
[IF={{ 2.945 }}] {Zhang, Zilong. et al. Circ_FBLN1 promotes the proliferation and osteogenic differentiation of human bone marrow-derived mesenchymal stem cells by regulating let-7i-5p/FZD4 axis and Wnt/β-catenin pathway. 2021 Aug 23} {WB} {Human}
= NAL), appears to form upon oxidative cyclization of the nonfluorescent 2:1 lysine-HNE Michael adduct-Schiff base cross-link (Scheme 1). Polyclonal antibody (PAb) to the NAL-HNE fluorophore was raised in rabbit and found to be highly specific
GE Healthcare Benzamidine Sepharose™ 6B is p-aminobenzamidine covalently attached to Sepharose 6B by the epoxy coupling method. p-Aminobenzamidine (PAB), is a synthetic inhibitor of trypsin-like serine protease. Trypsin and trypsin
Nucleic Acid Programmable Protein Arrays: Versatile Tools for Array‐Based Functional Protein Studies
.g., Sigma) 50 mg/ml bis‐sulfosuccinimdylsuberate (BS3 ;Pierce, cat. no. PI 21580) in dimethylsulfoxide (DMSO) 5 mg/ml
技术资料暂无技术资料 索取技术资料






