相关产品推荐更多 >

Neuronal thread protein AD7c-NTP Rabbit pAb, FITC conjugated(bs-0046R-FITC)-100ul
¥2980
Ear5 Rabbit pAb(bs-10605R)-50ul/100ul/200ul
¥1180
Calmodulin 1/2/3 Rabbit pAb, APC conjugated(bs-3666R-APC)-100ul
¥2980
GXYLT2 Rabbit pAb(bs-16377R)-50ul/100ul/200ul
¥1180
Acetyl-Histone H3 (Lys56) Mouse mAb(bsm-60052M)-50ul/100ul
¥1580
万千商家帮你免费找货
0 人在求购买到急需产品
- 详细信息
- 文献和实验
- 技术资料
- 应用范围:
产品信息以Bioss网站为准
- 规格:
50ul/100ul/200ul
| 规格: | 50ul | 产品价格: | ¥1180.0 |
|---|---|---|---|
| 规格: | 100ul | 产品价格: | ¥1980.0 |
| 规格: | 200ul | 产品价格: | ¥2800.0 |
| 产品编号 | bs-5927R |
| 英文名称 | ANP32C Rabbit pAb |
| 中文名称 | 致瘤磷蛋白32相关蛋白1抗体 |
| 英文别名 | Acidic(leucine rich) nuclear phosphoprotein 32 family, member C; ANP32 C; phosphoprotein 32 related protein 1; Tumorigenic protein pp32r1. |
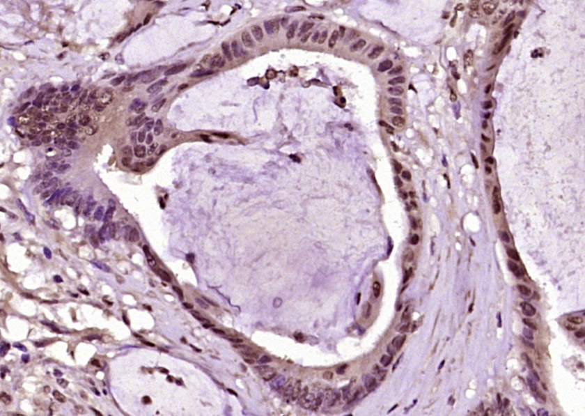
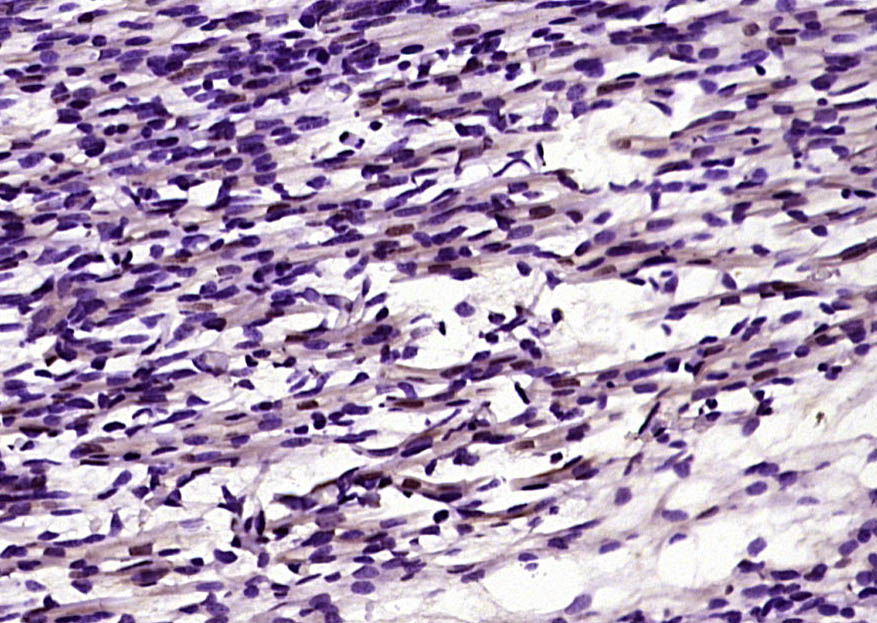
| 产品应用 | IHC-P=1:100-500, IHC-F=1:100-500, IF=1:100-500 Not yet tested in other applications. |
| 交叉反应 | Human, Mouse (Rat, Dog, Cow, Horse, Rabbit) |
| 抗体来源 | Rabbit |
| 免疫原 | KLH conjugated synthetic peptide derived from human ANP32C |
| 亚型 | IgG |
| 性状 | Liquid |
| 纯化方法 | affinity purified by Protein A |
| 克隆类型 | Polyclonal |
| 理论分子量 | 26 kDa |
| 浓度 | 1mg/ml |
| 储存液 | 0.01M TBS (pH7.4) with 1% BSA, 0.02% Proclin300 and 50% Glycerol. |
| 研究领域 | Cancer > Oncoproteins/suppressors > Oncoproteins |
| 组织特异性 | Expressed in activated stem cells, such as mobilized CD34+ cells and cord blood CD34+ cells, but not in resting bone marrow CD34+ cells. Expressed in a variety of neoplastic cell lines, mainly in prostatic adenocarcinoma cell lines. Not expressed in normal prostatic tissue. |
| 相似性 | Belongs to the ANP32 family. Contains 4 LRR (leucine-rich) repeats. |
| 保存条件 | Shipped at 4℃. Store at -20℃ for one year. Avoid repeated freeze/thaw cycles. |
| 注意事项 | This product as supplied is intended for research use only, not for use in human, therapeutic or diagnostic applications. |
| 背景资料 | The protein encoded by ANP32C is one of at least two proteins that are similar in amino acid sequence to PP32 and are part of the same acidic nuclear phosphoprotein gene family. However, unlike PP32, the encoded protein is tumorigenic. The tumor suppressor function of PP32 has been localized to a 25 amino acid region that is divergent between PP32 and the protein encoded by this gene. This gene does not contain introns. |
| 应用 | 推荐稀释比例 |
| {IHC-P} | {1:100-500} |
| {IHC-F} | {1:100-500} |
| {IF} | {1:100-500} |


风险提示:丁香通仅作为第三方平台,为商家信息发布提供平台空间。用户咨询产品时请注意保护个人信息及财产安全,合理判断,谨慎选购商品,商家和用户对交易行为负责。对于医疗器械类产品,请先查证核实企业经营资质和医疗器械产品注册证情况。
文献和实验= NAL), appears to form upon oxidative cyclization of the nonfluorescent 2:1 lysine-HNE Michael adduct-Schiff base cross-link (Scheme 1). Polyclonal antibody (PAb) to the NAL-HNE fluorophore was raised in rabbit and found to be highly specific
GE Healthcare Benzamidine Sepharose™ 6B is p-aminobenzamidine covalently attached to Sepharose 6B by the epoxy coupling method. p-Aminobenzamidine (PAB), is a synthetic inhibitor of trypsin-like serine protease. Trypsin and trypsin
Nucleic Acid Programmable Protein Arrays: Versatile Tools for Array‐Based Functional Protein Studies
.g., Sigma) 50 mg/ml bis‐sulfosuccinimdylsuberate (BS3 ;Pierce, cat. no. PI 21580) in dimethylsulfoxide (DMSO) 5 mg/ml
技术资料暂无技术资料 索取技术资料






