相关产品推荐更多 >
万千商家帮你免费找货
0 人在求购买到急需产品
- 详细信息
- 文献和实验
- 技术资料
- 应用范围:
产品信息以Bioss网站为准
- 规格:
50ul/100ul/200ul
| 规格: | 50ul | 产品价格: | ¥1180.0 |
|---|---|---|---|
| 规格: | 100ul | 产品价格: | ¥1980.0 |
| 规格: | 200ul | 产品价格: | ¥2800.0 |
| 产品编号 | bs-5026R |
| 英文名称 | AKR1D1 Rabbit pAb |
| 中文名称 | 醛固酮还原酶家族1成员D1抗体 |
| 英文别名 | 3-oxo-5-beta-steroid 4-dehydrogenase; 3o5bred; AK1D1_HUMAN; AKR1D1; aldo keto reductase family 1 member D1(delta 4 3 ketosteroid 5 beta reductase); Aldo keto reductase family 1 member D1; Aldo-keto reductase family 1 member D1; CBAS2; delta(4) 3 ketosteroid 5 beta reductase; delta(4) 3 oxosteroid 5 beta reductase; delta(4)-3-ketosteroid 5-beta-reductase; delta(4)-3-oxosteroid 5-beta-reductase; SRD5B1; steroid 5 beta reductase beta polypeptide 1(3 oxo 5 beta steroid delta 4 dehydrogenase beta 1); steroid 5 beta reductase. |
| 产品应用 | IHC-P=1:100-500, IHC-F=1:100-500, IF=1:100-500 Not yet tested in other applications. |
| 交叉反应 | Rat (Human, Mouse, Dog, Cow, Horse, Rabbit) |
| 抗体来源 | Rabbit |
| 免疫原 | KLH conjugated synthetic peptide derived from human AKR1D1 |
| 亚型 | IgG |
| 性状 | Liquid |
| 纯化方法 | affinity purified by Protein A |
| 克隆类型 | Polyclonal |
| 理论分子量 | 37 kDa |
| 浓度 | 1mg/ml |
| 储存液 | 0.01M TBS (pH7.4) with 1% BSA, 0.02% Proclin300 and 50% Glycerol. |
| 研究领域 | Cancer > Cancer Metabolism > Metabolic signaling pathway > Metabolism of lipids and lipoproteins Cardiovascular > Lipids / Lipoproteins > Lipid Metabolism > Cholesterol Metabolism Metabolism > Pathways and Processes > Metabolic signaling pathways > Lipid and lipoprotein metabolism > Cholesterol Metabolism Metabolism > Pathways and Processes > Metabolic signaling pathways > Lipid and lipoprotein metabolism > Lipid metabolism Signal Transduction > Metabolism > Lipid metabolism |
| 亚细胞定位 | Cytoplasm. |
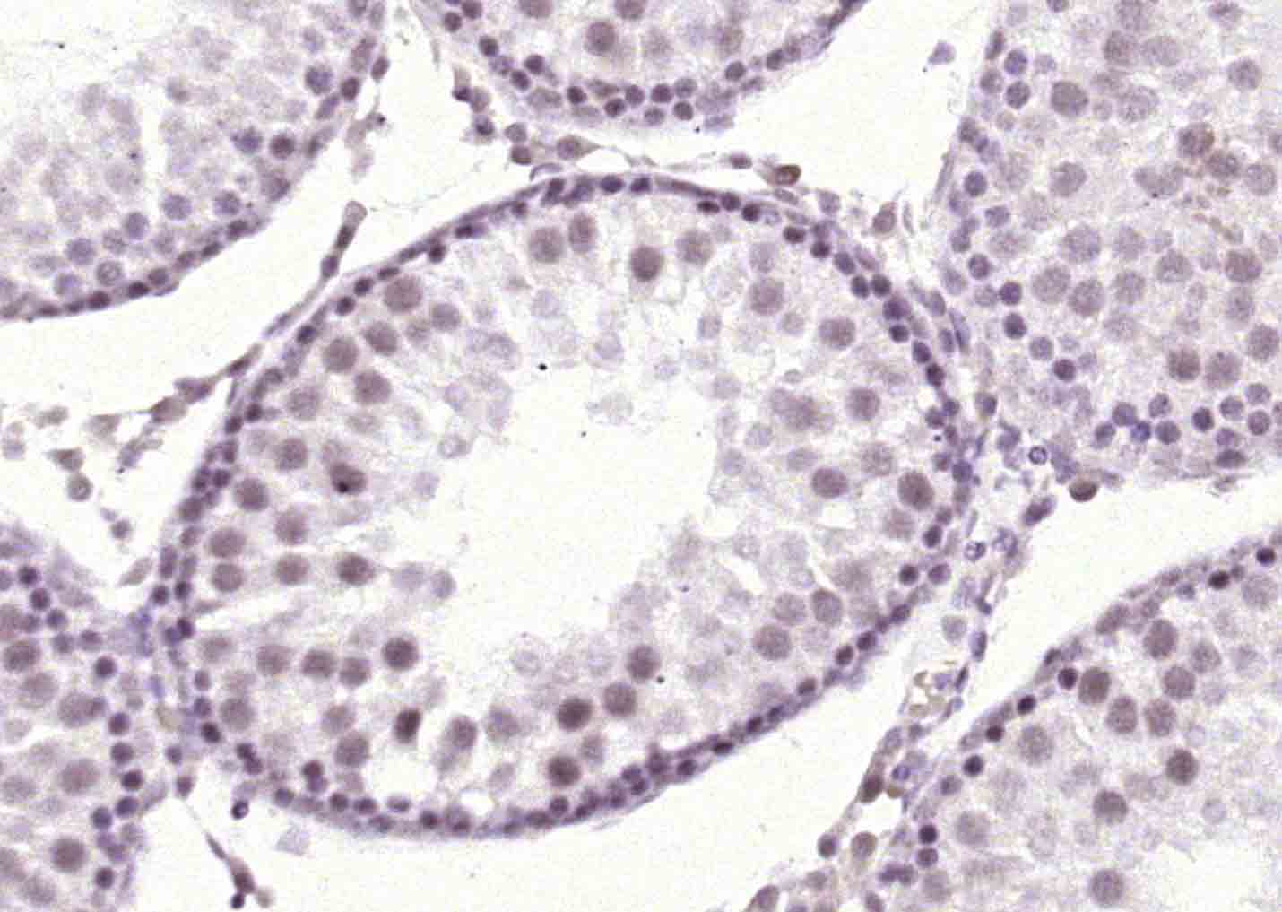
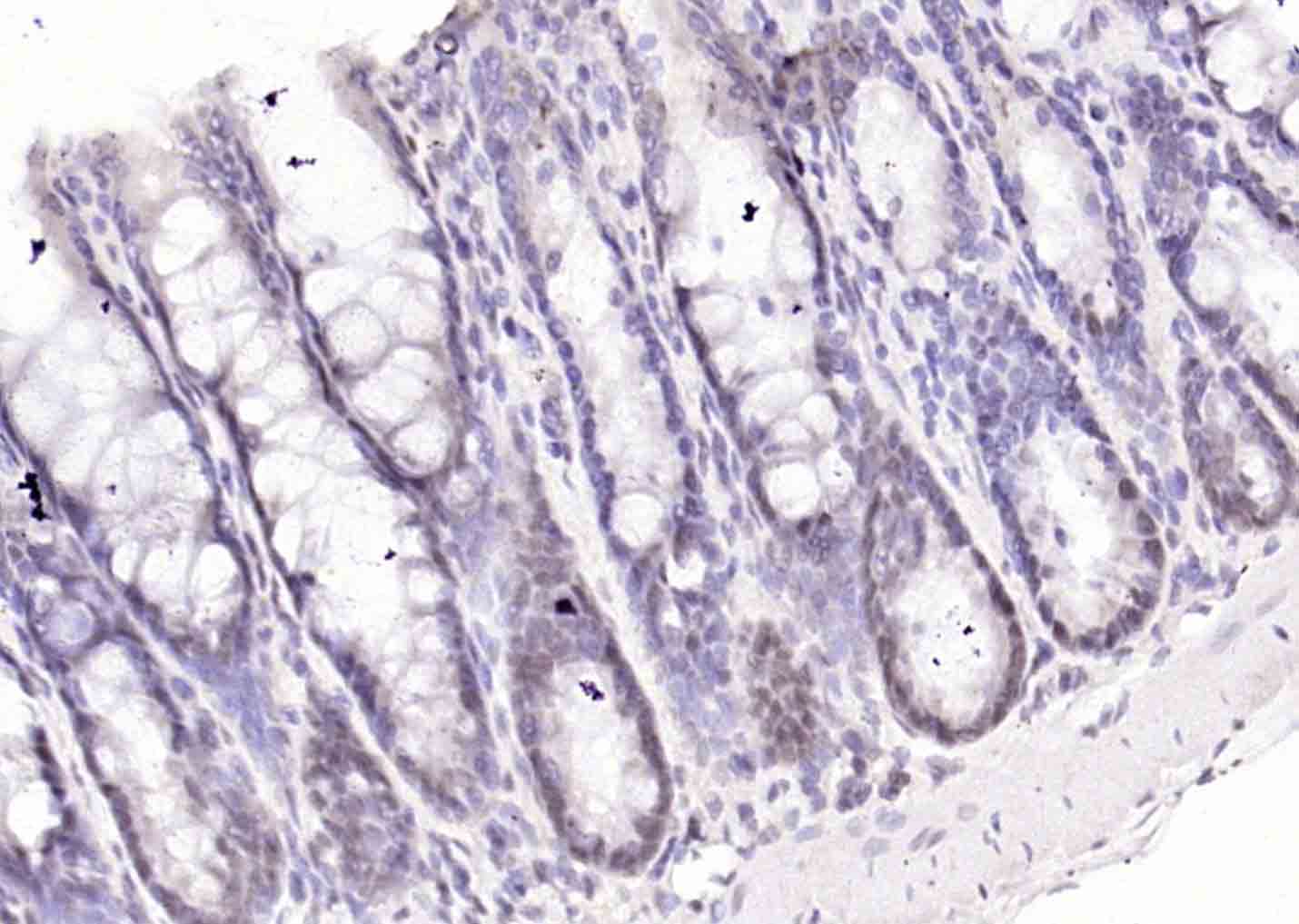
| 组织特异性 | Highly expressed in liver. Expressed in testis and weakly in colon. |
| 相似性 | Belongs to the aldo/keto reductase family. |
| 功能 | Efficiently catalyzes the reduction of progesterone, androstenedione, 17-alpha-hydroxyprogesterone and testosterone to 5-beta-reduced metabolites. The bile acid intermediates 7-alpha,12-alpha-dihydroxy-4-cholesten-3-one and 7-alpha-hydroxy-4-cholesten-3-one can also act as substrates. |
| 保存条件 | Shipped at 4℃. Store at -20℃ for one year. Avoid repeated freeze/thaw cycles. |
| 注意事项 | This product as supplied is intended for research use only, not for use in human, therapeutic or diagnostic applications. |
| 背景资料 | Efficiently catalyzes the reduction of progesterone, androstenedione, 17-alpha-hydroxyprogesterone and testosterone to 5-beta-reduced metabolites. The bile acid intermediates 7-alpha,12-alpha-dihydroxy-4-cholesten-3-one and 7-alpha-hydroxy-4-cholesten-3-one can also act as substrates. |
| 应用 | 推荐稀释比例 |
| {IHC-P} | {1:100-500} |
| {IHC-F} | {1:100-500} |
| {IF} | {1:100-500} |


风险提示:丁香通仅作为第三方平台,为商家信息发布提供平台空间。用户咨询产品时请注意保护个人信息及财产安全,合理判断,谨慎选购商品,商家和用户对交易行为负责。对于医疗器械类产品,请先查证核实企业经营资质和医疗器械产品注册证情况。
文献和实验= NAL), appears to form upon oxidative cyclization of the nonfluorescent 2:1 lysine-HNE Michael adduct-Schiff base cross-link (Scheme 1). Polyclonal antibody (PAb) to the NAL-HNE fluorophore was raised in rabbit and found to be highly specific
GE Healthcare Benzamidine Sepharose™ 6B is p-aminobenzamidine covalently attached to Sepharose 6B by the epoxy coupling method. p-Aminobenzamidine (PAB), is a synthetic inhibitor of trypsin-like serine protease. Trypsin and trypsin
Nucleic Acid Programmable Protein Arrays: Versatile Tools for Array‐Based Functional Protein Studies
.g., Sigma) 50 mg/ml bis‐sulfosuccinimdylsuberate (BS3 ;Pierce, cat. no. PI 21580) in dimethylsulfoxide (DMSO) 5 mg/ml
技术资料暂无技术资料 索取技术资料









