相关产品推荐更多 >

Di-Methyl-Histone H3 (Lys9) Mouse mAb(bsm-60132M)-50ul/100ul
¥1580
MZT1 Rabbit pAb, AP conjugated(bs-18977R-AP)-100ul
¥2980
phospho-HSP70 (Tyr41) Rabbit pAb, PE conjugated(bs-10451R-PE)-100ul
¥2980
SIK1 Rabbit pAb, BF555 conjugated(bs-6252R-BF555)-100ul
¥2980
phospho-EGFR (Tyr1197) Rabbit pAb(bs-5317R)-50ul/100ul/200ul
¥1180
万千商家帮你免费找货
0 人在求购买到急需产品
- 详细信息
- 文献和实验
- 技术资料
- 应用范围:
产品信息以Bioss网站为准
- 规格:
50ul/100ul/200ul
| 规格: | 50ul | 产品价格: | ¥1180.0 |
|---|---|---|---|
| 规格: | 100ul | 产品价格: | ¥1980.0 |
| 规格: | 200ul | 产品价格: | ¥2800.0 |
| 产品编号 | bs-3871R |
| 英文名称 | ATG18 Rabbit pAb |
| 中文名称 | 自噬相关蛋白18抗体 |
| 英文别名 | ATG 18; ATG18; Atg18 protein homolog; ATG18A; WD repeat domain phosphoinositide interacting 1; WD repeat domain phosphoinositide interacting protein 1; WD40 repeat protein interacting with phosphoInositides of 49kDa; WIPI 1 alpha; WIPI 1; WIPI 49; WIPI 49 kDa; WIPI49. |
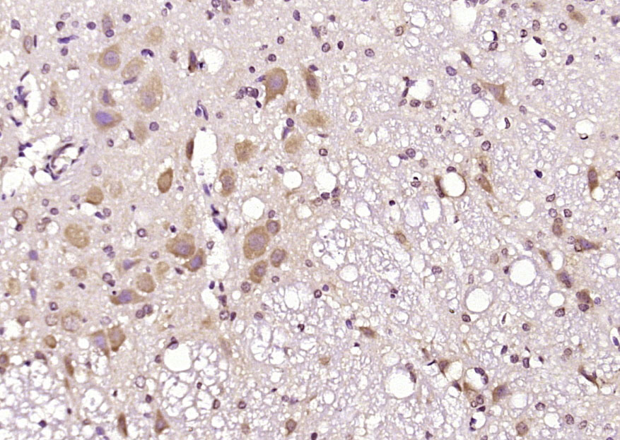
| 产品应用 | IHC-P=1:100-500, IHC-F=1:100-500, IF=1:100-500, Flow-Cyt=1ug/Test Not yet tested in other applications. |
| 交叉反应 | Human, Rat (Mouse, Pig) |
| 抗体来源 | Rabbit |
| 免疫原 | KLH conjugated synthetic peptide derived from mouse WIPI1 |
| 亚型 | IgG |
| 性状 | Liquid |
| 纯化方法 | affinity purified by Protein A |
| 克隆类型 | Polyclonal |
| 理论分子量 | 49 kDa |
| 浓度 | 1mg/ml |
| 储存液 | 0.01M TBS (pH7.4) with 1% BSA, 0.02% Proclin300 and 50% Glycerol. |
| 研究领域 | Cancer > Cell Death > Autophagy > Signal Transduction Cancer > Signal transduction > Autophagy Metabolism > Pathways and Processes > Metabolism processes > Autophagy and mitophagy Signal Transduction > Protein Trafficking > Golgi Proteins |
| 亚基 | Interacts with androgen receptor (AR) and the estrogen receptors ESR1 and ESR2. Binds PtdIns3P and to a lesser extent, PtdIns3,5P2 and PtdIns5P in vitro. Interaction with PtdIns3P is required for recruitment to membranes. |
| 亚细胞定位 | Golgi apparatus, trans-Golgi network. Endosome. Cytoplasmic vesicle, clathrin-coated vesicle. Preautophagosomal structure membrane; Peripheral membrane protein. Cytoplasm, cytoskeleton. Note=Trans elements of the Golgi and peripheral endosomes. Dynamically cycles through these compartments and is susceptible to conditions that modulate membrane flux. Enriched in clathrin-coated vesicles. Upon starvation-induced autophagy, accumulates at subcellular structures in the cytoplasm: enlarged vesicular and lasso-like structures, and large cup-shaped structures predominantly around the nucleus. Recruitment to autophagic membranes is controlled by MTMR14. Labile microtubules specifically recruit markers of autophagosome formation like WIPI1, whereas mature autophagosomes may bind to stable microtubules. |
| 组织特异性 | Ubiquitously expressed. Highly expressed in skeletal muscle, heart, testis, pancreas and placenta. Highly expressed in G361, Sk-mel-28, Sk-mel-13, WM852 and WM451 cells. Up-regulated in a variety of tumor tissues. |
| 相似性 | Belongs to the WD repeat SVP1 family.
Contains 7 WD repeats. |
| 功能 | Plays an important role in autophagy and in particular starvation- and calcium-mediated autophagy, as well as in mitophagy. Functions upstream of the ATG12-ATG5-ATG16L1 complex and LC3, and downstream of the ULK1 and PI3-kinase complexes. Involved in xenophagy of Staphylococcus aureus. Invading S.aureus cells become entrapped in autophagosome-like WIPI1 positive vesicles targeted for lysosomal degradation. Plays also a distinct role in controlling the transcription of melanogenic enzymes and melanosome maturation, a process that is distinct from starvation-induced autophagy. May also regulate the trafficking of proteins involved in the mannose-6-phosphate receptor (MPR) recycling pathway. |
| 保存条件 | Shipped at 4℃. Store at -20℃ for one year. Avoid repeated freeze/thaw cycles. |
| 注意事项 | This product as supplied is intended for research use only, not for use in human, therapeutic or diagnostic applications. |
| 背景资料 | This gene encodes a WD40 repeat protein. Members of the WD40 repeat family are key components of many essential biologic functions. They regulate the assembly of multiprotein complexes by presenting a beta-propeller platform for simultaneous and reversible protein-protein interactions. Members of the WIPI subfamily of WD40 repeat proteins have a 7-bladed propeller structure and contain a conserved motif for interaction with phospholipids. Alternative splicing results in multiple transcript variants. [provided by RefSeq, Mar 2016] |
| 应用 | 推荐稀释比例 |
| {IHC-P} | {1:100-500} |
| {IHC-F} | {1:100-500} |
| {IF} | {1:100-500} |
| {Flow-Cyt} | {1ug/Test} |

Primary Antibody (green line): Rabbit Anti-ATG18 antibody (bs-3871R)
Dilution: 1μg /10^6 cells;
Isotype Control Antibody (orange line): Rabbit IgG .
Secondary Antibody : Goat anti-rabbit IgG-PE
Dilution: 1μg /test.
Protocol
The cells were fixed with 4% PFA (10min at room temperature)and then permeabilized with 0.1%PBST for 20 min at room temperature.The cells were then incubated in 5%BSA to block non-specific protein-protein interactions for 30 min at room temperature .Cells stained with Primary Antibody for 30 min at room temperature. The secondary antibody used for 40 min at room temperature. Acquisition of 20,000 events was performed.

风险提示:丁香通仅作为第三方平台,为商家信息发布提供平台空间。用户咨询产品时请注意保护个人信息及财产安全,合理判断,谨慎选购商品,商家和用户对交易行为负责。对于医疗器械类产品,请先查证核实企业经营资质和医疗器械产品注册证情况。
文献和实验[IF={{ 11.75 }}] {Garofalo, Tina, et al. "Evidence for the involvement of lipid rafts localized at the ER-mitochondria associated membranes in autophagosome formation."Autophagy (2016): 1-19.} {WB,FCM} {="Human"}
家兔(Rabbit,Oryctolagus curiculus)
家兔(Rabbit,Oryctolagus curiculus) 一、生物学特性和解剖生理特点 1.家兔属于哺乳纲、啮齿目、兔科、草食性哺乳动性。 2.家兔体小力弱、胆小怕惊、怕热、怕潮,喜欢安静、清洁、干燥、凉爽的环境,不能忍受污秽的条件。 3.是食草类(Herbivorous)单胃动物。饲养原则是以青粗食米为主,精饲料为辅。喜欢独居,白天活动少,都处于假眠或休息状态,夜间活动大,吃食多。有啃木、扒土的习惯
【公告】丁香通试用中心:10月免费试用装精选(10月18日有更新)
200ul低吸附盒装吸头 进口TS3000转染试剂 纳米微粒 非脂质体 其他推荐: 单组分TMB显色液 Peroxidase Conjugated Goat Anti-Rabbit IgG (Min Hu, Ms) 二抗 96通道个人型半自动移液系统 小动物气体麻醉机,大小鼠气体吸入式麻醉机 四通道实时荧光定量PCR检测系统 Tanon-5200化学发光成像系统(包邮) 优质微晶纤维素MCC(进口) 罗恩1-10ml电动移液器 EpiScript逆转录酶 western
家兔(Rabbit,Oryctolagus curiculus)--生物学特性和解剖生理特点
网络 第五节 家兔(Rabbit,Oryctolagus curiculus) 一、生物学特性和解剖生理特点 1.家兔属于哺乳纲、啮齿目、兔科、草食性哺乳动性。 2.家兔体小力弱、胆小怕惊、怕热、怕潮,喜欢安静、清洁、干燥、凉爽的环境,不能忍受污秽的条件。 3.是食草类(Herbivorous)单胃动物。饲养原则是以青粗食米为主
技术资料暂无技术资料 索取技术资料






