相关产品推荐更多 >

Mouse IgA Rabbit pAb(bs-0774R)-50ul/100ul/200ul
¥1180
phospho-MAP4K4 (Ser801) Rabbit pAb(bs-5493R)-50ul/100ul/200ul
¥1180
Cytochrome C Mouse mAb, BF405 conjugated(bsm-33193M-BF405)-100ul
¥2980
H2AFJ Rabbit pAb(bs-16379R)-50ul/100ul/200ul
¥1180
REV3L/Polymerase DNA zeta Rabbit pAb, BF750 conjugated(bs-19840R-BF750)-100ul
¥2980
万千商家帮你免费找货
0 人在求购买到急需产品
- 详细信息
- 文献和实验
- 技术资料
- 应用范围:
产品信息以Bioss网站为准
- 规格:
50ul/100ul/200ul
| 规格: | 50ul | 产品价格: | ¥1180.0 |
|---|---|---|---|
| 规格: | 100ul | 产品价格: | ¥1980.0 |
| 规格: | 200ul | 产品价格: | ¥2800.0 |
| 产品编号 | bs-2305R |
| 英文名称 | E2EPF Rabbit pAb |
| 中文名称 | 泛素交联酶抗体 |
| 英文别名 | E2 EPF; E2EPF; EPF5; UBE2S; Ubiquitin carrier protein S; Ubiquitin conjugating enzyme E2 24 kD; Ubiquitin conjugating enzyme E2S; Ubiquitin protein ligase S; AA409170; MGC101982; UBE2S_HUMAN. |
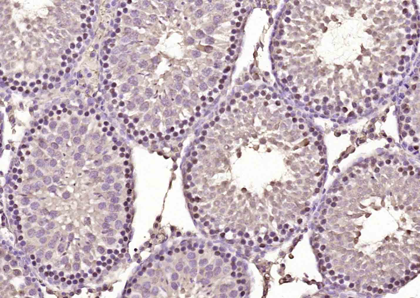
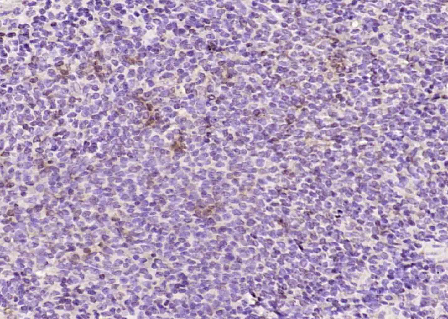
| 产品应用 | IHC-P=1:100-500, IHC-F=1:100-500, IF=1:100-500 Not yet tested in other applications. |
| 交叉反应 | Rat (Human, Mouse, Dog, Pig, Cow, Horse, Rabbit) |
| 抗体来源 | Rabbit |
| 免疫原 | KLH conjugated synthetic peptide derived from human E2EPF |
| 亚型 | IgG |
| 性状 | Liquid |
| 纯化方法 | affinity purified by Protein A |
| 克隆类型 | Polyclonal |
| 理论分子量 | 24 kDa |
| 浓度 | 1mg/ml |
| 储存液 | 0.01M TBS (pH7.4) with 1% BSA, 0.02% Proclin300 and 50% Glycerol. |
| 研究领域 | Epigenetics and Nuclear Signaling > Transcription > Domain Families > Forkhead Box Epigenetics and Nuclear Signaling > Transcription > Other factors Epigenetics and Nuclear Signaling > Ubiquitin & Ubiquitin Like Modifiers > E2 Ubiquitin Conjugating Enzymes |
| 亚基 | Component of the APC/C complex. Interacts with CDC20, FZR1/CDH1 and VHL. |
| 翻译后修饰 | Autoubiquitinated by the APC/C complex during G1, leading to its degradation by the proteasome. |
| 相似性 | Belongs to the ubiquitin-conjugating enzyme family. |
| 功能 | Accepts ubiquitin from the E1 complex and catalyzes its covalent attachment to other proteins. Catalyzes 'Lys-11'-linked polyubiquitination. Acts as an essential factor of the anaphase promoting complex/cyclosome (APC/C), a cell cycle-regulated ubiquitin ligase that controls progression through mitosis. Acts by specifically elongating 'Lys-11'-linked polyubiquitin chains initiated by the E2 enzyme UBE2C/UBCH10 on APC/C substrates, enhancing the degradation of APC/C substrates by the proteasome and promoting mitotic exit. Also acts by elongating ubiquitin chains initiated by the E2 enzyme UBE2D1/UBCH5 in vitro; it is however unclear whether UBE2D1/UBCH5 acts as a E2 enzyme for the APC/C in vivo. Also involved in ubiquitination and subsequent degradation of VHL, resulting in an accumulation of HIF1A. In vitro able to promote polyubiquitination using all 7 ubiquitin Lys residues, except 'Lys-48'-linked polyubiquitination. |
| 保存条件 | Shipped at 4℃. Store at -20℃ for one year. Avoid repeated freeze/thaw cycles. |
| 注意事项 | This product as supplied is intended for research use only, not for use in human, therapeutic or diagnostic applications. |
| 背景资料 | This gene encodes a member of the ubiquitin-conjugating enzyme family. The encoded protein is able to form a thiol ester linkage with ubiquitin in a ubiquitin activating enzyme-dependent manner, a characteristic property of ubiquitin carrier proteins. [provided by RefSeq, Jul 2008] |
| 应用 | 推荐稀释比例 |
| {IHC-P} | {1:100-500} |
| {IHC-F} | {1:100-500} |
| {IF} | {1:100-500} |


风险提示:丁香通仅作为第三方平台,为商家信息发布提供平台空间。用户咨询产品时请注意保护个人信息及财产安全,合理判断,谨慎选购商品,商家和用户对交易行为负责。对于医疗器械类产品,请先查证核实企业经营资质和医疗器械产品注册证情况。
文献和实验ANTIBODY BINDING TO PROTEIN A AND PROTEIN G
+/- ++ Hamster + ++ Guinea Pig ++++ ++ Rabbit ++++ +++ Horse ++ ++++ Cow ++ ++++ Pig +++ +++ Sheep
= NAL), appears to form upon oxidative cyclization of the nonfluorescent 2:1 lysine-HNE Michael adduct-Schiff base cross-link (Scheme 1). Polyclonal antibody (PAb) to the NAL-HNE fluorophore was raised in rabbit and found to be highly specific
(rabbit anti-mouse IgG, then monoclonal mouse anti-E2 ) are immobilized by passive adsorption onto the working electrode surface. A competitive immunoassay is then performed using an alkaline-phosphatase-labeled E2 conjugate. Electrochemical measurements
技术资料暂无技术资料 索取技术资料





