相关产品推荐更多 >

TRAF3 Rabbit pAb, BF350 conjugated(bs-1185R-BF350)-100ul
¥2980
phospho-YES1 (Tyr426) Rabbit pAb, AP conjugated(bs-5591R-AP)-100ul
¥2980
phospho-Cardiac Troponin I (Ser23 + Ser24) Rabbit pAb, APC-Cy5.5 conjugated(bs-3458R-APC-Cy5.5)-100ul
¥2980
DZIP3 Rabbit pAb, BF594 conjugated(bs-13044R-BF594)-100ul
¥2980
FOXL2 Rabbit pAb, AP conjugated(bs-6633R-AP)-100ul
¥2980
万千商家帮你免费找货
0 人在求购买到急需产品
- 详细信息
- 文献和实验
- 技术资料
- 应用范围:
产品信息以Bioss网站为准
- 规格:
50ul/100ul/200ul
| 规格: | 50ul | 产品价格: | ¥1180.0 |
|---|---|---|---|
| 规格: | 100ul | 产品价格: | ¥1980.0 |
| 规格: | 200ul | 产品价格: | ¥2800.0 |
| 产品编号 | bs-20130R |
| 英文名称 | FAIM3 Rabbit pAb |
| 中文名称 | FAS凋亡抑制分子3抗体 |
| 英文别名 | Faim3; FAIM3_HUMAN; Fas apoptotic inhibitory molecule 3; Fc mu receptor; FCMR; IgM Fc receptor; Immunoglobulin mu Fc receptor; Regulator of Fas induced apoptosis; Regulator of Fas-induced apoptosis Toso; TOSO. |
| 产品应用 | WB=1:500-2000, IHC-P=1:100-500, IHC-F=1:100-500, IF=1:100-500 Not yet tested in other applications. |
| 交叉反应 | Human |
| 抗体来源 | Rabbit |
| 免疫原 | KLH conjugated synthetic peptide derived from human FAIM3 |
| 亚型 | IgG |
| 性状 | Liquid |
| 纯化方法 | affinity purified by Protein A |
| 克隆类型 | Polyclonal |
| 理论分子量 | 41 kDa |
| 浓度 | 1mg/ml |
| 储存液 | 0.01M TBS (pH7.4) with 1% BSA, 0.02% Proclin300 and 50% Glycerol. |
| 研究领域 | Cell Biology > Apoptosis > Extracellular Signals > Death Ligands Cell Biology > Apoptosis > Intracellular > Survivin / IAPs |
| 亚细胞定位 | Isoform 1: Membrane; Single-pass membrane protein.
Isoform 3: Secreted. Note=Detected in the serum. |
| 组织特异性 | Expressed in lymph nodes, peripheral blood leukocytes, lung, thymus and kidneys. Very weak expression detected in spleen, liver, heart, and salivary gland. Expressed in lymphoid cell lines such as Jurkat, CEM-T4, MOLT-4, HB11;19 and Reh. No expression detected in nonhematopoietic cell lines including Hep-G2, HEK293 and HeLa. Detected at high levels in chronic lymphocytic leukemia cells. |
| 相似性 | Contains 1 Ig-like (immunoglobulin-like) domain. |
| 功能 | May play a role in the immune system processes. Protects cells from FAS-, TNF alpha- and FADD-induced apoptosis without increasing expression of the inhibitors of apoptosis BCL2 and BCLXL. Seems to activate an inhibitory pathway that prevents CASP8 activation following FAS stimulation, rather than blocking apoptotic signals downstream. May inhibit FAS-induced apoptosis by preventing CASP8 processing through CFLAR up-regulation. |
| 保存条件 | Shipped at 4℃. Store at -20℃ for one year. Avoid repeated freeze/thaw cycles. |
| 注意事项 | This product as supplied is intended for research use only, not for use in human, therapeutic or diagnostic applications. |
| 背景资料 | The oncogene BCL2 is a membrane protein that blocks a step in a pathway leading to apoptosis or programmed cell death. The protein encoded by this May play a role in the immune system processes. Protects cells from FAS-, TNF alpha- and FADD-induced apoptosis without increasing expression of the inhibitors of apoptosis BCL2 and BCLXL. Seems to activate an inhibitory pathway that prevents CASP8 activation following FAS stimulation, rather than blocking apoptotic signals downstream. May inhibit FAS-induced apoptosis by preventing CASP8 processing through CFLAR up-regulation. |
| 应用 | 推荐稀释比例 |
| {WB} | {1:500-2000} |
| {IHC-P} | {1:100-500} |
| {IHC-F} | {1:100-500} |
| {IF} | {1:100-500} |

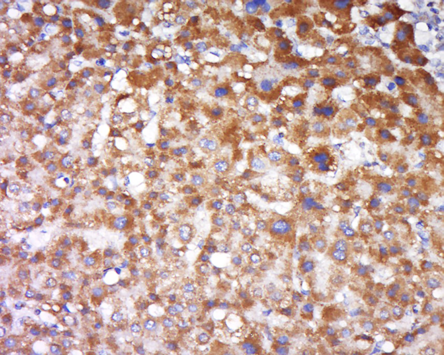
Antigen retrieval: citrate buffer ( 0.01M, pH 6.0 ), Boiling bathing for 15min; Block endogenous peroxidase by 3% Hydrogen peroxide for 30min; Blocking buffer (normal goat serum,C-0005) at 37℃ for 20 min;
Incubation: Anti-FAIM3 Polyclonal Antibody, Unconjugated(bs-20130R) 1:500, overnight at 4°C, followed by conjugation to the secondary antibody(SP-0023) and DAB(C-0010) staining

Antigen retrieval: citrate buffer ( 0.01M, pH 6.0 ), Boiling bathing for 15min; Block endogenous peroxidase by 3% Hydrogen peroxide for 30min; Blocking buffer (normal goat serum,C-0005) at 37℃ for 20 min;
Incubation: Anti-FAIM3 Polyclonal Antibody, Unconjugated(bs-20130R) 1:500, overnight at 4°C, followed by conjugation to the secondary antibody(SP-0023) and DAB(C-0010) staining

Hela(Human) Cell Lysate at 30 ug
Primary: Anti-FAIM3 (bs-20130R) at 1/300 dilution
Secondary: IRDye800CW Goat Anti-Rabbit IgG at 1/20000 dilution
Predicted band size: 41 kD
Observed band size: 31 kD
风险提示:丁香通仅作为第三方平台,为商家信息发布提供平台空间。用户咨询产品时请注意保护个人信息及财产安全,合理判断,谨慎选购商品,商家和用户对交易行为负责。对于医疗器械类产品,请先查证核实企业经营资质和医疗器械产品注册证情况。
文献和实验= NAL), appears to form upon oxidative cyclization of the nonfluorescent 2:1 lysine-HNE Michael adduct-Schiff base cross-link (Scheme 1). Polyclonal antibody (PAb) to the NAL-HNE fluorophore was raised in rabbit and found to be highly specific
GE Healthcare Benzamidine Sepharose™ 6B is p-aminobenzamidine covalently attached to Sepharose 6B by the epoxy coupling method. p-Aminobenzamidine (PAB), is a synthetic inhibitor of trypsin-like serine protease. Trypsin and trypsin
Nucleic Acid Programmable Protein Arrays: Versatile Tools for Array‐Based Functional Protein Studies
.g., Sigma) 50 mg/ml bis‐sulfosuccinimdylsuberate (BS3 ;Pierce, cat. no. PI 21580) in dimethylsulfoxide (DMSO) 5 mg/ml
技术资料暂无技术资料 索取技术资料





