相关产品推荐更多 >

phospho-RAF1 (Ser338/Tyr340) Rabbit pAb, PE-Cy5.5 conjugated(bs-1731R-PE-Cy5.5)-100ul
¥2980
phospho-MAP4K1 (Ser171) Rabbit pAb(bs-5494R)-50ul/100ul/200ul
¥1180
KHDRBS2 Rabbit pAb(bs-16955R)-50ul/100ul/200ul
¥1180
SPINK13 Rabbit pAb(bs-20834R)-50ul/100ul/200ul
¥1180
CCL26 Rabbit pAb, BF647 conjugated(bs-15512R-BF647)-100ul
¥2980
万千商家帮你免费找货
0 人在求购买到急需产品
- 详细信息
- 技术资料
- 应用范围:
产品信息以Bioss网站为准
- 规格:
50ul/100ul/200ul
| 规格: | 50ul | 产品价格: | ¥1180.0 |
|---|---|---|---|
| 规格: | 100ul | 产品价格: | ¥1980.0 |
| 规格: | 200ul | 产品价格: | ¥2800.0 |
| 产品编号 | bs-19207R |
| 英文名称 | Nesprin 1 Rabbit pAb |
| 中文名称 | 突触核膜蛋白1抗体 |
| 英文别名 | CPG2; Enaptin; Myne-1; MYNE1; Myocyte nuclear envelope protein 1; Nesprin-1; Nuclear envelope spectrin repeat protein 1; SCAR8; Synaptic nuclear envelope protein 1; Syne-1; SYNE1; SYNE1_HUMAN; SYNE1B. |
| 产品应用 | IHC-P=1:100-500, IHC-F=1:100-500, IF=1:100-500 Not yet tested in other applications. |
| 交叉反应 | Rat (Human, Mouse, Dog, Cow, Horse, Sheep) |
| 抗体来源 | Rabbit |
| 免疫原 | KLH conjugated synthetic peptide derived from human Nesprin 1 |
| 亚型 | IgG |
| 性状 | Liquid |
| 纯化方法 | affinity purified by Protein A |
| 克隆类型 | Polyclonal |
| 理论分子量 | 1010 kDa |
| 浓度 | 1mg/ml |
| 储存液 | 0.01M TBS (pH7.4) with 1% BSA, 0.02% Proclin300 and 50% Glycerol. |
| 亚细胞定位 | Nucleus outer membrane. Cytoplasm, cytoskeleton. Cytoplasm, myofibril, sarcomere. The largest part of the protein is cytoplasmic, while its C-terminal part is associated with the nuclear envelope, most probably the outer nuclear membrane. In skeletal and smooth muscles, a significant amount is found in the sarcomeres. |
| 组织特异性 | Widely expressed. Highly expressed in skeletal and smooth muscles, heart, spleen, and peripheral blood leukocytes. |
| 相似性 | Belongs to the nesprin family. Contains 1 actin-binding domain. Contains 2 CH (calponin-homology) domains. Contains 12 HAT repeats. Contains 1 KASH domain. Contains 31 spectrin repeats. |
| 功能 | Multi-isomeric modular protein which forms a linking network between organelles and the actin cytoskeleton to maintain the subcellular spatial organization. Component of SUN-protein-containing multivariate complexes also called LINC complexes which link the nucleoskeleton and cytoskeleton by providing versatile outer nuclear membrane attachment sites for cytoskeletal filaments. Involved in the maintenance of nuclear organization and structural integrity. Connects nuclei to the cytoskeleton by interacting with the nuclear envelope and with F-actin in the cytoplasm. Required for centrosome migration to the apical cell surface during early ciliogenesis. |
| 保存条件 | Shipped at 4℃. Store at -20℃ for one year. Avoid repeated freeze/thaw cycles. |
| 注意事项 | This product as supplied is intended for research use only, not for use in human, therapeutic or diagnostic applications. |
| 背景资料 | This gene encodes a spectrin repeat containing protein expressed in skeletal and smooth muscle, and peripheral blood lymphocytes, that localizes to the nuclear membrane. Mutations in this gene have been associated with autosomal recessive spinocerebellar ataxia 8, also referred to as autosomal recessive cerebellar ataxia type 1 or recessive ataxia of Beauce. Alternatively spliced transcript variants encoding different isoforms have been described. [provided by RefSeq, Jul 2008] |
| 应用 | 推荐稀释比例 |
| {IHC-P} | {1:100-500} |
| {IHC-F} | {1:100-500} |
| {IF} | {1:100-500} |

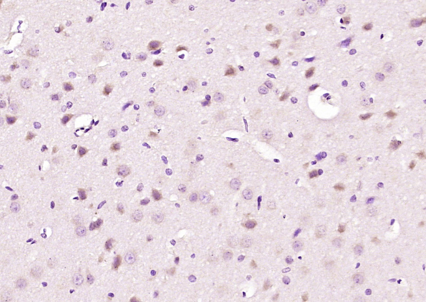
Paraformaldehyde-fixed, paraffin embedded (rat brain); Antigen retrieval by boiling in sodium citrate buffer (pH6.0) for 15min; Block endogenous peroxidase by 3% hydrogen peroxide for 20 minutes; Blocking buffer (normal goat serum) at 37°C for 30min; Antibody incubation with (Nesprin 1) Polyclonal Antibody, Unconjugated (bs-19207R) at 1:200 overnight at 4°C, followed by operating according to SP Kit(Rabbit) (sp-0023) instructionsand DAB staining.
风险提示:丁香通仅作为第三方平台,为商家信息发布提供平台空间。用户咨询产品时请注意保护个人信息及财产安全,合理判断,谨慎选购商品,商家和用户对交易行为负责。对于医疗器械类产品,请先查证核实企业经营资质和医疗器械产品注册证情况。
技术资料暂无技术资料 索取技术资料
Nesprin 1 Rabbit pAb(bs-19207R)-50ul/100ul/200ul
¥1180 - 2800





