相关产品推荐更多 >

H1N1 Hemagglutinin 1 Rabbit pAb(bs-2002R)-50ul/100ul/200ul
¥1180
CORO2B Rabbit pAb, PE conjugated(bs-13997R-PE)-100ul
¥2980
phospho-Bcl2 (Thr69) Rabbit pAb, PE-Cy5 conjugated(bs-12578R-PE-Cy5)-100ul
¥2980
WNT5A Rabbit pAb, APC-Cy5.5 conjugated(bs-1948R-APC-Cy5.5)-100ul
¥2980
HMX1 Rabbit pAb, HRP conjugated(bs-18059R-HRP)-100ul
¥2980
万千商家帮你免费找货
0 人在求购买到急需产品
- 详细信息
- 文献和实验
- 技术资料
- 应用范围:
产品信息以Bioss网站为准
- 规格:
50ul/100ul/200ul
| 规格: | 50ul | 产品价格: | ¥1180.0 |
|---|---|---|---|
| 规格: | 100ul | 产品价格: | ¥1980.0 |
| 规格: | 200ul | 产品价格: | ¥2800.0 |
| 产品编号 | bs-17271R |
| 英文名称 | SCARA5 Rabbit pAb |
| 中文名称 | 清道夫受体A亚型5抗体 |
| 英文别名 | FLJ23907; MGC45780; NET33; SCAR5_HUMAN; SCARA 5; scara5; Scavenger receptor class A member 5; Scavenger receptor class A, member 5(putative); Scavenger receptor class A, member 5; Scavenger receptor hlg; Tesr; Testis expressed scavenger receptor. |
| 产品应用 | WB=1:500-2000, IHC-P=1:100-500, IHC-F=1:100-500, IF=1:100-500 Not yet tested in other applications. |
| 交叉反应 | Mouse (Human, Rat, Cow, Horse) |
| 抗体来源 | Rabbit |
| 免疫原 | KLH conjugated synthetic peptide derived from human SCARA5 |
| 亚型 | IgG |
| 性状 | Liquid |
| 纯化方法 | affinity purified by Protein A |
| 克隆类型 | Polyclonal |
| 理论分子量 | 54 kDa |
| 浓度 | 1mg/ml |
| 储存液 | 0.01M TBS (pH7.4) with 1% BSA, 0.02% Proclin300 and 50% Glycerol. |
| 研究领域 | Metabolism > Pathways and Processes > Cofactors, Vitamins / minerals > Vitamins / minerals Metabolism > Types of disease > Cancer Signal Transduction > Metabolism > Vitamins / Minerals |
| 亚基 | Homotrimer. |
| 亚细胞定位 | Cell membrane. |
| 相似性 | Belongs to the SCARA5 family. Contains 1 collagen-like domain. Contains 1 SRCR domain. |
| 功能 | Ferritin receptor that mediates non-transferrin-dependent delivery of iron. Mediates cellular uptake of ferritin-bound iron by stimulating ferritin endocytosis from the cell surface with consequent iron delivery within the cell. Delivery of iron to cells by ferritin is required for the development of specific cell types, suggesting the existence of cell type-specific mechanisms of iron traffic in organogenesis, which alternatively utilize transferrin or non-transferrin iron delivery pathways. Ferritin mediates iron uptake in capsule cells of the developing kidney. Binds preferrentially ferritin light chain (FTL) compared to heavy chain (FTH1). |
| 保存条件 | Shipped at 4℃. Store at -20℃ for one year. Avoid repeated freeze/thaw cycles. |
| 注意事项 | This product as supplied is intended for research use only, not for use in human, therapeutic or diagnostic applications. |
| 背景资料 | SCARA5 is a 495 amino acid cell membrane protein. SCARA5 is expressed at high levels in testis, with highest levels specifically found in specific populations of epithelial cells and Sertoli cells. SCARA5 forms a homotrimer single-pass type II membrane complex present on the surface of the plasma membrane. Cells transfected with SCARA5 were able to bind particular gram-positive and gram-negative bacteria, suggesting a possible role for SCARA5 in immunity to infection. It has also been suggested that SCARA5 may be involved in transferrin delivery pathways. Expressed as four isoforms produced by alternative splicing, SCARA5 contains one collagen-like domain and one SRCR domain. |
| 应用 | 推荐稀释比例 |
| {WB} | {1:500-2000} |
| {IHC-P} | {1:100-500} |
| {IHC-F} | {1:100-500} |
| {IF} | {1:100-500} |

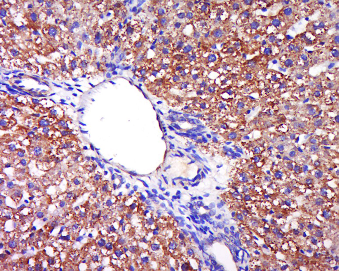
Antigen retrieval: citrate buffer ( 0.01M, pH 6.0 ), Boiling bathing for 15min; Block endogenous peroxidase by 3% Hydrogen peroxide for 30min; Blocking buffer (normal goat serum,C-0005) at 37℃ for 20 min;
Incubation: Anti-SCARA5 Polyclonal Antibody, Unconjugated(bs-17271R) 1:500, overnight at 4°C, followed by conjugation to the secondary antibody(SP-0023) and DAB(C-0010) staining

Heart (Mouse) Lysate at 40 ug
Primary: Anti-SCARA5 (bs-17271R) at 1/300 dilution
Secondary: IRDye800CW Goat Anti-Rabbit IgG at 1/20000 dilution
Predicted band size: 54 kD
Observed band size: 54 kD
风险提示:丁香通仅作为第三方平台,为商家信息发布提供平台空间。用户咨询产品时请注意保护个人信息及财产安全,合理判断,谨慎选购商品,商家和用户对交易行为负责。对于医疗器械类产品,请先查证核实企业经营资质和医疗器械产品注册证情况。
文献和实验[IF={{ 14.1 }}] {Yao Xu. et al. Single-Cell RNA Sequencing Delineates Renal Anti-Fibrotic Mechanisms Mediated by TRPC6 Inhibition. ADV SCI. 2025 Jun 17:e01175} {IF} {Mouse}
= NAL), appears to form upon oxidative cyclization of the nonfluorescent 2:1 lysine-HNE Michael adduct-Schiff base cross-link (Scheme 1). Polyclonal antibody (PAb) to the NAL-HNE fluorophore was raised in rabbit and found to be highly specific
GE Healthcare Benzamidine Sepharose™ 6B is p-aminobenzamidine covalently attached to Sepharose 6B by the epoxy coupling method. p-Aminobenzamidine (PAB), is a synthetic inhibitor of trypsin-like serine protease. Trypsin and trypsin
Nucleic Acid Programmable Protein Arrays: Versatile Tools for Array‐Based Functional Protein Studies
.g., Sigma) 50 mg/ml bis‐sulfosuccinimdylsuberate (BS3 ;Pierce, cat. no. PI 21580) in dimethylsulfoxide (DMSO) 5 mg/ml
技术资料暂无技术资料 索取技术资料






