相关产品推荐更多 >

Anti-human Nectin-4 (Enfortumab Biosimilar)(BIO0053SM)-1mg/5mg/20mg
¥1550
IL-10 Rabbit pAb, AP conjugated(bs-0698R-AP)-100ul
¥2980
SARS-CoV-2 (2019-nCoV) Nucleocapsid Mouse mAb, AP conjugated(bsm-41440M-AP)-100ul
¥2980
phospho-AMPK alpha 1 (Ser496) Recombinant Rabbit mAb(bsm-52132R)-50ul/100ul
¥1400
GLMN Rabbit pAb, AP conjugated(bs-7030R-AP)-100ul
¥2980
万千商家帮你免费找货
0 人在求购买到急需产品
- 详细信息
- 文献和实验
- 技术资料
- 应用范围:
产品信息以Bioss网站为准
- 规格:
50ul/100ul/200ul
| 规格: | 50ul | 产品价格: | ¥1180.0 |
|---|---|---|---|
| 规格: | 100ul | 产品价格: | ¥1980.0 |
| 规格: | 200ul | 产品价格: | ¥2800.0 |
| 产品编号 | bs-16797R |
| 英文名称 | KMT4 Rabbit pAb |
| 中文名称 | 组蛋白H3 K79甲基转移酶抗体 |
| 英文别名 | Disrupter of telomere silencing protein 1; DOT 1; DOT1; DOT1 like; DOT1 like histone H3 methyltransferase(S. cerevisiae); DOT1 like histone H3 methyltransferase; DOT1 like protein; DOT1, S. cerevisiae, homolog of; DOT1L; EC 2.1.1.43; H3 K79 HMTase; Histone H3 K79 methyltransferase; Histone H3 methyltransferase; Histone H3 methyltransferase DOT1-like; Histone lysine N methyltransferase H3 lysine 79 specific; Histone methyltransferase DOT1L; KIAA1814; DOT1L_HUMAN; KMT4; Lysine N methyltransferase 4. |
| 产品应用 | WB=1:500-2000, IHC-P=1:100-500, IHC-F=1:100-500, IF=1:100-500 Not yet tested in other applications. |
| 交叉反应 | Human, Mouse, Rat (Cow, Sheep, African Green Monkey) |
| 抗体来源 | Rabbit |
| 免疫原 | KLH conjugated synthetic peptide derived from human KMT4 |
| 亚型 | IgG |
| 性状 | Liquid |
| 纯化方法 | affinity purified by Protein A |
| 克隆类型 | Polyclonal |
| 理论分子量 | 185 kDa |
| 浓度 | 1mg/ml |
| 储存液 | 0.01M TBS (pH7.4) with 1% BSA, 0.02% Proclin300 and 50% Glycerol. |
| 研究领域 | Epigenetics and Nuclear Signaling > Chromatin Modifying Enzymes > Methylation Epigenetics and Nuclear Signaling > Chromatin Modifying Enzymes > Methylation > Lysine methylation Epigenetics and Nuclear Signaling > DNA / RNA > DNA Damage & Repair > Homologous Recomb. Epigenetics and Nuclear Signaling > DNA / RNA > DNA Damage & Repair > Nucl. Excision Repair |
| 亚基 | Interacts with MLLT10. |
| 亚细胞定位 | Nuclear |
| 相似性 | Belongs to the class I-like SAM-binding methyltransferase superfamily. DOT1 family. Contains 1 DOT1 domain. |
| 功能 | The KMT4 / Dot1 (disruptor of telomeric silencing) family are a class of histone methyltransferases that play an indirect role in chromatin silencing by targeting a conserved lysine residue in the nucleosome core. Biochemical studies suggest that recombinant Dot1 proteins are active on recombinant nucleosomes, free of any modifications. |
| 保存条件 | Shipped at 4℃. Store at -20℃ for one year. Avoid repeated freeze/thaw cycles. |
| 注意事项 | This product as supplied is intended for research use only, not for use in human, therapeutic or diagnostic applications. |
| 背景资料 | The protein encoded by this gene is a histone methyltransferase that methylates lysine-79 of histone H3. It is inactive against free core histones, but shows significant histone methyltransferase activity against nucleosomes. [provided by RefSeq, Aug 2011] |
| 应用 | 推荐稀释比例 |
| {WB} | {1:500-2000} |
| {IHC-P} | {1:100-500} |
| {IHC-F} | {1:100-500} |
| {IF} | {1:100-500} |

Liver (Mouse) Lysate at 40 ug
Liver (Rat) Lysate at 40 ug
Primary: Anti- KMT4 (bs-16797R) at 1/300 dilution
Secondary: IRDye800CW Goat Anti-Rabbit IgG at 1/20000 dilution
Predicted band size: 185 kD
Observed band size: 170 kD

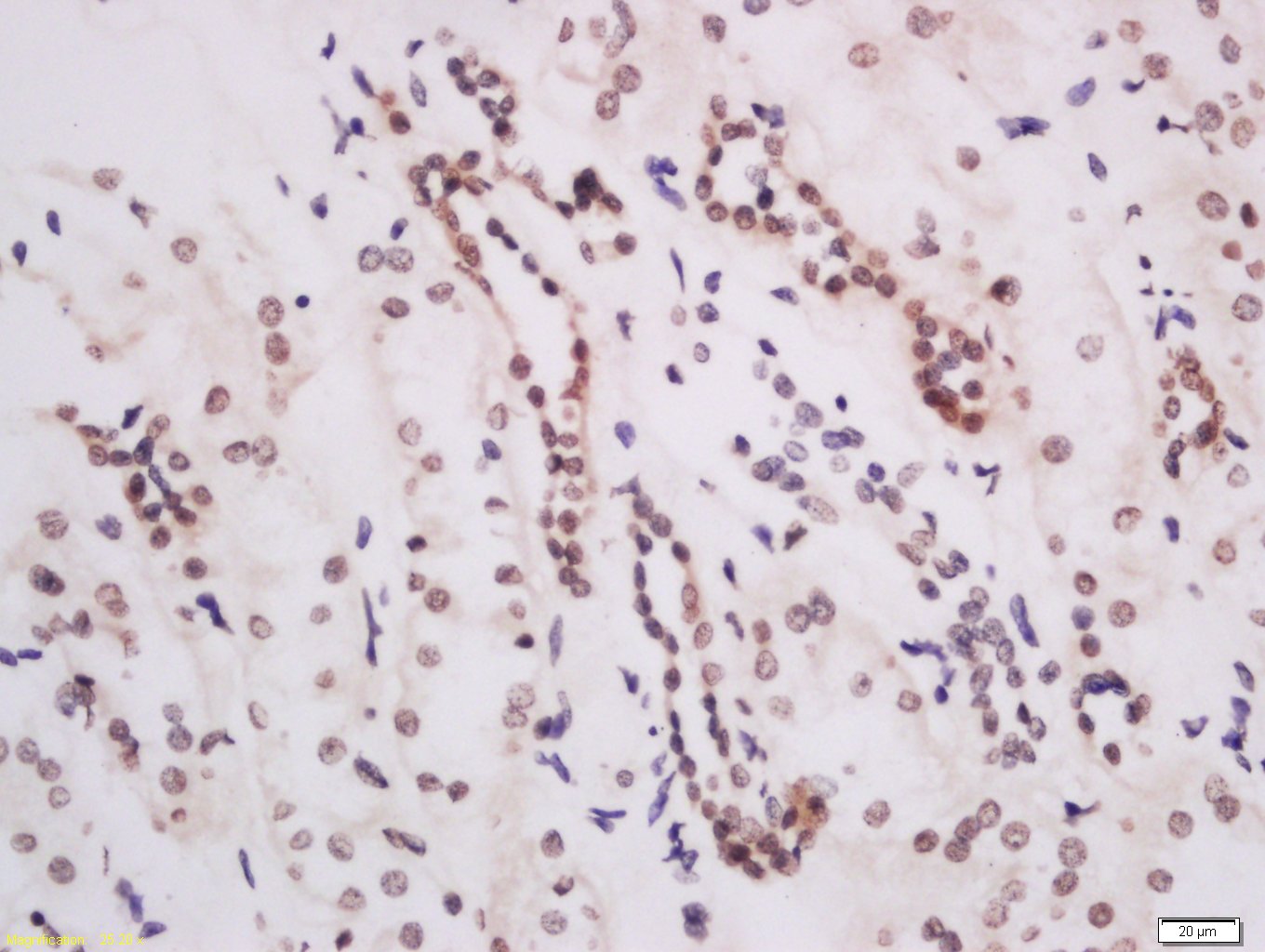
Antigen retrieval: citrate buffer ( 0.01M, pH 6.0 ), Boiling bathing for 15min; Block endogenous peroxidase by 3% Hydrogen peroxide for 30min; Blocking buffer (normal goat serum,C-0005) at 37℃ for 20 min;
Incubation: Anti-KMT4 Polyclonal Antibody, Unconjugated(bs-16797R) 1:200, overnight at 4°C, followed by conjugation to the secondary antibody(SP-0023) and DAB(C-0010) staining
风险提示:丁香通仅作为第三方平台,为商家信息发布提供平台空间。用户咨询产品时请注意保护个人信息及财产安全,合理判断,谨慎选购商品,商家和用户对交易行为负责。对于医疗器械类产品,请先查证核实企业经营资质和医疗器械产品注册证情况。
文献和实验[IF={{ 7.5 }}] {Qiang Tang. et al. Gut bacterial L-lysine alters metabolism and histone methylation to drive dendritic cell tolerance. CELL REP. 2025 Jan;44:} {IF} {Human,Mouse}
= NAL), appears to form upon oxidative cyclization of the nonfluorescent 2:1 lysine-HNE Michael adduct-Schiff base cross-link (Scheme 1). Polyclonal antibody (PAb) to the NAL-HNE fluorophore was raised in rabbit and found to be highly specific
GE Healthcare Benzamidine Sepharose™ 6B is p-aminobenzamidine covalently attached to Sepharose 6B by the epoxy coupling method. p-Aminobenzamidine (PAB), is a synthetic inhibitor of trypsin-like serine protease. Trypsin and trypsin
Nucleic Acid Programmable Protein Arrays: Versatile Tools for Array‐Based Functional Protein Studies
.g., Sigma) 50 mg/ml bis‐sulfosuccinimdylsuberate (BS3 ;Pierce, cat. no. PI 21580) in dimethylsulfoxide (DMSO) 5 mg/ml
技术资料暂无技术资料 索取技术资料






