相关产品推荐更多 >

CXCL13 Rabbit pAb, PerCP-Cy7 conjugated(bs-2553R-PerCP-Cy7)-100ul
¥2980
Glucocorticoid Receptor Rabbit pAb, RBITC conjugated(bs-13385R-RBITC)-100ul
¥2980
FAM63A Rabbit pAb(bs-11004R)-50ul/100ul/200ul
¥1180
CDH18 Rabbit pAb(bs-11073R)-50ul/100ul/200ul
¥1180
VEGFA Mouse mAb(bsm-4572M)-50ul/100ul/200ul/200ug
¥1180
万千商家帮你免费找货
0 人在求购买到急需产品
- 详细信息
- 文献和实验
- 技术资料
- 应用范围:
产品信息以Bioss网站为准
- 规格:
50ul/100ul/200ul
| 规格: | 50ul | 产品价格: | ¥1180.0 |
|---|---|---|---|
| 规格: | 100ul | 产品价格: | ¥1980.0 |
| 规格: | 200ul | 产品价格: | ¥2800.0 |
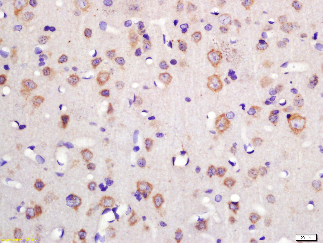
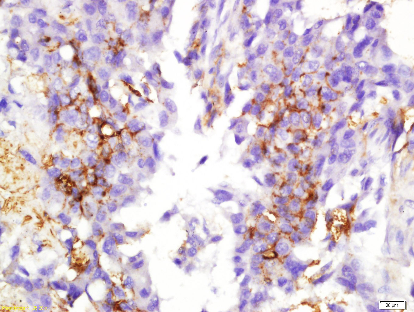
| 产品编号 | bs-10425R |
| 英文名称 | TSPAN12 Rabbit pAb |
| 中文名称 | 四分子交联体12/四旋蛋白抗体 |
| 英文别名 | TSPAN 12; NET 2; NET2; Tetraspan NET 2; Tetraspanin 12; Tetraspanin12; TM4SF12; Transmembrane 4 superfamily member 12; TSN12_HUMAN. |
| 产品应用 | IHC-P=1:100-500, IHC-F=1:100-500, IF=1:100-500 Not yet tested in other applications. |
| 交叉反应 | Human, Rat (Mouse, Chicken, Pig, Cow, Horse, Rabbit) |
| 抗体来源 | Rabbit |
| 免疫原 | KLH conjugated synthetic peptide derived from human TSPAN12 |
| 亚型 | IgG |
| 性状 | Liquid |
| 纯化方法 | affinity purified by Protein A |
| 克隆类型 | Polyclonal |
| 理论分子量 | 35 kDa |
| 浓度 | 1mg/ml |
| 储存液 | 0.01M TBS (pH7.4) with 1% BSA, 0.02% Proclin300 and 50% Glycerol. |
| 研究领域 | Cell Biology > Proteolysis / Ubiquitin > Proteolytic enzymes > Metalloprotease > ADAMs Cell Biology > Proteolysis / Ubiquitin > Proteolytic enzymes > Metalloprotease > MMPs Neuroscience > Neurology process > Neurodegenerative disease > Alzheimer's disease > Amyloid Neuroscience > Sensory System > Visual system |
| 亚基 | Component of a complex, at least composed of TSPAN12, FZD4 and norrin (NDP). Interacts (when palmitoylated) with ADAM10. Interacts with MMP14/MT1-MMP. |
| 亚细胞定位 | Cell membrane; Multi-pass membrane protein. |
| 翻译后修饰 | Palmitoylated; required for interaction with ADAM10. The precise position of palmitoylated residues is unclear and occurs either on Cys-9, Cys-12 and/or Cys-83. |
| 相似性 | Belongs to the tetraspanin (TM4SF) family. |
| 功能 | Regulator of cell surface receptor signal transduction. Plays a central role in retinal vascularization by regulating norrin (NDP) signal transduction. Acts in concert with norrin (NDP) to promote FZD4 multimerization and subsequent activation of FZD4, leading to promote accumulation of beta-catenin (CTNNB1) and stimulate LEF/TCF-mediated transcriptional programs. Suprisingly, it only activate the norrin (NDP)-dependent activation of FZD4, while it does not activate the Wnt-dependent activation of FZD4, suggesting the existence of a Wnt-independent signaling that also promote accumulation the beta-catenin (CTNNB1) (By similarity). Acts as a regulator of membrane proteinases such as ADAM10 and MMP14/MT1-MMP. Activates ADAM10-dependent cleavage activity of amyloid precursor protein (APP). Activates MMP14/MT1-MMP-dependent cleavage activity. |
| 保存条件 | Shipped at 4℃. Store at -20℃ for one year. Avoid repeated freeze/thaw cycles. |
| 注意事项 | This product as supplied is intended for research use only, not for use in human, therapeutic or diagnostic applications. |
| 背景资料 | The protein encoded by this gene is a member of the transmembrane 4 superfamily, also known as the tetraspanin family. Most of these members are cell-surface proteins that are characterized by the presence of four hydrophobic domains. The proteins mediate signal transduction events that play a role in the regulation of cell development, activation, growth and motility. [provided by RefSeq, Jul 2008] |
| 应用 | 推荐稀释比例 |
| {IHC-P} | {1:100-500} |
| {IHC-F} | {1:100-500} |
| {IF} | {1:100-500} |

Antigen retrieval: citrate buffer ( 0.01M, pH 6.0 ), Boiling bathing for 15min; Block endogenous peroxidase by 3% Hydrogen peroxide for 30min; Blocking buffer (normal goat serum,C-0005) at 37℃ for 20 min;
Incubation: Anti-TSPAN12 Polyclonal Antibody, Unconjugated(bs-10425R) 1:200, overnight at 4°C, followed by conjugation to the secondary antibody(SP-0023) and DAB(C-0010) staining

Antigen retrieval: citrate buffer ( 0.01M, pH 6.0 ), Boiling bathing for 15min; Block endogenous peroxidase by 3% Hydrogen peroxide for 30min; Blocking buffer (normal goat serum,C-0005) at 37℃ for 20 min;
Incubation: Anti-TSPAN12 Polyclonal Antibody, Unconjugated(bs-10425R) 1:200, overnight at 4°C, followed by conjugation to the secondary antibody(SP-0023) and DAB(C-0010) staining
风险提示:丁香通仅作为第三方平台,为商家信息发布提供平台空间。用户咨询产品时请注意保护个人信息及财产安全,合理判断,谨慎选购商品,商家和用户对交易行为负责。对于医疗器械类产品,请先查证核实企业经营资质和医疗器械产品注册证情况。
文献和实验= NAL), appears to form upon oxidative cyclization of the nonfluorescent 2:1 lysine-HNE Michael adduct-Schiff base cross-link (Scheme 1). Polyclonal antibody (PAb) to the NAL-HNE fluorophore was raised in rabbit and found to be highly specific
GE Healthcare Benzamidine Sepharose™ 6B is p-aminobenzamidine covalently attached to Sepharose 6B by the epoxy coupling method. p-Aminobenzamidine (PAB), is a synthetic inhibitor of trypsin-like serine protease. Trypsin and trypsin
Nucleic Acid Programmable Protein Arrays: Versatile Tools for Array‐Based Functional Protein Studies
.g., Sigma) 50 mg/ml bis‐sulfosuccinimdylsuberate (BS3 ;Pierce, cat. no. PI 21580) in dimethylsulfoxide (DMSO) 5 mg/ml
技术资料暂无技术资料 索取技术资料






