相关产品推荐更多 >

NIPSNAP1 Rabbit pAb(bs-19252R)-50ul/100ul/200ul
¥1180
CDKN1B/p27 KIP 1 Mouse mAb(bsm-33425M)-50ul/100ul/200ul/200ug
¥1180
Mesothelin Recombinant Rabbit mAb(bsm-60005R)-50ul/100ul/25ul
¥800
CXorf56 Rabbit pAb, AP conjugated(bs-9550R-AP)-100ul
¥2980
PCGF1 Rabbit pAb, Biotin conjugated(bs-4958R-Bio)-100ul
¥2980
万千商家帮你免费找货
0 人在求购买到急需产品
- 详细信息
- 技术资料
- 应用范围:
产品信息以Bioss网站为准
- 规格:
50ul/100ul/200ul
| 规格: | 50ul | 产品价格: | ¥1180.0 |
|---|---|---|---|
| 规格: | 100ul | 产品价格: | ¥1980.0 |
| 规格: | 200ul | 产品价格: | ¥2800.0 |
| 产品编号 | bs-14669R |
| 英文名称 | EXOSC6 Rabbit pAb |
| 中文名称 | EXOSC6蛋白抗体 |
| 英文别名 | EAP4; Exosome component 6; hMtr3; hMtr3p; EXOS6_HUMAN; homolog of yeast mRNA transport regulator 3; Mtr3(mRNA transport regulator 3)-homolog; MTR3; Mtr3p; p11. |
| 产品应用 | IHC-P=1:100-500, IHC-F=1:100-500, IF=1:100-500 Not yet tested in other applications. |
| 交叉反应 | Mouse (Human, Rat, Dog, Pig, Cow) |
| 抗体来源 | Rabbit |
| 免疫原 | KLH conjugated synthetic peptide derived from human EXOSC6 |
| 亚型 | IgG |
| 性状 | Liquid |
| 纯化方法 | affinity purified by Protein A |
| 克隆类型 | Polyclonal |
| 理论分子量 | 28 kDa |
| 浓度 | 1mg/ml |
| 储存液 | 0.01M TBS (pH7.4) with 1% BSA, 0.02% Proclin300 and 50% Glycerol. |
| 亚基 | Component of the RNA exosome complex. Specifically part of the catalytically inactive RNA exosome core (Exo-9) complex which is believed to associate with catalytic subunits EXOSC10, and DIS3 or DIS3L in cytoplasmic- and nuclear-specific RNA exosome complex forms. Exo-9 is formed by a hexameric ring of RNase PH domain-containing subunits specifically containing the heterodimers EXOSC4-EXOSC9, EXOSC5-EXOSC8 and EXOSC6-EXOSC7, and peripheral S1 domain-containing components EXOSC1, EXOSC2 and EXOSC3 located on the top of the ring structure. |
| 亚细胞定位 | Cytoplasm (Probable). Nucleus, nucleolus (Probable). Nucleus (Probable). |
| 相似性 | Belongs to the RNase PH family. |
| 功能 | EXOSC6 constitutes one of the subunits of the multisubunit particle called exosome, which mediates mRNA degradation. The composition of human exosome is similar to its yeast counterpart. This protein is homologous to the yeast Mtr3 protein. Its exact function is not known; however, it has been shown using a cell-free RNA decay system that the exosome is required for rapid degradation of unstable mRNAs containing AU-rich elements (AREs), but not for poly(A) shortening. The exosome does not recognize ARE-containing mRNAs on its own, but requires ARE-binding proteins that could interact with the exosome and recruit it to unstable mRNAs, thereby promoting their rapid degradation. |
| 保存条件 | Shipped at 4℃. Store at -20℃ for one year. Avoid repeated freeze/thaw cycles. |
| 注意事项 | This product as supplied is intended for research use only, not for use in human, therapeutic or diagnostic applications. |
| 背景资料 | This gene product constitutes one of the subunits of the multisubunit particle called exosome, which mediates mRNA degradation. The composition of human exosome is similar to its yeast counterpart. This protein is homologous to the yeast Mtr3 protein. Its exact function is not known, however, it has been shown using a cell-free RNA decay system that the exosome is required for rapid degradation of unstable mRNAs containing AU-rich elements (AREs), but not for poly(A) shortening. The exosome does not recognize ARE-containing mRNAs on its own, but requires ARE-binding proteins that could interact with the exosome and recruit it to unstable mRNAs, thereby promoting their rapid degradation. [provided by RefSeq, Jul 2008] |
| 应用 | 推荐稀释比例 |
| {IHC-P} | {1:100-500} |
| {IHC-F} | {1:100-500} |
| {IF} | {1:100-500} |

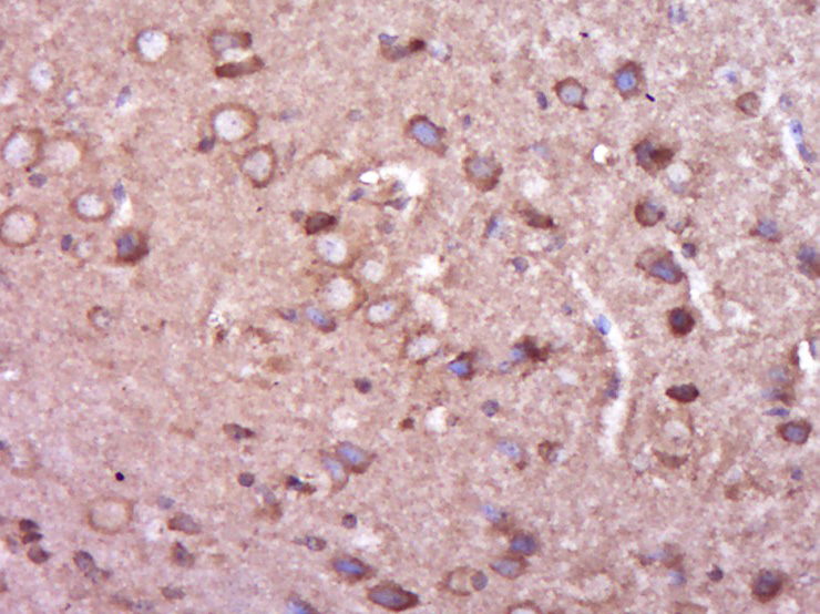
Paraformaldehyde-fixed, paraffin embedded (Mouse brain); Antigen retrieval by boiling in sodium citrate buffer (pH6.0) for 15min; Block endogenous peroxidase by 3% hydrogen peroxide for 20 minutes; Blocking buffer (normal goat serum) at 37°C for 30min; Antibody incubation with (EXOSC6) Polyclonal Antibody, Unconjugated (bs-14669R) at 1:400 overnight at 4°C, followed by operating according to SP Kit(Rabbit) (sp-0023) instructionsand DAB staining.
风险提示:丁香通仅作为第三方平台,为商家信息发布提供平台空间。用户咨询产品时请注意保护个人信息及财产安全,合理判断,谨慎选购商品,商家和用户对交易行为负责。对于医疗器械类产品,请先查证核实企业经营资质和医疗器械产品注册证情况。
技术资料暂无技术资料 索取技术资料
EXOSC6 Rabbit pAb(bs-14669R)-50ul/100ul/200ul
¥1180 - 2800





