相关产品推荐更多 >

GALE Rabbit pAb(bs-13265R)-50ul/100ul/200ul
¥1180
IL-1 Beta Rabbit pAb(bs-0812R)-50ul/100ul/200ul
¥1180
GABR B3 Rabbit pAb, BF405 conjugated(bs-8544R-BF405)-100ul
¥2980
phospho-STAT3 (Tyr705) Rabbit pAb(bs-1658R)-50ul/100ul/200ul
¥1180
c-Kit Rabbit pAb, PerCP-Cy5.5 conjugated(bs-10005R-PerCP-Cy5.5)-100ul
¥2980
万千商家帮你免费找货
0 人在求购买到急需产品
- 详细信息
- 文献和实验
- 技术资料
- 应用范围:
产品信息以Bioss网站为准
- 规格:
50ul/100ul/200ul
| 规格: | 50ul | 产品价格: | ¥1180.0 |
|---|---|---|---|
| 规格: | 100ul | 产品价格: | ¥1980.0 |
| 规格: | 200ul | 产品价格: | ¥2800.0 |
| 产品编号 | bs-10219R |
| 英文名称 | Agrin Rabbit pAb |
| 中文名称 | 聚集蛋白抗体 |
| 英文别名 | AGRIN; Agrin proteoglycan; AGRN; FLJ45064; OTTHUMP00000044043; AGRIN_HUMAN; AGRIN_HUMAN. |
| 产品应用 | IHC-P=1:100-500, IHC-F=1:100-500, IF=1:100-500 Not yet tested in other applications. |
| 交叉反应 | Mouse (Human, Cow, Sheep) |
| 抗体来源 | Rabbit |
| 免疫原 | KLH conjugated synthetic peptide derived from human Agrin |
| 亚型 | IgG |
| 性状 | Liquid |
| 纯化方法 | affinity purified by Protein A |
| 克隆类型 | Polyclonal |
| 理论分子量 | 213 kDa |
| 浓度 | 1mg/ml |
| 储存液 | 0.01M TBS (pH7.4) with 1% BSA, 0.02% Proclin300 and 50% Glycerol. |
| 研究领域 | Neuroscience > Cell Adhesion Proteins > ECM Proteins Neuroscience > Cell Type Marker > Neuron marker > Growth Cone Neuroscience > Neurology process > Neural Signal Transduction |
| 亚基 | Interacts with LRP4; the interaction is direct and recruits AGRIN to the MUSK signaling complex composed at least of MUSK and LRP4 (By similarity). Binds to laminin. |
| 亚细胞定位 | Secreted, extracellular space, extracellular matrix. Note=Synaptic basal lamina at the neuromuscular junction. |
| 组织特异性 | Detected on the aortic endothelium (at protein level). |
| 翻译后修饰 | Contains heparan sulfate chains as well as N-linked and O-linked oligosaccharides. 0-fucosylation of EGF repeat 4 of muscle AGRN by POFUT1 prevents its ability to form AChR clusters. |
| 相似性 | Contains 4 EGF-like domains. Contains 9 Kazal-like domains. Contains 2 laminin EGF-like domains. Contains 3 laminin G-like domains. Contains 1 NtA (N-terminal agrin) domain. Contains 1 SEA domain. |
| 功能 | Plays a central role in the formation and the maintenance of the neuromuscular junction (NMJ), the synapse between motor neuron and skeletal muscle. Ligand of the MUSK signaling complex that directly binds LRP4 in this complex and induces the phosphorylation of MUSK, the kinase of the complex. The activation of MUSK in myotubes induces the formation of NMJ by regulating different processes including the transcription of specific genes and the clustering of AChR in the postsynaptic membrane. |
| 保存条件 | Shipped at 4℃. Store at -20℃ for one year. Avoid repeated freeze/thaw cycles. |
| 注意事项 | This product as supplied is intended for research use only, not for use in human, therapeutic or diagnostic applications. |
| 背景资料 | This gene encodes one of several proteins that are critical in the development of the neuromuscular junction (NMJ), as identified in mouse knock-out studies. The encoded protein contains several laminin G, Kazal type serine protease inhibitor, and epidermal growth factor domains. Additional post-translational modifications occur to add glycosaminoglycans and disulfide bonds. In one family with congenital myasthenic syndrome affecting limb-girdle muscles, a mutation in this gene was found. [provided by RefSeq, Aug 2011]. |
| 应用 | 推荐稀释比例 |
| {IHC-P} | {1:100-500} |
| {IHC-F} | {1:100-500} |
| {IF} | {1:100-500} |

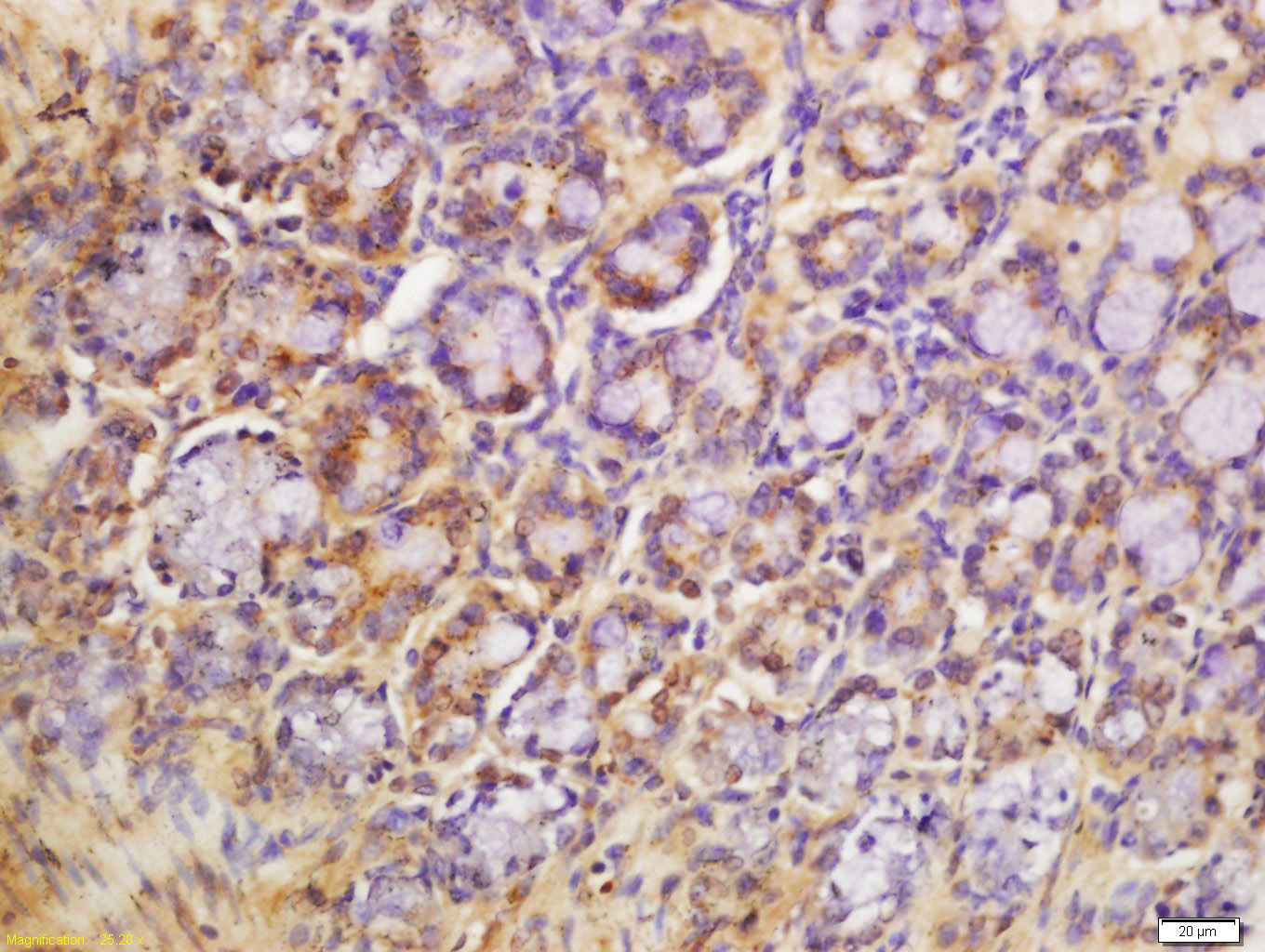
Antigen retrieval: citrate buffer ( 0.01M, pH 6.0 ), Boiling bathing for 15min; Block endogenous peroxidase by 3% Hydrogen peroxide for 30min; Blocking buffer (normal goat serum,C-0005) at 37℃ for 20 min;
Incubation: Anti-Agrin Polyclonal Antibody, Unconjugated(bs-10219R) 1:200, overnight at 4°C, followed by conjugation to the secondary antibody(SP-0023) and DAB(C-0010) staining
风险提示:丁香通仅作为第三方平台,为商家信息发布提供平台空间。用户咨询产品时请注意保护个人信息及财产安全,合理判断,谨慎选购商品,商家和用户对交易行为负责。对于医疗器械类产品,请先查证核实企业经营资质和医疗器械产品注册证情况。
文献和实验= NAL), appears to form upon oxidative cyclization of the nonfluorescent 2:1 lysine-HNE Michael adduct-Schiff base cross-link (Scheme 1). Polyclonal antibody (PAb) to the NAL-HNE fluorophore was raised in rabbit and found to be highly specific
GE Healthcare Benzamidine Sepharose™ 6B is p-aminobenzamidine covalently attached to Sepharose 6B by the epoxy coupling method. p-Aminobenzamidine (PAB), is a synthetic inhibitor of trypsin-like serine protease. Trypsin and trypsin
Nucleic Acid Programmable Protein Arrays: Versatile Tools for Array‐Based Functional Protein Studies
.g., Sigma) 50 mg/ml bis‐sulfosuccinimdylsuberate (BS3 ;Pierce, cat. no. PI 21580) in dimethylsulfoxide (DMSO) 5 mg/ml
技术资料暂无技术资料 索取技术资料





