相关产品推荐更多 >

NKB Rabbit pAb, RBITC conjugated(bs-0070R-RBITC)-100ul
¥2980
DUSP5 Recombinant Rabbit mAb(bsm-60646R)-50ul/100ul/25ul
¥800
phospho-Bcl2 (Thr69) Rabbit pAb, Cy7 conjugated(bs-12578R-Cy7)-100ul
¥2980
Lamin B2 Rabbit pAb, Biotin conjugated(bs-11132R-Bio)-100ul
¥2980
DZIP1 Rabbit pAb(bs-13594R)-50ul/100ul/200ul
¥1180
万千商家帮你免费找货
0 人在求购买到急需产品
- 详细信息
- 技术资料
- 应用范围:
产品信息以Bioss网站为准
- 规格:
50ul/100ul/200ul
| 规格: | 50ul | 产品价格: | ¥1180.0 |
|---|---|---|---|
| 规格: | 100ul | 产品价格: | ¥1980.0 |
| 规格: | 200ul | 产品价格: | ¥2800.0 |
| 产品编号 | bs-9467R |
| 英文名称 | Dishevelled 3 Rabbit pAb |
| 中文名称 | DVL3蛋白抗体 |
| 英文别名 | Segment polarity protein dishevelled homolog DVL 3; Dishevelled 3(homologous to Drosophila dsh); Dishevelled 3; Dishevelled 3, dsh homolog(Drosophila); Dishevelled, dsh homolog 3(Drosophila); Dishevelled-3; DSH homolog 3; DVL-3; dvl3; DVL 3; DVL3_HUMAN; Segment polarity protein dishevelled homolog DVL-3. |
| 产品应用 | IHC-P=1:100-500, IHC-F=1:100-500, IF=1:100-500 Not yet tested in other applications. |
| 交叉反应 | Rat (Human, Mouse, Chicken, Dog, Pig, Cow, Sheep) |
| 抗体来源 | Rabbit |
| 免疫原 | KLH conjugated synthetic peptide derived from human Dishevelled 3/DVL3 |
| 亚型 | IgG |
| 性状 | Liquid |
| 纯化方法 | affinity purified by Protein A |
| 克隆类型 | Polyclonal |
| 理论分子量 | 78 kDa |
| 浓度 | 1mg/ml |
| 储存液 | 0.01M TBS (pH7.4) with 1% BSA, 0.02% Proclin300 and 50% Glycerol. |
| 研究领域 | Cardiovascular > Heart > Cardiogenesis > Cardiomyocyte precursors Neuroscience > Neurology process > Neurogenesis Stem Cells > Signaling Pathways > Notch > Cytoplasmic Stem Cells > Signaling Pathways > Wnt > Cytoplasmic |
| 亚基 | Interacts (via the PDZ domain) with the C-terminal regions of VANGL1 and VANGL2 (By similarity). Interacts (via the region containing both the PDZ and DEP domains) with LRRFIP2; the DIX domain may inhibit this interaction. Interacts with CYLD, CEP164 and DAB2. |
| 亚细胞定位 | Cytoplasm. |
| 翻译后修饰 | Ubiquitinated. Deubiquitinated by CYLD, which acts on 'Lys-63'-linked ubiquitin chains. Phosphorylated by CSNK1D. |
| 相似性 | Belongs to the DSH family. Contains 1 DEP domain. Contains 1 DIX domain. Contains 1 PDZ (DHR) domain. |
| 功能 | May play a role in the signal transduction pathway mediated by multiple Wnt genes. |
| 保存条件 | Shipped at 4℃. Store at -20℃ for one year. Avoid repeated freeze/thaw cycles. |
| 注意事项 | This product as supplied is intended for research use only, not for use in human, therapeutic or diagnostic applications. |
| 背景资料 | Mammalian homologs of the Drosophila dishevelled (Dsh) gene have been identified, including Dvl-1, Dvl-2 and Dvl-3. The mammalian dishevelled proteins contain three homologous domains, two of which are unrelated to any other known protein. The third region is homologous to the discs-large homology domain of Drosophila discs-large-1, a tumor suppressor protein. Like their Drosophila counterpart, the dishevelled proteins are thought to be in-volved in embryogenesis. Overexpression of Dvl-1 has been shown to inhibit the phosphorylation of tau by GSK-3b. This finding may prove to be important in Alzheimer’s studies, which have shown that tau is hyperphosphorylated. In Drosophila, Dsh is a component of the frizzled signaling pathway. Both mammalian dishevelled and frizzled proteins are components of the Wnt signalling pathway. |
| 应用 | 推荐稀释比例 |
| {IHC-P} | {1:100-500} |
| {IHC-F} | {1:100-500} |
| {IF} | {1:100-500} |

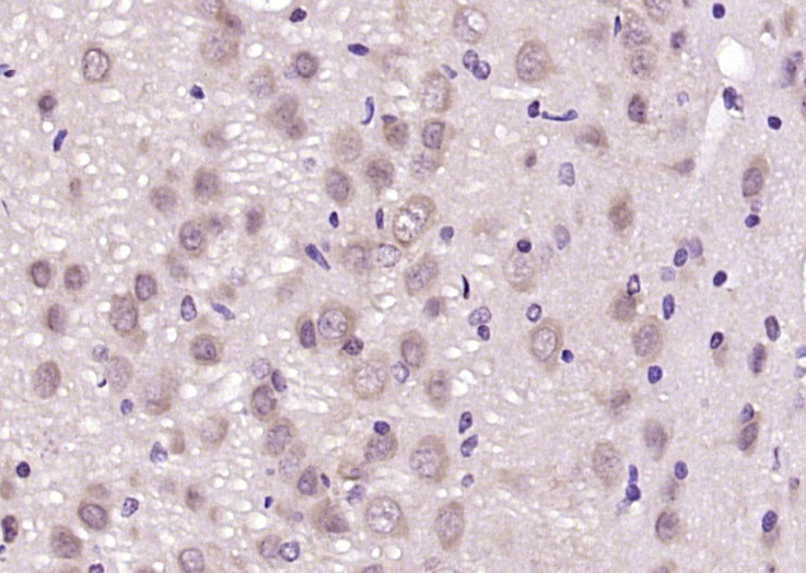
Paraformaldehyde-fixed, paraffin embedded (rat brain); Antigen retrieval by boiling in sodium citrate buffer (pH6.0) for 15min; Block endogenous peroxidase by 3% hydrogen peroxide for 20 minutes; Blocking buffer (normal goat serum) at 37°C for 30min; Antibody incubation with (Dishevelled 3) Polyclonal Antibody, Unconjugated (bs-9467R) at 1:200 overnight at 4°C, followed by operating according to SP Kit(Rabbit) (sp-0023) instructionsand DAB staining.
风险提示:丁香通仅作为第三方平台,为商家信息发布提供平台空间。用户咨询产品时请注意保护个人信息及财产安全,合理判断,谨慎选购商品,商家和用户对交易行为负责。对于医疗器械类产品,请先查证核实企业经营资质和医疗器械产品注册证情况。
技术资料暂无技术资料 索取技术资料
Dishevelled 3 Rabbit pAb(bs-9467R)-50ul/100ul/200ul
¥1180 - 2800





