相关产品推荐更多 >
万千商家帮你免费找货
0 人在求购买到急需产品
- 详细信息
- 文献和实验
- 技术资料
- 应用范围:
产品信息以Bioss网站为准
- 规格:
50ul/100ul/200ul
| 规格: | 50ul | 产品价格: | ¥1180.0 |
|---|---|---|---|
| 规格: | 100ul | 产品价格: | ¥1980.0 |
| 规格: | 200ul | 产品价格: | ¥2800.0 |
| 产品编号 | bs-6476R |
| 英文名称 | ACF1 Rabbit pAb |
| 中文名称 | 溴区结构域相邻锌指蛋白1A抗体 |
| 英文别名 | BAZ1A; Acf1; ACF1, drosophila, homolog of antibody ATP dependent chromatin remodelling protein; ATP utilizing chromatin assembly and remodeling factor 1; ATP-dependent chromatin-remodeling protein; ATP-utilizing chromatin assembly and remodeling factor 1; Baz1a; BAZ1A_HUMAN; Bromodomain adjacent to zinc finger domain 1A; Bromodomain adjacent to zinc finger domain protein 1A; cbp146; CHRAC subunit ACF1; Gtl5. |
| 产品应用 | IHC-P=1:100-500, IHC-F=1:100-500, IF=1:100-500 Not yet tested in other applications. |
| 交叉反应 | Rat (Human, Mouse, Dog, Pig, Cow, Rabbit) |
| 抗体来源 | Rabbit |
| 免疫原 | KLH conjugated synthetic peptide derived from human ATP utilizing chromatin assembly and remodeling factor 1 |
| 亚型 | IgG |
| 性状 | Liquid |
| 纯化方法 | affinity purified by Protein A |
| 克隆类型 | Polyclonal |
| 理论分子量 | 171 kDa |
| 浓度 | 1mg/ml |
| 储存液 | 0.01M TBS (pH7.4) with 1% BSA, 0.02% Proclin300 and 50% Glycerol. |
| 研究领域 | Epigenetics and Nuclear Signaling > Transcription > Domain Families > Zinc Finger |
| 亚基 | Component of the ACF chromatin remodeling complex that includes BAZ1A and SMARCA5. Additional this complex can form, together with CHRAC1 and POLE1, the histone-fold protein complex, CHRAC. Interacts with NCOR1 (via its RD1 domain); the interaction corepresses a number of NCOR1-regulated genes. |
| 亚细胞定位 | Nucleus. May target the CHRAC complex to heterochromatin. |
| 组织特异性 | Highly expressed in testis and at low or undetectable levels in other tissues analyzed. |
| 相似性 | Belongs to the WAL family. Contains 1 bromo domain. Contains 1 DDT domain. Contains 1 PHD-type zinc finger. Contains 1 WAC domain. |
| 功能 | Component of the ACF complex, an ATP-dependent chromatin remodeling complex, that regulates spacing of nucleosomes using ATP to generate evenly spaced nucleosomes along the chromatin. The ATPase activity of the complex is regulated by the length of flanking DNA. Also involved in facilitating the DNA replication process. BAZ1A is the accessory, non-catalytic subunit of the complex which can enhance and direct the process provided by the ATPase subunit, SMARCA5, probably through targeting pericentromeric heterochromatin in late S phase. Moves end-positioned nucleosomes to a predominantly central position. May have a role in nuclear receptor-mediated transcription repression. |
| 保存条件 | Shipped at 4℃. Store at -20℃ for one year. Avoid repeated freeze/thaw cycles. |
| 注意事项 | This product as supplied is intended for research use only, not for use in human, therapeutic or diagnostic applications. |
| 背景资料 | Component of the ACF complex, an ATP-dependent chromatin remodeling complex, that regulates spacing of nucleosomes using ATP to generate evenly spaced nucleosomes along the chromatin. The ATPase activity of the complex is regulated by the length of flanking DNA. Also involved in facilitating the DNA replication process. BAZ1A is the accessory, non-catalytic subunit of the complex which can enhance and direct the process provided by the ATPase subunit, SMARCA5, probably through targeting pericentromeric heterochromatin in late S phase. Moves end-positioned nucleosomes to a predominantly central position. May have a role in nuclear receptor-mediated transcription repression.Component of the histone-fold protein complex CHRAC complex which faciliates nucleosome sliding by the ACF complex and enhances ACF-mediated chromatin assembly. The C-terminal regions of both CHRAC1 and POLE1 are required for these functions. |
| 应用 | 推荐稀释比例 |
| {IHC-P} | {1:100-500} |
| {IHC-F} | {1:100-500} |
| {IF} | {1:100-500} |

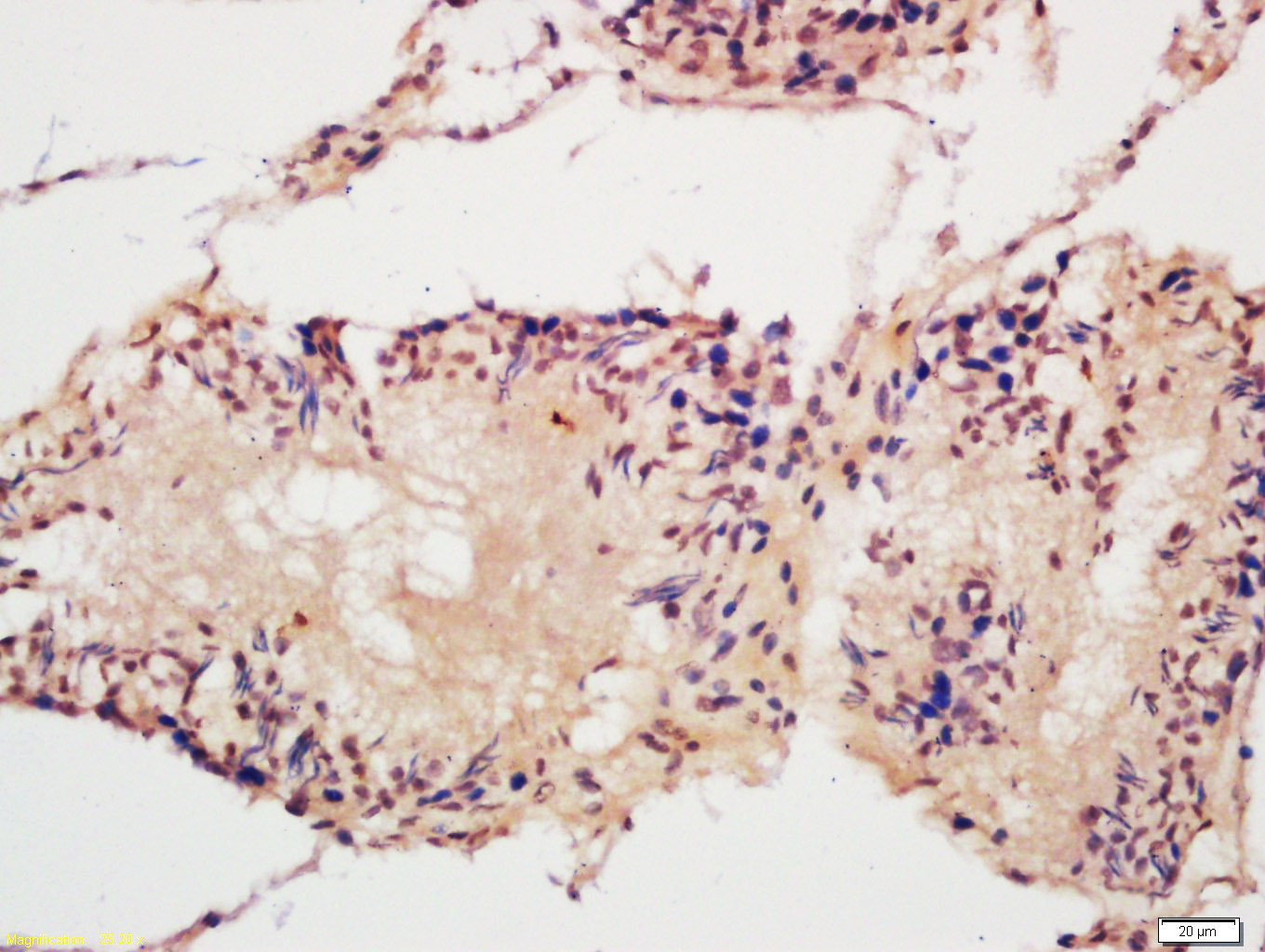
Antigen retrieval: citrate buffer ( 0.01M, pH 6.0 ), Boiling bathing for 15min; Block endogenous peroxidase by 3% Hydrogen peroxide for 30min; Blocking buffer (normal goat serum,C-0005) at 37℃ for 20 min;
Incubation: Anti-ACF1 Polyclonal Antibody, Unconjugated(bs-6476R) 1:200, overnight at 4°C, followed by conjugation to the secondary antibody(SP-0023) and DAB(C-0010) staining
风险提示:丁香通仅作为第三方平台,为商家信息发布提供平台空间。用户咨询产品时请注意保护个人信息及财产安全,合理判断,谨慎选购商品,商家和用户对交易行为负责。对于医疗器械类产品,请先查证核实企业经营资质和医疗器械产品注册证情况。
文献和实验= NAL), appears to form upon oxidative cyclization of the nonfluorescent 2:1 lysine-HNE Michael adduct-Schiff base cross-link (Scheme 1). Polyclonal antibody (PAb) to the NAL-HNE fluorophore was raised in rabbit and found to be highly specific
Characterization and Validation of Cre‐Driver Mouse Lines
transgenic expression in immature and differentiated epithelial cells of small and large intestines. J. Biol. Chem. 274:6476‐6482. Rajewsky, K., Gu, H., Kuhn, R., Betz, U
GE Healthcare Benzamidine Sepharose™ 6B is p-aminobenzamidine covalently attached to Sepharose 6B by the epoxy coupling method. p-Aminobenzamidine (PAB), is a synthetic inhibitor of trypsin-like serine protease. Trypsin and trypsin
技术资料暂无技术资料 索取技术资料









