相关产品推荐更多 >

SLC25A40 Rabbit pAb, HRP conjugated(bs-21236R-HRP)-100ul
¥2980
MMP2 Rabbit pAb, BF750 conjugated(bs-0412R-BF750)-100ul
¥2980
Human S100B Mouse mAb(bsm-41680M)-100ug/200ug
¥2500
LINGO1 Rabbit pAb(bs-1177R)-50ul/100ul/200ul
¥1180
Anti-human ERBB1 / EGFR / HER1 (Matuzumab Biosimilar)(BIO0572SM)-1mg/5mg/20mg
¥3200
万千商家帮你免费找货
0 人在求购买到急需产品
- 详细信息
- 文献和实验
- 技术资料
- 应用范围:
产品信息以Bioss网站为准
- 规格:
50ul/100ul
| 规格: | 50ul | 产品价格: | ¥1180.0 |
|---|---|---|---|
| 规格: | 100ul | 产品价格: | ¥1980.0 |
| 产品编号 | bs-8503R |
| 英文名称 | S100A10 Rabbit pAb |
| 中文名称 | S100钙结合蛋白A10抗体 |
| 英文别名 | Alternative names42C; Annexin II ligand; Annexin II ligand, calpactin I, light polypeptide; Annexin II, light chain; ANX2L; ANX2LG; CAL12; CAL1L; Calpactin I light chain; Calpactin I, p11 subunit; Calpactin-1 light chain; Cellular ligand of annexin II; CLP11; GP11; Nerve growth factor-induced protein 42C; p10 antibody p10 protein; p11; Protein S100 A10; Protein S100-A10; S100 calcium binding protein A10(annexin II ligand, calpactin I, light polypeptide(p11)); S100 calcium binding protein A10(calpactin); S100 calcium binding protein A10; S100 calcium-binding protein A10; S100a10; S10AA_HUMAN. |
| 产品应用 | WB=1:500-2000, IHC-P=1:50-200, IHC-F=1:50-200, IF=1:50-200, ELISA=1:5000-10000 Not yet tested in other applications. |
| 交叉反应 | Human, Mouse, Rat |
| 抗体来源 | Rabbit |
| 免疫原 | KLH conjugated synthetic peptide derived from human S100A10 |
| 亚型 | IgG |
| 性状 | Liquid |
| 纯化方法 | affinity purified by Protein A |
| 克隆类型 | Polyclonal |
| 理论分子量 | 11 kDa |
| 浓度 | 1mg/ml |
| 储存液 | 0.01M TBS (pH7.4) with 1% BSA, 0.02% Proclin300 and 50% Glycerol. |
| 研究领域 | Signal Transduction > Cytoskeleton / ECM > Cell Adhesion > Annexins Signal Transduction > Signaling Pathway > Calcium Signaling > Calcium Binding Proteins |
| 亚基 | Heterotetramer containing 2 light chains of S100A10/p11 and 2 heavy chains of ANXA2/p36. Interacts with SCN10A. |
| 相似性 | Belongs to the S-100 family. |
| 功能 | Because S100A10 induces the dimerization of ANXA2/p36, it may function as a regulator of protein phosphorylation in that the ANXA2 monomer is the preferred target (in vitro) of tyrosine-specific kinase. |
| 保存条件 | Shipped at 4℃. Store at -20℃ for one year. Avoid repeated freeze/thaw cycles. |
| 注意事项 | This product as supplied is intended for research use only, not for use in human, therapeutic or diagnostic applications. |
| 背景资料 | Because S100A10 induces the dimerization of ANXA2/p36, it may function as a regulator of protein phosphorylation in that the ANXA2 monomer is the preferred target (in vitro) of tyrosine-specific kinase. |
| 应用 | 推荐稀释比例 |
| {WB} | {1:500-2000} |
| {IHC-P} | {1:50-200} |
| {IHC-F} | {1:50-200} |
| {IF} | {1:50-200} |
| {ELISA} | {1:5000-10000} |

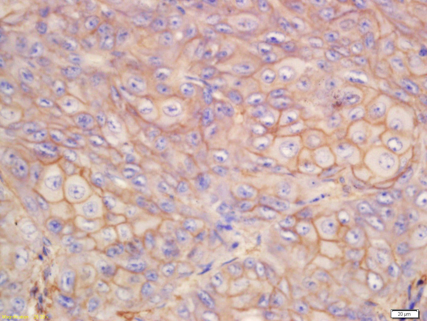
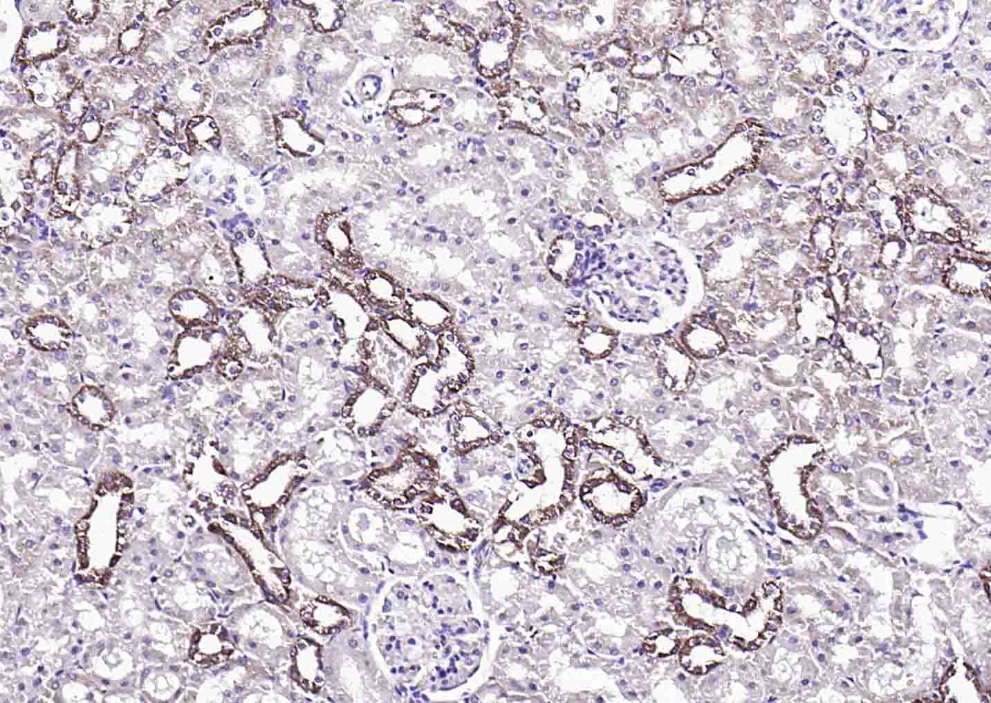
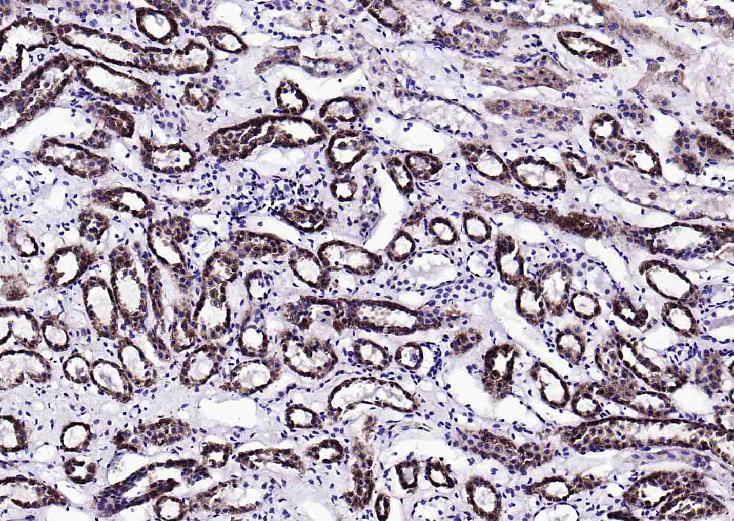
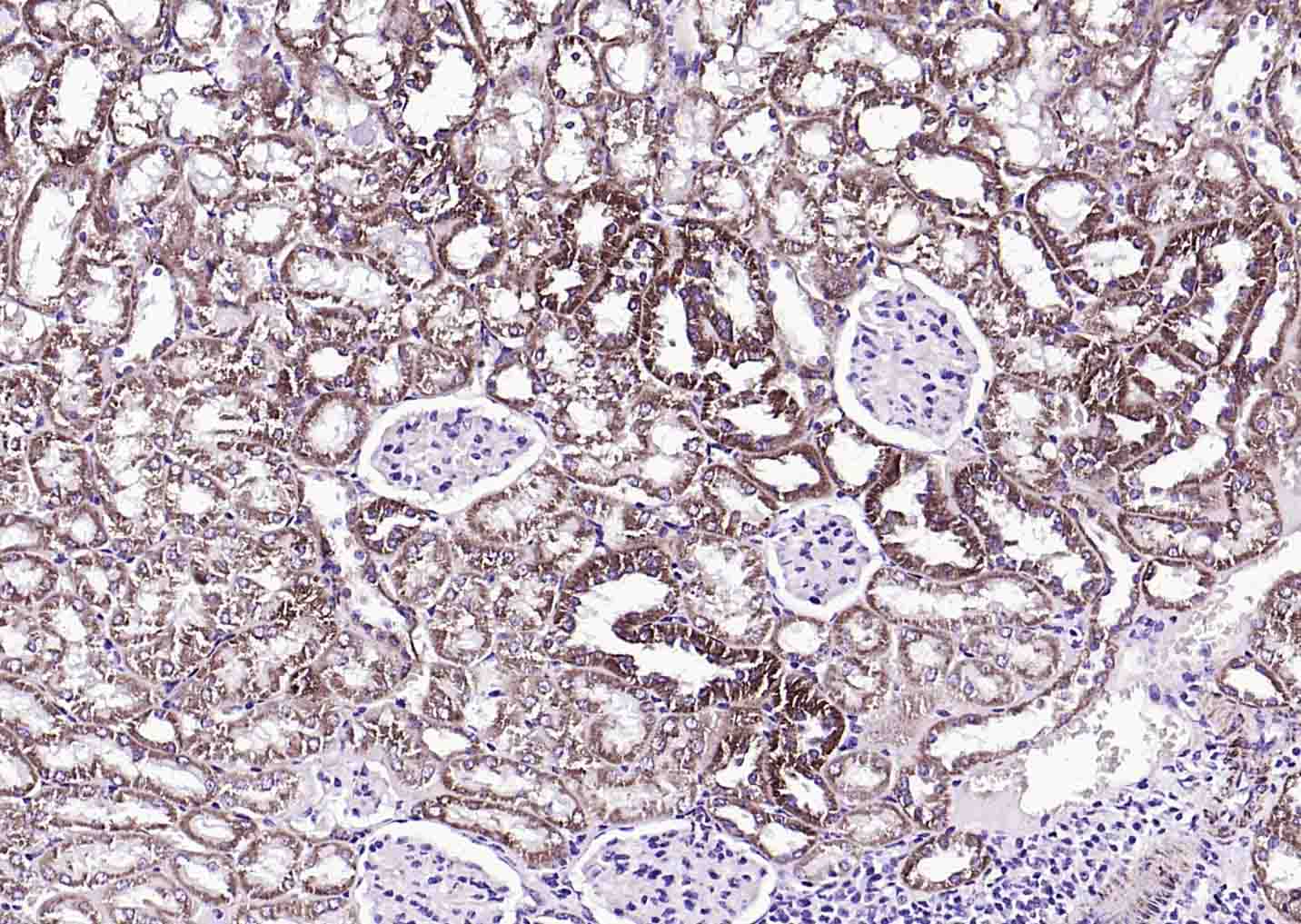
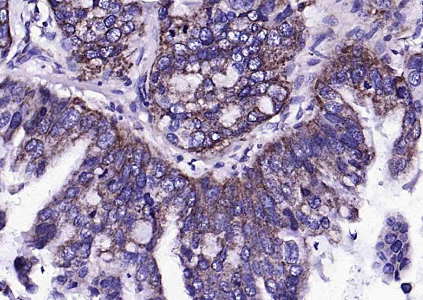
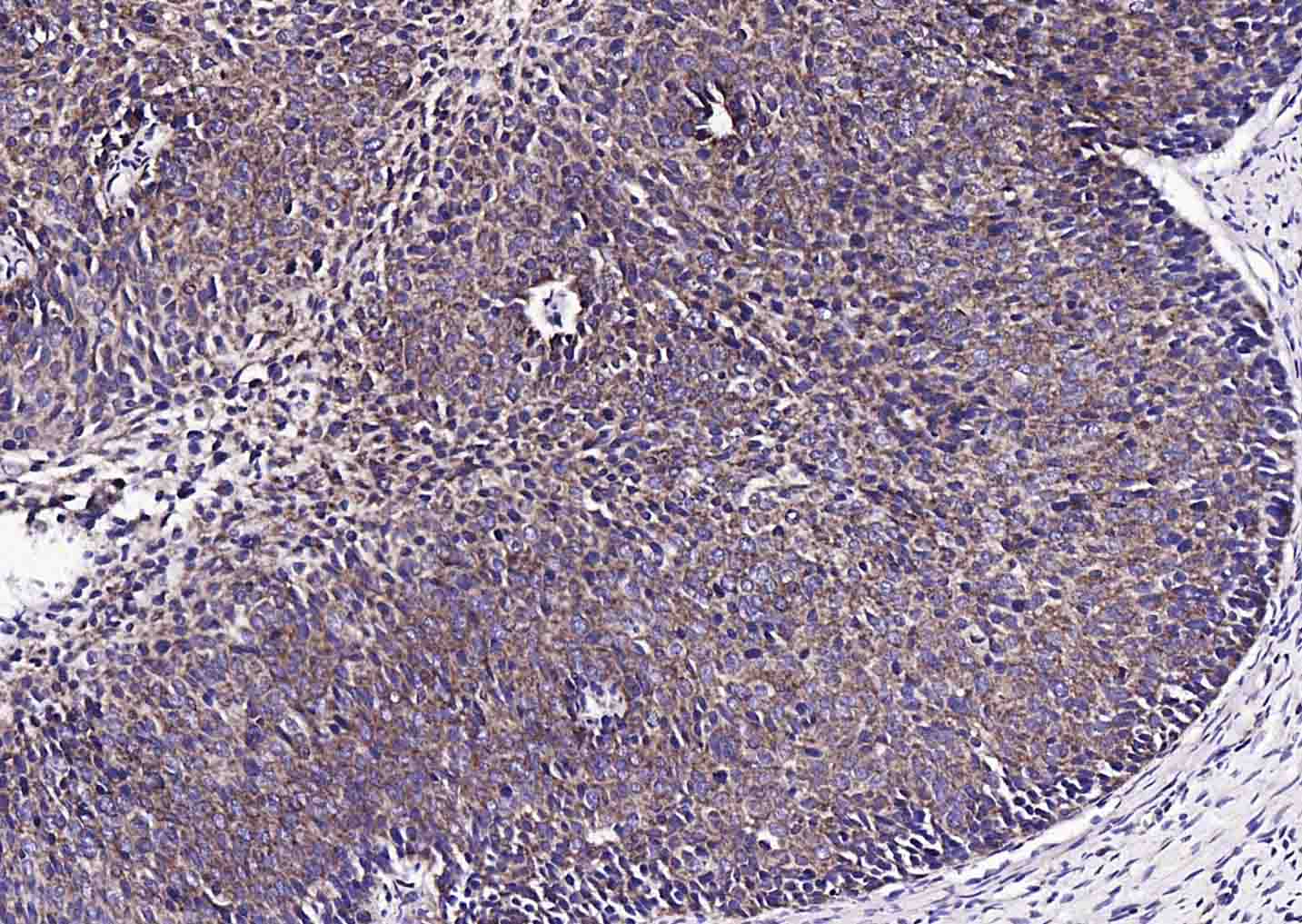
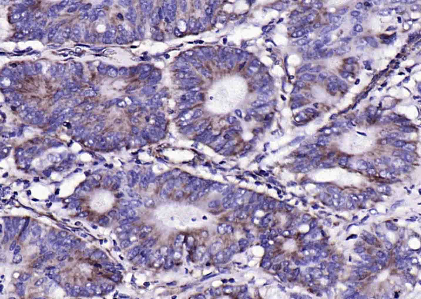
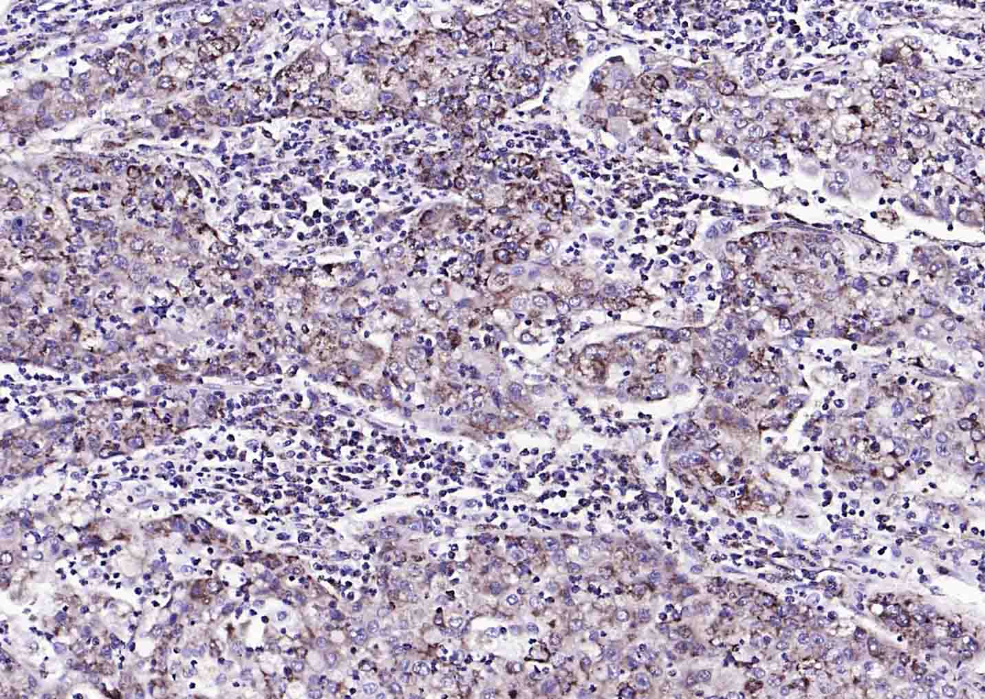
Antigen retrieval: citrate buffer ( 0.01M, pH 6.0 ), Boiling bathing for 15min; Block endogenous peroxidase by 3% Hydrogen peroxide for 30min; Blocking buffer (normal goat serum,C-0005) at 37℃ for 20 min;
Incubation: Anti-S100A10 Polyclonal Antibody, Unconjugated(bs-8503R) 1:200, overnight at 4°C, followed by conjugation to the secondary antibody(SP-0023) and DAB(C-0010) staining

Lane 1: Mouse Heart tissue lysates
Lane 2: Mouse Heart tissue lysates
Primary: Anti-S100A10 (bs-8503R) at 1/1000 dilution
Secondary: IRDye800CW Goat Anti-Rabbit IgG at 1/20000 dilution
Predicted band size: 11 kDa
Observed band size: 13 kDa







风险提示:丁香通仅作为第三方平台,为商家信息发布提供平台空间。用户咨询产品时请注意保护个人信息及财产安全,合理判断,谨慎选购商品,商家和用户对交易行为负责。对于医疗器械类产品,请先查证核实企业经营资质和医疗器械产品注册证情况。
文献和实验[IF={{ 5.215 }}] {Tianrui Zhang. et al. Daphnetin Improves Neuropathic Pain by Inhibiting the Expression of Chemokines and Inflammatory Factors in the Spinal Cord and Interfering with Glial Cell Polarization. PHARMACEUTICALS-BASE. 2023 Feb;16(2):243} {IF} {Rat}
[IF={{ 3.4 }}] {Hongjuan Wang. et al. Differentiation of cultured hair follicle neural crest stem cells into functional melanocytes. HELIYON. 2024 Aug;10:} {IF} {Mouse}
= NAL), appears to form upon oxidative cyclization of the nonfluorescent 2:1 lysine-HNE Michael adduct-Schiff base cross-link (Scheme 1). Polyclonal antibody (PAb) to the NAL-HNE fluorophore was raised in rabbit and found to be highly specific
GE Healthcare Benzamidine Sepharose™ 6B is p-aminobenzamidine covalently attached to Sepharose 6B by the epoxy coupling method. p-Aminobenzamidine (PAB), is a synthetic inhibitor of trypsin-like serine protease. Trypsin and trypsin
Nucleic Acid Programmable Protein Arrays: Versatile Tools for Array‐Based Functional Protein Studies
.g., Sigma) 50 mg/ml bis‐sulfosuccinimdylsuberate (BS3 ;Pierce, cat. no. PI 21580) in dimethylsulfoxide (DMSO) 5 mg/ml
技术资料暂无技术资料 索取技术资料






