相关产品推荐更多 >
万千商家帮你免费找货
0 人在求购买到急需产品
- 详细信息
- 文献和实验
- 技术资料
- 应用范围:
产品信息以Bioss网站为准
- 规格:
50ul/100ul/200ul
| 规格: | 50ul | 产品价格: | ¥1180.0 |
|---|---|---|---|
| 规格: | 100ul | 产品价格: | ¥1980.0 |
| 规格: | 200ul | 产品价格: | ¥2800.0 |
| 产品编号 | bs-6461R |
| 英文名称 | NFATC4 Rabbit pAb |
| 中文名称 | T细胞激活核转录因子4抗体 |
| 英文别名 | NF-ATc4; NFATC4 cytoplasmic 4; NF ATc4; NF-AT3; NF-ATc4; NFAC4_HUMAN; NFAT3; NFATc4; Nuclear factor of activated T cells cytoplasmic 4; Nuclear factor of activated T cells cytoplasmic calcineurin dependent 4; Nuclear factor of activated T-cells; nuclear factor of activated T-cells cytoplasmic 4; Nuclear factor of activated T-cells cytoplasmic calcineurin-dependent 4; T cell transcription factor NFAT3; T-cell transcription factor NFAT3. |
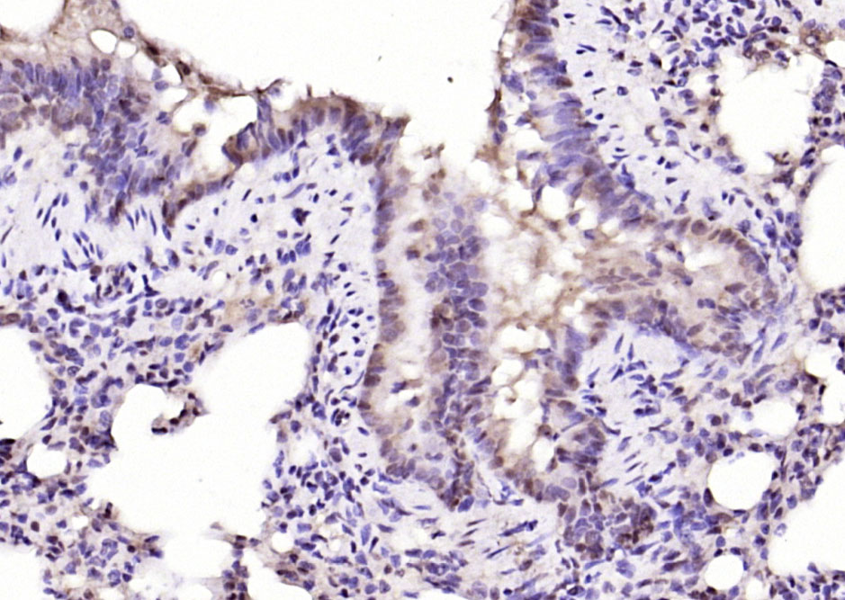
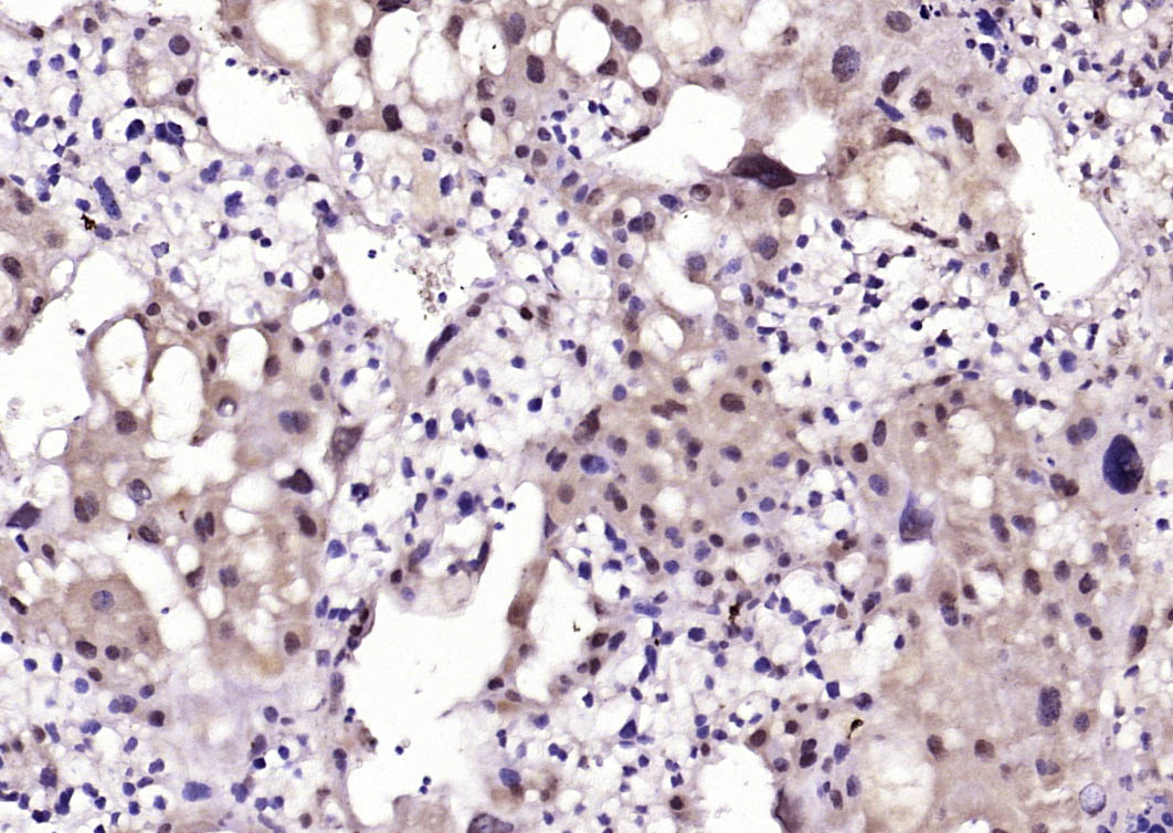
| 产品应用 | IHC-P=1:100-500, IHC-F=1:100-500, IF=1:100-500 Not yet tested in other applications. |
| 交叉反应 | Mouse, Rat (Human, Dog, Pig, Cow, Horse, Sheep) |
| 抗体来源 | Rabbit |
| 免疫原 | KLH conjugated synthetic peptide derived from human NF-ATc4 |
| 亚型 | IgG |
| 性状 | Liquid |
| 纯化方法 | affinity purified by Protein A |
| 克隆类型 | Polyclonal |
| 理论分子量 | 95 kDa |
| 浓度 | 1mg/ml |
| 储存液 | 0.01M TBS (pH7.4) with 1% BSA, 0.02% Proclin300 and 50% Glycerol. |
| 研究领域 | Epigenetics and Nuclear Signaling > Nuclear Signaling Pathways > NFATs Epigenetics and Nuclear Signaling > Transcription > Other factors Immunology > Adaptive Immunity > T Cells > Non-CD Signal Transduction > Signaling Pathway > Nuclear Signaling > NFATS |
| 亚基 | Member of the multicomponent NFATC transcription complex that consists of at least two components, a pre-existing cytoplasmic component NFATC2 and an inducible nuclear component NFATC1. Other members such as NFATC4, NFATC3 or members of the activating protein-1 family, MAF, GATA4 and Cbp/p300 can also bind the complex. NFATC proteins bind to DNA as monomers. Interacts with CREBBP, GATA4, IRAK1, MAPK8, MAPK9 and RPS6KA3. |
| 亚细胞定位 | Cytoplasm. Nucleus. Cytoplasmic for the phosphorylated form and nuclear after activation that is controlled by calcineurin-mediated dephosphorylation. Rapid nuclear exit of NFATC is thought to be one mechanism by which cells distinguish between sustained and transient calcium signals. The subcellular localization of NFATC plays a key role in the regulation of gene transcription. |
| 组织特异性 | Highly expressed in placenta, lung, kidney, testis and ovary. Weakly expressed in spleen and thymus. Not expressed in peripheral blood lymphocytes. Detected in hippocampus. |
| 翻译后修饰 | Phosphorylated by NFATC-kinases; dephosphorylated bycalcineurin. Phosphorylated on Ser-168 and Ser-170 by MTOR, IRAK1,MAPK7 and MAPK14, on Ser-213 and Ser-217 by MAPK8 and MAPK9, and onSer-289 and Ser-344 by RPS6KA3. Phosphorylated by GSK3B. |
| 相似性 | Contains 1 IPT/TIG domain. Contains 1 RHD (Rel-like) domain. Database links : UniProtKB/Swiss-Prot: Q14934.2 |
| 功能 | Plays a role in the inducible expression of cytokine genes in T-cells, especially in the induction of the IL-2 and IL-4. Transcriptionally repressed by estrogen receptors; this inhibition is further enhanced by estrogen. Increases the transcriptional activity of PPARG and has a direct role in adipocyte differentiation. May play an important role in myotube differentiation. May play a critical role in cardiac development and hypertrophy. May play a role in deafferentation-induced apoptosis of sensory neurons. |
| 保存条件 | Shipped at 4℃. Store at -20℃ for one year. Avoid repeated freeze/thaw cycles. |
| 注意事项 | This product as supplied is intended for research use only, not for use in human, therapeutic or diagnostic applications. |
| 背景资料 | The product of this gene is a member of the nuclearfactors of activated T cells DNA-binding transcription complex.This complex consists of at least two components: a preexistingcytosolic component that translocates to the nucleus upon T cellreceptor (TCR) stimulation and an inducible nuclear component.Other members of this family of nuclear factors of activated Tcells also participate in the formation of this complex. Theproduct of this gene plays a role in the inducible expression ofcytokine genes in T cells, especially in the induction of the IL-2and IL-4. Alternatively spliced transcript variants encodingdifferent isoforms have been noted for this gene. [provided byRefSeq, Oct 2008]. |
| 应用 | 推荐稀释比例 |
| {IHC-P} | {1:100-500} |
| {IHC-F} | {1:100-500} |
| {IF} | {1:100-500} |


风险提示:丁香通仅作为第三方平台,为商家信息发布提供平台空间。用户咨询产品时请注意保护个人信息及财产安全,合理判断,谨慎选购商品,商家和用户对交易行为负责。对于医疗器械类产品,请先查证核实企业经营资质和医疗器械产品注册证情况。
文献和实验[IF={{ 8.063 }}] {Zhang Y et al. ASIC1a induces synovial inflammation via the Ca2+/NFATc3/RANTES pathway. Theranostics. 2020 Jan 1;10(1):247-264.} {IF} {Rat}
[IF={{ 5.4 }}] {Shi-Yi Lyu. et al. Multi-parameter magnetic resonance imaging of zebularine in liver fibrosis treatment and calcineurin/NFAT3 mechanism. WORLD J GASTROENTERO. 2025 May;31(20):105554} {WB,IHC,IF} {Human}
[IF={{ 5.039 }}] {Zhang B et al. miR-137 and its target T-type CaV 3.1 channel modulate dedifferentiation and proliferation of cerebrovascular smooth muscle cells in simulated microgravity rats by regulating calcineurin/NFAT pathway. Cell Proliferation. 2020;00:e12774.} {WB} {Rat}
[IF={{ 3.263 }}] {Li L et al. Sacubitril/valsartan attenuates atrial electrical and structural remodelling in a rabbit model of atrial fibrillation. Eur J Pharmacol . 2020 Aug 15;881:173120.} {IHC,WB} {rabbit}
[IF={{ 2.81 }}] {Xie, Sheng, et al. "Chronic intermittent hypoxia induces cardiac hypertrophy by impairing autophagy through the adenosine 5′-monophosphate-activated protein kinase pathway." Archives of Biochemistry and Biophysics (2016).} {WB} {="Rat"}
= NAL), appears to form upon oxidative cyclization of the nonfluorescent 2:1 lysine-HNE Michael adduct-Schiff base cross-link (Scheme 1). Polyclonal antibody (PAb) to the NAL-HNE fluorophore was raised in rabbit and found to be highly specific
GE Healthcare Benzamidine Sepharose™ 6B is p-aminobenzamidine covalently attached to Sepharose 6B by the epoxy coupling method. p-Aminobenzamidine (PAB), is a synthetic inhibitor of trypsin-like serine protease. Trypsin and trypsin
Nucleic Acid Programmable Protein Arrays: Versatile Tools for Array‐Based Functional Protein Studies
.g., Sigma) 50 mg/ml bis‐sulfosuccinimdylsuberate (BS3 ;Pierce, cat. no. PI 21580) in dimethylsulfoxide (DMSO) 5 mg/ml
技术资料暂无技术资料 索取技术资料









