相关产品推荐更多 >
万千商家帮你免费找货
0 人在求购买到急需产品
- 详细信息
- 文献和实验
- 技术资料
- 应用范围:
产品信息以Bioss网站为准
- 规格:
50ul/100ul/200ul
| 规格: | 50ul | 产品价格: | ¥1180.0 |
|---|---|---|---|
| 规格: | 100ul | 产品价格: | ¥1980.0 |
| 规格: | 200ul | 产品价格: | ¥2800.0 |
| 产品编号 | bs-6980R |
| 英文名称 | AKAP5 Rabbit pAb |
| 中文名称 | A激酶锚定蛋白5抗体 |
| 英文别名 | AKAP 150; A kinase(PRKA) anchor protein 5; A kinase anchor protein 5; A kinase anchor protein 79kDa; A kinase anchoring protein 75/79; A-kinase anchor protein 5; A-kinase anchor protein 79 kDa; AKAP 5; AKAP 75; AKAP 79; AKAP-5; Akap5; AKAP5_HUMAN; AKAP75; AKAP79; cAMP dependent protein kinase regulatory subunit II high affinity binding protein; cAMP-dependent protein kinase regulatory subunit II high affinity-binding protein; H21. |
| 产品应用 | IHC-P=1:100-500, IHC-F=1:100-500, IF=1:100-500 Not yet tested in other applications. |
| 交叉反应 | Rat (Human, Mouse, Dog, Pig, Cow, Horse, Rabbit) |
| 抗体来源 | Rabbit |
| 免疫原 | KLH conjugated synthetic peptide derived from human AKAP5 |
| 亚型 | IgG |
| 性状 | Liquid |
| 纯化方法 | affinity purified by Protein A |
| 克隆类型 | Polyclonal |
| 理论分子量 | 47/79(human/rat, kDa |
| 浓度 | 1mg/ml |
| 储存液 | 0.01M TBS (pH7.4) with 1% BSA, 0.02% Proclin300 and 50% Glycerol. |
| 研究领域 | Neuroscience > Neurotransmission > Calcium Signaling > Calcium Channels > L-type Neuroscience > Neurotransmission > Calcium Signaling > Calmodulin / CaMK Neuroscience > Neurotransmission > Receptors / Channels > GPCR > Adrenergic Receptors Signal Transduction > Protein Phosphorylation > Ser / Thr Kinases > PKA Signal Transduction > Signaling Pathway > Calcium Signaling > Calmodulin Pathway Signal Transduction > Signaling Pathway > G Protein Signaling > GPCR |
| 亚基 | Binding protein for dimer of the RII-beta regulatory subunit of cAMP-dependent protein kinase (PKA) and also for the protein kinase C (PKC) and the phosphatase calcineurin (PP2B). Each enzyme is inhibited when bound to the anchoring protein. Also binds the beta2-adrenergic receptor. Part of a complex containing AKAP5, ADCY5, ADCY6 AND PDE4C (By similarity). Interacts with ADCY8, and enhances its phosphorylation at lipid rafts. |
| 亚细胞定位 | Membrane; Lipid-anchor. |
| 组织特异性 | Predominantly in the cerebral cortex and the postsynaptic densities of the forebrain, and to a lesser extent in adrenal medulla, lung and anterior pituitary. |
| 翻译后修饰 | Palmitoylation at Cys-36 and Cys-129 plays a key role in targeting to lipid rafts. |
| 相似性 | Contains 1 AKAP domain. |
| 功能 | May anchor the PKA protein to cytoskeletal and/or organelle-associated proteins, targeting the signal carried by cAMP to specific intracellular effectors. Association with to the beta2-adrenergic receptor (beta2-AR) not only regulates beta2-AR signaling pathway, but also the activation by PKA by switching off the beta2-AR signaling cascade. |
| 保存条件 | Shipped at 4℃. Store at -20℃ for one year. Avoid repeated freeze/thaw cycles. |
| 注意事项 | This product as supplied is intended for research use only, not for use in human, therapeutic or diagnostic applications. |
| 背景资料 | The type II cAMP-protein kinase (PKA) is a multifunctional kinase with a broad range of substrates (1). Specificity of PKA signaling is thought to be mediated by the compartmentalization of the kinase to specific sites within the cell. To maintain this specific localization, the R subunit (RII) of PKA interacts with specific RII-anchoring proteins. This family of proteins has been designated A-kinase anchoring proteins (AKAP) (1-3). Members of this family, including MAP2 (microtubule-associated protein 2), neuronally expressed AKAP 79 and AKAP 150, and the DNA binding AKAP 95, display differential tissue specificity and localization (4-6). Evidence suggests that AKAP 79 and AKAP 150 are both capable of anchoring PKA to postsynaptic densities (PSD), which are a network of proteins located on the internal surfaces of excitatory synapses。 |
| 应用 | 推荐稀释比例 |
| {IHC-P} | {1:100-500} |
| {IHC-F} | {1:100-500} |
| {IF} | {1:100-500} |

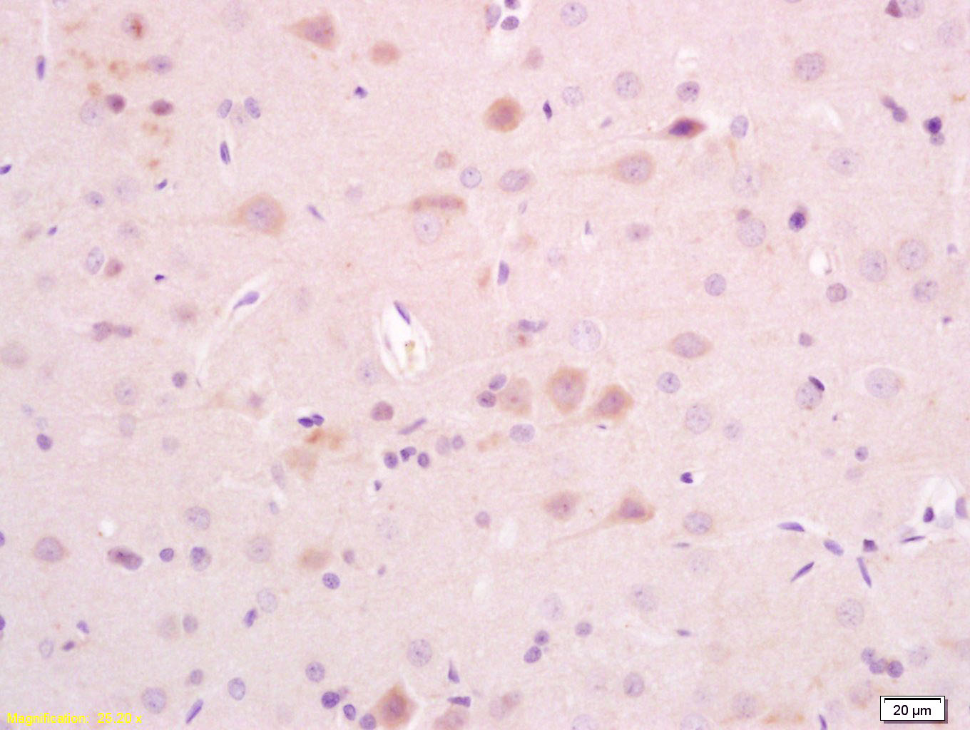
Antigen retrieval: citrate buffer ( 0.01M, pH 6.0 ), Boiling bathing for 15min; Block endogenous peroxidase by 3% Hydrogen peroxide for 30min; Blocking buffer (normal goat serum,C-0005) at 37℃ for 20 min;
Incubation: Anti-AKAP5 Polyclonal Antibody, Unconjugated(bs-6980R) 1:200, overnight at 4°C, followed by conjugation to the secondary antibody(SP-0023) and DAB(C-0010) staining
风险提示:丁香通仅作为第三方平台,为商家信息发布提供平台空间。用户咨询产品时请注意保护个人信息及财产安全,合理判断,谨慎选购商品,商家和用户对交易行为负责。对于医疗器械类产品,请先查证核实企业经营资质和医疗器械产品注册证情况。
文献和实验= NAL), appears to form upon oxidative cyclization of the nonfluorescent 2:1 lysine-HNE Michael adduct-Schiff base cross-link (Scheme 1). Polyclonal antibody (PAb) to the NAL-HNE fluorophore was raised in rabbit and found to be highly specific
GE Healthcare Benzamidine Sepharose™ 6B is p-aminobenzamidine covalently attached to Sepharose 6B by the epoxy coupling method. p-Aminobenzamidine (PAB), is a synthetic inhibitor of trypsin-like serine protease. Trypsin and trypsin
Nucleic Acid Programmable Protein Arrays: Versatile Tools for Array‐Based Functional Protein Studies
.g., Sigma) 50 mg/ml bis‐sulfosuccinimdylsuberate (BS3 ;Pierce, cat. no. PI 21580) in dimethylsulfoxide (DMSO) 5 mg/ml
技术资料暂无技术资料 索取技术资料









