相关产品推荐更多 >

NF-M Rabbit pAb, PE-Cy5.5 conjugated(bs-0710R-PE-Cy5.5)-100ul
¥2980
ELK3 Rabbit pAb, Biotin conjugated(bs-14565R-Bio)-100ul
¥2980
UBE2D3 Rabbit pAb(bs-8355R)-50ul/100ul/200ul
¥1180
DPP4/CD26 Rabbit pAb, HRP conjugated(bs-2570R-HRP)-100ul
¥2980
CACNA1G + CACNA1H Rabbit pAb, HRP conjugated(bs-11984R-HRP)-100ul
¥2980
万千商家帮你免费找货
0 人在求购买到急需产品
- 详细信息
- 文献和实验
- 技术资料
- 应用范围:
产品信息以Bioss网站为准
- 规格:
50ul/100ul/200ul
| 规格: | 50ul | 产品价格: | ¥1180.0 |
|---|---|---|---|
| 规格: | 100ul | 产品价格: | ¥1980.0 |
| 规格: | 200ul | 产品价格: | ¥2800.0 |
| 产品编号 | bs-8298R |
| 英文名称 | UQCRC1 Rabbit pAb |
| 中文名称 | 辅酶细胞色素C还原酶核心蛋白1抗体 |
| 英文别名 | Ubiquinol-Cytochrome C Reductase Core Protein I; mitochondrial; Complex III subunit 1; Core protein I; Cytochrome b c1 complex subunit 1, mitochondrial; Cytochrome b-c1 complex subunit 1; D3S3191; OTTHUMP00000164820; QCR1; QCR1_HUMAN; Ubiquinol cytochrome c reductase core protein I; Ubiquinol-cytochrome-c reductase complex core protein 1; UQCR1; UQCRC1. |
| 产品应用 | IHC-P=1:100-500, IHC-F=1:100-500, IF=1:100-500 Not yet tested in other applications. |
| 交叉反应 | Human (Mouse, Rat, Cow, Monkey) |
| 抗体来源 | Rabbit |
| 免疫原 | KLH conjugated synthetic peptide derived from human UQCRC1 |
| 亚型 | IgG |
| 性状 | Liquid |
| 纯化方法 | affinity purified by Protein A |
| 克隆类型 | Polyclonal |
| 理论分子量 | 49 kDa |
| 浓度 | 1mg/ml |
| 储存液 | 0.01M TBS (pH7.4) with 1% BSA, 0.02% Proclin300 and 50% Glycerol. |
| 研究领域 | Cell Biology > Proteolysis / Ubiquitin > Proteolytic enzymes > Serine protease > DPPs |
| 亚基 | The bc1 complex contains 11 subunits: 3 respiratory subunits (cytochrome b, cytochrome c1 and Rieske/UQCRFS1), 2 core proteins (UQCRC1/QCR1 and UQCRC2/QCR2) and 6 low-molecular weight proteins (UQCRH/QCR6, UQCRB/QCR7, UQCRQ/QCR8, UQCR10/QCR9, UQCR11/QCR10 and a cleavage product of Rieske/UQCRFS1). |
| 亚细胞定位 | Mitochondrion inner membrane. |
| 组织特异性 | predominant expression in placenta, brain, prostate, testis and muscle. |
| 翻译后修饰 | Acetylation of Lys-138 is observed in liver mitochondria from fasted mice but not from fed mice. |
| 相似性 | Belongs to the peptidase M16 family. UQCRC1/QCR1 subfamily. |
| 功能 | This is a component of the ubiquinol-cytochrome c reductase complex (complex III or cytochrome b-c1 complex), which is part of the mitochondrial respiratory chain. This protein may mediate formation of the complex between cytochromes c and c1. |
| 保存条件 | Shipped at 4℃. Store at -20℃ for one year. Avoid repeated freeze/thaw cycles. |
| 注意事项 | This product as supplied is intended for research use only, not for use in human, therapeutic or diagnostic applications. |
| 背景资料 | This is a component of the ubiquinol-cytochrome c reductase complex (complex III or cytochrome b-c1 complex), which is part of the mitochondrial respiratory chain. This protein may mediate formation of the complex between cytochromes c and c1. |
| 应用 | 推荐稀释比例 |
| {IHC-P} | {1:100-500} |
| {IHC-F} | {1:100-500} |
| {IF} | {1:100-500} |

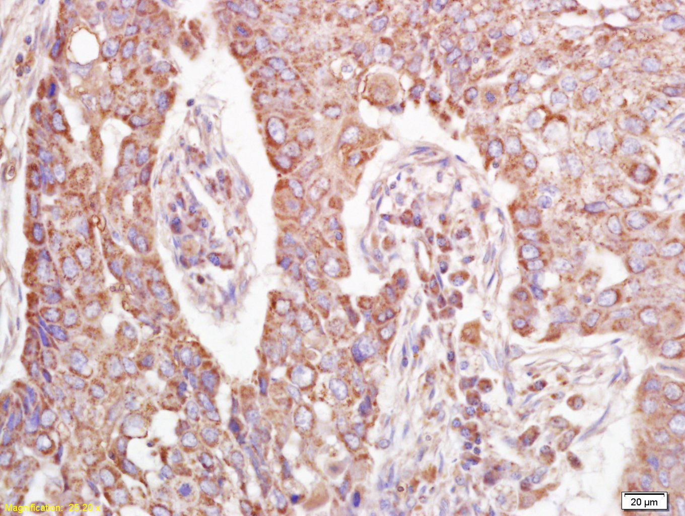
Antigen retrieval: citrate buffer ( 0.01M, pH 6.0 ), Boiling bathing for 15min; Block endogenous peroxidase by 3% Hydrogen peroxide for 30min; Blocking buffer (normal goat serum,C-0005) at 37℃ for 20 min;
Incubation: Anti-UQCRC1 Polyclonal Antibody, Unconjugated(bs-8298R) 1:200, overnight at 4°C, followed by conjugation to the secondary antibody(SP-0023) and DAB(C-0010) staining
风险提示:丁香通仅作为第三方平台,为商家信息发布提供平台空间。用户咨询产品时请注意保护个人信息及财产安全,合理判断,谨慎选购商品,商家和用户对交易行为负责。对于医疗器械类产品,请先查证核实企业经营资质和医疗器械产品注册证情况。
文献和实验[IF={{ 4 }}] {Huang Bangliang. et al. PSA controls hepatic lipid metabolism by regulating the NRF2 signaling pathway. J Mol Cell Biol. 2021 May;:} {WB} {Human}
= NAL), appears to form upon oxidative cyclization of the nonfluorescent 2:1 lysine-HNE Michael adduct-Schiff base cross-link (Scheme 1). Polyclonal antibody (PAb) to the NAL-HNE fluorophore was raised in rabbit and found to be highly specific
GE Healthcare Benzamidine Sepharose™ 6B is p-aminobenzamidine covalently attached to Sepharose 6B by the epoxy coupling method. p-Aminobenzamidine (PAB), is a synthetic inhibitor of trypsin-like serine protease. Trypsin and trypsin
Nucleic Acid Programmable Protein Arrays: Versatile Tools for Array‐Based Functional Protein Studies
.g., Sigma) 50 mg/ml bis‐sulfosuccinimdylsuberate (BS3 ;Pierce, cat. no. PI 21580) in dimethylsulfoxide (DMSO) 5 mg/ml
技术资料暂无技术资料 索取技术资料





