相关产品推荐更多 >

C9orf142 Rabbit pAb(bs-15315R)-50ul/100ul/200ul
¥1180
Hepatitis C virus subtype 1b E1 Rabbit pAb(bs-16474R)-50ul/100ul/200ul
¥1180
FGF2 Rabbit pAb, FITC conjugated(bs-2235R-FITC)-100ul
¥2980
phospho-IRS1 (Tyr1179) Rabbit pAb, APC conjugated(bs-8709R-APC)-100ul
¥2980
Chk1 Recombinant Rabbit mAb(bsm-60743R)-50ul/100ul/25ul
¥800
万千商家帮你免费找货
0 人在求购买到急需产品
- 详细信息
- 技术资料
- 应用范围:
产品信息以Bioss网站为准
- 规格:
50ul/100ul/200ul
| 规格: | 50ul | 产品价格: | ¥1180.0 |
|---|---|---|---|
| 规格: | 100ul | 产品价格: | ¥1980.0 |
| 规格: | 200ul | 产品价格: | ¥2800.0 |
| 产品编号 | bs-6913R |
| 英文名称 | FRS2 Rabbit pAb |
| 中文名称 | 成纤维细胞生长因子受体底物2抗体 |
| 英文别名 | FGFR signaling adaptor SNT; FGFR signalling adaptor; FGFR substrate 2; FGFR-signaling adaptor SNT; Fibroblast Growth Factor Receptor Substrate 2; FRS 2; FRS2_HUMAN; FRS2A; FRS2alpha; SNT 1; SNT; SNT-1; SNT1; Suc 1 Associated Neurotrophic Factor Target; Suc1 associated neurotrophic factor target 1; Suc1-associated neurotrophic factor target 1. |
| 产品应用 | IHC-P=1:100-500, IHC-F=1:100-500, IF=1:100-500 Not yet tested in other applications. |
| 交叉反应 | Rat (Human, Mouse, Pig, Cow, Horse, Rabbit) |
| 抗体来源 | Rabbit |
| 免疫原 | KLH conjugated synthetic peptide derived from human FRS2 |
| 亚型 | IgG |
| 性状 | Liquid |
| 纯化方法 | affinity purified by Protein A |
| 克隆类型 | Polyclonal |
| 理论分子量 | 57 kDa |
| 浓度 | 1mg/ml |
| 储存液 | 0.01M TBS (pH7.4) with 1% BSA, 0.02% Proclin300 and 50% Glycerol. |
| 研究领域 | Signal Transduction > Growth Factors/Hormones > FGF |
| 亚基 | Part of a complex containing FRS2, GRB2, GAB1, PIK3R1 and SOS1. Part of a complex containing GRB2 and CBL. Identified in a complex containing FGFR4, NCAM1, CDH2, PLCG1, FRS2, SRC, SHC1, GAP43 and CTTN. Binds RET (By similarity). Binds ALK, FGFR1, CKS2, MAPK1/ERK2, MAPK3/ERK1 and SRC. The tyrosine-phosphorylated protein binds the SH2 domains of GRB2 and PTPN11. Interacts with NTRK1, NTRK2 and NTRK3 (phosphorylated upon ligand-binding). |
| 亚细胞定位 | Endomembrane system. Note=Cytoplasmic, membrane-bound. |
| 组织特异性 | Highly expressed in heart, brain, spleen, lung, liver, skeletal muscle, kidney and testis. |
| 翻译后修饰 | Phosphorylated by ULK2 in vitro (By similarity). Phosphorylated on tyrosine residues upon stimulation by NGF or FGF2. Phosphorylated on tyrosine residues by activated ALK and FGFR1. Phosphorylated on tyrosine residues upon activation of FGFR2 and FGFR3. Phosphorylated on threonine residues by MAP kinases; this inhibits tyrosine phosphorylation, and thereby down-regulates FRS2-mediated activation of MAP kinases. Ubiquitinated when tyrosine phosphorylated and in a complex with GRB2. The unphosphorylated form is not subject to ubiquitination (By similarity). |
| 相似性 | Contains 1 IRS-type PTB domain. |
| 功能 | Adapter protein that links activated FGR and NGF receptors to downstream signaling pathways. Plays an important role in the activation of MAP kinases and in the phosphorylation of PIK3R1, the regulatory subunit of phosphatidylinositol 3-kinase, in response to ligand-mediated activation of FGFR1. Modulates signaling via SHC1 by competing for a common binding site on NTRK1. |
| 保存条件 | Shipped at 4℃. Store at -20℃ for one year. Avoid repeated freeze/thaw cycles. |
| 注意事项 | This product as supplied is intended for research use only, not for use in human, therapeutic or diagnostic applications. |
| 背景资料 | Adapter protein that links FGR and NGF receptors to downstream signaling pathways. Involved in the activation of MAP kinases. Modulates signaling via SHC1 by competing for a common binding site on NTRK1.Tissue specificity:Highly expressed in heart, brain, spleen, lung, liver, skeletal muscle, kidney and testis. |
| 应用 | 推荐稀释比例 |
| {IHC-P} | {1:100-500} |
| {IHC-F} | {1:100-500} |
| {IF} | {1:100-500} |

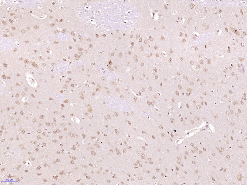
Paraformaldehyde-fixed, paraffin embedded (Rat brain); Antigen retrieval by boiling in sodium citrate buffer (pH6.0) for 15min; Block endogenous peroxidase by 3% hydrogen peroxide for 20 minutes; Blocking buffer (normal goat serum) at 37°C for 30min; Antibody incubation with (FRS2) Polyclonal Antibody, Unconjugated (bs-6913R) at 1:400 overnight at 4°C, followed by operating according to SP Kit(Rabbit) (sp-0023) instructionsand DAB staining.
风险提示:丁香通仅作为第三方平台,为商家信息发布提供平台空间。用户咨询产品时请注意保护个人信息及财产安全,合理判断,谨慎选购商品,商家和用户对交易行为负责。对于医疗器械类产品,请先查证核实企业经营资质和医疗器械产品注册证情况。
技术资料暂无技术资料 索取技术资料
FRS2 Rabbit pAb(bs-6913R)-50ul/100ul/200ul
¥1180 - 2800





