相关产品推荐更多 >

Anti-human EpCAM / TROP1 / CD326 (Oportuzumab Biosimilar)(BIO0692SM)-1mg/5mg/20mg
¥3200
CDKN2A/p16-INK4a Rabbit pAb, HRP conjugated(bs-23797R-HRP)-100ul
¥2980
SLC27A5 Rabbit pAb, PE conjugated(bs-4088R-PE)-100ul
¥2980
phospho-HSP70 (Tyr611) Rabbit pAb, PerCP-Cy7 conjugated(bs-10448R-PerCP-Cy7)-100ul
¥2980
Histone H3 (tri methyl K9) Mouse mAb, HRP conjugated(bsm-33106M-HRP)-100ul
¥2980
万千商家帮你免费找货
0 人在求购买到急需产品
- 详细信息
- 文献和实验
- 技术资料
- 应用范围:
产品信息以Bioss网站为准
- 规格:
50ul/100ul/200ul
| 规格: | 50ul | 产品价格: | ¥1180.0 |
|---|---|---|---|
| 规格: | 100ul | 产品价格: | ¥1980.0 |
| 规格: | 200ul | 产品价格: | ¥2800.0 |
| 产品编号 | bs-7733R |
| 英文名称 | WAPL Rabbit pAb |
| 中文名称 | EBV核蛋白2/EBNA2抗体 |
| 英文别名 | FOE; Friend of EBNA2(Epstein Barr virus nuclear protein 2); Friend of EBNA2 protein; WAPAL; WAPL; WAPL_HUMAN; Wings apart like homolog; Wings apart like homolog(Drosophila); wings apart-like homolog; Wings apart-like protein homolog. |
| 产品应用 | IHC-P=1:100-500, IHC-F=1:100-500, IF=1:100-500 Not yet tested in other applications. |
| 交叉反应 | Human (Mouse, Rat, Chicken, Dog, Pig, Cow, Horse) |
| 抗体来源 | Rabbit |
| 免疫原 | KLH conjugated synthetic peptide derived from human WAPL |
| 亚型 | IgG |
| 性状 | Liquid |
| 纯化方法 | affinity purified by Protein A |
| 克隆类型 | Polyclonal |
| 理论分子量 | 133 kDa |
| 浓度 | 1mg/ml |
| 储存液 | 0.01M TBS (pH7.4) with 1% BSA, 0.02% Proclin300 and 50% Glycerol. |
| 研究领域 | Cell Biology > Cell Cycle > Cell Division > Chromatid Cohesion Epigenetics and Nuclear Signaling > Cell cycle > Chromosome Structure > Chromatid Cohesion |
| 亚基 | Interacts with the cohesin complex throughout the cell cycle; interacts with both chromatin-bound and soluble pools of the complex. Interacts with RAD21; the interaction is direct. Interacts with PDS5A; the interaction is direct, cohesin-dependent and competitive with SORORIN. Interacts (via FGF motifs) with PDS5B; the interaction is direct. Interacts with SMC3. Isoform 2 interacts with Epstein-Barr virus EBNA2. |
| 亚细胞定位 | Nucleus and Nucleus. Chromosome. Cytoplasm. Associates with chromatin through the cohesin complex during interphase. Released in the cytoplasm from nuclear envelope breakdown until anaphase, it reaccumulates in nucleus at telophase. |
| 组织特异性 | Isoform 1 is highly expressed in uterine cervix tumor. Isoform 2 is widely expressed with a high level in skeletal muscle and heart. |
| 相似性 | Contains 1 WAPL domain. |
| 功能 | Regulator of sister chromatid cohesion in mitosis which negatively regulates cohesin association with chromatin. Involved in both sister chromatid cohesion during interphase and sister-chromatid resolution during early stages of mitosis. Couples DNA replication to sister chromatid cohesion. Cohesion ensures that chromosome partitioning is accurate in both meiotic and mitotic cells and plays an important role in DNA repair. |
| 保存条件 | Shipped at 4℃. Store at -20℃ for one year. Avoid repeated freeze/thaw cycles. |
| 注意事项 | This product as supplied is intended for research use only, not for use in human, therapeutic or diagnostic applications. |
| 背景资料 | Regulator of sister chromatid cohesion in mitosis which negatively regulates cohesin association with chromatin. Involved in both sister chromatid cohesion during interphase and sister-chromatid resolution during early stages of mitosis. Couples DNA replication to sister chromatid cohesion. Cohesion ensures that chromosome partitioning is accurate in both meiotic and mitotic cells and plays an important role in DNA repair.Tissue specificity: Isoform 1 is highly expressed in uterine cervix tumor. Isoform 2 is widely expressed with a high level in skeletal muscle and heart. |
| 应用 | 推荐稀释比例 |
| {IHC-P} | {1:100-500} |
| {IHC-F} | {1:100-500} |
| {IF} | {1:100-500} |

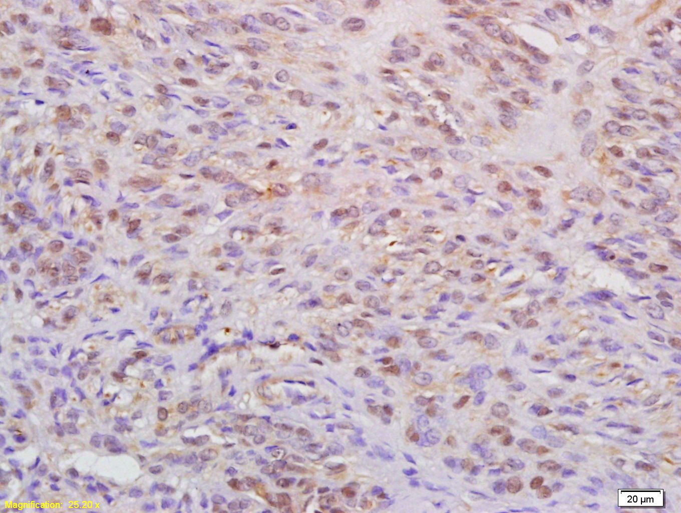
Antigen retrieval: citrate buffer ( 0.01M, pH 6.0 ), Boiling bathing for 15min; Block endogenous peroxidase by 3% Hydrogen peroxide for 30min; Blocking buffer (normal goat serum,C-0005) at 37℃ for 20 min;
Incubation: Anti-WAPL Polyclonal Antibody, Unconjugated(bs-7733R) 1:200, overnight at 4°C, followed by conjugation to the secondary antibody(SP-0023) and DAB(C-0010) staining
风险提示:丁香通仅作为第三方平台,为商家信息发布提供平台空间。用户咨询产品时请注意保护个人信息及财产安全,合理判断,谨慎选购商品,商家和用户对交易行为负责。对于医疗器械类产品,请先查证核实企业经营资质和医疗器械产品注册证情况。
文献和实验= NAL), appears to form upon oxidative cyclization of the nonfluorescent 2:1 lysine-HNE Michael adduct-Schiff base cross-link (Scheme 1). Polyclonal antibody (PAb) to the NAL-HNE fluorophore was raised in rabbit and found to be highly specific
GE Healthcare Benzamidine Sepharose™ 6B is p-aminobenzamidine covalently attached to Sepharose 6B by the epoxy coupling method. p-Aminobenzamidine (PAB), is a synthetic inhibitor of trypsin-like serine protease. Trypsin and trypsin
Nucleic Acid Programmable Protein Arrays: Versatile Tools for Array‐Based Functional Protein Studies
.g., Sigma) 50 mg/ml bis‐sulfosuccinimdylsuberate (BS3 ;Pierce, cat. no. PI 21580) in dimethylsulfoxide (DMSO) 5 mg/ml
技术资料暂无技术资料 索取技术资料






