相关产品推荐更多 >

PGC1 alpha + beta Rabbit pAb, Biotin conjugated(bs-7535R-Bio)-100ul
¥2980
stabilin1 Rabbit pAb, PE conjugated(bs-7510R-PE)-100ul
¥2980
NRIP1 Rabbit pAb(bs-8739R)-50ul/100ul/200ul
¥1180
phospho-Estrogen Receptor alpha (Ser104) Rabbit pAb(bs-14642R)-50ul/100ul/200ul
¥1180
Anti-human LILRB4 / ILT3 / CD85k (Merck patent Anti-ILT3 complex Biosimilar)(BIO0050SM)-1mg/5mg/20mg
¥3200
万千商家帮你免费找货
0 人在求购买到急需产品
- 详细信息
- 文献和实验
- 技术资料
- 应用范围:
产品信息以Bioss网站为准
- 规格:
50ul/100ul/200ul
| 规格: | 50ul | 产品价格: | ¥1180.0 |
|---|---|---|---|
| 规格: | 100ul | 产品价格: | ¥1980.0 |
| 规格: | 200ul | 产品价格: | ¥2800.0 |
| 产品编号 | bs-10138R |
| 英文名称 | phospho-Eph receptor B1 (Tyr928) Rabbit pAb |
| 中文名称 | 磷酸化酪氨酸蛋白激酶受体B1抗体 |
| 英文别名 | Eph receptor B1(phospho Y928); EphB1(phospho Y928); Cek 6; Elkh; Eph tyrosine kinase 2; EPH2; EphB1; Ephrin receptor Eph B1 precursor; Ephrin type B receptor 1; HEK 6; NET; Neuronally expressed EPH related tyrosine kinase; Tyrosine protein kinase receptor EPH 2; ELK; EPH-like kinase 6; Ephb1; EPHB1_HUMAN; Ephrin type B receptor 1; Ephrin type-B receptor 1; EPHT2; HEK6; Neuronally-expressed EPH-related tyrosine kinase; Tyrosine protein kinase receptor EPH 2; Tyrosine-protein kinase receptor EPH-2. |
| 产品应用 | WB=1:500-2000, IHC-P=1:100-500, IHC-F=1:100-500, IF=1:100-500 Not yet tested in other applications. |
| 交叉反应 | Human, Mouse, Rat |
| 抗体来源 | Rabbit |
| 免疫原 | KLH conjugated Synthesised phosphopeptide derived from human EphB1 around the phosphorylation site of Tyr928 |
| 亚型 | IgG |
| 性状 | Liquid |
| 纯化方法 | affinity purified by Protein A |
| 克隆类型 | Polyclonal |
| 理论分子量 | 106 kDa |
| 浓度 | 1mg/ml |
| 储存液 | 0.01M TBS (pH7.4) with 1% BSA, 0.02% Proclin300 and 50% Glycerol. |
| 研究领域 | Cardiovascular > Angiogenesis > Ephrins > Eph Receptors Neuroscience > Cell Type Marker > Neuron marker > Growth Cone Neuroscience > Neurology process > Growth and Development > Axonal Guidance Proteins Neuroscience > Neurotransmission > Intracellular Signaling > Kinases Neuroscience > Neurotransmission > Receptors / Channels > Tyrosine Kinase Receptors Signal Transduction > Protein Phosphorylation > Tyrosine Kinases > Receptor Tyrosine Kinases |
| 亚基 | Heterotetramer upon binding of the ligand. The heterotetramer is composed of an ephrin dimer and a receptor dimer. Oligomerization is probably required to induce biological responses. Interacts with EPHB6; transphosphorylates EPHB6 to form an active signaling complex. Interacts with PICK1. Interacts (through Tyr-594) with NCK1 (via SH2 domain); activates the JUN cascade to regulate cell adhesion. The ligand-activated form interacts (through Tyr-928) with GRB7 and GRB10 (via SH2 domains). The ligand-activated form interacts (residues within the catalytic domain) with GRB2 (via SH2 domain). Interacts with GRB2, SHC1 and SRC; activates the MAPK/ERK cascade to regulate cell migration. Interacts with CBL; regulates receptor degradation through ubiquitination. Interacts with ACP1. |
| 亚细胞定位 | Cell membrane; Single-pass type I membrane protein. Early endosome membrane. Cell projection, dendrite. |
| 组织特异性 | Preferentially expressed in brain. |
| 翻译后修饰 | Phosphorylated. Autophosphorylation is stimulated by the ligand EFNB1. Required for interaction with SH2 domain-containing interactors, for activation of the MAPK/ERK and JUN signaling cascades and for ubiquitination by CBL. Ubiquitinated; (EFNB1)ligand-induced poly- and/or multi-ubiquitination by CBL is regulated by SRC and leads to lysosomal degradation. |
| 相似性 | Belongs to the protein kinase superfamily. Tyr protein kinase family. Ephrin receptor subfamily.
Contains 1 Eph LBD (Eph ligand-binding) domain. Contains 2 fibronectin type-III domains. Contains 1 protein kinase domain. Contains 1 SAM (sterile alpha motif) domain. |
| 功能 | Receptor tyrosine kinase which binds promiscuously transmembrane ephrin-B family ligands residing on adjacent cells, leading to contact-dependent bidirectional signaling into neiGHBoring cells. The signaling pathway downstream of the receptor is referred to as forward signaling while the signaling pathway downstream of the ephrin ligand is referred to as reverse signaling. Cognate/functional ephrin ligands for this receptor include EFNB1, EFNB2 and EFNB3. During nervous system development, regulates retinal axon guidance redirecting ipsilaterally ventrotemporal retinal ganglion cells axons at the optic chiasm midline. This probably requires repulsive interaction with EFNB2. In the adult nervous system together with EFNB3, regulates chemotaxis, proliferation and polarity of the hippocampus neural progenitors. Beside its role in axon guidance plays also an important redundant role with other ephrin-B receptors in development and maturation of dendritic spines and synapse formation. May also regulate angiogenesis. More generally, may play a role in targeted cell migration and adhesion. Upon activation by EFNB1 and probably other ephrin-B ligands activates the MAPK/ERK and the JNK signaling cascades to regulate cell migration and adhesion respectively. |
| 保存条件 | Shipped at 4℃. Store at -20℃ for one year. Avoid repeated freeze/thaw cycles. |
| 注意事项 | This product as supplied is intended for research use only, not for use in human, therapeutic or diagnostic applications. |
| 背景资料 | Ephrin receptors bind members of the ephrin ligand family. They are divided into 2 groups based on the similarity of their extracellular domain sequences and their affinities for binding ephrin-A and ephrin-B ligands. They make up the largest subgroup of the receptor tyrosine kinase (RTK) family. Eph receptor B1 (EphB1) and Eph receptor B2 (EphB2) are receptors for ephrin-B family members. Developing and adult neural tissue express nearly all of the Ephrin receptors and ephrin ligands. Ephrins and ephrin receptors also play a significant role in angiogenesis. EphB2 acts as a tumor suppressor. |
| 应用 | 推荐稀释比例 |
| {WB} | {1:500-2000} |
| {IHC-P} | {1:100-500} |
| {IHC-F} | {1:100-500} |
| {IF} | {1:100-500} |

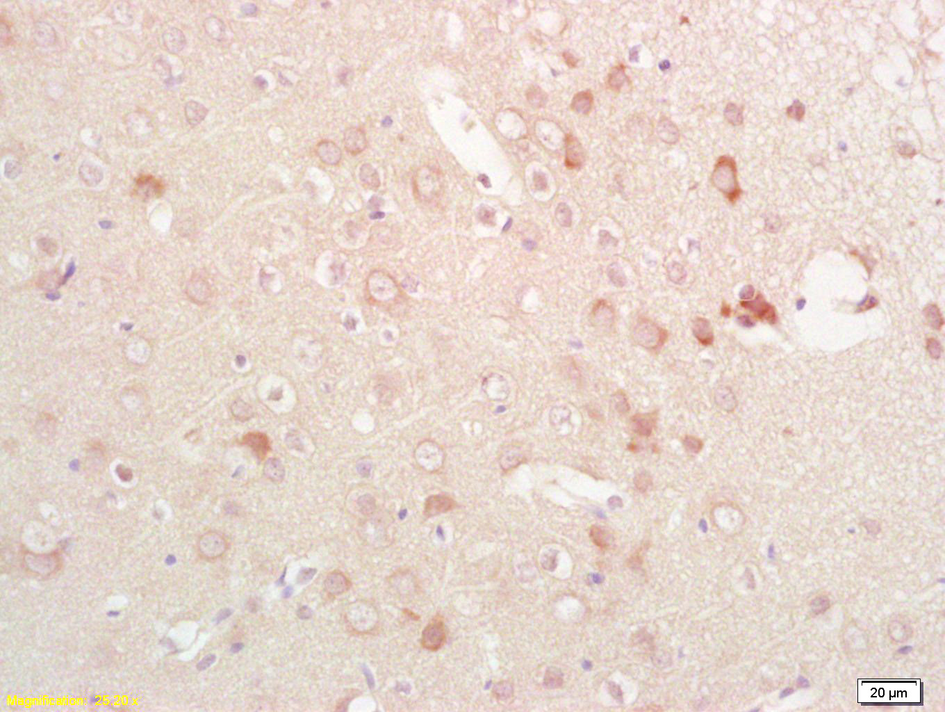
Antigen retrieval: citrate buffer ( 0.01M, pH 6.0 ), Boiling bathing for 15min; Block endogenous peroxidase by 3% Hydrogen peroxide for 30min; Blocking buffer (normal goat serum,C-0005) at 37℃ for 20 min;
Incubation: Anti-phospho-EphB1/Eph receptor B1(Tyr928) Polyclonal Antibody, Unconjugated (bs-10138R) 1:200, overnight at 4°C, followed by conjugation to the secondary antibody(SP-0023) and DAB(C-0010) staining

Ovary (Mouse) Lysate at 40 ug
Primary: Anti-phospho-Eph receptor B1 (Tyr928) (bs-10138R) at 1/300 dilution
Secondary: IRDye800CW Goat Anti-Rabbit IgG at 1/20000 dilution
Predicted band size: 106 kD
Observed band size: 121 kD

Lane 1: Mouse Testis tissue lysates
Lane 2: Mouse NIH/3T3 cell lysates
Lane 3: Human U251 cell lysates
Lane 4: Human U87MG cell lysates
Lane 5: Human MCF-7 cell lysates
Lane 6: Human U-2 OS cell lysates
Primary: Anti-phospho-Eph receptor B1 (Tyr928) (bs-10138R) at 1/1000 dilution
Secondary: IRDye800CW Goat Anti-Rabbit IgG at 1/20000 dilution
Predicted band size: 106 kDa
Observed band size: 130 kDa
风险提示:丁香通仅作为第三方平台,为商家信息发布提供平台空间。用户咨询产品时请注意保护个人信息及财产安全,合理判断,谨慎选购商品,商家和用户对交易行为负责。对于医疗器械类产品,请先查证核实企业经营资质和医疗器械产品注册证情况。
文献和实验h)即可。2. 修复大法——不仅仅是「煮一煮」微波炉修复:简单易行效果好,CST 推荐使用微波炉完成修复。合适的修复液:根据抗体说明书使用合适的修复液。用柠檬酸修复后,切片需浸泡在修复液中,自然冷却;而用 EDTA 修复后,切片可直接从修复缸中取出,直接进行下一步。注:使用不同的修复方式和不同生产商的抗体检测人肺癌组织中 EGFR 的表达。第一排为 CST 的 EGF Receptor (D38B1) XP® Rabbit mAb(#4267),EDTA 的修复方式明显优于柠檬酸盐及胃蛋白
v468. chapter 4 WNT 细胞通路 检测细胞GSK3活性与表达水平
. Immunoblot using antibodies to phospho-Tyr279/216 can assess alterations in activity independent ofthe N-terminal phosphorylation, although phosphorylation atthis site is most likely to be constitutive (14) . 3. Immunoblot using antibodies to known
secondary antibody review -- data from 99 publications
IgG Alexa Fluor 488 1:250 Molecular Probes 10 goat Cy3 immunocytochemistry detect NMDA receptors in HEK293 cells Jackson ImmunoResearch Laboratories 10 FITC immunocytochemistry 1:100 detect phospho-CREB in human colonic
技术资料暂无技术资料 索取技术资料






