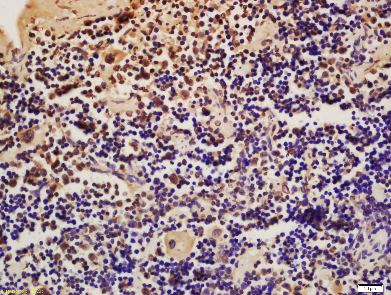
Tissue/cell: mouse spleen tissue; 4% Paraformaldehyde-fixed and paraffin-embedded;
Antigen retrieval: citrate buffer ( 0.01M, pH 6.0 ), Boiling bathing for 15min; Block endogenous peroxidase by 3% Hydrogen peroxide for 30min; Blocking buffer (normal goat serum,C-0005) at 37℃ for 20 min;
Incubation: Anti-Nucleoprotein TPR Polyclonal Antibody, Unconjugated(bs-5755R) 1:200, overnight at 4°C, followed by conjugation to the secondary antibody(SP-0023) and DAB(C-0010) staining
相关产品推荐更多 >
万千商家帮你免费找货
0 人在求购买到急需产品
- 详细信息
- 技术资料
- 应用范围:
产品信息以Bioss网站为准
- 规格:
50ul/100ul/200ul
| 规格: | 50ul | 产品价格: | ¥1180.0 |
|---|---|---|---|
| 规格: | 100ul | 产品价格: | ¥1980.0 |
| 规格: | 200ul | 产品价格: | ¥2800.0 |
| 产品编号 | bs-5755R |
| 英文名称 | Nucleoprotein TPR Rabbit pAb |
| 中文名称 | 核蛋白易位启动子区域TPR抗体 |
| 英文别名 | tpr; TPR_HUMAN; translocated promoter region(to activated MET oncogene); TPR_HUMAN. |
| 产品应用 | IHC-P=1:100-500, IHC-F=1:100-500, IF=1:100-500 Not yet tested in other applications. |
| 交叉反应 | Mouse (Human, Rat, Dog, Pig, Cow, Horse, Rabbit) |
| 抗体来源 | Rabbit |
| 免疫原 | KLH conjugated synthetic peptide derived from human Nucleoprotein TPR |
| 亚型 | IgG |
| 性状 | Liquid |
| 纯化方法 | affinity purified by Protein A |
| 克隆类型 | Polyclonal |
| 理论分子量 | 260 kDa |
| 浓度 | 1mg/ml |
| 储存液 | 0.01M TBS (pH7.4) with 1% BSA, 0.02% Proclin300 and 50% Glycerol. |
| 研究领域 | Cancer > Cell cycle > Kinases/phosphatases Epigenetics and Nuclear Signaling > DNA / RNA > RNA Processing Signal Transduction > Protein Trafficking > Nuclear Import / Export |
| 亚基 | Interacts with MAD1L1 and MAD2L1. |
| 亚细胞定位 | Nucleus, nuclear pore complex. Nucleus membrane; Peripheral membrane protein; Cytoplasmic side. Chromosome, centromere, kinetochore. Note=The assembly of the NPC is a stepwise process in which Trp-containing peripheral structures assemble after other components, including p62. Detected at kinetochores during prometaphase. |
| 组织特异性 | Highest in testis, lung, thymus, spleen and brain, lower levels in heart, liver and kidney. |
| 翻译后修饰 | Phosphorylated upon DNA damage, probably by ATM or ATR. |
| 功能 | Component of the cytoplasmic fibrils of the nuclear pore complex implicated in nuclear protein import. Its N-terminus is involved in activation of oncogenic kinases. Plays a role in the mitotic spindle checkpoint. |
| 保存条件 | Shipped at 4℃. Store at -20℃ for one year. Avoid repeated freeze/thaw cycles. |
| 注意事项 | This product as supplied is intended for research use only, not for use in human, therapeutic or diagnostic applications. |
| 背景资料 | Component of the cytoplasmic fibrils of the nuclear pore complex implicated in nuclear protein import. Its N-terminus is involved in activation of oncogenic kinases. Plays a role in the mitotic spindle checkpoint. |
| 应用 | 推荐稀释比例 |
| {IHC-P} | {1:100-500} |
| {IHC-F} | {1:100-500} |
| {IF} | {1:100-500} |

风险提示:丁香通仅作为第三方平台,为商家信息发布提供平台空间。用户咨询产品时请注意保护个人信息及财产安全,合理判断,谨慎选购商品,商家和用户对交易行为负责。对于医疗器械类产品,请先查证核实企业经营资质和医疗器械产品注册证情况。
技术资料暂无技术资料 索取技术资料
Nucleoprotein TPR Rabbit pAb(bs-5755R)-50ul/100ul/200ul
¥1180 - 2800









