相关产品推荐更多 >

phospho-BAD (Ser128) Rabbit pAb, Cy3 conjugated(bs-0893R-Cy3)-100ul
¥2980
Beta galactosidase Rabbit pAb, FITC conjugated(bs-4631R-FITC)-100ul
¥2980
Estrogen receptor alpha Rabbit pAb, PerCP-Cy7 conjugated(bs-0254R-PerCP-Cy7)-100ul
¥2980
MAML3 Rabbit pAb(bs-12398R)-50ul/100ul/200ul
¥1180
SATB2 Rabbit pAb, Cy3 conjugated(bs-11949R-Cy3)-100ul
¥2980
万千商家帮你免费找货
0 人在求购买到急需产品
- 详细信息
- 技术资料
- 应用范围:
产品信息以Bioss网站为准
- 规格:
50ul/100ul/200ul
| 规格: | 50ul | 产品价格: | ¥1180.0 |
|---|---|---|---|
| 规格: | 100ul | 产品价格: | ¥1980.0 |
| 规格: | 200ul | 产品价格: | ¥2800.0 |
| 产品编号 | bs-5651R |
| 英文名称 | phospho-RAF1 (Thr269) Rabbit pAb |
| 中文名称 | 磷酸化原癌基因RAF1抗体 |
| 英文别名 | RAF1(phospho Thr269); RAF1(phospho T269); murine leukemia viral(v-raf-1) oncogene homolog 1(3611-MSV); v-raf-1 murine leukemia viral oncogene homolog 1; cRaf; C-RAF; proto-oncogene c-RAF; 6430402F14Rik; AA990557; BB129353; c-Raf; Craf1; D830050J10Rik; MGC102375; Raf-1; Raf 1; v-Raf; c Raf; Craf 1 transforming gene; Craf1 transforming gene; EC 2.7.11.1; Murine sarcoma 3611 oncogene 1; RAF; Raf proto oncogene serine/threonine protein kinase; vraf1 murine leukemia viral oncogene homolog 1; c-Raf. |
| 产品应用 | IHC-P=1:100-500, IHC-F=1:100-500, IF=1:100-500 Not yet tested in other applications. |
| 交叉反应 | Mouse (Human, Rat, Dog, Pig, Cow, Horse, Rabbit, Sheep) |
| 抗体来源 | Rabbit |
| 免疫原 | KLH conjugated Synthesised phosphopeptide derived from human RAF1 around the phosphorylation site of Thr269 |
| 亚型 | IgG |
| 性状 | Liquid |
| 纯化方法 | affinity purified by Protein A |
| 克隆类型 | Polyclonal |
| 理论分子量 | 73 kDa |
| 浓度 | 1mg/ml |
| 储存液 | 0.01M TBS (pH7.4) with 1% BSA, 0.02% Proclin300 and 50% Glycerol. |
| 研究领域 | Cancer > Cell Death > Apoptosis > Metabolism Cancer > Cell Death > Apoptosis > Mitochondrial Cancer > Oncoproteins/suppressors > Oncoproteins > Growth factor receptors Cell Biology > Apoptosis > Mitochondrial Metabolism > Pathways and Processes > Metabolism processes > Apoptosis Metabolism > Pathways and Processes > Mitochondrial Metabolism > Mitochondrial markers Signal Transduction > Protein Phosphorylation > Ser / Thr Kinases > Other Kinases |
| 亚基 | Monomer. Homodimer. Heterodimerizes with BRAF and this heterodimer possesses a highly increased kinase activity compared to the respective homodimers or monomers. Heterodimerization is mitogen-regulated and enhanced by 14-3-3 proteins. MAPK1/ERK2 activation can induce a negative feedback that promotes the dissociation of the heterodimer. Forms a multiprotein complex with Ras (M-Ras/MRAS), SHOC2 and protein phosphatase 1 (PPP1CA, PPP1CB and PPP1CC). Interacts with Ras proteins; the interaction is antagonized by RIN1. Weakly interacts with RIT1. Interacts (via N-terminus) with RGS14 (via RBD domains); the interaction mediates the formation of a ternary complex with BRAF, a ternary complex inhibited by GNAI1 (By similarity). Interacts with STK3/MST2; the interaction inhibits its pro-apoptotic activity. Interacts (when phosphorylated at Ser-259) with YWHAZ (unphosphorylated at 'Thr-232'). Interacts with MAP2K1/MEK1 and MAP2K2/MEK2 (By similarity). Interacts with MAP3K5/ASF1 (via N-terminus) and this interaction inhibits the proapoptotic function of MAP3K5/ASK1. Interacts with PAK1 (via kinase domain). The phosphorylated form interacts with PIN1. The Ser-338 and Ser-339 phosphorylated form (by PAK1) interacts with BCL2. Interacts with PEBP1/RKIP and this interaction is enhanced if RAF1 is phosphorylated on residues Ser-338, Ser-339, Tyr-340 and Tyr-341. Interacts with ADCY2, ADCY5, ADCY6, DGKH, RCAN1/DSCR1, ROCK2, PPP1R12A, PKB/AKT1, PPP2CA, PPP2R1B, SPRY2, SPRY4, CNKSR1/CNK1, KSR2 and PHB/prohibitin. |
| 亚细胞定位 | Cytoplasm. Cell membrane. Mitochondrion. Nucleus. Note=Colocalizes with RGS14 and BRAF in both the cytoplasm and membranes. Phosphorylation at Ser-259 impairs its membrane accumulation. Recruited to the cell membrane by the active Ras protein. Phosphorylation at Ser-338 and Ser-339 by PAK1 is required for its mitochondrial localization. Retinoic acid-induced Ser-621 phosphorylated form of RAF1 is predominantly localized at the nucleus. |
| 组织特异性 | In skeletal muscle, isoform 1 is more abundant than isoform 2. |
| 翻译后修饰 | Phosphorylated upon DNA damage, probably by ATM or ATR. Phosphorylation at Thr-269, Ser-338, Tyr-341, Thr-491 and Ser-494 results in its activation. Phosphorylation at Ser-29, Ser-43, Ser-289, Ser-296, Ser-301 and Ser-642 by MAPK1/ERK2 results in its inactivation. Phosphorylation at Ser-259 induces the interaction with YWHAZ and inactivates kinase activity. Dephosphorylation of Ser-259 by the complex containing protein phosphatase 1, SHOC2 and M-Ras/MRAS relieves inactivation, leading to stimulate RAF1 activity. Phosphorylation at Ser-338 by PAK1 and PAK7/PAK5 and Ser-339 by PAK1 is required for its mitochondrial localization. |
| 相似性 | Belongs to the protein kinase superfamily. TKL Ser/Thr protein kinase family. RAF subfamily. Contains 1 phorbol-ester/DAG-type zinc finger. Contains 1 protein kinase domain. Contains 1 RBD (Ras-binding) domain. |
| 功能 | Serine/threonine-protein kinase that acts as a regulatory link between the membrane-associated Ras GTPases and the MAPK/ERK cascade, and this critical regulatory link functions as a switch determining cell fate decisions including proliferation, differentiation, apoptosis, survival and oncogenic transformation. RAF1 activation initiates a mitogen-activated protein kinase (MAPK) cascade that comprises a sequential phosphorylation of the dual-specific MAPK kinases (MAP2K1/MEK1 and MAP2K2/MEK2) and the extracellular signal-regulated kinases (MAPK3/ERK1 and MAPK1/ERK2). The phosphorylated form of RAF1 (on residues Ser-338 and Ser-339, by PAK1) phosphorylates BAD/Bcl2-antagonist of cell death at 'Ser-75'. Phosphorylates adenylyl cyclases: ADCY2, ADCY5 and ADCY6, resulting in their activation. Phosphorylates PPP1R12A resulting in inhibition of the phosphatase activity. Phosphorylates TNNT2/cardiac muscle troponin T. Can promote NF-kB activation and inhibit signal transducers involved in motility (ROCK2), apoptosis (MAP3K5/ASK1 and STK3/MST2), proliferation and angiogenesis (RB1). Can protect cells from apoptosis also by translocating to the mitochondria where it binds BCL2 and displaces BAD/Bcl2-antagonist of cell death. Regulates Rho signaling and migration, and is required for normal wound healing. Plays a role in the oncogenic transformation of epithelial cells via repression of the TJ protein, occludin (OCLN) by inducing the up-regulation of a transcriptional repressor SNAI2/SLUG, which induces down-regulation of OCLN. Restricts caspase activation in response to selected stimuli, notably Fas stimulation, pathogen-mediated macrophage apoptosis, and erythroid differentiation. |
| 保存条件 | Shipped at 4℃. Store at -20℃ for one year. Avoid repeated freeze/thaw cycles. |
| 注意事项 | This product as supplied is intended for research use only, not for use in human, therapeutic or diagnostic applications. |
| 背景资料 | The Raf family of serine/threonine specific kinases is comprised of three members (aRaf, bRaf, and cRaf) that play a critical role in regulating cell growth and differentiation, and couple growth factor receptor stimulation to nuclear transcription factors via the Ras/mitogen activated protein kinase (MAPK) pathway. cRaf kinase (also known as Raf1) is a small GTPase like kinase of 73 kDa, and is a signal transducer of multiple extracellular stimuli that is regulated by several pathways, and that once activated, phosphorylates MEK which in turn phosphorylates ERK. Raf1 is involved in the transduction of mitogenic signals from the cell membrane to the nucleus. It is part of the Ras dependent signaling pathway from receptors to the nucleus. |
| 应用 | 推荐稀释比例 |
| {IHC-P} | {1:100-500} |
| {IHC-F} | {1:100-500} |
| {IF} | {1:100-500} |

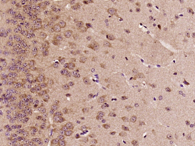
Paraformaldehyde-fixed, paraffin embedded (Mouse brain); Antigen retrieval by boiling in sodium citrate buffer (pH6.0) for 15min; Block endogenous peroxidase by 3% hydrogen peroxide for 20 minutes; Blocking buffer (normal goat serum) at 37°C for 30min; Antibody incubation with (phospho-c-Raf(Thr269)) Polyclonal Antibody, Unconjugated (bs-5651R) at 1:400 overnight at 4°C, followed by operating according to SP Kit(Rabbit) (sp-0023) instructionsand DAB staining.
风险提示:丁香通仅作为第三方平台,为商家信息发布提供平台空间。用户咨询产品时请注意保护个人信息及财产安全,合理判断,谨慎选购商品,商家和用户对交易行为负责。对于医疗器械类产品,请先查证核实企业经营资质和医疗器械产品注册证情况。
技术资料暂无技术资料 索取技术资料
phospho-RAF1 (Thr269) Rabbit pAb(bs-5651R)-50ul/100ul/200ul
¥1180 - 2800





